A 56-year-old man has been complaining of progressive dysphagia for the last year. An esophagram showed a classic bird’s beak appearance [FIGURE]. Manometry studies showed classic achalasia findings. Management options are discussed with the patient and he declines surgery and peroral endoscopic myotomy. He is interested in pneumatic dilation or botulinum injection. What do you advise him, based on a systematic review comparing the efficacy and safety of the 2 endoscopic treatments?
A. Pneumatic dilation is more effective in the short term (within 4 weeks).
B. Pneumatic dilation is more effective in the long term (>6 months).
C. Safety profile is similar for both modalities of treatment.
D. Botulinum injection is more effective in the short term (within 4 weeks).
Based on a recent systemic review and meta-analysis, there appears to be no difference between the 2 treatment modalities for short-term results (<4 weeks). However, more patients were in remission in the pneumatic dilation group compared to the botulinum injection group at 6 and 12 months. No serious complications were reported in the botulinum injection group, while there were reported perforations in the pneumatic dilation group.
A 32-year-old woman who was diagnosed with type II achalasia 36 months ago underwent a Heller myotomy with a Dor fundoplasty and returned with symptoms 6 months later with severe retention and new dilatation of the esophagus [FIGURE - Post Heller Myotomy Timed Barium Esophagram (TBE) - esophageal diameter 8 cm]. She had a repeat surgery with takedown of the fundoplication and a repeat myotomy 12 months ago and follow-up TBE is unchanged. She had another intervention with a 30-mm pneumatic balloon and a repeat with a 35-mm balloon a month later with no change in her TBE and her symptoms. Her manometric evaluation reveal absent contractility and a basal EGJ pressure of 6 mmHg and an IRP of 7.2 mmHg with poor clearance on her impedance evaluation. What is the next step in the management of this patient?
A. Peroral endoscopic myotomy (POEM)
B. Repeat pneumatic dilation at 40 mm
C. Botulinum toxin
D. Laparoscopic Heller with diverticulectomy
E. Esophagectomy

A 43-year-old man presents with a 12-month history of gradually worsening dysphagia for solids greater than liquids, without oropharyngeal transfer difficulties. He also reports frequent chest pain, and a 6-lb weight loss in the last 4 months. Upper endoscopy is normal, esophageal biopsies show nonspecific mild inflammation without eosinophilia. Esophageal manometry is performed, and a representative swallow is shown in the figure. What do you recommend as treatment for this patient?
A. Calcium channel blockers
B. Botulinum toxin injection
C. Pneumatic dilation
D. Peroral endoscopic myotomy (POEM)
E. Laparoscopic Heller myotomy with partial fundoplication

normal AET
Tx of esophageal hypersensitivity
(normal is pH <4 less than 5.5% of total time);
The mainstay of treatment of esophageal hypersensitivity is with pain modulators; a previous study demonstrated significant improvement with citalopram 20 mg daily
A 65-year-old man presents for evaluation of long-standing GERD. A hiatal hernia and lower esophageal mucosal changes are found on his EGD [FIGURE]. Biopsies at the top of the mucosal changes showed specialized Barrett’s mucosa with focal changes indefinite for dysplasia. Which of the following is the best next step in management?
A. Repeat endoscopy after 2-3 months of twice daily PPI.
B. Repeat endoscopy in 1 year.
C. Perform radiofrequency ablation now.
D. No further intervention or surveillance is needed.
This patient presents with long-segment Barrett’s esophagus with indefinite dysplasia. Reactive changes due to acid reflux can mimic dysplasia. Therefore, optimizing reflux therapy and ensuring compliance can minimize the reactive changes that may be mistaken for dysplasia. However, repeat endoscopy should not be delayed beyond 6 months, as dysplasia and intramucosal tumor can be missed on initial biopsy due to sampling error in the setting of indefinite dysplasia. Radiofrequency ablation can be done in the future if dysplasia, confirmed by 2 specialized pathologists persists after an adequate trial of PPI, but not on initial diagnosis of indefinite dysplasia. As many as 80% of patients with indefinite dysplasia will show regression to nondysplastic Barrett’s esophagus on subsequent endoscopies. However, endoscopic surveillance is warranted even if this regression occurs.
A 45-year-old man is undergoing surveillance for a prior diagnosis of Barrett’s with low-grade dysplasia at another center. The pathology has subsequently been confirmed by a recognized expert GI pathologist. You have elected to repeat the endoscopy that reveals the findings in FIGURES A and B. Which of the following is the optimal management at this time?
A. Proceed with radiofrequency ablation (RFA) for confirmed low-grade dysplasia.
B. Obtain wide area transepithelial sampling to improve the accuracy of diagnosing Barrett’s esophagus.
C. Perform endoscopic resection of the focal lesion noted at endoscopy.
D. Obtain targeted biopsies of the focal lesion noted at endoscopy.
E. Perform confocal endomicroscopy of the focal lesion noted at endoscopy.


A 37-year-old woman presents with chronic heartburn, described as constant burning not related to meals. She takes a proton pump inhibitor before breakfast and dinner, however, she notes no symptomatic improvement after 2 months. Upper endoscopy is performed. The esophagus and z-line are normal, there is a 2-cm hiatal hernia, the stomach and duodenum are otherwise normal. Biopsies of the esophagus are normal. Esophageal manometry demonstrates normal lower esophageal sphincter relaxation and normal esophageal peristalsis.
Wireless pH testing off medications is performed, with a tracing shown in the figure.
Total time with pH <4 = 29.2% (normal: <5.5%)
Upright time with pH<4 = 28.9% (normal: <8.2%)
Supine time with pH<4 = 29.3% (normal: <3.0%)
Johnson-DeMeester score is 91.9 (normal: <14.7)
What is the best next step?
A. Referral for Nissen fundoplication
B. Addition of histamine-2 receptor antagonist (H2RA) at bedtime
C. Perform transnasal pH catheter off medications
D. Baclofen 10 mg before meals and at bedtime

This is a pH tracing demonstrating early detachment of the wireless pH probe – there is a prolonged period of very low pH, followed by high pH for the remainder of the study. The probe detaches from the esophagus within a few hours, and remains in the stomach until approximately 1:00 a.m. on the evening after placement. In a case of wireless probe detachment, the next step should be repeating the study with a transnasal probe. Anti-reflux surgery would not be recommended in a patient who had no response to PPI and normal endoscopy. H2RA has not been shown to help chronic symptoms, as patients develop tachyphylaxis quickly. Lastly, baclofen may be considered, but is often limited by side effects. In this patient, pH testing should be repeated first, to rule out functional heartburn.
A 45-year-old woman reports dysphagia for solids and liquids for the last 7 years. The patient denies choking, coughing, nasal regurgitation, odynophagia, anorexia, or weight loss. With the exception of hypertension that is treated with an ACE inhibitor, she denies other medical problems. She has had 3 upper endoscopies with random biopsies (most recent one was 2 months prior to her clinic visit), 2 barium swallows, a modified barium swallow, a pH/impedance test off therapy, and a speech therapy evaluation, and all were normal. Empiric dilatation in the past did not improve symptoms.
On physical examination, the patient points to the sternal notch where she feels the food is getting stuck, otherwise the examination was unremarkable. She was treated with several proton pump inhibitors with no improvement in her dysphagia. A high-resolution esophageal manometry was performed [FIGURE]. What is the diagnosis?
A. Esophagogastric junction outflow obstruction (EJGOO)
B. Functional dysphagia
C. Distal esophageal spasm (DES)
D. Nonspecific esophageal motor disorder (NSEMD)

The patient presents with a long history of dysphagia, without alarm symptoms and an extensive negative work-up. Her high-resolution esophageal manometry is consistent with ineffective esophageal motility, and its presence does not exclude the diagnosis of functional dysphagia. The presence of achalasia, DES, jackhammer esophagus, EGJOO, and absent contractibility exclude functional dysphagia. NSEMD does not exist in the Chicago classification, but was used as a diagnosis when conventional manometry was performed.
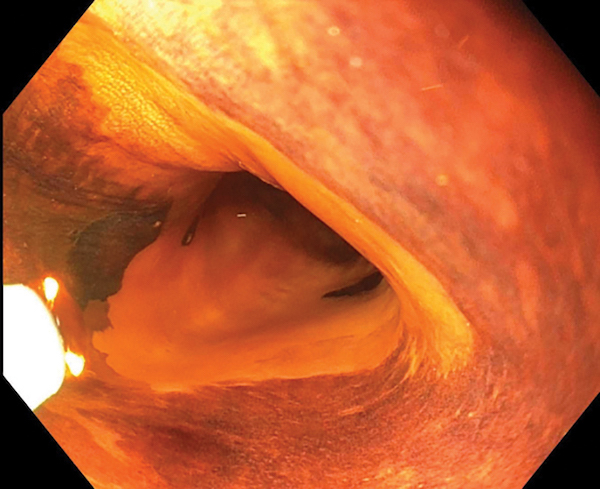
A 68-year-old woman is referred to your practice for a history of squamous high-grade intraepithelial neoplasia (HGIN). Staining of the mucosa with 1.5% Lugol’s iodine yields the appearance in the figure. You would like to arrange treatment with the highest long-term probability of success and minimization of complications. The patient is very worried about the potential for stricturing and asks you to do all that you can to minimize this risk. What do you recommend next?
A. Obtain additional biopsies from the dark-staining mucosa for prognostic implications.
B. Treat this lesion with radiofrequency ablation at standard or reduced settings.
C. Treat this lesion with radiofrequency ablation at increased settings.
D. Treat this lesion with endoscopic mucosal resection.

The lesion above shows a 4-cm circumferential non-staining area. Endoscopic mucosal resection of such a long, circumferential area of squamous neoplasia has a high risk of stricturing. After staining with Lugol’s iodine, it is the non-staining, not the staining areas, which are likely to be neoplastic. RFA of this lesion results in complete eradication of neoplasia in >80% of patients in most studies. Ablation for squamous epithelium can be successfully performed at energy densities lower than that used for columnar epithelium, to reduce the risk of stricturing.
A 52-year-old woman was seen in GI clinic for refractory heartburn. She has had heartburn 3-4 times a week and occasional regurgitation for the last 7 years. The patient was initially evaluated by an upper endoscopy, revealing grade C erosive esophagitis. Subsequently, she was treated with standard dose PPI once daily (30 minutes before breakfast) with only partial improvement in symptoms. She has still required antacids and over-the-counter histamine 2 receptor antagonists several times a week for breakthrough heartburn symptoms.
About 6 months ago, the PPI she was taking was doubled with no further improvement in her heartburn symptoms. The gastroenterologist ordered an upper endoscopy with biopsies, which was remarkable for a 3-cm hiatal hernia. A 24-hour pH impedance test was performed on PPI twice daily [FIGURE]. An esophageal manometry was unremarkable. The patient is a very busy lawyer, mildly obese (BMI 32), and suffers from osteoarthritis once in a while, which is controlled with acetaminophen and rarely an NSAID. What is your diagnosis?
A. Reflux hypersensitivity overlapping with GERD
B. Functional heartburn overlapping with GERD
C. Functional heartburn
D. Reflux hypersensitivity
E. Refractory nonerosive reflux disease

The patient’s recent upper endoscopy and esophageal manometry were unremarkable. A 24-hour impedance study revealed normal esophageal acid exposure, mildly abnormal weakly acid reflux and negative symptom indexes. This is consistent with functional heartburn. However, because the patient has documented erosive esophagitis on previous upper endoscopy off treatment, the diagnosis is functional heartburn overlapping with GERD. One unclear area is the meaning of mildly abnormal weakly acidic reflux. Does the presence of this finding explain refractory heartburn in this patient? However, the patient’s phenotypic presentation of GERD is erosive esophagitis and not nonerosive reflux disease. In addition, the presence of abnormal weakly acidic reflux is not uncommon in symptomatically controlled GERD patients on once or twice daily PPI. Unless the patient also had positive symptom indexes with weakly acidic reflux, just a mildly abnormal weakly acidic reflux in the context of normal esophageal acid exposure is unlikely to have a significant clinical implication.
A 32-year-old woman has a 3-year history of Raynaud’s and gastroesophageal reflux. In the past, her reflux symptoms had been controlled with a daily PPI. Over the past 6 months, her heartburn has increased significantly and she now presents after recently having been diagnosed with 2 episodes of aspiration pneumonia. On upper endoscopic evaluation, there is evidence of LA grade C esophagitis. Symptoms improved only moderately on twice a day PPI. Esophageal manometry is performed in preparation for potential antireflux surgery. A representative example of all swallows is shown in the figure. What is the most appropriate next step in the care of this patient?
A. Peroral endoscopic myotomy (POEM)
B. Pneumatic dilation
C. 24-hour pH analysis with aggressive medical management of acid reflux
D. Surgical fundoplication
This patient’s manometric tracing showing an esophageal aperistalsis and a hypotensive lower esophageal sphincter (LES) is consistent with scleroderma–an autoimmune disease of the connective tissue. Esophageal dysmotility develops as the smooth muscles of the esophagus are replaced by scar tissue; smooth muscles atrophy and fibrosis occurs. Symptoms may often include severe heartburn, regurgitation, and dysphagia. Erosive esophagitis is observed in as many as 60% of patients, and the incidence of Barrett’s esophagus and adenocarcinoma of the esophagus is increased. Dysphagia is usually due to diminishing peristalsis, peptic strictures, or a combination of both. Pulmonary involvement either as a primary manifestation or secondary to acid reflux and aspiration may also be present. The classical manometric abnormalities include low LES pressure and low amplitude or absent peristaltic contractions in the distal esophagus. The primary treatment is aimed at controlling GERD and the primary disease.
A 65-year-old man presents with worsening solid food dysphagia and weight loss over 6 months. His EGD reveals an ulcerated mass at the gastroesophageal junction, without associated Barrett’s epithelium. Endoscopic ultrasound identifies tumor invasion of the muscularis propria with 2 enlarged hypoechoic peritumoral lymph nodes. PET/CT shows increased FDG uptake in 1 retroperitoneal lymph node that is biopsy positive for adenocarcinoma. What is the best next step in management?
A. Endoscopic mucosal resection
B. Ivor Lewis esophagectomy
C. Neoadjuvant chemotherapy and radiation
D. Palliative chemotherapy and radiation
An otherwise healthy 73-year-old man with a history of non-dysplastic Barrett’s esophagus (BE) presents for surveillance endoscopy. Endoscopy reveals long segment BE, Prague classification C4M6, with some nodularity 1 cm proximal to the GE junction. Endoscopic mucosal resection (EMR) of the lesion shows high-grade dysplasia, with a <1 cm focus of adenocarcinoma, with a maximal depth of invasion to the mid-submucosa (sm2). The lateral margins of the EMR are clear of cancer. What is the next most appropriate step?
A. Radiofrequency ablation of the remaining BE
B. Esophagectomy with possible chemoradiation
C. Repeat EMR to achieve a wider excision
D. Repeat EGD with biopsies in 3 months
This patient’s cancer has invaded beyond the superficial submucosa. Although the resected specimen appears clear of disease at its lateral margins, the status at the deep margin is often difficult to ascertain in deep lesions, and the likelihood of lymphatic involvement in lesions that have penetrated beyond the superficial submucosa is substantial, and argues for surgical resection.
A 45-year-old woman, otherwise healthy, reported heartburn symptoms almost daily, while on twice daily PPI (30 minutes before breakfast and 30 minutes before dinner). In fact, the patient reported no improvement at all in her symptoms despite the PPI treatment. Her physical examination is unremarkable. Upper endoscopy with biopsies, wireless pH capsule off medications, and high-resolution esophageal manometry were all unremarkable. Which of the following therapeutic options could help this patient?
A. Baclofen 10 mg at bedtime
B. Stretta procedure (for neurolysis)
C. Sucralfate 10 mg 4 times daily
D. Metoclopramide 10 mg 4 times daily
E. Histamine 2 receptor antagonist at bedtime
The patient’s work-up is consistent with functional heartburn. Baclofen is unlikely to help as the patient’s symptoms are not driven by gastroesophageal reflux. The Stretta procedure which works by delivering radiofrequency energy to the lower esophagus was thought to lead to esophageal hyposensitivity through neurolysis. However, further studies have disputed this claim and have shown that the technique works by remodeling muscle tissue. Sucralfate and metoclopramide have not shown to improve symptoms in functional heartburn patients. Importantly, histamine 2 receptor antagonists (H2RA) have shown to reduce esophageal hypersensitivity to both chemical and mechanical intra-esophageal stimuli. In this patient, an H2RA would work as a good neuromodulator therapeutic option to improve symptoms.
https://pubmed.ncbi.nlm.nih.gov/27144625/
A 65-year-old man presents after surgery and radiation for laryngeal squamous cell carcinoma with development of progressive solid food dysphagia. A radiation-induced proximal esophageal stricture is found on EGD and dilated. Which of the following is he at increased risk of developing?
A. Esophageal adenocarcinoma
B. Esophageal squamous cell carcinoma
C. Achalasia
D. Esophageal lichen planus
A patient who is 8 weeks pregnant is seeing you because of severe pyrosis after she eats and especially when laying supine. She would like to start therapy but is worried about the risk of medications and supplements during pregnancy. She specifically wants to avoid any medications that have been suggested even with limited data to carry potential risk to the baby. Which of the following medications to control her symptoms would be best to avoid if possible?
A. Omeprazole
B. Ranitidine
C. Sodium alginate-bicarbonate
D. Sodium bicarbonate
A 24-year-old woman with asthma and 3 years of progressive but intermittent dysphagia has recently been diagnosed with eosinophilic esophagitis. She has elected to undergo dietary elimination treatment, but is reluctant to do a 6-food elimination diet as the initial therapy. Which of the following options is supported by prospective cohort data as a less restrictive dietary elimination option?
A. Elimination of wheat only
B. Elimination of wheat, egg, and corn
C. Elimination of dairy and wheat, followed by “step up” with additional elimination of egg and soy if there is no response, followed by another step up with elimination of nuts and seafood if there is no response
D. Elimination of wheat and egg, followed by “step up” with additional elimination of soy and corn, if there is no response, followed by another step up with elimination of seafood and beef if there is no response
A 56-year-old woman with a history of well-controlled hypertension and type II diabetes undergoes Heller myotomy with Dor fundoplasty for the treatment of type II achalasia. She continues to have significant chest pain and substernal burning 9 months after the operation. There is minimal associated dysphagia, no weight loss, but significant nocturnal regurgitation. The timed barium esophagram reveals moderate retention at 1 minute and complete clearance at 5 minutes with a maximal esophageal width of 4 cm. What is the best next step in the management of this patient?
A. Peroral endoscopic myotomy (POEM)
B. Proton pump inhibitor therapy
C. Pneumatic dilation
D. Manometry
E. Trial of smooth muscle relaxants
A 31-year-old man with seasonal allergies presents with 15 years of solid food dysphagia. He reports transient impactions with food sticking for up to 5 minutes before it passes, at least 2-3 times per week. He has trouble swallowing pills, and is very careful when he eats. He chews thoroughly and drinks 3-4 glasses of water at each meal to help get the food down. No liquid dysphagia or heartburn, and no lower GI symptoms are present. His endoscopy, which is performed after he has been treated with omeprazole 20 mg twice daily for 8 weeks, shows prominent rings, linear furrows, and edema throughout the esophagus. Biopsies are obtained from the distal and proximal esophagus, and show a peak of 80 eosinophils per high-power field with associated eosinophilic microabscesses and lamina propria fibrosis. The plan is to perform a follow-up endoscopy after 8 weeks on a new treatment. What is the best initial pharmacologic treatment for this patient?
A. Prednisone 40 mg daily, tapered over 4 weeks
B. Fluticasone 880 mcg, swallowed from a multidose inhaler twice daily
C. Fluticasone 50 mcg, swallowed from the intranasal preparation, twice daily
D. Montelukast 10 mg daily
E. Mepolizumab 100 mg subcutaneous injection monthly
This patient has a classic presentation of eosinophilic esophagitis (EoE), and has not responded to treatment with a course of high-dose proton pump inhibitor. If pharmacologic therapy is desired, a swallowed topical corticosteroid is the best option. At this time, there are still no approved medications for EoE in the U.S., so an asthma medication must be prescribed and used off-label. Fluticasone, dispensed from a multi-dose inhaler into the mouth and then swallowed, at a dose of 880 mcg twice a day, is the best option of the ones presented. An alternative would be to use aqueous budesonide (0.5 mg/2 mL asthma nebulizer preparation), which should be mixed into a viscous slurry. Prednisone should be avoided in the vast majority of cases due to side effects and inability to use this long term. The dose of the fluticasone intranasal preparation is too low to be effective. Use of montelukast is not well supported by the evidence base and is not as effective as the topical steroids. Mepolizumab is approved for eosinophilic asthma but is not approved for EoE, and would not currently be used as a first-line pharmacologic option.
A 56-year old woman with a 12-year history of systemic sclerosis presents for the evaluation of refractory daily heartburn and dysphagia symptoms. Her heartburn is usually controlled on omeprazole 40 mg daily, but more recently she has incompletely responded to an increase in her omeprazole over the last 8 weeks to 40 mg twice daily. Her dysphagia is predominantly with larger pills and solid food, less with liquids. She denies any issues with food bolus impactions or weight loss, and has not experienced any issues with initiation of a swallow, nasal regurgitation, residual food in the posterior pharynx, or cough. Which test would you recommend for this patient?
A. Esophageal manometry
B. 48-hour esophageal pH testing
C. Gastric scintigraphy (GES)
D. Upper endoscopy
E. Modified barium swallow