OJO Flashcards

(63 cards)

1
Q

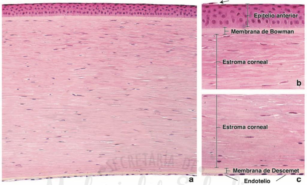
CÓRNEA
Estratos

A

Son 5

  • Epitelio corneal
  • Membrana de Bowman
  • Estroma corneal
  • Membrana de Descemet
  • Endotelio
How well did you know this?
1
Not at all
2
3
4
5
Perfectly
2
Q

CÓRNEA
Epitelio corneal

A

Plano estratificado no queratinazado

How well did you know this?
1
Not at all
2
3
4
5
Perfectly
3
Q

CÓRNEA
Se muestra:

A

Estroma corneal

How well did you know this?
1
Not at all
2
3
4
5
Perfectly
4
Q

CÓRNEA
Membrana de Bowman

A
  • Láminas homogenea, ligeramente fibrilar de 8-10mm
  • Da resistencia a la córnea
  • Actúa como barrera contra la propagación de infecciones
  • No se regenera
How well did you know this?
1
Not at all
2
3
4
5
Perfectly
5
Q

CÓRNEA
Epitelio corneal - características

A
  • Regeneble 7 días
  • Células madre: corneolímibicas
  • Sensibilidad extrema al contacto (terminaciones nerivosas libre)
  • Los núcleos de las células epiteliales corneales contienen ferritina (nos protege de la luz UV)
How well did you know this?
1
Not at all
2
3
4
5
Perfectly
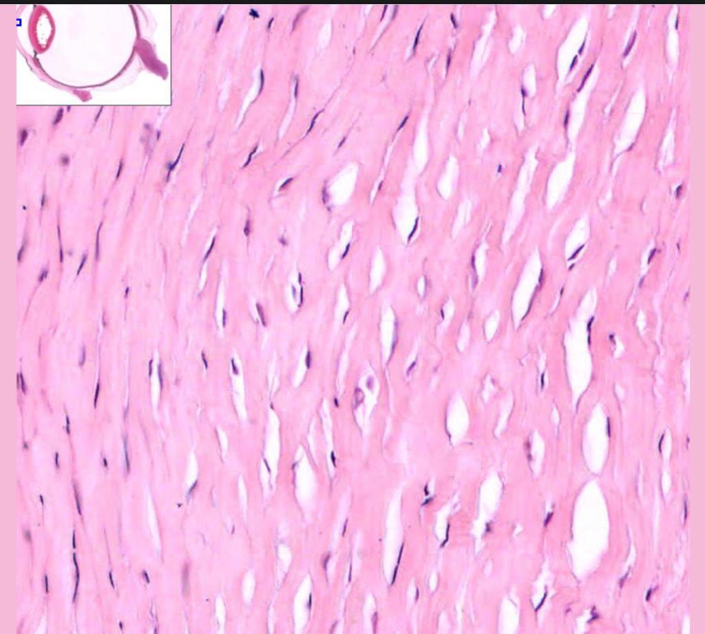
6
Q

CÓRNEA
Estroma corneal

A
  • Constituye el 90% del espesor de la córnea
  • 60 laminillas finas de fibras de colágeno
  • Pequeños proteoglucanos ricos en leucina (lumicano: regula es establemiento de las fibras de colágeno y decorina)
  • Mucho colágeno tipo IV
How well did you know this?
1
Not at all
2
3
4
5
Perfectly
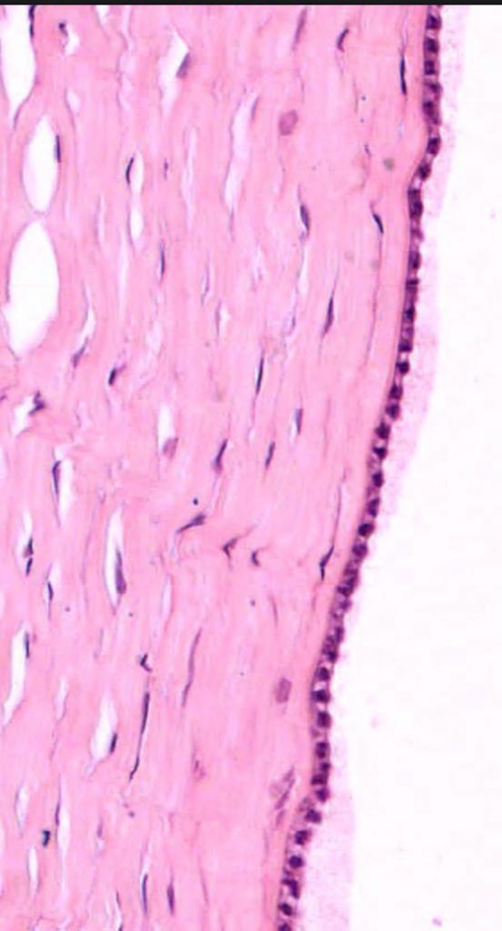
7
Q

CÓRNEA
Membrana de Descemet

A
  • Es la lámina basal de las células endoteliales corneales
  • Formada por red de fibras y poros
  • Se regera con rápidez
  • Se extiende de forma periférica por debajo de la esclerótica en forma de malla para formar el ligamento pectíneo (da la curvatura de la córnea)
How well did you know this?
1
Not at all
2
3
4
5
Perfectly
8
Q

CÓRNEA
Endotelio corneal

A
  • Plano simple unidas por uniones adherentes, ocluyentes y desmosomas
  • Tapiza la superficie de la córnea que limita la cámara anterior
  • Entrada de intercambio de metabólicos
  • Tiene capacidad limitada de proliferación (cuando se daña es trasplante)
How well did you know this?
1
Not at all
2
3
4
5
Perfectly
9
Q

ESCLERÓTICA

A
  • Tejido conectivo denso fibroso
  • Capa fibrosa gruesa que contiene haces de colágeno aplanados
  • Se divide en tres capas: lámina epiescleral, sustancia propia (cápsula de Tenon), lámina supracoroides.
How well did you know this?
1
Not at all
2
3
4
5
Perfectly
10
Q

ESCLERÓTICA
Sus capas

A
  • Lámina epiescleral:
    Capa externa de tejido conjuntivo laxo (contigua al tejdo adiposo periorbitario)
  • Sustancia propia (cápsula de Tenon)
    Fascia conjuntiva que reviste el globo ocular (compuesta de colágeno- red densa de fibras de colágeno gruesas)
  • Lámina supracoroides
    Se encuentra junto a la coroides y contiene fibras de colágeno delgadas, fibras elásticas, fibroblastos, malanocitos, macrófagos y otras células del tej. conjuntivo.
    Superficie interna de la esclera
How well did you know this?
1
Not at all
2
3
4
5
Perfectly
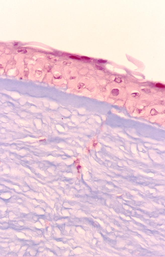
11
Q

REGIÓN DEL LIMBO
Características

A
  • El limbo es una región entre el cambio de córnea y esclerótica.
  • Contiene al conducto de Schlemm.
  • Este limbo permite el flujo de la cámara anterior y posterior.
  • Importante la localización porque esto depende de un px con glaucoma

Imagen: Se observa la córnea después se termina la membrana de Bowman y el epitelio corneal se hace más grueso y se separa de las fibras.

How well did you know this?
1
Not at all
2
3
4
5
Perfectly
12
Q

TÚNICA VASCULAR
Estructuras

A
  • Coroides
  • Cuerpo ciliar
  • Iris
How well did you know this?
1
Not at all
2
3
4
5
Perfectly
13
Q

IRIS

A
  • Compuesto por un estroma de tejido conjuntivo muy vascularizado
  • 2 capas: mioepitelio pigmentado anterior y epitelio pigmentado posterior.
  • En el estroma del iris está el esfínter de la púpila que produce la constricción de la pupila (cél. musculares lisas)
How well did you know this?
1
Not at all
2
3
4
5
Perfectly
14
Q

IRIS
Capas

A
  • Mioepitelio pigmentado anterior:
    Regula el flujo de líquido intraocular y en la formación del humor acuoso. Permiten la contracción.
    Sus prolongaciones forman el músculo dilatador de la pupila.
  • Epitelio pigementado posterior:
    Recubre la parte posterior del iris
How well did you know this?
1
Not at all
2
3
4
5
Perfectly
15
Q

IRIS
Músculo dilatador de la pupila

A
  • Esta bajo el control nervioso simpático.
  • Encargado de aumentar el tamaño de la pupila en respuesta a poca luz.
  • Compuesto por células mioepiteliales pigementarias
How well did you know this?
1
Not at all
2
3
4
5
Perfectly
16
Q

IRIS
Músculo esfínter de la pupila

A
  • Inervado por el parasimpático
  • Encargado de la reducción del tamaño de la pupila en respuesta a la luz brillante.
How well did you know this?
1
Not at all
2
3
4
5
Perfectly
17
Q

CUERPO CILIAR
Características

A
  • Porción engrosada de la túnica vascular entre iris y coroides
  • Tiene una capa externa y una región vascular
How well did you know this?
1
Not at all
2
3
4
5
Perfectly
18
Q

CUERPO CILIAR
Capa externa y una región vascular

A
  • Capa externa:
    Músculo liso (músculo ciliar) - forma la mayor parte del voumen del cuerpo ciliar
  • Región vascular interna:
    Se extiende dentro de los procesos ciliares
How well did you know this?
1
Not at all
2
3
4
5
Perfectly
19
Q

CUERPO CILIAR
Capa externa
Músculo ciliar

A

3 CAPAS
* Porción longitudinal: Estiran el coroides.
* Porción radial: Cristalino aplanado, enfoque lejano.
* Porción circular: Reduce tensión sobre el cristalino, visión cercana.

How well did you know this?
1
Not at all
2
3
4
5
Perfectly
20
Q

CUERPO CILIAR
Región vascular interna
Procesos ciliares

A
  • Fibras elásticas y macrófagos con gránulos de pigmento de mielina .
  • Epitelio ciliar: doble capa de células epiteliales cilíndricas
How well did you know this?
1
Not at all
2
3
4
5
Perfectly
21
Q

CUERPO CILIAR
Región vascular interna- proceso ciliar
EPITELIO CILIAR

A

FUNCIONES
* Secreción del humor acuoso
* Participación en la barrera hematoacuosa
* Secreción y el anclaje de las fibras zonulares que forman el ligamento suspensorio del cristalino

El epiteio ciliar de doble capa continua sobre el iris y se convierte en epitelio pigmentario posterior y mioelpitelio pigmentario anterior.

How well did you know this?
1
Not at all
2
3
4
5
Perfectly
22
Q

Epitelio ciliar
BARRERA HEMATOACUOSA

A
  • Separa el entorno interno del ojo y la sangre que ingresa al cuerpo ciliar.
  • Células del epitelio pigmentario y no pigmentario del cuerpo ciliar.
How well did you know this?
1
Not at all
2
3
4
5
Perfectly
23
Q

EXPLICA LA IIMAGEN
Señala o haz lo que quieras la neta

A

Córnea
Cámara anterior
Iris
Cuerpo ciliar
Limbo esclerocorneal
Pupila
Cámara posterior
Cristalino

Se ve la córnea y después hay más rosa, justo donde se ve lo rosa más intenso, hay una línea, ahí el limbo esclerocorneal, en ese situo esta el canal de Schlem.

Esclera rodea por completo el globo ocular y posterior, por la parte interna de la esclera, se encuentra la retina.

How well did you know this?
1
Not at all
2
3
4
5
Perfectly
24
Q

HUMOR ACUOSO
Características

A
  • Secretado por el epitelio de doble capa (proceso ciliar) y se origina en capilares sanguíneos.
  • Composición iónica parecida al plasma
  • Mantienen la presión intraocular
  • Proporciona nutrición
  • Elimina metabolitos de los tejidos avasculares
    (Tejido avasculares: córnea, cristalino)
How well did you know this?
1
Not at all
2
3
4
5
Perfectly
25
**COROIDES** *Capas*
**2 CAPAS** * **Capa coriocapilar** Red densa de capilares que es la fuente principal de suministro sanguíneo para la retina. * **Membrana de Bruch:** Tiene una estructura multilaminar con una capa de fribras elásticas y colágeno.
26
**COROIDES** *Membrana de Bruch -capas*
Son 5 capas: * Lámina basal de las células endoteliales de la capa coriocapilar * Colágeno * Fibras elásticas * Segunda capa de fibras de colágeno * Lámina basal de las células epiteliales retinianas
27
**RETINA** División
* Retina nerviosa (capade conos y batones) * Epitelio pigmmentado de la retina
28
**RETINA NERVIOSA** *Regiones*
* Región fotosensible (visual) * Región no fotosensible (no visual)
29
**EPITELIO PIGMENTADO DE LA RETINA**
Capa externa adherida a la capa coriocapilar a través de la membrana de Bruch FUNCIONES: * Absorción de luz * Aislamiento de células retinianas de sustancias transportadas por sangre. * Restauración de fotosensibilidad. * Fagocitosis y eliminación de discos membranosos
30
Capa externa adherida a la capa coriocapilar a través de la membrana de Bruch
**EPITELIO PIGMENTADO DE LA RETINA**
31
**RETINA** *Células*
* Células fotorreceptores (conos y bastones) * Neuronas de conducción (bipolares y ganglionares) * Neuronas de asocación y otras neuronas (fleximores y amacrinas?) * Células de sostén
32
**RETINA** *Capas*
10. Membrana limitante interna 9. Capa de fibras del nervio óptico 8. Capa ganglionar 7. Capa flexiforme interna 6. Capa nuclear interna 5. Capa plexiforme externa 4. Capa nuclear externa 3. Membrana limitante externa 2. Conos y bastones 1. Epitelio pigmentario de la retina
33
**RETINA** *CAPA DE CONOS Y BASTONES*
* Segmentos externos de células fotorreceptoras * Mayor densidad de conos en fóvea central (esta la agudeza visual-colores) * Bastones + sensibles a la luz (rodopsina) * Conos + sensibles a regiones de color (yodopsina, L:rojo, M: verde, S: azul)
34
**RETINA** *MEMBRANA LIMITANTE EXTERNA*
* Hilera de uniones adeherentes que une los extremos de las células de Muller. (es como la membrana apical de las células de muller) * Forman el armazón para toda la retina * Envaginaciones rodean las demás células
35
**RETINA** *CAPA NUCLEAR EXTERNA*
Núcleos de conos y bastones
36
**RETINA** *CAPA PLEXIFORME EXTERNA*
* Envaginaciones de células fotorreceptoras y neuronas (permiten acoplamiento eléctrico y sinapsis) * Esférula * Pedículo
37
**RETINA** *CAPA NUCLEAR INTERNA*
Núcleos de células horizontales, amacrinas, bipolares, interplexiformes y de Müller.
38
**RETINA** *CAPA PLEXIFORME INTERNA*
* Conexiones sinápticas entre axones de neuronas bipolares y dendritas de células ganglionares. * Sinapsis entre evaginaciones entrelazadas
39
**RETINA** *CAPA GANGLIONAR*
Somas de neuronas ganglionares. Prolongación axónica que continúa hasta abandonar el ojo como parte del nervio óptico
40
**RETINA** *CAPA DE FIBRAS DEL NERVIO ÓPTICO*
Axones de células ganglionares. Vasos retinianos
41
**RETINA** *MEMBRANA LIMITANTE INTERNA*
Lámina basal de las células de Müller
42
**FÓVEA CENTRAL**
Depresión que solo muestra capa de conos y bastones.
43
Depresión que solo muestra capa de conos y bastones.
**FÓVEA CENTRAL**
44
**MÁCULA LÚTEA**
Rodea fóvea central
45
Rodea fóvea central
MÁCULA LÚTEA
46
**CRISTALINO** *Características*
* Estructura biconvexa, avascular y transparente * Hecho de tejido conjuntivo * Suspendido entre los borde del cuerpo ciliar por las fibras zonulares (la tracción hace que se aplane) * Capas: cápsula del cristaino,epitelio subcapsular y fibras secundarias.
47
* Estructura biconvexa, avascular y transparente * Hecho de tejido conjuntivo
**CRISTALINO**
48
**CRISTALINO** *Capas*
* Cápsula del cristalino: lamina basal gruesa (colágeno tipo IVy proteoglucanos.) * Epitelio subcapsular: una sola capa de células epiteliales cúbicas (anterior) * Fibras secundarias del cristalino: se forman en la periferia
49
Gel homogéneo que contiene alrededor del 99% de agua (humor vitreo)
CUERPO VITREO
50
**CUERPO VITREO** *Características*
Gel homogéneo que contiene alrededor del 99% de agua (humor vitreo), colágeno, glucosaminglucanos una pobación de celulas “hialocitois” (se cree que es el responsable de la síntesis de fibrillas de colágeno y proteoglucanos).
51
**ESTRUCTURAS ACCESORIAS DEL OJO**
* Párpados * Conjutiva * Pestañas * Glándulas
52
**ESTRUCTURAS ACCESORIAS DEL OJO** *Párpados*
LA PIEL QUE CUBREN, PROTEGEN y LUBRICAN LAS PORCIONES ANTERIORES DE LOS OJOS. Formados por pira, placas tásales, parte del músculo orbicular ojo, fibras tendinosasdel músculo elevador de los párpados superiores y la conjuntiva palpebral. LA SUPERFICIE ANTERIOR ESTA CUBIERTA POR UNA PIEL MUY DELGADA, LAXA y ELÁSTICA (ADAPTARSE A SU MOVIMIENTO) SUPERFICIE POSTERIOR POR CONJUNTIVA (MEMBRANA MUCOSA) DENTRO DE CADA PÁRPADO HAY UN SOPORTE FLEXIBLE FORMADO POR TEJIDO FIBROSO Y ELÁSTICO DENSO, CUYO BORDE SUPERIOR SIRVE DE FIJACIÓN DEL MÚSCULO LISO TARSAL SUPERIOR (DE MÜLLER). MÚSCULO ESTRIADO ORBICULAR DEL OJO SUPERIOR CONTIENE FIBRAS TENDINOSAS DEL MÚSCULO ELEVADOR DEL PÁRPADO SUPERIOR
53
**ESTRUCTURAS ACCESORIAS DEL OJO** *Conjuntiva*
Cubre el espacio entre la superficie interna de los párpados y la superficie anterior del globo ocular alrededor de la córnea.
54
**ESTRUCTURAS ACCESORIAS DEL OJO** *Pestañas*
Pelos cortos y rígidos que pueden aparecer en filas dobles o triples.
55
**ESTRUCTURAS ACCESORIAS DEL OJO** *Glándulas*
Secreciones de las glandulas modificadas en el párpado proporcionan protección adicional.
56
**CONJUNTIVA** *Características:*
* Membrana mucosa que se extiende encima de la esclera * Epitelio: cilíndrico estratificado con células caliciformes * Tejido conjuntivo laxo
57
**PESTAÑAS** *Características:*
* Emergen por delante de los orificios de las glándulas de meibomio. * Pelos cortos rígidos y curvos que se distribuyen en dos o tres hileras
58
**GLÁNDULAS** *ADEMÁS DE LAS GLÁNDULAS SUDORÍPARAS ECRINAS, HAY OTROS 4:*
* GLÁNDULAS TARSALES (DE MEIBOMIO): * GLÁNDULAS SEBÁCEAS DE LAS PESTAÑAS (DE ZEIS): * GLÁNDULAS APOCRINAS DE LAS PESTAÑAS (DE MOLL) * GLÁNDULAS LAGRIMALES accesorias
59
**GLÁNDULAS** *Glándulas tarsales: de meibomio:*
SEBÁCEAS LARGAS INCRUSTADAS EN LAS PLACAS TARSALES. EN EL PÁRPADO SUPERIOR (25), INFERIOR (20). PRODUCEN UNA CAPA OLEOSA QUE RETRASA LA EVAPORACIÓN NORMAL DE LÁGRIMAS.
60
**GLÁNDULAS** *Glándulas sebáceas: de las pestañas (de zeis):*
CONECTADAS CON LOS FOLÍCULOS. DATO IMPORTANTE: LA INFECCIÓN BACTERIANA PROVOCA EL ORZUELO, UN ENROJECIMIENTO ELEVADO y DOLOROSO
61
**GLÁNDULAS** *Glándulas apocrinas de laspestañas : de moll:*
GLÁNDULAS SUDORÍPARAS DE CONDUCTOS EXCRETORES SINUOSOS NO RAMIFICADOS QUE SE INICIAN COMO ESPIRALES SIMPLES.
62
**GLÁNDULAS** *Glándulas lagrimales accesorias:*
EN LA SUPERFICIE INTERNA DE LOS PÁRPADOS SUPERIORES (GLÁNDULAS DE WOLFRING) Y FONDO DE SACO CONJUNTIVAL (GLÁNDULAS DE KRAUSE).
62
**GLÁNDULAS LAGRIMALES**
DEBAJO DE LA CONJUNTIVA EN EL ÁREA LATERAL SUPERIOR DE LA ÓRBITA, TIENEN CÉLULAS MIOEPITELIALES SALEN DEL OJO A TRAVÉS DE LOS PUNTOS LAGRIMALES LAS LÁGRIMAS MANTIENEN HÚMEDOS LA CONJUNTIVA y EL EPITELIO CORNEAL, y ELIMINAN LOS MATERIALES EXTRAÑOS DE LA SUPERFICIE DEL OJO.