Most common site of forelimb lameness in the horse?
4 clinical examination components for direct examination of the foot
(without nerve blocking)
2 main infectious causes of equine abortion in the UK
Acute vs. chronic placentitis
(placenta examination)

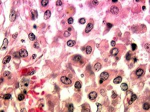
leptospirosis in equine abortion
(how is it different to other infectious causes of placentitis?)
placentitis is diffuse, rather than ascending - wouldn’t see the same gross changes at cervical star as you would for others

3 main roots of spread for EHV-1 infections
What is an important viral cause of equine abortion to keep. in mind for contnental europe and some other countries? (not UK currently)

Diagnosis of EVA abortion

A 1.5-year old Quarter Horse gelding is presented to you for symmetric ataxia, weakness, and spasticity of all limbs, but worse in the hind limbs. When walking, the horse frequently drags his toes and the hind limbs frequently interfere with one another. Based on the signalment, history and physical examination findings, which of the following is the most likely cause of these clinical signs?
Equine Degenerative Myeloencephalopathy (EDM)
Botulism

Cauda Equina Syndrome
Equine Motor Neuron Disease
(EMND)
What is the clincal picture?

Equine Protozoal Myeloencephalitis
(EPM)


Equine Degenerative Myeloencephalopathy
(EDM)
what is the other name for it?


Entropion in foals

What vaccine is administered intramuscularly is most likely to cause a local reaction at the injection site of a horse?
A pregnant mare was brought out to your barn for observation in anticipation of parturition. After several hours of restless behavior, several gallons of allantoic fluid rush out from the vulva. Which of the following would you expect to happen next for a normal parturition?


Describe Stage I of Foaling
Stage II?
Stage III?
What does it mean if a red, velvety membrane is seen during stage II of foaling?

If a red, velvety, membrane is seen, this is the chorioallantois which indicates premature placental separation which can impair oxygen delivery to the fetus and can result in death of the foal. Usually, the muzzle will emerge from the amnion by the time the foal’s hips pass through the pelvis but if not, the amnion can be gently broken and removed. Usually, the umbilical cord breaks naturally when the mare stands or foal begins to rise.
Template Bleeding Time (TBT)
Corynebacterium pseudotuberculosis
(PIGEON FEVER)

Rhodococcus Equi
