What are the top 10 diseases of the kidney?
(Know these or die)
Chronic Renal Disease
Ethylene Glycol Toxicity
Oak Toxicity
Leptospirosis
NSAIDs
Pyelonephritis
Infarcts
Progressive Familial Renal Nephropathy
Glomerulonephritis
Renal Azotemia
A 5 year old male cat is brought in for an exam because the owner notices him going to the litter box frequently. He also hasn’t been eating and seems lethargic for the past couple days. On exam, the urinary bladder is turgid. Xrays are performed. What is your diagnosis?

Bilateral hydronephrosis due to urethral urolith obstruction.
What is the likelihood that this congenital disorder will cause azotemia?

Unlikely. Bottom of your list for azotemia unless severe and bilateral.
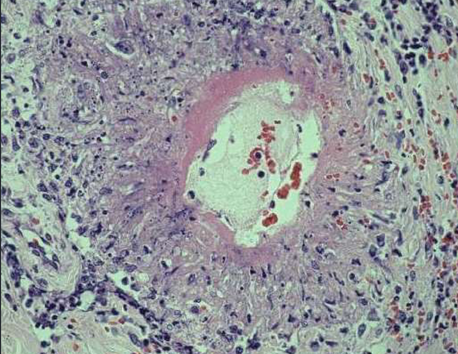
These lesions are seen on the tongue of a cat with a history of renal disease. What directly caused these lesions?

Vasculitis and subsequent ischemia
What is the underlying lesion that causes hemorrhages and ischemic necrosis in animals with renal failure?
VASCULITIS
What complications are associated with this lesion in animals with renal failure?

Hemorrhage and ischemia
*This is severe vasculitis
A 10 year old dog is presented for necropsy with a history of bloody vomit and feces, PU/PD, lethargy, and anorexia. The dog has a BCS of 1/5 and is significantly dehydrated. The kidneys are nodular, small, and pale. Examination of the GI tract reveals hemorrhagic gastritis and colitis. What is the likely cause of the GI lesions?

Vasculitis secondary to renal failure.
A 9 year old Miniature Schnauzer presents for lethargy and anorexia. The owner also states that he’s been drinking more water and peeing a lot. The dog is thin and mm are pale. PCV is 28% and MCV is normal. What is causing anemia in this patient?
Renal failure.
*Mild to moderate, non-regenerative anemia. Kidneys aren’t producing erythropoietin anymore.
In a cow with severe hydrothorax and ascites, what are the mechanisms of renal disease responsible?
Vasculitis
Hypoproteinemia
This dog has kidney failure. What gland do you expect to be hypertrophied and how did the renal disease contribute to the abnormality seen here?

Parathyroid gland will be enlarged.
Kidney disease results in decreased synthesis of Vit D, and increased serum levels of P. Both of these things will decrease serum Ca++ levels. The PT gland will respond by mobilizing Ca++ from the bones, resulting in osteoclastic osteolysis and fibrous osteodystrophy (Rubber Jaw)
What are the 2 diseases of the kidney that contribute to edema by decreasing colloidal osmotic pressure?
Glomerulonephritis
Amyloidosis
*Moderate to severe! Albumin loss! (Won’t really notice with mild disease)
A dog with renal disease presents with generalized edema and petechiae of the mm. What is the mechanism of edema in this patient?
Vasculitis
*petechiae is the clue!
How is this lesion formed in renal failure patients?

Hyperphosphatemia due to decreased renal excretion leads to mineralization of soft tissues.
Mineralization of the vessels in a patient with renal failure. How can this be predicted and prevented?

Predict with labs: Ca x P level = .70 (risk for mineralization)
Prevent by lowering serum phosphorus levels (Phos-bind)
In what species is renal hypoplasia mainly seen?
Swine
Necropsy on a 4 month old dog with history of PU/PD and hypercalcemia reveals small, nodular, end-stage kidneys. Histopathology shows underdeveloped, or “embryonic” interstitium, tubules, and glomeruli. What is your diagnosis?

Progressive Familial Renal Dysplasia
Kidney of a cow with obstruction of the ureter. What is your diagnosis?

Hydronephrosis
This kidney lesion was found unilaterally in a dog. Would you expect to have seen azotemia in this patient?

No. Azotemia occurs when hydronephrosis is bilateral.
Why might you see azotemia in a patient with an acquired renal cyst?
Fibrous tissue that is obstructing the tubule and causing the cyst can be severe enough to cause azotemia, however, the cyst itself won’t cause azotemia.
PM exam of a Persian cat reveals kidneys with numerous cysts in the cortex and medulla, giving them a “honeycomb” appearance. What is your diagnosis for renal disease in this cat?

Congenital Polycystic Kidney disease
*Also inherited in Cairn and Bull terriers, Collies, Nubian goats, pigs and lambs
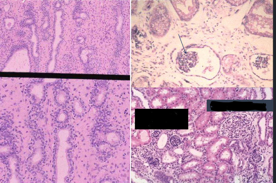
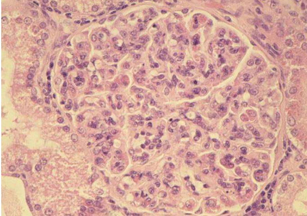
How does glomerulonephritis begin?
Ab-Ag complex deposition in the mesangium
What are 2 kidney disorders that could be causing the abdominal effusion seen in this patient?

Glomerulonephritis
Amyloidosis
What are some causes for the pathology in this kidney?

Idiopathic (most common)
Immune complex deposition:
Pyometra
Abscesses
Ehrlichia
HW Dz
FeLV
EIA
*This is glomerulonephritis
Gross pathology and histology on a dog who died with a history of renal disease. Grossly, the kidney looks end-stage. Histologically there is mineralization and fibrosis. What likely caused renal failure in this dog?

Glomerulonephritis