La meningitis involucra las meninges y el LCR, V/F:
Verdadero
¿Cuál es la etiología de la meningitis?
¿Cuáles son las infecciones más comúnes del tracto respiratorio superior que causan meningitis?
¿Cómo se hace el diagnóstico para meningitis?
¿Cuáles son las manifestaciones clínicas de la meningitis en los adultos?
¿Cuáles son las manifestaciones clínicas de la meningitis en los niños?
¿Cuáles son las manifestaciones clínicas de la meningitis en los infantes?
¿Cuáles son las bacterias más comunes que causan meningitis en adultos mayores?
¿Cuáles son las bacterias más comunes que causan meningitis en adultos?
¿Cuáles son las bacterias más comunes que causan meningitis en niños?
¿Cuáles son las bacterias más comunes que causan meningitis en infantes?
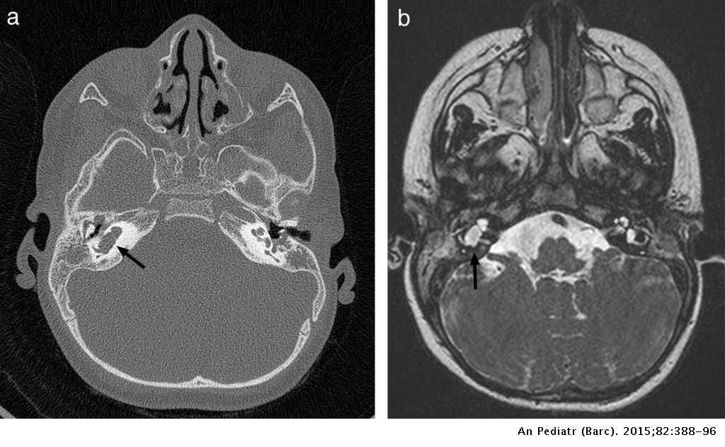
¿Cuáles son las complicaciones de la meningitis?
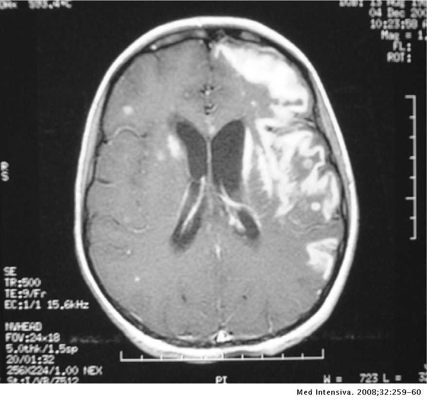
La imagen puede verse normal en meningitis, V/F:
Verdadero
¿Qué vamos a encontrar en la TC de meningitis?

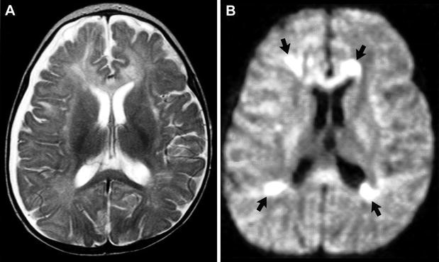
¿Cuál es el mejor estudio de imagen para la meningitis?

¿Cuál es el mejor estudio de imagen para las complicaciones de la meningitis?
DWI (Difussión weighted imaging)
