EDIT-fall Henrik Flashcards

(15 cards)

1
Q

Frakturtecken (säkra och osäkra)?

A
  • Säkra
    o Felställning, öppen fraktur, krepitationer (krasar), onormal rörelse (lite som felvinkling iofs)
  • Osäkra frakturtecken
    o kan ej gå på benet, smärta, svullnad, rodnad, hematom
How well did you know this?
1
Not at all
2
3
4
5
Perfectly
2
Q

Vad får du inte glömma under status vid fraktur?

A

Distalstatus (puls (ev med doppler (eller kapillär återfyllnad), sensorik och funktion, (temp och färg)

How well did you know this?
1
Not at all
2
3
4
5
Perfectly
3
Q

Sjukhistoria: Under en fotbollsmatch blir Henrik Rosén, 28 år, fälld på vänsterkanten under en löpning med bollen. Han får omedelbart svåra smärtor i höger underben. Matchläkaren tillkallas och har inga svårigheter att konstatera en högersidig underbensfraktur. Henrik blir utburen på bår och benet fixeras i ett vakuumförband innan ambulansens avfärd till sjukhuset.
Henrik är sedan tidigare frisk och har aldrig sjukhusvårdats. Han tar inga mediciner.

Varför är det viktigt att reponera redan i ambulans?

A
  • Minskad belastning (svullnad) på mjukdelar
    o Kan bli blåsbildning och kan bli ett sår
How well did you know this?
1
Not at all
2
3
4
5
Perfectly
4
Q

Vilka frakturer har högst blödningsrisk?

A

Rörben

How well did you know this?
1
Not at all
2
3
4
5
Perfectly
5
Q

Sjukhistoria: Under en fotbollsmatch blir Henrik Rosén, 28 år, fälld på vänsterkanten under en löpning med bollen. Han får omedelbart svåra smärtor i höger underben. Matchläkaren tillkallas och har inga svårigheter att konstatera en högersidig underbensfraktur. Henrik blir utburen på bår och benet fixeras i ett vakuumförband innan ambulansens avfärd till sjukhuset.
Henrik är sedan tidigare frisk och har aldrig sjukhusvårdats. Han tar inga mediciner.

  • AT: Smärtpåverkad. Afebril. Saturation 97 % på luftandning.
  • Cor: Regelbunden rytm, 80/min. Inga blåsljud.
  • Pulm: Normala andningsljud bilateralt. Ingen dämpning.
  • BT: 140/90
  • Buk: Mjuk, oöm. Inga resistenser.
  • Lokal status: Höger underben är instabilt. Palpabelt benskrap vid tibias framkant. Mycket öm. Huden är intakt, inget genomstick. Pulsationer i a. tibialis posterior och a. dorsalis pedis u a. Sensibilitet dorsalt och plantart på foten u a.
    Vilka prover tar du?
A
  • Blodstatus, PK-INR (ev blodsjukdom som vi inte känner till), blodgruppering, bastest
    o CRP, el inte lika viktigt
How well did you know this?
1
Not at all
2
3
4
5
Perfectly
6
Q

Sjukhistoria: Under en fotbollsmatch blir Henrik Rosén, 28 år, fälld på vänsterkanten under en löpning med bollen. Han får omedelbart svåra smärtor i höger underben. Matchläkaren tillkallas och har inga svårigheter att konstatera en högersidig underbensfraktur. Henrik blir utburen på bår och benet fixeras i ett vakuumförband innan ambulansens avfärd till sjukhuset.
Henrik är sedan tidigare frisk och har aldrig sjukhusvårdats. Han tar inga mediciner.

  • AT: Smärtpåverkad. Afebril. Saturation 97 % på luftandning.
  • Cor: Regelbunden rytm, 80/min. Inga blåsljud.
  • Pulm: Normala andningsljud bilateralt. Ingen dämpning.
  • BT: 140/90
  • Buk: Mjuk, oöm. Inga resistenser.
  • Lokal status: Höger underben är instabilt. Palpabelt benskrap vid tibias framkant. Mycket öm. Huden är intakt, inget genomstick. Pulsationer i a. tibialis posterior och a. dorsalis pedis u a. Sensibilitet dorsalt och plantart på foten u a.
    Vad vill du immobileras med gips?
A
  • Fotleden till strax innan knä
How well did you know this?
1
Not at all
2
3
4
5
Perfectly
7
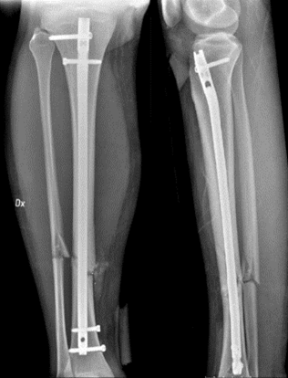
Q

Beskriv frakturen

A
  • HÖGER UNDERBEN
    o Mittdiafysär komminut (splittrad) tvärfraktur fibula, dislocerad (halv benbredd)
    o Mittdiafysär spiralfraktur tibia, dislocerad (halv benbredd)
    o 12-13 cm proximalt om fotleden.
How well did you know this?
1
Not at all
2
3
4
5
Perfectly
8
Q

Sjukhistoria: Under en fotbollsmatch blir Henrik Rosén, 28 år, fälld på vänsterkanten under en löpning med bollen. Han får omedelbart svåra smärtor i höger underben. Matchläkaren tillkallas och har inga svårigheter att konstatera en högersidig underbensfraktur. Henrik blir utburen på bår och benet fixeras i ett vakuumförband innan ambulansens avfärd till sjukhuset.
Henrik är sedan tidigare frisk och har aldrig sjukhusvårdats. Han tar inga mediciner.

  • AT: Smärtpåverkad. Afebril. Saturation 97 % på luftandning.
  • Cor: Regelbunden rytm, 80/min. Inga blåsljud.
  • Pulm: Normala andningsljud bilateralt. Ingen dämpning.
  • BT: 140/90
  • Buk: Mjuk, oöm. Inga resistenser.
  • Lokal status: Höger underben är instabilt. Palpabelt benskrap vid tibias framkant. Mycket öm. Huden är intakt, inget genomstick. Pulsationer i a. tibialis posterior och a. dorsalis pedis u a. Sensibilitet dorsalt och plantart på foten u a.
A

Sluten reposition (perfekt placering av ben) och märgborrning samt märgspikning med interlocking nail.

How well did you know this?
1
Not at all
2
3
4
5
Perfectly
9
Q

Sjukhistoria: Under en fotbollsmatch blir Henrik Rosén, 28 år, fälld på vänsterkanten under en löpning med bollen. Han får omedelbart svåra smärtor i höger underben. Matchläkaren tillkallas och har inga svårigheter att konstatera en högersidig underbensfraktur. Henrik blir utburen på bår och benet fixeras i ett vakuumförband innan ambulansens avfärd till sjukhuset.
Henrik är sedan tidigare frisk och har aldrig sjukhusvårdats. Han tar inga mediciner.

  • AT: Smärtpåverkad. Afebril. Saturation 97 % på luftandning.
  • Cor: Regelbunden rytm, 80/min. Inga blåsljud.
  • Pulm: Normala andningsljud bilateralt. Ingen dämpning.
  • BT: 140/90
  • Buk: Mjuk, oöm. Inga resistenser.
  • Lokal status: Höger underben är instabilt. Palpabelt benskrap vid tibias framkant. Mycket öm. Huden är intakt, inget genomstick. Pulsationer i a. tibialis posterior och a. dorsalis pedis u a. Sensibilitet dorsalt och plantart på foten u a.

Röntgen

  • HÖGER UNDERBEN
    o Mittdiafysär komminut (splittrad) tvärfraktur fibula, dislocerad (halv benbredd)
    o Mittdiafysär spiralfraktur tibia, dislocerad (halv benbredd)
    o 12-13 cm proximalt om fotleden.
    Henrik opereras akut med sluten reposition (perfekt placering av ben) och märgborrning samt märgspikning med interlocking nail.
    Varför inte gips?
A

Instabil, osannolikt att benet ligger kvar (reponering ligger inte bra), funktionsnivå hos patienten

How well did you know this?
1
Not at all
2
3
4
5
Perfectly
10
Q

Henrik 28 år som skadats med fraktur i tibia och fibula vid fotboll.
Dagen efter operationen har Henrik smärtor i underbenet, som är svullet, men inte mer än vad som brukar förekomma postoperativt efter liknande skador. Rörelseträning utan belastning påbörjas. Henrik får dock alltmer ont i benet. På tredje dagen efter operationen är känseln i foten sämre, med domning framförallt på fotryggen. Henrik påtalar också att hans urin är mörkare än vanligt.
Vad gör du först?

A

Inspektion av patienten, svullet? NEWS?

How well did you know this?
1
Not at all
2
3
4
5
Perfectly
11
Q

Henrik 28 år som skadats med fraktur i tibia och fibula vid fotboll.
Dagen efter operationen har Henrik smärtor i underbenet, som är svullet, men inte mer än vad som brukar förekomma postoperativt efter liknande skador. Rörelseträning utan belastning påbörjas. Henrik får dock alltmer ont i benet. På tredje dagen efter operationen är känseln i foten sämre, med domning framförallt på fotryggen. Henrik påtalar också att hans urin är mörkare än vanligt.
Vad är det tecken på med urinet? Vad är unikt med underben?

A
  • Rabdomyolys på grund av compartment syndrom!!!!
  • Tighta förhållanden i underben med sina fyra compartments
How well did you know this?
1
Not at all
2
3
4
5
Perfectly
12
Q

Henrik 28 år som skadats med fraktur i tibia och fibula vid fotboll.
Dagen efter operationen har Henrik smärtor i underbenet, som är svullet, men inte mer än vad som brukar förekomma postoperativt efter liknande skador. Rörelseträning utan belastning påbörjas. Henrik får dock alltmer ont i benet. På tredje dagen efter operationen är känseln i foten sämre, med domning framförallt på fotryggen. Henrik påtalar också att hans urin är mörkare än vanligt.
Tryckmätning, se bild. Vad är farligt tryck?
Prover, vilka är viktigast att ta gällande compartment (2)?

A
  • Högre än det arteriella tryckets diastole
    o Perfusionstryck ska vara 30 iaf men vi har -10
  • CK och myoglobin (är iofs högt efter trauma)
How well did you know this?
1
Not at all
2
3
4
5
Perfectly
13
Q

Henrik 28 år som skadats med fraktur i tibia och fibula vid fotboll.
Dagen efter operationen har Henrik smärtor i underbenet, som är svullet, men inte mer än vad som brukar förekomma postoperativt efter liknande skador. Rörelseträning utan belastning påbörjas. Henrik får dock alltmer ont i benet. På tredje dagen efter operationen är känseln i foten sämre, med domning framförallt på fotryggen. Henrik påtalar också att hans urin är mörkare än vanligt.
Förklara proverna

A
  • K+ förhöjt pga cellförstörelse eller njursvikt
  • CK/myoglobin förhöjt – muskelsönderfall
    o Myoglobin färgar urinet mörkt
  • Kreatinin förhöjt – njursvikt till följd av rabdomyolys
    o Haptoglobin binder inte myoglobin (binder hemoglobin) varför myoglobin filtreras i njurar i större omfattning
    o Leder därför mycket lättare till skador i form av utfällningar i njurtubuli, frisättning av järn i vävnaderna och därmed ökat bildande av fria radikaler som leder till ytterligare vävnadsskador.
How well did you know this?
1
Not at all
2
3
4
5
Perfectly
14
Q

Varför ska vi inte ha högläge på Henriks (28 år) underben med compartment syndrome? Vad ska vi göra istället? Vad gör vi också?

A
  • Ännu mer försämrad perfusion. Sänk benet.
  • Smärtlindra (morfin)
  • Klipp upp gips ex
  • Stora mängder vätska för att spola ur (NaCl)
    o Timdiures
  • Akut fascietomi!
    o Två snitt för att komma åt de fyra compartments
How well did you know this?
1
Not at all
2
3
4
5
Perfectly
15
Q

Henrik opereras akut med fascietomi, dvs. klyvning av underbenets compartments (två snitt för att komma åt 4 compartment). Sårkanterna hålls ihop med elastiska gummiband (vessel loops). Smärttillståndet förbättras.
Utskriven
Henrik flyttas till avdelningen efter ett dygn. P-Kreatinin har då sjunkit påtagligt. Huden sys ihop efter 3 dagar, när svullnaden har minskat.
Träningen av Henrik fortskrider, han mobiliseras och kan efter ytterligare sex dagar skrivas hem och kan då gå med kryckkäppar. Meningen är att Henrik endast ska markera steg med höger ben och att denna restriktion ska gälla fram till återbesöket om 5-6 veckor.
Emellertid noteras att Henrik har en svaghet i dorsalextensionen av fotleden med en spetsfotställning. Dessa fynd finns kvar även vid återbesöket.
Vilken muskel/nerv har skadats?

A

N. peroneus (fibularis) profundus går i främre compartment (m. tibialis anterior) så troligen den som är skadad

How well did you know this?
1
Not at all
2
3
4
5
Perfectly