¿Cuál de los siguientes **no **es una definición de los rayos X?
No ionizante
En la escala de Hounsfield, el agua tiene un valor numérico de:
0
En ultrasonido, ¿en qué estado de la materia se encuentra un cuerpo anecoico?
Líquido
Es una de las desventajas del ultrasonido:
* Es accesible
* Es económico
* No usa radiación ionizante
* Es operador dependiente
Es operador dependiente
Es el descubridor de los rayos X:
Roentgen
¿Cómo se aprecia el líquido (sinovial, LCR, pleural, etc) en la secuencia de T2?
Hiperintenso
La RM es excelente para valorar todo lo siguiente, excepto:
* Vías aéreas
* Degradación de Hb
* Cartílago
* Médula ósea
Vías aéreas
En la protección radiológica, a mayor distancia de la fuente emisora, se obtiene mayor radiación. V/F.
Falso
Partícula subatómica con la cuál trabaja la RM:
Protón
Es una desventaja de la TC:
* Su utilidad en vías aéreas y tubo digestivo
* Su utilidad para partes blandas
* Su utilidad para estructuras pequeñas como huesecillos del oído
* Su capacidad de ser cuantitativa y cualitativa
Su utilidad para partes blandas
¿Cuál es el diagnóstico?
Bronquiectasias
En 25% de los px con asma, la rx es normal, V/F.
Falso
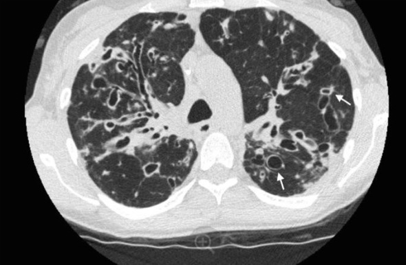
¿Cuál es el diagnóstico?
Consolidación vidrio esmerilado y empedrado loco.
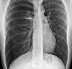
¿Cuál es el dx?
Carcinoma broncogénico
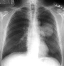
¿Cuál es el dx?
Neumotórax
¿Cuál es el dx?
Neumonía
Método ideal para dx cáncer tiroideo:
Ultrasonido
Gold standard para dx de MAV:
Angiografía
El infierno tiroideo se puede encontrar en:
Hipertiroidismo
Tumoración benigna más común del cráneo:
Meningioma