Osteosyntesmaterial Flashcards

(22 cards)

1
Q

Osteosyntes (sätta ihop brutna bendelar)
Varför operativt sätta ihop brutna bendelar vid multitrauma och enkeltrauma?

A
  • Multitrauma
    o Räddar liv genom att minska blödning och inflammation
  • Enkeltrauma
    o Möjliggör tidig rörelseträning
    o Kan rädda liv
    o Optimerar framtida funktion
How well did you know this?
1
Not at all
2
3
4
5
Perfectly
2
Q

Ben är ett kompositmaterial (komposit = flera ämnen), vad består det av och vilka egenskaper har dessa material?

A
  • Hydroxyapatitkristaller (70 %)
    o Kompressionsmotståndskraft
  • Kollagenfibrer
    o Flexibilitet
How well did you know this?
1
Not at all
2
3
4
5
Perfectly
3
Q

Diafysärt och metafysärt ben

  • Olika uppbyggnad, läker på olika sätt
    Största skillnaderna? Vilket läker bäst?
A
  • Diafys – tjockt kortex och bara fett i märgen
    o Kärl som omges av osteocyter som har kontakt med varandra i stort nätverk
    o Osteoklaster längst fram som borr, drar med sig kärl och osteblaster – BMU (basic multicellular unit), långsamt framåt. Osteoblasterna lägger ut sig som osteocyter
  • Metafys – tunt kortex och mkt trabekler, omgivet av muskler
    o Benet finns i lameller och ostecyter finns diffust utspridda i lakuner
    Metafysära delar läker bättre
How well did you know this?
1
Not at all
2
3
4
5
Perfectly
4
Q

Benets blodförsörjning vid diafysen

  • Periostal blodförsörjning
  • Medullär blodförsörjning
    Vad bidrar vid frakturer?
A

Periostal blodförsörjning

How well did you know this?
1
Not at all
2
3
4
5
Perfectly
5
Q

Diafysär benläkning

  • Indirekt läkning – relativ stabilitet
    Vad innebär detta?
A

Hematom med tillväxtfaktorer –> mjuk callus med fibroblaster som omvandlas till broskceller som förkalkas och det blir hård callus sen remodellering (läker utan ärr)

How well did you know this?
1
Not at all
2
3
4
5
Perfectly
6
Q

Basala krav för frakturläkning

  • Vaskularitet, komorbiditet och given behandling
    Nämn iaf två saker till som är viktiga
A
  • Osteogena celler
  • Osteoinduktivt stimulus
    o Mitogenes
    o Differentiering
    o Både lokala och systemiska faktorer
  • Gynnsam mekanisk miljö
    o Olika för olika delar av kroppen
How well did you know this?
1
Not at all
2
3
4
5
Perfectly
7
Q

Stress/strain

  • Elasticitet fram till yield point då det vi drar i inte går tillbaka till gammal form (ex böjfraktur hos barn)
    o Senare också fraktur
  • Finns en optimal strain, optimal mekanisk rörlighet och optimal stabilitet för god callusläkning
    o Progenitorceller som utsätts för lagom mkt mekanisk belastning drivs mot brosk/ben och inte bindväv som det kan blir annars
    Hur läker metafysärt ben?
A

Membranös benbildning

How well did you know this?
1
Not at all
2
3
4
5
Perfectly
8
Q

Membranös benbildning - direkt läkning – absolut stabilitet, igen rörelse mellan fragmenten. Hur mkt får det skilja mellan fragmenten? Ge två exempel på ortopediska metoder. Hur kan man säga att cellerna uppfattar metoden

A

(< 0,5 mm i partier av fraktur)
* Kompressionsskruv
o Vinkelrätt mot frakturen
o Skruvgängorna drar endast i bortre kortex
* Kompressionsplatta
o Vid tvärfraktur
* Cellerna uppfattar det som vanlig remodellering (se kärlet som bara passerar frakturlinjen), BMU bara passerar

How well did you know this?
1
Not at all
2
3
4
5
Perfectly
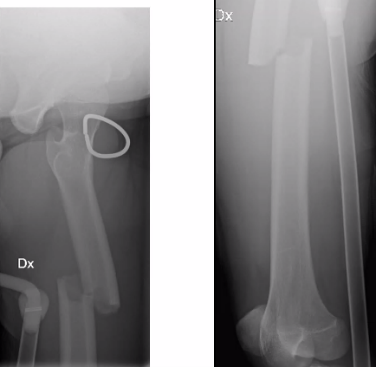
9
Q

Vad ses på bilden?

A

Membranös benbildning
* BMU bara passerar frakturen eftersom den bitarna ligger så nära varandra.

How well did you know this?
1
Not at all
2
3
4
5
Perfectly
10
Q

Vad ses på bilden?

A

Misslyckad direkt benläkning (bindväv i mitten, inte ben)

How well did you know this?
1
Not at all
2
3
4
5
Perfectly
11
Q

Läkningssätt sammanfattning

  • Callusläkning mekaniskt genom lagom mkt svaj
  • Direkt benläkning (absolut stabilitet) åstadkoms om nästan ingen rörlighet sker mellan fragmenten
  • Metafysärt ben läker om de hålls stilla och nära varandra
    Indirekt callusläkning, ge minst tre exempel på ortopediska metoder
A
  • Märgspik
  • Överbroande platta
  • X-fix
  • Gips
  • Elastisk linda
How well did you know this?
1
Not at all
2
3
4
5
Perfectly
12
Q

Läkningssätt sammanfattning

  • Callusläkning mekaniskt genom lagom mkt svaj
  • Direkt benläkning (absolut stabilitet) åstadkoms om nästan ingen rörlighet sker mellan fragmenten
  • Metafysärt ben läker om de hålls stilla och nära varandra
    Direkt = med kompression, ge två exempel på ortopediska metoder
A
  • Med skruv
  • Med platta
How well did you know this?
1
Not at all
2
3
4
5
Perfectly
13
Q

Förutsättning för direkt benläkning (alltså typ av fraktur)?

A
  • Enkel fraktur (två bitar)
    o Ej om jättetrasigt
How well did you know this?
1
Not at all
2
3
4
5
Perfectly
14
Q

Frakturrelaterade infektioner frekvens

  • Slutna frakturer
    o Djupa infektioner 1-2 %
    o Ytliga infektioner 3-4 %
  • Öppna frakturer
    o Djupa infektioner 5-6 %

Mikroorganismer från huden oftast källa, vilka två är vanligast? Vad bildar de också?

A
  • Staph aureus
  • KNS (koagulasnegativa stafylokocker) – stafylokoccus epidermis
    o Biofilm (vita blodkroppar, antikroppar och komplement försöker komma åt filmen men sämre penetration
How well did you know this?
1
Not at all
2
3
4
5
Perfectly
15
Q

Misstanke om djup infektion i fraktur vad göra?

  • Antibiotika, nja. Dålig penetrans om biofilm.
    o Mer svårlöst efter AB, biofilmen kan öka
A
  • Vi ska göra DAIR – debridement antibiotics and implant retention
    o Odla
    o Städa kirurgiskt (snabbt)
    o Behåll osteosyntesmaterialet
    o Behandla med biofilmsaktiv AB (långvarigt)
How well did you know this?
1
Not at all
2
3
4
5
Perfectly
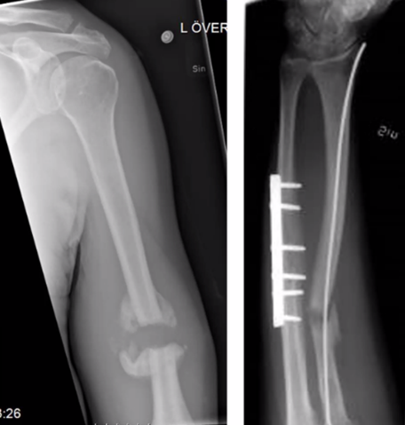
16
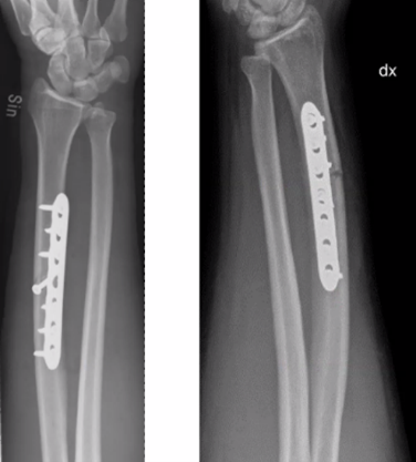
Q

Vad ser du på bild, vad är felet?

A
  • Vänster humerusfraktur har mkt callus men den dockar inte ihop är tecken på att den behöver stabilitet. För mkt strain
    o Hypertrof pseudartros
  • Radiusfraktur till höger där det inte händer något. För dålig mekanisk stabilitet och för lite biologi. Usel strain på radius med det de satt in (räcker inte)
    o Atrofisk pseudartros
17
Q

Faktorer som påverkar läkning vid frakturer (egenskaper hos värden och frakturen)

A
  • Värden (host)
    o Rökning
    o Malnutrition
    o Immunosupression (reumatiker ex med LM)
    o Ålder
  • Frakturen
    o Vissa delar av skelettet
    o Högenergiskador (läker dåligt eftersom periostet avskalas)
    o Infektion (puttar läkning mot icke läkning)
    o Given behandling (högenergikirurgi, fel stabilitet)
18
Q

Olika metoder vid denna femurfraktur
Vad ser du, vad ska vi i regel välja?

A
  • Lång platta för direkt läkning (kompressions-osteosyntes)
  • Märgspik – indirekt läkning
    o Väldigt bra. Tillåter belastning direkt (bra)
    o Om märghålan är för smal så kör vi platta (annars alltid spik!)
19
Q

Sammanfattning

  • Ortopeder kan jobba med callusläkning och remodellering
  • En mängd faktorer från både patient och, skadeenergi och given behandling påverkar läkning
    En implantatrelaterad infektion ska handläggas av?
A

Opererande klinik

20
Q

Märgspik eller platta?

A
  • Två bra bitar. Vi kan sätta ihop med platta och skruv men med märgspik kan vi belasta direkt.
  • Om märghålan är för smal så kör vi platta (annars alltid spik!)
21
Q

23-årig kvinna påkörd av bil som cyklist. Vad göra?

Märghålan inte så stor så man mäter med DT och märghålan mäts till 6 mm (för litet (8-9 mm som minst)) därför platta om vi opererar men, vad kan vi göra också?

A

Tibiafrakturen ligger fint (odislocerad) så man kan gipsa i tre månader

22
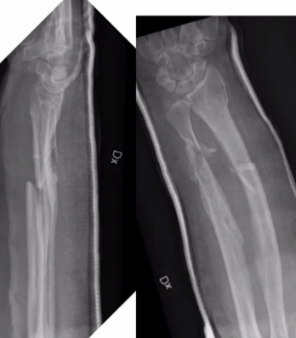
Q

65-årig kvinna

  • Rökare, möjlig alkoholöverkonsumtion
  • Tidigare kons beh distal radiusfraktur
  • Ramlat över mattkant
  • Sluten skada. NV intakt
    Vad göra?
A

Plattan bra för att styra rotationskrafter, men direkt benläkning i radius och callusläkning i ulna