Esclerosis múltiple Flashcards

(7 cards)

1
Q

Es una enfermedad desmielinizante degenerativa más común en adultos jóvenes:

A

Esclerosis múltiple

How well did you know this?
1
Not at all
2
3
4
5
Perfectly
2
Q

La etiología de la esclerosis múltiple es:

A
  • Poco clara
  • Viral/autoinmune
How well did you know this?
1
Not at all
2
3
4
5
Perfectly
3
Q

¿Cuál es la presentación clínica de la esclerosis múltiple?

A
  • Neuritis óptica aguda
  • Debilidad
  • Demencia
  • Parestesias
  • Entumecimiento
  • Dificultad en la marcha
How well did you know this?
1
Not at all
2
3
4
5
Perfectly
4
Q

Es más común en mujeres, y el rango de edad está entre:

A

20 a 40 (el pico es 30 años)

How well did you know this?
1
Not at all
2
3
4
5
Perfectly
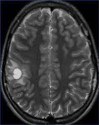
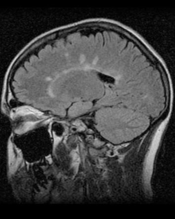
5
Q

La TC es muy útil para el diagnóstico de la esclerosis múltiple, V/F:

A

Falso, es la RM

How well did you know this?
1
Not at all
2
3
4
5
Perfectly
6
Q

Se pueden apreciar _______ en T2 y FLAIR.

A
  • Hiperintensidades calloseptales
How well did you know this?
1
Not at all
2
3
4
5
Perfectly
7
Q

¿Qué hallazgos en RM se pueden encontrar en la esclerosis múltiple,?

A
  • Hiperintensidades calloseptales
    • Pequeñas (5 a 10 mm), lineales y ovoides
  • Dedos de Dawson
  • Periventriculares
How well did you know this?
1
Not at all
2
3
4
5
Perfectly