TEJIDO LINFOIDE Flashcards

(71 cards)

1
Q

División del sistema linfoide (2)

A

-Nodular
-Difuso (esta desoordenado y no se puede determinar que forma tiene)

How well did you know this?
1
Not at all
2
3
4
5
Perfectly
2
Q

Nodular se divide en

A

-Capsulado
-No encapsulados

How well did you know this?
1
Not at all
2
3
4
5
Perfectly
3
Q

Nodulos capsulados (3)

A

-Ganglios linfáticos
-Timo
-Bazo

How well did you know this?
1
Not at all
2
3
4
5
Perfectly
4
Q

Nodulos no encapsulados

A

-Placas de Peyer (ileón)

How well did you know this?
1
Not at all
2
3
4
5
Perfectly
5
Q

E.g. de difuso

A

Sistema MALT (O GALT depende de donde este) malt es tejido linfoide asociado a mucosas, cualquier mucosa que tenga tejido linfoide es MALT y es difuso

How well did you know this?
1
Not at all
2
3
4
5
Perfectly
6
Q

Tienen centros germinales

A
How well did you know this?
1
Not at all
2
3
4
5
Perfectly
7
Q

Es la inmunidad con la que nacemos

A

INMUNIDAD NATURAL O INNATA

How well did you know this?
1
Not at all
2
3
4
5
Perfectly
8
Q

Esta inmunidad es por contacto, rápida e inespeficifica

A

Inminudad innata o natural

How well did you know this?
1
Not at all
2
3
4
5
Perfectly
9
Q

Notita de inmunidad innata o natural

A

-Se encuentra en las mucosa, va a ser lo primero en responder pero como no es tan específica no es tan funcional PERO va a mantener a la infección para que entre la inmunidad especifica y pueda destruir.

Va ser activa o pasiva

How well did you know this?
1
Not at all
2
3
4
5
Perfectly
10
Q

Esta mediada por células y proteínas que se hallan siempre presentes y equilibradas para luchar frente a los microbios y son llamdas a entrar en acción para eliminar o prevenir una infección.
-Adquirida por herencia o medios biológicos.

A

INMUNIDAD NATURAL O INNATA

How well did you know this?
1
Not at all
2
3
4
5
Perfectly
11
Q

Inmunidad innata activa

A

Requiere gastar energía el cuerpo humano para producirla

How well did you know this?
1
Not at all
2
3
4
5
Perfectly
12
Q

E.g. de inmunidad pasiva

A

Cuando la mamá amamanta a su bébe, en la leche le pasa anticuerpos preformados y ya el bebé se los toma y no necesita hacer nada más que comer para obtener esa inmunidad.

How well did you know this?
1
Not at all
2
3
4
5
Perfectly
13
Q

Es la inmunidad que vas obteniendo a lo largo de tu vida

A

INMUNIDAD ADQUIRIDA O ADAPTATIVA

How well did you know this?
1
Not at all
2
3
4
5
Perfectly
14
Q

-Responde más especificamente ante los patógenos.
-Memoria inmunológica que evita una segunda infección.
-Tiempo de respuesta es mayor que el de la innata (horas o días)
-Se adapta para reconocer, eliminar y más tarde recordar al patógeno invasor.

A

INMUNIDAD ADAPTATIVA O ADQUIRIDA

How well did you know this?
1
Not at all
2
3
4
5
Perfectly
15
Q

Tipos de inmunidad adquirida o adaptativa

A

-Humoral
-Celular

How well did you know this?
1
Not at all
2
3
4
5
Perfectly
16
Q

INMUNIDAD ADAPTATIVA HUMORAL

A

Depende de células plasmáticas, anticuerpo e inmunoglobulinas

How well did you know this?
1
Not at all
2
3
4
5
Perfectly
17
Q

INMUNIDAD ADAPTATIVA CELULAR

A

Necesita de linfocitos T, son capaces de destruir el antigéno.

How well did you know this?
1
Not at all
2
3
4
5
Perfectly
18
Q

Notita de inmunidad adaptativa

A

-Comienzan pocos dias después de la infección inicial.
-SEGUNDA LÍNEA DE DEFESA que elimina los patógenos que evaden las reacciones innatas o presisten a pesar de ellas.
-Reacción inmunitaria adapatativa es la MEMORIA.
-Si el agento patógeno infecta en una segunda ocasión: las c´lulas de memoria permiten que el sistema inmunitario monte un ataque rápido y muy eficas vs el inasor.

How well did you know this?
1
Not at all
2
3
4
5
Perfectly
19
Q

Respuesta específica del sistema inmune en la que interviene el reconocimiento de antígenos y la producción de anticuerpos. Mediada por anticuerpos solubles producidos por linfocitos B. El ataque se produce con anticuerpo que inactivan y/o marcan los agentes potebcialemente peligrosos para que sean destruidos.

A

INMUNIDAD HORMONAL

How well did you know this?
1
Not at all
2
3
4
5
Perfectly
20
Q

Mediada por los linfocitos T que atacan directamente a microorganismo intracelulares y sus toxinas. Determinadas células del sistema inmunitario liberan toxinas para matar a los invasores sin la intervención de anticuerpos.

A

INMUNIDAD CELULAR

How well did you know this?
1
Not at all
2
3
4
5
Perfectly
21
Q

Es la inmunidad que adquiere un organismo frente a una enfermedad infecciosa después e haberla padecido. Se debe a la respuesta secundaria al permaner en el medio interno linfocitos B de memoria o los mismo anticuerpos.

A

INMUNIDAD ACTIVA

How well did you know this?
1
Not at all
2
3
4
5
Perfectly
22
Q

¿Quiénes intervienen en la inmunidad activa?

A

-Fagocitos (macrófagos y neutrófilos)
-Sistema de complemento
-Células NK
-Interleucinas
Según la enfermedad, la inmunidad puede durar activa toda la vida o un intervalo de tiempo.

How well did you know this?
1
Not at all
2
3
4
5
Perfectly
23
Q

Esta inmunidad asiste cuando la respuesta inmunitaria activa no es suficiente.

A

INMUNIDAD PASIVA

How well did you know this?
1
Not at all
2
3
4
5
Perfectly
24
Q

Proviene de la sueroterapia, que suministra suero sanguíneo proveniente de un donante inmune.

A

Inmunidad pasiva

How well did you know this?
1
Not at all
2
3
4
5
Perfectly
25
Notita de inmunidad pasiva
Esta puede ser por la mamá o por algunas vacunas pueden pasar anticuerpos preformados y sirvan como inmunidad pasiva.
26
En el tejido linfático tiene -Células -Estroma ¿Cuáles son?
CÉLULAS Linfocitos T y B Células presentadoras de antígenos: macrófagos, dendriticas ESTROMA Células/fibras reticulares (tejido conectivo que dan sostén, el armazón en red que va a sostener a las células)
27
ESTROMA FINO
-Células reticulares -Fibras reticulares
28
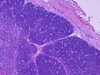
Se muestra tejido linfatico
DIFUSO
29
En el tejido linfático nodular se encuentra (5)
-Linfoblastos -Linfocitos -Plasmocitos -Macrofagos -Células reticulares
30
En el centro germinativo hay linfocitos
LINFOCITOS B
31
Alrededor del centro germinal se encuentran linfocitos
LINFOCITOS T
32
-Sin cápsula -Se encuentra en la lámina propia -Está en: TGU Respiratorio Intestinal
DIFUSO
33
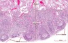
NÓDULOS LINFÁTICOS NO ENCAPSULADOS
PLACAS DE PEYER (Se observan en nódulos pero no puedo observar ninguna capsula)
34
¿Dónde se encuentran las placas de peyer?
ILEÓN
35
Para que se considere que el nódulo sea encapsulado es porque la capsula es de
TEJIDO CONECTIVO
36
NÓDULOS SEMIENCAPSULADOS e.g.
Amígdala palatina (la mitad tiene capsula y la otra no)
37
Carcaterísticas de la amígdala palatina
-Es linfoide. -Nódulo semiconservador (la mitad tiene capsula (en la parte inferior) y la otra no). -En la parte superior tiene epitelio escamoso estratificado. -Por debajo tiene centros germinales enormes.
38
Órganos línfáticos PRIMARIOS (2) (hay hematopoyesis)
-Timo -Médula ósea
39
Órganos linfáticos SECUNDARIOS (hay hematopoyesis)
-Ganglios -Bazo
40
PARÉNQUIMA del ganglio linfático
* CORTEZA -Nódulos linfaticos / centros germinales: linfocitos B madurando *(y tejido linfático difuso)* Zona paracortical y zona timo-dependiente: linfocitos T * MÉDULA Cordones medulares / vasos sanguíneos
41
ESTROMA del ganglio linfático
Compuesto por dos tipos de estromas: * Estroma grueso Cápsula- tejido conectivo denso irregular (con fibras musculares lisas en rumiantes) Trabéculas Hilio * Estroma fino Células reticulares Fibras reticulares
42
Nombre que recibe el espacio por debajo de la cápsula y la corteza del ganglio linfático
SENO SUBCAPSULAR (por debajo de la cápsula, seno-espacio)
43
Único órgano que tiene seno subcapsular
Ganglio linfático (Una manera para saber si estoy en un ganglio linfático sin importar que este sustituido por células neoplasicas, es encontrar en el seno subcapsular. Ya que es uno de los principales sitios de metastasis de las neoplasias, se sustituyen todas las células del ganglio linfático por células neoplasicas)
44
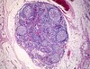
Se muestra
GANGLIO LINFÁTICO
45
CENTRO GERMINAL *caractrísticas funcionales, como su composición*
-Dendriticas foliculares -Linfocitos B -Células plasmáticas Función: -Activación y proliferación de linfocitos B -Diferenciación LB a células plasmáticas (importantes para la inmunidad humoral, porque producen anticuerpos)
46
Se encarga de la proliferación y activación de los linfocitos B
Centro germinal del ganglio linfático
47
Sitio donde sucede la diferenciación de células plasmáticas, importantes para la inmunidad humoral
Centros germinales del ganglio linfático
48
FUNCIONES DEL BAZO
-Hematopoyesis -Hemocateresis (destrucción de eritrocitos y conservación de hierro) -Almacenamiento de sangre -Defensa (al tener centros germinales)
49
Estroma del bazo *(Igual que todos)*
* Estroma grueso -Cápsula (tejido conectivo denso irregular) con fibras musculares lisas -Trabéculas -Hilio * Estroma fino -Citoretículo de células reticulares -Fibras reticulares
50
PARÉNQUIMA / PULPA ESPLÉNICA
-Pulpa roja -Pulpa blanca
51
PULPA BLANCA
* Tejido linfático nodular (folículos esplénicos- LINFOCITOS B) * Vainas linfáticas periarteriales * Zona marginal / cortical - LINFOCITOS T * Arteria penicilado Funciones: Presentación de antígenos Activación y proliferación de linfocitos Producción de anticuerpos
52
PULPA ROJA
Tejido linfático cordonal- cordones esplénicos son Malla de células reticulares Vasos Sinusoides o senos esplénicos Función: destrucción de plaquetas, eritrocitos, conservación de hierro e hemoglobinas
53
La siguiente estructura es:
La pulpa blanca y roja del BAZO
54
Se muestra:
BAZO
55
TIMO
* Órgano linfoepitelial (la parte epitelial se lo da los corpúsculos de hassall-se encuentran en la médula), parenquimatoso * Activo en animales jóvenes, involuciona con la edad * Permite la proliferación y diferenciación de linfocitos T, produce timosina.
56
Estromas del bazo
* Estroma grueso -Cápsula (tejido conectivo denso irregular) Trabéculas (dividen al órgano en lobulillos) Hilio * Estroma fino -Células reticuloepiteliales
57
PARÉNQUIMA DEL timo
* CORTEZA Abundantes linfocitos T inmaduros y macrófagos * MÉDULA Abundantes linfocitos maduros, linfoblastos, macrófagos y córpusculos de Hassall
58
Característico del timo, específicamente en su médula
Corpúsculos de Hassall
59
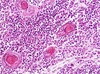
SE MUESTRA:
TIMO (en la corteza, los puntitios blancos, como estrellas son los macrófagos)
60
El timo solo tiene linfocitos_____________, **es por ello que no se necesita de la inmunohhisoquimica para asegurar que tipo de linfocitos observamos.**
LINFOCITOS T
61
Se muestran:
CÓRPUSCULOS DE HASSALL / TÍMICO
62
Se muestra el ----------- dentro del centro germinal, que unicamente se ve en el bazo.
VASO PENICILADO
63
Se muestra:
BAZO
64
CORPÚSCULO DE HASSAL
65
Se muestra:
GANGLIO LINFÁTICO
66
Se muestra:
Centro germinal
67
Se muestra:
BAZO
68
Se muestra:
TIMO
69
Se muestra:
TIMO
70
Se muestran:
CÓRPUSCULOS DE HASSALL *bazo-médula*
71
Se muestra:
GANGLIO LINFÁTICO