Knäproteser Flashcards

(22 cards)

1
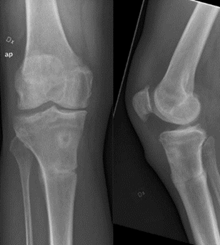
Q

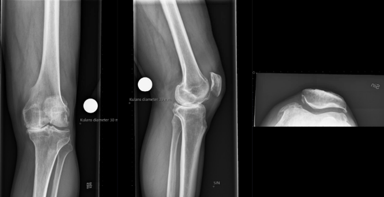
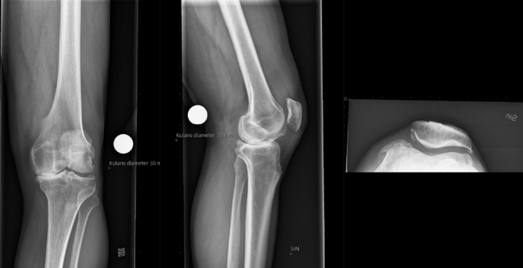
Vad ser du på bilden?

A
  • Medial gonartros och från sidan ses oregelbundenheter i den femorala-patellära leden
  • Till höger lite pålagringar och liten nabb till höger
How well did you know this?
1
Not at all
2
3
4
5
Perfectly
2
Q

Patientfall 1

  • Ulf H. 67 år gammal.
  • Icke-rökare, tidigare arbetat som rektor
  • TIA-attack 2012, inga sequele. Står på Clopidogrel (trombocythämmare), lipidsänkare och blodtrycksmedicin
  • Upprepade knätrauma i ungdomen (ffa fotboll), upprepade artroskopier i båda knän
    Nybesök på ortopedmottagningen
  • Medial gonartros och från sidan ses oregelbundenheter i den femorala-patellära leden
  • Till höger lite pålagringar och liten nabb till höger
    Tilltagande smärta vid belastning i hela knät. Nu ont även i vila, även svullnad. Upplever kraftigt inskränkt livskvalité. Har gått hos sjukgymnast, gått artrosskola.
    VAD GÖR VI NU? Vad kommer vi högst troligt att se?
A
  • Kompletterar utredning med: HKA-röntgen Hip- Knee- Ancle
    o Mekanisk axel ”ska vara” 0 grader
    o Medial artros ger varusfelställning av benet (vilket Ulf har!) 9/10 som har artros har medial artros. Glappigt på laterala sidan
How well did you know this?
1
Not at all
2
3
4
5
Perfectly
3
Q

Artros – Ledsvikt. Vad är artros? Hur ser friskt ledbrosk ut?

A
  • Ledbrosket sviktar (uppluckrat)
  • Ökad friktion
  • Sämre dämpning
  • Inflammation och smärta
    Friskt ledbrosk ska set ut som en kokonött i genomskärning
How well did you know this?
1
Not at all
2
3
4
5
Perfectly
4
Q

Röntgen inför proteskirurgi knä

  • Viktigt i utredning för rätt vinkel av sågning osv. Kulan på bild är 30 mm
  • Figursågning för att protesen ska passa perfekt. 6 grader valgus. Tibia rätvinkligt i frontalplan. Vi vill ha o-gradigt i HKA och efter som lårbenshalsen sticker ut lite snett vill vi ha lite valgus.
    Så vilka två punkter hjälper ovan oss med vid operation?
A
  1. Korrekt benresektion enligt mallning/anatomi
  2. Ligamentbalansering: dela strama strukturer så att ligamentbalansen blir korrekt både i flektion och i extension
How well did you know this?
1
Not at all
2
3
4
5
Perfectly
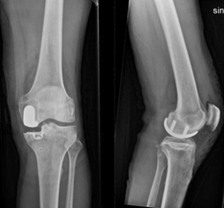
5
Q

Patienten opererades med en total knäprotes

  • Mekaniska axeln vid lyckad op återställd till?
A

0 grader

How well did you know this?
1
Not at all
2
3
4
5
Perfectly
6
Q

Epidemiologi knäprotes

  • Medelålder är 70 år
  • 60 % kvinnor
    Hur många får totalknä?
A
  • 90 % får totalknä
How well did you know this?
1
Not at all
2
3
4
5
Perfectly
7
Q

Lena 54 år. Gift, bor på lantgård, ffa mjölkbonde men sköter en del skog. Tidigare väsentligen frisk, inga signifikanta knätrauma (intakt ACL). Har gått artrosskola. Går med hälta, BMI 24, vältränad för åldern. Använder inga gånghjälpmedel men har mycket belastningssmärta distinkt medialt i vänster knä.
Röntgen ser helt okej ut men finns problem där tibia och femur möts på medialsidan
Åtgärd? Varför denna åtgärd?

A
  • Opererad med uni-protes (unikompartmentell protes) (bara 10 % får denna)
    o Intakt främre korsband
    o Inte för stor preop HKA-vinkel
How well did you know this?
1
Not at all
2
3
4
5
Perfectly
8
Q

Hans R 52 år. Byggnadsarbetare. Tidigare väsentligen frisk, op medial menisk tidigare (artroskopiskt). Medial belastningssmärta i knät. Varusfelställning av benet

Åtgärd
* Opererad med osteotomi
Vilka två varianter finns?

A
  • Callusdistraktion i detta fall (kroppen får bilda detta).
    o Man går in och sågar av och räknar hur mkt det ska vinklas upp sen har man denna ställning tills iatrogen felställning läkt. Från hjulbent till lite kobent (belastningsmekaniska axeln har ändrats).
  • Fixation med externfixation (bild)
    o Behandlingstid ca 3 månader
    o Risk för pinninfektioner
    o Fler återbesök
    o Inget kvarvarande material- lättare vid framtida kirurgi (totalknä ex)
    o Skjuter behovet av konstgjord ledprotes på framtiden
How well did you know this?
1
Not at all
2
3
4
5
Perfectly
9
Q

Vilken typ av knäkirurgi har man troligen gjort här? (bilden är post op 6 mån)

A

Osteotomi

  • Callusdistraktion
How well did you know this?
1
Not at all
2
3
4
5
Perfectly
10
Q
  • HTO High Tibia Osteotomy. Två huvudsakliga fixationsmetoder:
    o Callusdistraktion
    o Fixation med platta
  • Endast vid medial artros
  • Under 60 år (annars protes)
  • Hög aktivitetsnivå
  • Ej rökare
  • ”Lagom” stor varusfelställning
    Vad beskrivs?
A

Osteotomi

How well did you know this?
1
Not at all
2
3
4
5
Perfectly
11
Q
  • Tidig mobilisering
  • Snabb återgång i arbete
  • Lokala besvär av plattan
  • Material i vägen vid framtida knäprotes-op

Vad beskrivs?

A

Osteotomi med fixation med platta och skruvar (Tomofixalt. Pudduplatta)

How well did you know this?
1
Not at all
2
3
4
5
Perfectly
12
Q

Behandling av artros?

A
  • Icke operativ behandling
  • Icke operativ behandling
    o Hjälp med kryckor, andra gånghjälpmedel periodvis, TENS
    o Artrosskola (du ska gå i trappa, aktivera dig, gå till sjukgymnast etc), analgetika
  • Sedan möjligtvis operativ behandling
How well did you know this?
1
Not at all
2
3
4
5
Perfectly
13
Q

Viktigt att belasta ledbrosket!

  • Även artrospatienter ska belasta

Varför mår brosk bättre av att belastas (lagom)?

A
How well did you know this?
1
Not at all
2
3
4
5
Perfectly
14
Q

De viktigaste riskfaktorerna för artros är?

A
  • Ålder
  • Övervikt
  • Tidigare ledskada
    o Vid skada på menisk eller korsband i knäleden ökar risken för artros i knäleden tiofaldigt
  • Överbelastning (ex tresteg, spjutkastare, over use injury liksom)
  • Ärftlighet
How well did you know this?
1
Not at all
2
3
4
5
Perfectly
15
Q

Hur kan artroskola vara upplagt?

A
How well did you know this?
1
Not at all
2
3
4
5
Perfectly
16
Q

NÄR ÄR DET AKTUELLT MED OPERATION hos en artrospatient?

A
  • Svår smärta
  • Besvär under mer än ett års tid (eftersom sjukdomen arbetar i skov)
  • Starkt nedsatt livskvalitet
  • Erhållen icke- kirurgisk behandling otillräcklig
  • Verifierad artros på röntgen
  • Patient önskar och är lämpad för operation
17
Q

Hur länge håller en knäprotes?

A
  • Efter 10 år ungefär 5 % som kräver revision
18
Q

Orsaker till revision av knäprotes?

A
  • Vanligast (60 %)
    o Lossning
    o Infektion
19
Q

Varför lossnar proteser?

A
  • Plastslitage/ partiklar ger upphov till inflammation.
  • Uppluckring av protesnära skelett (osteolys), mikrorörelser, instabilitet, cementfraktur, uttunning av ben
20
Q

Ortopedins fiende nummer ett? Varför är det så?

A
  • Staphylococcus aureus
  • Bildar biofilm
21
Q

Djup ledprotesinfektion
Hur ska vi agera vid tidig- och sen infektion?

A
  • Tidig infektion (post op sår som inte läker)
    o Viktigt att öppna upp!
    o Revision: Spolning, synovectomi, ny plast. Odla.
    o Antibiotika efter att vi tagit odlingar
  • Sen infektion
    o Om akut förlopp: agera som tidig (öppna knäet!, ny plast sy ihop). Odla och ge AB
    o Om långdraget förlopp, lågvirulent bakterie: Revision
22
Q

Två-seansförfarande vid revision av knäprotes. Förklara detta förfarande

A

Seans 1:

  • Implantat ut. All cement ut (låter lätt!). Försök avlägsna biofilm. Synovectomi
  • Odlingar, PCR
  • Högtrycksspolning – Cementspacer med antibiotika
  • Antibiotikaterapi dubbla (trippla) preparat under 2-3 månader
  • Sätt ut antibiotika och vänta två veckor. Ta om prover –> led svullnad upp, CRP och LPK stuckit? Om inte –>

Seans 2 efter 2-3 månader:

  • Exstirpera spacer
  • Odling (PCR analys)
  • Aggressiv mjukdelsrevision
  • Spola med högtryck/ pulslavage
  • In med nya protesen
    o Ofta omfattande bendefekter och deformitet som kräver specialproteser
  • Antibiotikainnehållande cement