In order from most common to least common, list the pathological processes of the endocrine system.
Disorders of growth Degeneration/necrosis Inflammation and repair Circulatory disorders and Deposits and pigmentations
Smoochie, a 6 year old MN Poodle comes into the clinic for hair loss, eating and drinking a lot, increased urinations, and general stank. You note that the alopecia is bilaterally symmetrical and that Smoochie has a pot belly. What hormone do you suspect is elevated?

Cortisol
*Cushing’s Disease
What are the primary and secondary mechanisms for Cushings disease?
Primary: Adrenal mass causing too much cortisol production from the adrenal cortex
Secondary: Pituitary mass releasing too much ACTH and overstimulating the adrenal cortex to produce cortisol.
Abdominal imaging on Smoochie shows an enlarged liver and one very enlarged adrenal gland with a possible mass. What kind of Cushing’s disease does Smoochie have?
Primary
The adrenal tumor is tan and greasy, but you see no gross metastasis. How can you determine for sure whether the mass is benign or malignant?

Send for histopathology
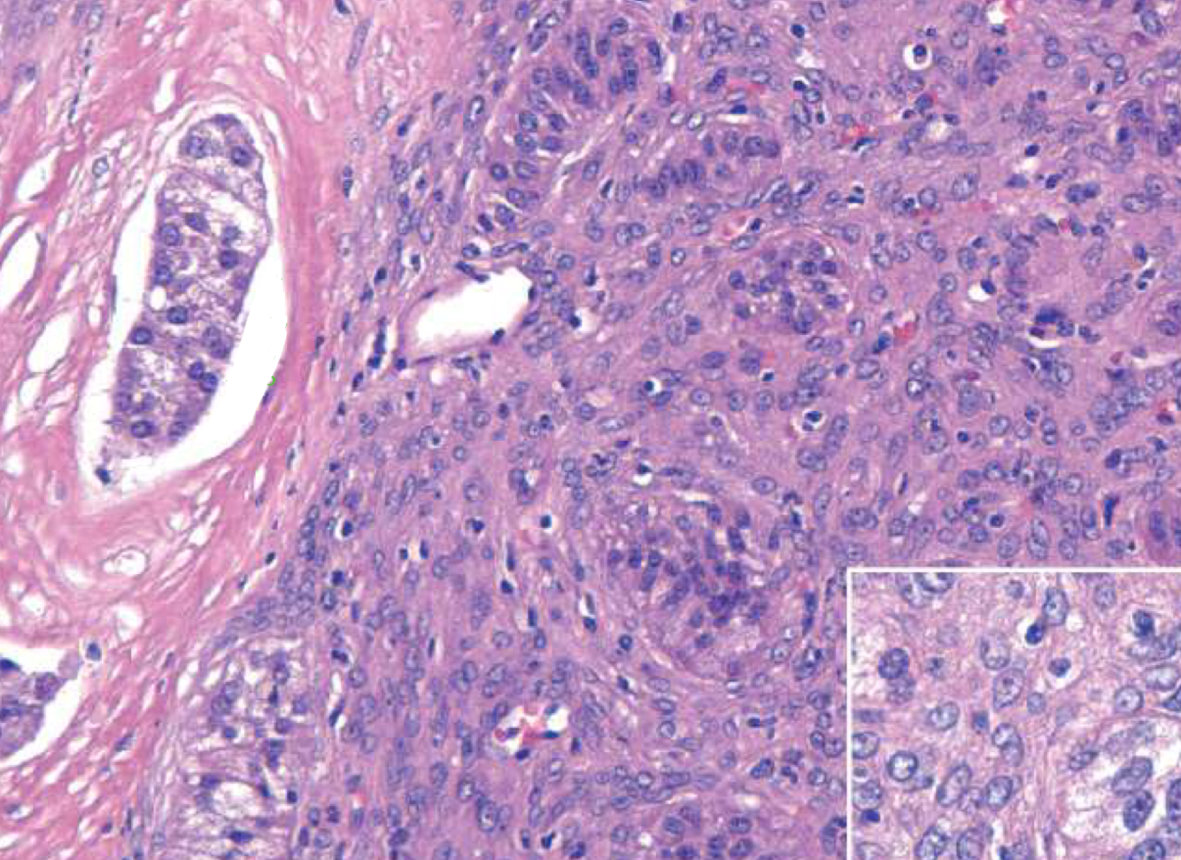
Smoochie’s adrenal tumor is sent to the lab. After looking at the histopathology, what would be your gross morphological diagnosis?

Adrenocortical adenocarcinoma
During your exploratory on Smoochie, you find that the liver is swollen and you decide to do a histology. Results show vacuolar hepatocellular degeneration. What is the likely cause of Smoochie’s liver disease?

Steroid hepatopathy of hyperadrenocorticism
*excess glycogen stores in the liver
Primary HA accounts for ____% of HA cases with half being benign tumors and half being malignant.
15%
T/F: Most adrenal tumors involved in primary HA are derived from the Zona Fasciculata.
TRUE
T/F: All adrenal tumors are productive and associated with hyperadrenocorticism.
FALSE
Secondary HA results from an ACTH producing pituitary tumor and accounts for ____% of HA cases.
85%
What part of the pituitary do most ACTH producing tumors arise from?
Pars distalis
T/F: Most pituitary tumors of the pars distalis are productive and benign.
TRUE
What are the effects of chronicly increased glucocorticoid levels on the body?
Epidermal and follicular atrophy
Hepatomegaly
Hypertension
Immunosuppression
Poor wound healing
Muscle strophy
PU/PD
What is a characteristic skin disorder associated with Cushing’s disease?
Calcinosis cutis
If this is a “functional” adrenal tumor, how does the other adrenal gland likely look?

Atrophied
The overproduction of cortisol from the diseased adrenal gland is sending negative feedback to the pituitary, so it stops producing ACTH and is no longer stimulating the healthy adrenal gland.
Another dog with clinical signs similar to Smoochie’s has bilaterally enlarged adrenal glands. What is the likely cause?

Pituitary adenoma on pars distalis producing ACTH
What is your morphological diagnosis for these adrenal glands?

MDx: adrenocortical hyperplasia
Due to pituitary adenoma
“Equine Cushings” or PPID, differs from canine Cushing’s by causing hirsuitism instead of alopecia, hyperhidrosis, and insulin resistance, and features normal cortisol levels. Why is this syndrome so different?
PPID horses have a NON-PRODUCING pituitary tumor that just squishes the hypothalamus. Signs are due to hypothalamus dysfunction.
In PPID, how do you expect the adrenal glands to look?
Normal. Adreals aren’t hyperplastic because there is no excess ACTH being produced.
Due to ADH deficiency, what is a major complication of Equine PPID?
Diabetes Insipidus
Unable to concentrate urine due to deficiency of ADH from the hypothalamus
What disorders would you expect to see in a animals with a persistent Rathkes pouch?

Dwarfism
Addisons
Hypothyroidism
*from hypopituitarism
A dog comes in with signs similar to Cushing’s disease, but cortisol is not elevated on the ACTH stim test, and adrenal glands are not located on abdominal imaging. The owner states that the dog has been healthy except for allergy flare-ups, which he received a depomedrol injection for. What would be your tenative diagnosis?
Addison’s disease
*Depomedrol injection caused iatrogenic Cushing’s disease, which lead to adrenocortical atrophy. Removal of the steroids induced Addison’s disease.
Which set of adrenal glands belong to a dog with Addison’s disease?

Top