ENDOCRINO Flashcards

(90 cards)

1
Q

HORMONAS
Tipos

A
  • Péptidicas
  • Aminoácidos
  • Esteroideas (base son lípidos)
How well did you know this?
1
Not at all
2
3
4
5
Perfectly
2
Q

HIPOTÁLAMO
SECRECIÓN

A

Núcleos supraópticos y paraventricular:
* Vasopresina (ADH) (hormona antidiurética)
* Oxitocina
* Hormonas estimulantes e inhibidoras de la hipófisis

How well did you know this?
1
Not at all
2
3
4
5
Perfectly
3
Q

ADENOHIPÓFISIS
Producción

A
  • FSH
  • LH
  • GH
  • PR
  • ACTH (adrenocorticotrópica)
  • TSH
How well did you know this?
1
Not at all
2
3
4
5
Perfectly
4
Q

Cuadro clínico de un px con diabtes mellitus

A

Polidipsia: sed excesiva.
Poliuria: aumento en la cantidad de orina.
Polifagia: ingesta de alimentos aumentada.

How well did you know this?
1
Not at all
2
3
4
5
Perfectly
5
Q

Px con los siguientes datos:
Polidipsia: sed excesiva.
Poliuria: aumento en la cantidad de orina.
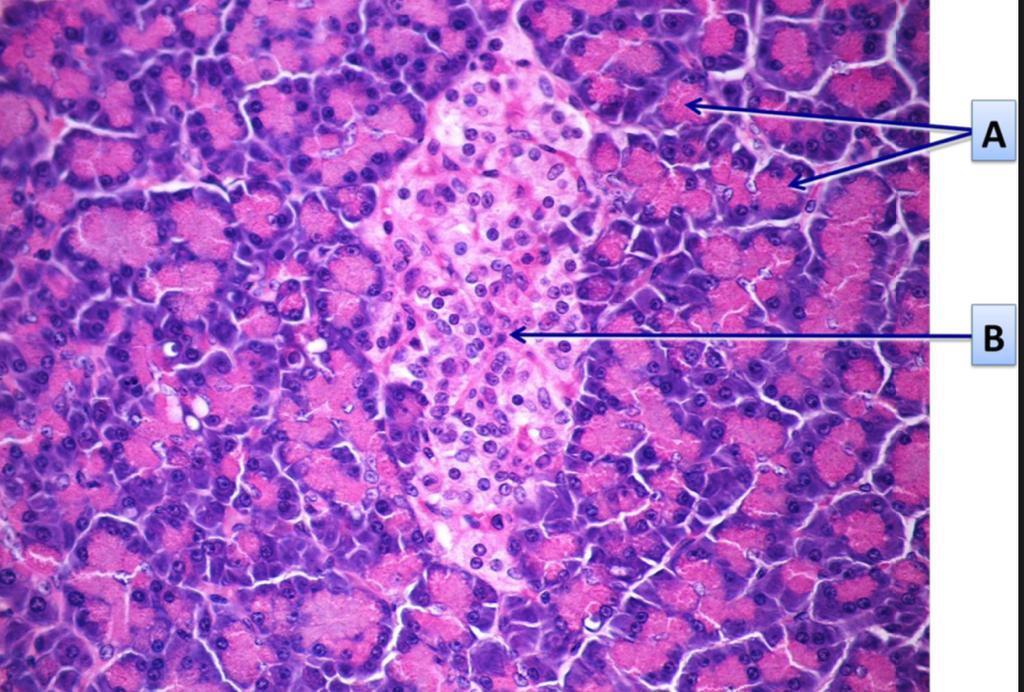
Polifagia: ingesta de alimentos aumentada.
PERO EN SU ORINA NO TIENE GLUCOSURIA

A

Diabetes insipida
Tiene alteración en la ADH
* Diabetes insipida central: alteración en neurohipofisis o hipotálamo
* Diabetes insipida periférica:Alteración en los receptores de ADH renales

How well did you know this?
1
Not at all
2
3
4
5
Perfectly
6
Q

TIROIDES
Producción

A

T3 y T4
Folículos: Cada célula folicular produce T3 y T4
Células parafoliculares / Células C: producen calcitonina (importante en el metabolismo del calcio)

T3 y T4- Dan estabilidad / equilibriio, regulan temperatura, estado de ánimo

How well did you know this?
1
Not at all
2
3
4
5
Perfectly
7
Q

GlÁNDULAS PARATIROIDES
Producción

A

Paratohormona (papel importante en la regulación del calcio)

How well did you know this?
1
Not at all
2
3
4
5
Perfectly
8
Q

Órganos que regulan el metabolismo del calcio

A
  • Intestino
  • Hueso
  • Riñón
  • Tiroides y paratiroides
How well did you know this?
1
Not at all
2
3
4
5
Perfectly
9
Q

Riñones
Producción

A

A nivel de los tubulos producen eritroproyectina (estimula a la médula ósea para la eritropoyesis).

How well did you know this?
1
Not at all
2
3
4
5
Perfectly
10
Q

División de la glándula suprarrenal

A
  • Corteza
  • Médula
How well did you know this?
1
Not at all
2
3
4
5
Perfectly
11
Q

GLÁNDULA SUPRARRENAL
CAPAS DE LA CORTEZA (3)

A
  • Glomerular
  • Fasicular
  • Reticular
How well did you know this?
1
Not at all
2
3
4
5
Perfectly
12
Q

GLÁNDULA SUPRARRENAL
Glomerular- Secreción

A

MINERALOCORTICOIDES

How well did you know this?
1
Not at all
2
3
4
5
Perfectly
13
Q

GLÁNDULA SUPRARRENAL
Fasicular - Secreción

A

GLUCOCORTICOIDES

How well did you know this?
1
Not at all
2
3
4
5
Perfectly
14
Q

GLÁNDULA SUPRARRENAL
RETICULAR- Secreción

A

Hormonas sexuales - andrógenos

How well did you know this?
1
Not at all
2
3
4
5
Perfectly
15
Q

GLÁNDULA SUPRARRENAL
MÉDULA- Secreción

A

Neurotransmisores:
* Norepinefrina
* Epinefrina

How well did you know this?
1
Not at all
2
3
4
5
Perfectly
16
Q

Todas las secresiones de la glándula suprarrenal tienen origen diferente por lo que producen patologías diferentes. v/f

A

VERDADERO

How well did you know this?
1
Not at all
2
3
4
5
Perfectly
17
Q

Patología más frecuente de la corteza de la glándula suprarrenal

A

Adenoma de la corteza suprarrenal

How well did you know this?
1
Not at all
2
3
4
5
Perfectly
18
Q

Patología más frecuente de la médula en adultos y en niños:

A

ADULTOS: feomesitroma glandula suprarrenal
NIÑOS: neuroblastoma glandula suprarrenal

How well did you know this?
1
Not at all
2
3
4
5
Perfectly
19
Q

PÁNCREAS
Conformación endrocrina y exocrina

A

ENDOCRINA: Islotes de Langerhans
EXOCRINA: Acinos pancreáticos

How well did you know this?
1
Not at all
2
3
4
5
Perfectly
20
Q

PÁNCREAS
Conformación de su porción endrocrina

A

ISLOTES DE LAGERHANS
* Células alfa - glucagón
* Células beta - Insulina
* Células delta -
* Células PP -

Las primeras dos son las más importantes y abundantes porque van a regular los picos de glucosa.

How well did you know this?
1
Not at all
2
3
4
5
Perfectly
21
Q

PÁNCREAS
Conformación de la porción exocrina

A

Acinos páncreaticos - hormonas digestivas

How well did you know this?
1
Not at all
2
3
4
5
Perfectly
22
Q

INTESTINO
Sistema endocrino difuso

A

El sistema endocrino difuso es el encargado de secretar hormonas que ayudan a la digestión y mantener cierta estabilidad emocional.

How well did you know this?
1
Not at all
2
3
4
5
Perfectly
23
Q

GÓNADAS
Testículos - secreción

A

TESTOSTERONA

How well did you know this?
1
Not at all
2
3
4
5
Perfectly
24
Q

GÓNADAS
OVARIOS - secreción

A
  • Estrógenos
  • Inhibina
  • Progestágenos
How well did you know this?
1
Not at all
2
3
4
5
Perfectly
25
Px de salida de un líquido blanco por las mamas (galactorrea).
Razones: * Esta embarazada (prueba de embarazo) - NEGATIVA * Tumor en la adenohipofisis-produce mucha prolactina (prolactinoma) Es el tumor más común y es el único túmor que es funcional, el resto no son funcionales (no producen hormonas, entonces los px no presentan cuadro clínico evidente, más que el cuadro clínico que esta apachurrando los nervios ópticos).
26
**ADENOMAS** *Clasificación*
* Miden + 1.5 cm - macroadenomas (se vigilan y se da tratamiento médico, al menos que tenga una alteración muy grave de ocupación)
27
# NO HAY EN EL LAB **GLÁNDULA PINEAL** *Características*
* Órgano con células pequeñas redondas * Calcificaciones (son normales en SNC en la pineal, son cuerpos amilaceos / cuerpos desamomanos) (No en todos lados tienen calcificaciones) * Formada por células pinealocitos, astrocitos y axones. * Tiene vasos (endocrino-función)
28
ENDOCRINO- lo mandan por sangre EXOCRINO- lo mandan por conductos v/f
VERDADERO
29
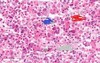
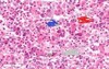
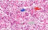
Órgano muy vascularizado, con células pequeñas redondas azules y tienen un fondo que me recuerdan a neuropilo (aunque no es por las prolongaciones de los axones y astrocitos).
GLÁNDULA PINEAL
30
**GLÁNDULA PINEAL** *Flecha negra señala:*
Pinealocitos
31
**GLÁNDULA PINEAL** *Flecha roja señala:*
Astrocitos
32
GLÁNDULA PINEAL Se puede observar claramente..
OSIFICACIONES
33
Se muestra una imagen del ógano..
GLÁNDULA PINEAL En esa imagen no se observan osificaciones.
34
Se muestra el siguiente órgano que es..
GLÁNDULA PINEAL
35
Sirve para la contracción muscular en el útero durante el trabajo de parto y a las células musculares que estan alrededor de los conductos galactoforos y presionen para la salida de leche.
OXITOCINA
36
Es muy celular, encargada de almacenar y secretar las siguientes hormonas: * Prolactina * Hormonas gonadotrópicas (LH, FSH) * Hormona estimulante del tiroides * Adrenocorticotropina (ACTH) * Hormona del crecimiento
ADENOHIPÓFISIS
37
**ADENOHIPÓFISIS** *Células*
* Somatotropinas * Acidófilas (rozadas) * Basófilas (azules) * Cromófobas (no tienen afinidad tintorial - ya envejecieron y ya producieron lo que debían O son células muy jóvenes que aún no han decidido que van a producir)
38
ADENOHIPÓFISIS Células y secreción
**Células basófilas:** ACTH, FSH, TSH, LH **Células acidófilas:** Hormona de crecimiento y prolactina **Células cromófobas**
39
Las hormonas no se producen, solo se almacenan en los cuerpos de Herring
NEUROHIPÓFISIS
40
NEUROHIPÓFISIS Lugar de producción y Almacenaje
PRODUCCIÓN: * Núcleo supraóptico * Núcleo paraventricular ALMACENAJE: N.S. - Antidiuretica (ADH) N.P - Oxitocina
41
**ADENOHIPÓFISIS** *Células acidófilas (2)*
* Somatotropinas (hormona del crecimiento) * Lactotropinas (prolactina)
42
**ADENOHIPÓFISIS** *Células basófilas (3)*
* Corticotropinas (ACTH) * Tirotropinas (TSH) * Gonadotropinas (LH y FSH)
43
Es más pequeña, es rosada (casi homogénea), menos cantidad de células.
NEUROHIPÓFISIS
44
Tiene gran población celular (produce y almacena)
ADENOHIPÓFISIS
45
Nos habla de donde se originó la hipofisis, el prestigio de la hipófisis más primitiva.
Quistes / bolsas de Rathke
46
Se está señalando:
QUISTES DE RATHKE O BOLSAS DE RATHKE
47
El siguiente órgano es:
HIPÓFISIS
48
Se observa algo distintivo que es el prestigio del origen de la hipófisis primitiva
QUISTE DE RATHKE
49
Se muestra:
ADENOHIPÓFISIS
50
**ADENOHIPÓFISIS** *En azul se muestran las células:*
Células basófilas
51
**ADENOHIPÓFISIS** *En rojo se muestran las células:*
Células acidófilas
52
**ADENOHIPÓFISIS** *En gris se muestran las células:*
CROMOFOBAS
53
Se muestra:
NEUROHIPÓFISIS -Se ven muchos capilares -Pocas células -Solo almacena
54
**TIROIDES** *Características:*
* Foliculos tiroideos (tienen coloide): T3 y T4 * Células parafoliculares / células C: calcitonina
55
**Células parafoliculares NO ES LO MISMO QUE glándulas paratiroideas.** *Explicación:*
Células parafoliculares ESTAN JUNTO a los folículos. Glándulas paratiroides ESTÁN JUNTO a la tiroides.
56
La siguiente muestra el órgano llamado..
TIROIDES
57
Estructuras y órgano
Órgano: Tiroides Estructuras: folículos (T3 y T4), coloide, células parafoliculares (calcitonina).
58
Se muestra:
GLÁNDULA SUPRARRENAL
59
Tinción de la siguiente imagen:
TRICROMICO DE MASSON (Está en azul la capsula que envuelve a la glándula suprerrenal)
60
**GLÁNDULA SUPRARRENAL** *Zona glomerular secreta:*
***SALT*** **Mineralocorticoides:** *Aldosterona (Na)*
61
**GLÁNDULA SUPRARRENAL** *Zona fasicular secreta:*
***SUGAR*** **Glucocorticoides:** *cortisol (cortisona y corticosterona)*
62
**GLÁNDULA SUPRARRENAL** *Zona reticular secreta:*
***SEX*** **Andrógenos deboles:** androstenediona, hormonas sexuales
63
**GLÁNDULA SUPRARRENAL** *Médula - secreta:*
**Neurotrasmisores:** *Epinefrina y norepinefrina*
64
Px con feomesitroma, qué se va a elevar?
Los neurotransmisores
65
Px con síntomas cushingoideades (elevación de cortisol), con adenoma, asegura no tomar esteroides, ¿dónde podría tener una lesión?
En la zona fasicular
66
Px pediátrico de 4 años con pubertad precoz (vello púbico), ¿cuál puede ser una posibilidad de diágnostico?
Adenoma que este estimulando la zona reticular O Tumor de ovario que este produciendo demasiadas hormonas sexuales O Tumor en la adenohipófisis
67
SE MUESTRA
GLÁNDULA SUPRERRENAL
68
**GLÁNDULA SUPRARRENAL - CORTEZA** *Capas*
1. Glomerular 2. Fasicular 3. Reticular
69
Órgano y estructuras que se pueden ver en la siguiente imagen:
Órgano: glándula suprarrenal Estructuras: cápsula, zona glomerular y un poco de la zoa fasicular.
70
Nombre de la capa que señala la letra A
GLOMERULAR
71
Nombre de la capa que señala la letra B
Fasicular
72
Nombre de la capa que señala la letra C
RETICULAR
73
**NOTA** *Diabetes*
La diabetes empieza por la resistencia a la insulina en los receptores periféricos (por lo picos de glucosa tan elevados en ayunas). Por ello, los primeros medicamentos que se dan son la metformina que estimulan a los receptores para que salgan (porque se tiene producción de insulina). PERO un px diabético con 40 años de evolución de la enfermedad, que ya no tiene ni una célula beta del páncreas, en ese caso ya se le debe de dar insulina o ese px tendra daño por los picos de glucosa (algunos daños son: (nefropatía, neuropatía, retinopatía- que son vasos pequeños). Si tu cuidas los picos de glucosa de tu px el no tendra daños. Y no esperas hasta que ya no tenga células para darle insulina sino es antes. Los picos de glucosa cuando se tiene el páncreas sano van a llevar a dañar las células beta. ¿Qué se debe de hacer? no romper el ayuno con azúcar.
74
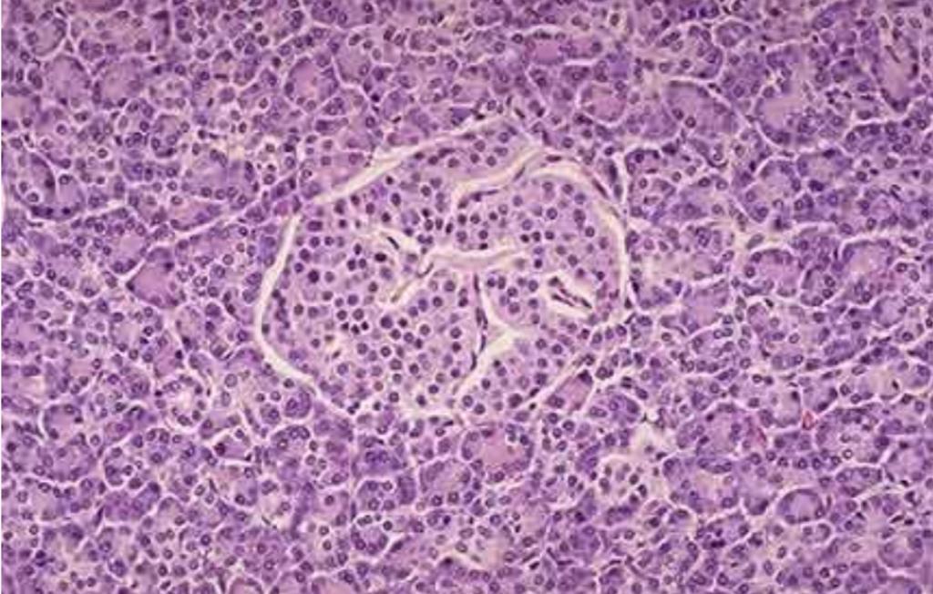
La letra A señala:
Acinos pancreáticos
75
La letra B señala:
Islote de Lagerhans
76
La parte exocrina del páncreas es la responsable de empezar la digestión, cuando se tiene pancreatitis,________ se activan antes de tiempo y comienzan a digerir.
ACINOS PANCREÁTICOS
77
Órgano
PÁNCREAS
78
LA FLECHA ROJA MUESTRA:
Células como en rehilete o en desorden es: Tromboovari
79
LA FLECHA AZUL SEÑALA:
Un folículo primordial
80
Se muestra:
Ovario Generalmente los folículos primordiales están en la periferia
81
Es una cicatriz de un folículo que ya ovulo.
CUERPO ALBICANS / BLANCO
82
ÓRGANO
HIPÓFISIS
83
¿Cuál de las siguientes glándulas se organiza en folículos?
**B** TIROIDES
84
¿Cuál de los siguientes tipos celulares secreta somatotropinas?
**B** Las células somatotropinas son células basófilas (azules, ee maso menos)
85
¿Cuál de las siguientes glándulas secreta melatonina y serotonina?
**B** Glándula pineal
86
¿En cuál de las siguientes áreas se secretan los glucocorticoides?
**C** Fasicular
87
¿Cuál de las siguientes secreta una hormona que incrementa el calcio en la sangre?
**A** Tiroides
88
Órgano
Testículo Conductos seminiferos
89
ÓRGANO:
Testículo
90
Estructuras presentes:
* Testículo * Epididímo