Where do hematopoietic cells originate in the embryo before moving to the liver, spleen and bone marrow?
Yolk sac
What species does not release reticulocytes into the blood, even in times of high demand?
Equines
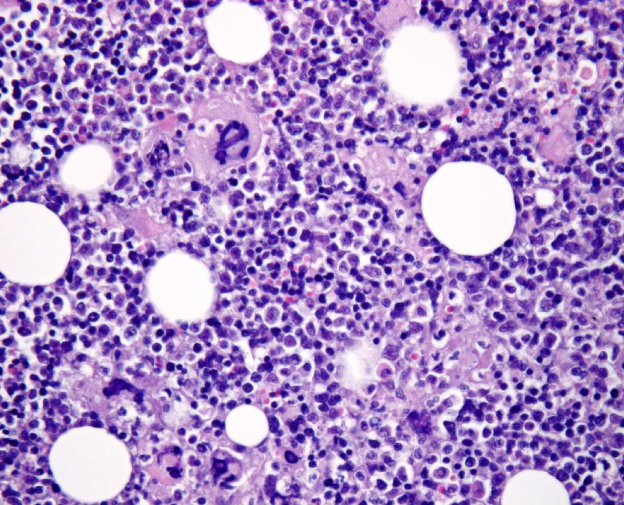
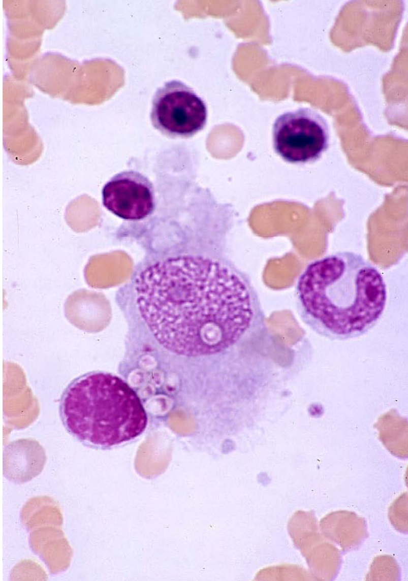
This bone marrow aspirate shows both early and late stage erythroid and myeloid cells. Is this a sample from healthy or pathologic bone marrow?

Healthy
When hematopoiesis is stimulated by cytokines, hormones, or growth factors, mature cells are released into the blood. Under what circumstances will we see immature cells released?
Bone marrow stress or disease
What blood test results will indicate examination of a bone marrow aspirate?
Unexplained cytopenias
Maturation defects/morphologic abnormalities
Myeloproliferative/Lymphoproliferative disease
Potential metastatic malignancies
T/F: A sample of bone marrow taken anywhere in the body is representative of the marrow as a whole.
TRUE
The bone marrow responds as a single tissue unit
A bone marrow core biopsy from a young cat, showing a megakaryocyte and adipose tissue. Who would you send this to for evaluation?

Morphologic pathologist
Diagnose this bone marrow of a neonatal calf.

Normal, hematopoietically active
Diagnose this bone marrow from a 13 day old foal.

Normal, hematopoietically active
Diagnose this bone marrow from a 2 month old calf.

Normal.
Yellow, butter-like marrow begins to replace red marrow as the calf ages. It serves as fat storage. The yellow color comes from carotenoids.
Diagnose this bone marrow from a goat. What is causing this change?

Serous atrophy of fat
Can be caused by starvation, severe cachexia
In addition to radiation, chemicals, and drugs, viruses can also interfere with hematopoiesis. What are some viruses responsible?
Feline parvovirus (panleukopenia)
Canine parvovirus
Equine Infectious Anemia
What pathology in this bone marrow can lead to pancytopenia?

Necrosis
What is the pathology in this bone marrow? What is probably causing it?

Supperative osteomyelitis (septic osteomyelitis)
Usually the result of bacterial infections.
What type of osteomyelitis would be diagnosed in this patient?

Granulomatous osteomyelitis.
*This patient has histoplasmosis. Granulomatous osteomyelitis is usually the result of fungal infections (histoplasma, coccidioides), and sometimes TB.
What is a potential complication of osteomyelitis?
Pancytopenia
Necropsy on a cat from the Ohio River Valley shows granulomatous uveitis, hepatitis, and splenitis. What is the likely causative agent?

Histoplasma capsulatum
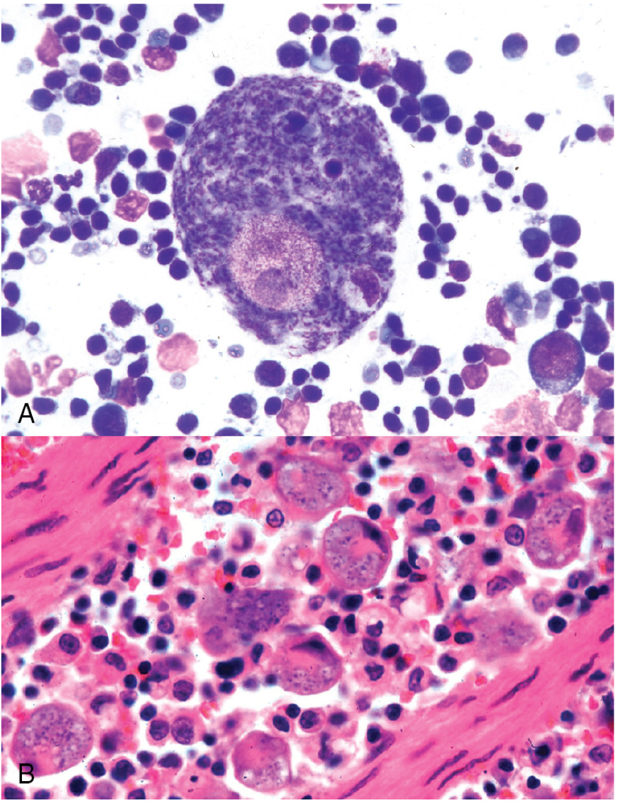
Tissue aspirates from a necropsy of a cat in Missouri show large macrophages filled with schizonts. What was the likely cause of death?

Occlusion of the vessels of the lungs, brain, liver, LN, and spleen.
*The protozoal parasite is Cytauxzoon felis. In the schizogenous phase, marcophages become very large after phagocytosing schizonts and will occlude vessels. In the erythrocytic phase, anemia results.
Bone marrow hypoplasia or atrophy, or decreased proliferative activity, is associated with an increase in what type of marrow?
Yellow
Bone marrow aspirate from a Guinea Pig showing replacement of marrow with collagen-rich fibrous connective tissue. What is this called and what was the cause?

Myelofibrosis cused by Vitamin C deficiency (scurvy)
*Replacement of marrow is called myelophthisis. It can be replaced with CT, or by malignant neoplasias.
What are the 2 mechanisms of pancytopenia?
Myelophthisis
Abnormality/Destruction of hematopoietic cells
Replacement of yellow marrow by red marrow at the metaphysis and endosteal surface of the diaphysis indicates what process?
Marrow hyperplasia
What mechanisms will cause increased cell production (hyperplasia) in the bone marrow?
Decreased cells in the blood due to increased peripheral demand
Adequate numbers of hypofunctional cells in the blood.
Hyperplastic bone marrow is found in a 4 month old calf with leukocytosis and a history of recurrent bacterial infections. What disease does this cow likely have?
Bovine Leukocyte Adhesion Deficiency (BLAD)