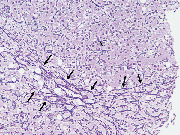
A 50-year-old woman with metastatic breast carcinoma on therapy with trastuzumab emtansine was noted to have elevated serum aminotransferases that progressively increased to twice the upper limit of normal, with associated thrombocytopenia of 146 k/µL, but she was otherwise asymptomatic. An abdominal CT scan showed signs of portal hypertension such as splenomegaly and collateral circulation without evidence of ascites or metastatic disease. Serologies for acute and chronic viral hepatitis were negative. Autoimmune serologies were positive for antinuclear antibody (1:320) but negative for smooth muscle antibody. A percutaneous liver biopsy stained with reticulin [FIGURE] showed compression of hepatic plates (arrows) alternating with thickened plates (asterisk), which suggested atrophy and regeneration, respectively. What is the most likely cause of this condition?
A. Vanishing bile duct syndrome
B. Sinusoidal obstruction syndrome
C. Nodular regenerative hyperplasia
D. Drug-induced autoimmune hepatitis

Nodular regenerative hyperplasia (NRH) is a rare nonmalignant liver condition characterized by the transformation of the hepatic parenchyma into small regenerative nodules, resulting in portal hypertension due to hemodynamic disturbances at the level of the hepatic microvasculature. In contrast to cirrhosis, the nodularity in NRH occurs in the absence of fibrous septa. The disease is usually asymptomatic and attracts attention only when the manifestations of portal hypertension such as ascites or variceal bleeding occur or when portosystemic collaterals are noticed on imaging studies. The prognosis is almost always related to complications of portal hypertension. Accurate NRH diagnosis is made by histopathology, which demonstrates nodules of hyperplastic hepatocytes distributed throughout the liver in the absence of fibrous septa. Histological NRH features may be incomplete or at times lacking on small liver biopsy cores and require a very high index of suspicion combined with clinical and pathological acumen for an accurate diagnosis.
This patient developed NRH during treatment with trastuzumab emtansine. Histology did not show any bile duct damage, or inflammatory cell infiltrates consistent with autoimmune hepatitis. Hepatic SOS, previously termed “hepatic veno-occlusive disease,” is characterized by hepatomegaly, right upper quadrant pain, jaundice, and ascites. Although commonly encountered in patients after hematopoietic cell transplantation, it can also occur following ingestion of pyrrolizidine alkaloids through consumption of herbal teas, after high-dose external beam radiation or radioembolization of liver tumors, and rarely after liver transplantation. Histologically, it is characterized by sinusoidal fibrosis, necrosis of pericentral hepatocytes, and narrowing with eventual fibrosis of central veins. The biopsy does not show typical features of drug-induced autoimmune hepatitis or vanishing bile duct syndrome.
Chest x-ray, blood cultures, urine microscopic examination, urine cultures, and ascitic fluid examination are negative for infection. Prednisolone therapy is considered. The patient and family want to know whether survival is likely to improve with steroids. You cite the STOPAH trial which showed which of the following?
A. Survival improved at 1 month, 6 months, and long term with steroids.
B. Survival improved at 1 month but not 6 months or long term with steroids.
C. Survival improved at 1 and 6 months but not long term with steroids.
D. No improvement in survival was seen but patients felt better on steroids.
E. Steroids improved survival only when combined with pentoxifylline.
In the STOPAH trial, survival improved at 1 month but not 6 months or beyond on prednisolone. Neither pentoxifylline nor a combination of pentoxifylline and prednisolone was associated with improved survival.
The patient is started on prednisolone 40 mg daily. After 1 week of therapy, the Lille score is 0.58. What is the next step?
A. Discontinue prednisone.
B. Continue prednisone 40 mg daily for a total of 28 days.
C. Begin steroid taper and discontinue steroids at 28 days.
D. Add pentoxifylline.
E. Add N-acetylcysteine
The Lille score assesses the clinical response to steroids in the treatment of acute alcoholic hepatitis. A Lille score of ≤0.45 indicates a responder to steroids. If the Lille score is ≤0.45, steroids need to be continued for 28 days. A score of >0.45, and certainly >0.56 warrants immediate discontinuation of prednisone.
Two weeks after admission, the patient is noted to have worsening hepatic encephalopathy. His serum bilirubin is now 38 mg/dL and serum creatinine is now 2 mg/dL. The family asks about liver transplantation. Which of the following should be your response?
A. UNOS rules do not permit liver transplantation for alcoholic hepatitis.
B. He can only undergo living donor liver transplantation.
C. Liver transplant is possible only if he has been abstinent for 6 months.
D. Liver transplant may be an option but there is an increased risk of post-transplant fungal infection.
E. Liver transplant will be associated with poor survival.
Among patients who have failed medical treatment for alcoholic hepatitis and are carefully selected for liver transplantation, survival is good and equivalent to those who have responded to steroid therapy.
However, there is an increased risk of post-transplant fungal infection.
Despite being often used as a general guideline for transplant, the 6-month abstinence rule is not rigid and varies depending on the transplant center and clinical circumstances.
Living donor liver transplants are not typically carried out in the U.S. for acute liver failure or for alcoholic hepatitis because the urgency of the situation may put pressure on the donor and not allow for a well-thought-out decision.
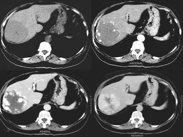
You see a 65-year-old man with a history of hepatitis C-related cirrhosis and a new diagnosis of hepatocellular cancer. He was recently found to have hepatitis C by his primary care doctor whom he saw for right upper quadrant pain. He was referred to you after an ultrasound showed a vague 10-cm heterogeneous mass in the right lobe of the liver with absence of blood flow in the right portal vein. He is genotype 1a. His bilirubin is 0.6 mg/dL, AST 67 U/L, ALT 60 U/L, INR 1.2, platelet count 100,000, and AFP 12,000 ng/mL. His MRI shows a large infiltrating right lobe liver lesion [FIGURE]. A chest CT shows no pulmonary metastases. What is the best next step in the management of his liver cancer?
A. Radiofrequency ablation
B. Liver transplant
C. Treatment of his hepatitis C
D. Resection
E. Sorafenib
The MRI shows a large infiltrative cancer in the right lobe of the liver. Orthotopic liver transplant can be done in those within Milan criteria (3 lesions not greater than 3 cm, or 1 lesion not greater than 5 cm) and there are new downsizing criteria that allow those with lesions beyond T2 to be downsized and still qualify for exception listing points. However, this patient has a large infiltrative cancer (>10 cm) with right portal vein invasion and is not a transplant candidate. His best option is sorafenib therapy due to portal vein invasion. This infiltrative tumor is too large and diffuse, and not suitable for radiofrequency ablation. Some centers might consider radioembolization or transarterial chemoembolization for this tumor. The recent AASLD guideline does not favor systemic therapy over locoregional therapy in those with macrovascular invasion and this decision is center dependent.
A 63-year-old woman with chronic hepatitis C virus (HCV) with concurrent diabetes mellitus and hyperlipidemia was referred to you from her primary care provider. She reports previously being treated for her chronic HCV about 3 years ago and was told that she was “cured.” She does have a history of significant alcohol use, and while she has cut back, she still consumes about 3-6 cans of beer daily. She denies any history of abdominal swelling, gastrointestinal bleeding, or hepatic encephalopathy. On exam, there is no scleral icterus or jaundice. Abdominal exam reveals some central obesity but no ascites, and the liver and spleen size are normal.
Laboratory tests reveal:
AST 78 U/L (normal: 0-35 U/L)
ALT 40 U/L (normal: 0-35 U/L)
Platelets 98,000/µL (normal: 150,000-350,000/µL)
Bilirubin 1.5 mg/dL (normal: 0.3-1.2 mg/dL)
Albumin 3.2 g/dL (normal: 3.5-5.5 g/dL)
HCV viral load was undetectable. Abdominal ultrasound demonstrates a small shrunken liver with coarse nodular liver edge and no ascites. As part of her cirrhosis management, you perform a first-time screening EGD [FIGURES A and B]. No medications are recommended following this EGD examination given her inability to tolerate beta blockers due to lightheadedness. When is this patient due for repeat endoscopic variceal surveillance with EGD?
A. 1 year
B. 2 years
C. 3 years
D. No need for repeat EGD until decompensation occurs
All patients with cirrhosis should undergo endoscopic variceal screening examination to prognosticate the risk of variceal bleeding. This offers the opportunity to initiate primary prophylaxis with nonselective beta-blockers or initiate endoscopic variceal band ligation of varices to reduce risk of variceal bleeding. The interval for subsequent surveillance examinations depends on several factors, including whether or not primary prophylaxis with nonselective beta blockers was initiated, whether or not endoscopic variceal band ligation was performed, the size of the varices seen on initial screening examination, and the severity of underlying liver disease. In patients with compensated cirrhosis without esophageal varices on initial screening examination, endoscopy should be repeated every 2 years if there is ongoing liver injury such as untreated hepatitis C virus infection or continued alcohol use, and repeated every 3 years if liver injury is not active (e.g., successful cure of chronic hepatitis C virus, alcohol abstinence). Patients with compensated cirrhosis and small esophageal varices identified on endoscopy should have a repeat endoscopy every year if there is ongoing liver injury, and repeated every 2 years if liver injury is not active, provided that primary prophylaxis with beta blockers is not initiated. Patients with compensated cirrhosis and medium or large esophageal varices should be treated with primary prophylaxis with nonselective beta blockers, and if heart rate goal of 55-60 beats/min is achieved, further surveillance endoscopy is not needed. This patient has compensated cirrhosis, and while the hepatitis C virus was successfully treated, there is continued alcohol use. The endoscopy demonstrates small varices, and thus the recommendation is for repeat surveillance endoscopy in 1 year. Answer B is incorrect because repeat surveillance in 2 years is recommended in this patient with small varices only if there is no active liver injury (e.g., alcohol abstinence). Answer C is incorrect because a 3-year surveillance interval is recommended if there are no varices seen in the setting of no active liver injury. Answer D is incorrect because surveillance endoscopy is needed in this patient given that small varices were visualized and no prophylaxis therapy with nonselective beta-blockers was initiated
A 34-year-old woman comes to see you because she was recently found to have a liver lesion on an ultrasound that was performed for evaluation of abdominal pain. She had one episode of severe midepigastrium pain that lasted for an hour. The pain resolved spontaneously and has not recurred. She feels well. On examination, pulse is 70 per minute, blood pressure 110/70. She is 5 feet 5 inches and weighs 120 lb. There is no evidence of spider angiomata or scleral icterus. The liver is normal in size and the spleen is not palpable. There is no ascites or edema. Medication history is unremarkable except for metformin and oral contraceptives.
Liver tests reveal an AST of 20 U/L (normal: 0-35 U/L), and ALT of 19 U/L (normal: 0-35 U/L). Alkaline phosphatase, bilirubin, and albumin are normal. The CBC is normal. The ultrasound showed one 2-cm mass in the left lobe of the liver. You obtain a contrast-enhanced MRI to evaluate the liver mass and a representative image is shown in the figure. It reveals a lesion with initial peripheral nodular enhancement with progressive centripetal contrast fill-in. What is the diagnosis?
A. Hepatic adenoma
B. Focal nodular hyperplasia
C. Hepatic hemangioma
D. Nodular regenerative hyperplasia

Hepatic hemangiomas can be found in all age groups, although they are typically discovered in those between the ages of 30 and 50 years. Most of these lesions are asymptomatic and are discovered incidentally during imaging studies. CT, MRI, and US studies are reliable in establishing a diagnosis of hepatic hemangioma. These lesions have unique features upon imaging. These include peripheral nodular enhancement and progressive fill in. MRI is preferred in cases where the lesion is <3 cm or found close to the heart or intrahepatic vessels.
D/c patient from clinic
Hemangiomas are benign lesions. The majority of hemangiomas are asymptomatic and remain stable over time. Liver biopsy should be avoided if the radiologic features of a hemangioma are present. Regardless of the size, no intervention is required for asymptomatic hepatic hemangiomas. Surgical intervention can be considered in cases where the lesion grows very large (>10 cm) or the patient begins to report symptomatic compression or recurrent pain. Follow-up imaging is not required in cases of classical hemangioma.
You see a 64-year-old Vietnamese man who was diagnosed with hepatitis B after his family brought him in for evaluation of fatigue and bloating. He has a history of hypertension and diabetes. He knew he had hepatitis B but was previously told that he was fine and did not require additional evaluation. His medicines include lisinopril and glyburide. His exam reveals no scleral icterus. His spleen is enlarged and there is mild ascites. He has muscle wasting but no asterixis.
His laboratory evaluation reveals:
Hemoglobin 11 g/dL (normal: 14-17 g/dL)
Platelets 77,000/µL (normal: 150,000-350,000/µL)
ALT 23 U/L (normal: 0-35 U/L)
Albumin 2.8 g/dL (normal: 3.5-5.5 g/dL)
Total bilirubin 1.3 mg/dL (normal: 0.3-1.2 mg/dL)
Creatinine 1 mg/dL (normal: 0.7-1.3 mg/dL)
Glucose 149 mg/dL (normal: 70-100 mg/dL)
INR 1.4 (normal: <1.5)
HBsAg+
HBeAg-
HBV DNA not detected
Anti-HDV -
AFP 6 ng/mL (normal: 0-20 ng/mL)
His CT scan is shown in the figure and reveals a small cirrhotic liver with ascites, but no evidence of cancer. You discuss that he may need to be considered for transplant in the future. With regard to management of his hepatitis B, what is the best next step?
A. Vaccinate for hepatitis B.
B. Start tenofovir, disoproxil, or entecavir therapy.
C. Order liver biopsy.
D. Order elastography in clinic to measure liver stiffness.
E. Start low-dose peg-interferon.
This patient has decompensated cirrhosis likely related to hepatitis B. His CT scan shows ascites and a small shrunken liver. He has inactive chronic hepatitis B, but in the presence of decompensated cirrhosis, should receive entecavir or tenofovir disoproxil to prevent any further flare of hepatitis B according to the AASLD guidelines. Tenofovir alafenamde is not yet approved in decompensated cirrhosis. Also, if he had compensated cirrhosis with a low level of virus (<2,000 IU/L), then therapy would also be recommended with entecavir or tenofovir. He does not require liver biopsy or elastography (which will not be accurate with ascites) to confirm cirrhosis. Peg-interferon is contraindicated in decompensated cirrhosis.
hep b - dont alwaus treat
compensated low level viremia - treat
decompensated - always treat
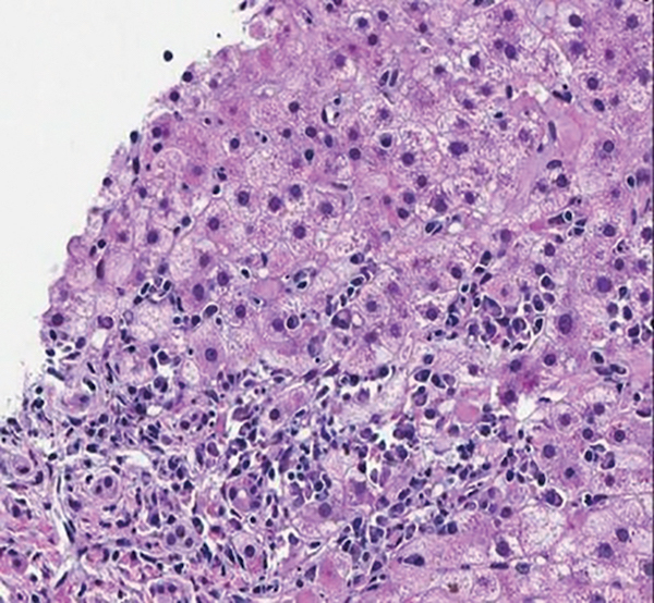
Which of the following features shown in the figure is part of the histologic criteria for autoimmune hepatitis?
A. Lymphocytes
B. Interface hepatitis
C. Ballooning degeneration
D. Non-necrotizing granuloma

The biopsy shows interface hepatitis (previously referred to as piecemeal necrosis). Interface hepatitis is a classic finding in autoimmune hepatitis and part of the diagnostic criteria when incorporating typical findings on liver biopsy. Lymphocytes on liver biopsy are not unique to autoimmune hepatitis and may be seen in other disorders, including hepatitis C, primary biliary cholangitis, and nonalcoholic fatty liver disease. Ballooning degeneration is associated with nonalcoholic fatty liver disease. Non-necrotizing granulomas are seen in sarcoidosis and primary biliary cholangitis.
A 34-year-old woman comes to see you because she was recently found to have a liver lesion on an ultrasound that was performed for evaluation of abdominal pain. She had 1 episode of severe midepigastrium pain that lasted for an hour. The pain resolved spontaneously and has not recurred. She feels well. On examination, pulse is 70 per minute, blood pressure 130/90, and her body mass index is 33. There is no evidence of spider angiomata or scleral icterus. The liver is normal in size and the spleen is not palpable. There is no ascites or edema. Medication history is unremarkable except for metformin and oral contraceptives.
Liver tests reveal an AST of 20 U/L (normal: 0-35 U/L) and ALT of 19 U/L (normal: 0-35 U/L). Alkaline phosphatase, bilirubin, and albumin are normal. The CBC is normal. Fasting glucose is 210 mg/dL. The ultrasound showed one 1-cm stone in the gallbladder with a 2-cm mass in the right lobe of the liver. Liver parenchyma was normal. You obtain a contrast-enhanced MRI to evaluate the liver mass and the findings [FIGURE] are consistent with hepatic adenoma. What is the next step in the management of this patient?
A. Refer to surgery for resection of the lesion.
B. Order a triple-phase liver CT now.
C. Biopsy the mass.
D. Discontinue oral contraceptives and repeat imaging in 3-6 months.
E. Refer the patient for liver transplant evaluation.
The patient in the previous question follows your recommendation and discontinues the oral contraceptives. You see her in follow-up 5 months later. She feels well and has not experienced any recurrent pain. Her blood work is unremarkable. You refer the patient for a liver ultrasound, which shows the liver lesion without a significant change in size. What is your next step?
A. Order an MRI now to confirm stability in size.
B. Discharge the patient from your clinic.
C. Repeat abdominal imaging in another 6 months.

This patient has features of metabolic syndrome and a history of oral contraceptive use. Obesity and features of the metabolic syndrome such as diabetes mellitus, insulin resistance, hypertension, and dyslipidemia are becoming increasingly recognized as risk factors for hepatocellular adenomas. Obese patients who use oral contraceptives are likely at an increased risk for hepatocellular adenomas, as studies reveal that 70-95% of obese patients who develop these lesions have a history of oral contraceptive use.
Although hepatocellular adenomas are associated with the risk of hemorrhage or progression to hepatocellular carcinoma, these complications generally occur in patients with adenomas that are larger than 5 cm in size. Hepatocellular adenomas <5 cm can be managed conservatively as these lesions are rarely observed to rupture or undergo malignant transformation. Oral contraceptives, hormone-containing intrauterine devices, and anabolic steroids should be avoided in patients with hepatocellular adenoma given the strong association between these exposures and risk of adenoma development and progression. Ordering an immediate CT scan when the patient already had a diagnosis by MRI would not add to the clinical information in this case. However, performing a follow-up imaging study several months after cessation of oral contraceptives would be the most reasonable answer in this case. Obtaining a biopsy should be reserved for cases in which imaging is inconclusive and biopsy is deemed necessary to make a treatment decision. Transplant would not be correct in a patient with a small adenoma.
–
Some hepatocellular adenomas have been reported to increase in size despite the discontinuation of oral contraceptives or anabolic steroids, and the development of HCC has been reported despite regression in size. Given this, guidelines recommend follow-up imaging to be considered once every 6 months for at least 2 years to establish any growth patterns and monitor for malignant transformation. Annual imaging can be performed after this period based on the growth patterns and stability of the lesion.
A 58-year-old man with Child-Pugh B cirrhosis secondary to nonalcoholic steatohepatitis is referred to you for first-time endoscopic variceal surveillance examination. He has a history of mild ascites that is well managed with low-dose diuretics. He does not have any clinical evidence of hepatic encephalopathy and has never had an episode of gastrointestinal bleeding. He has concurrent diabetes mellitus that is well managed and well-controlled hypertension. His vital signs are notable for temperature 37.8°C, blood pressure 102/70, heart rate 58/minute, and 100% oxygen saturation on room air. Laboratory tests performed show hemoglobin 9.2 g/dL (normal: 14-17 g/dL), platelets 130,000/µL (normal: 150,000-350,000/µL), total bilirubin 1.9 mg/dL (normal: 0.3-1.2 mg/dL), and albumin 2.9 g/dL (normal: 3.5-5.5 g/dL).
On EGD, you find 3 columns of large esophageal varices without high-risk stigmata, no gastric varices, and mild-moderate portal hypertensive gastropathy. Given his baseline low heart rate, you believe he would not tolerate primary prophylaxis with a nonselective beta-blocker and instead proceed with endoscopic variceal band ligation [FIGURE A]. The patient tolerates this well and returns to you for additional EGDs, during which time you continue to place additional bands for variceal ligation. On his third EGD, the distal esophagus appears flat and the esophageal varices have been successfully eradicated [FIGURE B]. What would you do next?
A. Start the patient on carvedilol 6.25 mg daily; there is no need for further surveillance EGD examinations.
B. Start the patient on propranolol 10 mg twice daily and repeat EGD in 6 months for surveillance.
C. Repeat EGD in 3-6 months for surveillance.
D. Repeat EGD in 1-2 years for surveillance.
All patients with cirrhosis should undergo endoscopic variceal screening examination to prognosticate the risk of variceal bleeding. This offers the opportunity to initiate primary prophylaxis therapy with nonselective beta-blockers or initiate endoscopic variceal band ligation of varices to reduce risk of variceal bleeding. Patients with compensated cirrhosis and medium or large varices seen on screening examination should be treated for primary prophylaxis. Nonselective beta-blockers (e.g., propranolol) or carvedilol are appropriate first-line options of medical therapy for prevention of variceal hemorrhage. In patients who are unable to tolerate medical therapy (e.g., baseline heart rate too low, low blood pressure, or intolerable adverse symptoms), primary prophylaxis with endoscopic variceal band ligation is also an acceptable first-line therapy. Once endoscopic variceal band ligation is performed, a repeat examination for additional banding is recommended every 2-8 weeks until complete variceal eradication is confirmed (e.g., no further endoscopic variceal band ligation is possible). Once eradication is confirmed, the next follow-up surveillance examination is recommended in 3-6 months after eradication and every 6-12 months thereafter. Current data does not support the use of combination therapy with beta-blockers and endoscopic variceal band ligation for primary prophylaxis, and thus answers A and B are incorrect. Answer D is incorrect because the duration of time elapsed for the next surveillance examination is too long and should be 3-6 months after successful eradication of varices.
A 60-year-old man with cirrhosis secondary to nonalcoholic fatty liver disease has a new echogenic nodule measuring 0.7 cm on an ultrasound done for hepatocellular carcinoma surveillance [FIGURE]. He is asymptomatic. His cirrhosis is well compensated. What is the next most appropriate course of action?
A. Reassure the patient that it is likely a benign hemangioma.
B. Obtain an alpha-fetoprotein.
C. Order a contrast-enhanced CT scan or MRI.
D. Repeat the ultrasound in 3 months.
E. Biopsy the lesion.
A 45-year-old man with a known history of nonalcoholic steatohepatitis (NASH) cirrhosis complicated by brittle hepatic encephalopathy was brought by his family to the emergency department due to dizziness and hematemesis. The patient is intubated for airway protection. The vital signs were temperature 98°F, heart rate 100, blood pressure 100/53, and respiratory rate 20. On examination, he has scleral icterus. There is no ascites or edema.
Liver tests reveal:
AST 67 U/L (normal: 0-35 U/L)
ALT 55 U/L (normal: 0-35 U/L)
Total bilirubin 3.7 mg/dL (normal: 0.2-1.2 mg/dL)
Albumin 3.1 g/dL (normal: 3.5-5.2 g/dL)
INR 1.4 (normal: 0.9-1.1)
Creatinine 1.2 mg/dL (normal: 0.7-1.3 mg/dL)
Hemoglobin 8.1 g/dL (normal: >13)
Platelet count at 155,000/µL (normal: 150,000-350,000/µL)
The CT scan showed cirrhotic liver morphology and splenomegaly. CT scan of abdomen showed cirrhosis and a gastrorenal shunt. The endoscopy was performed and showed no esophageal varices but this [FIGURE] was found in the gastric fundus. Which treatment would be the best in this case?
A. Variceal band ligations
B. Transjugular intrahepatic portosystemic shunt (TIPS)
C. Propranolol
D. Balloon-occluded retrograde transvenous obliteration (BRTO)
Balloon-occluded retrograde transvenous obliteration (BRTO) is an endovascular technique used as a therapeutic adjunct or alternative to TIPS in the management of gastric varices. Occlusion balloons are strategically placed to modulate flow within the gastrorenal or gastrocaval shunt to allow stagnation of the sclerosant material within the gastric varix. BRTO is favored over TIPS, because TIPS may worsen the hepatic encephalopathy. Variceal band ligation is not expected to be beneficial in treating large gastric varices.
too large, no shut, HCC >5 and ascites are contraI to BRTO
A 64-year-old former IV drug user presents to a liver clinic for evaluation of his hepatitis C (HCV). He has been clean and sober for 6 years and wishes to be treated. He is HCV treatment-naïve. He denies alcohol use. He is on no medications or herbal products. He has never had overt ascites, hepatic encephalopathy, jaundice, or variceal bleeding. On examination, he has spider angiomata, minimal jaundice, and mild ascites. He has no asterixis. He is genotype 1a with an HCV-RNA of 3,500,000 IU/mL. His liver tests reveal AST 74 U/L, ALT 68 U/L, albumin 2.7 g/dL, and bilirubin 2.3 mg/dL. CBC reveals a platelet count of 78,000. His INR is 1.5. His hepatitis B serologies are negative. Noninvasive testing (both transient elastography and serologic testing) are consistent with stage 4 (Metavir) fibrosis or cirrhosis. Ultrasound shows a small amount of ascites, and no evidence of cancer. EGD reveals no varices. He is a Child’s B cirrhotic with a MELD score of 11. What is the best next step?
A. Advise against therapy for hepatitis C because he has cirrhosis.
B. Evaluate for liver transplant.
C. Treat with a 12-week course of elbasvir + grazoprevir.
D. Treat with a 12-week regimen of glecaprevir + pibrentasvir.
E. Treat with a 12-week regimen of sofosbuvir + velpatasvir + weight-based ribavirin.
This patient presents with decompensated, Child’s B cirrhosis from his hepatitis C. Even though he has advanced liver disease, he is too early for liver transplant with his MELD score of 11. While patients with cirrhosis can be treated for their hepatitis C, such patients should not receive a regimen that contains a protease inhibitor due to the risk of hepatic deterioration. Medications that end with “previr” are protease inhibitors and thus, the regimens in answers C and D are incorrect.
A 47-year-old woman with cirrhosis secondary to autoimmune hepatitis has been treated for the past 4 months with diuretic therapy, spironolactone 400 mg daily, and furosemide 80 mg orally twice daily. She has been compliant with the treatment of her autoimmune hepatitis. For her ascitic fluid control, she met with a dietician and is in compliance with a 2-gram sodium diet daily.
Physical examination shows: Body temperature 36.5°C, blood pressure 100/58 mmHg, pulse rate 88/min. Chest examination is clear. Abdominal examination shows very tense abdomen with marked distension. Extremities show slight pitting edema bilaterally.
Laboratory results at the day of the visit:
White blood cells 3,200/µL (normal: 3,500-10,500/µL)
Hemoglobin 10.1 g/dL (normal: 12-16 g/dL)
Platelet counts 88,000/µL (normal: 150,000-350,000/µL)
Sodium 118 meq/L (normal: 136-145 meq/L)
Potassium 5.2 meq/L (normal: 3.5-5.0 meq/L)
Chloride 98 mEq/L (normal: 98-106 meq/L)
Serum bicarbonate 34 mEq/L (normal: 23-28 meq/L)
Total bilirubin 3.5 mg/dL (normal: 0.3-1.2 mg/dL)
Serum albumin 2.1 g/dL (normal: 3.5-5.5 g/dL)
Blood urea nitrogen 26 mg/dL (normal: 8-20 mg/dL)
Serum creatinine 2.3 mg/dL (normal: 0.7-1.3 mg/dL)
Abdominal ultrasound reveals massive ascites and nodular liver compatible with cirrhosis. What should you do now?
A. Refer the patient back to the dietician to review her dietary risk and compliance with low-sodium diet.
B. Admit the patient into the hospital and start intravenous normal saline bolus because of her renal insufficiency.
C. Discontinue all diuretic therapy and consider large-volume paracentesis with albumin infusion.
D. Stop spironolactone and start amiloride. Continue furosemide.
The patient has decompensated cirrhosis and still has problems with ascites control despite the high doses of combination therapy with furosemide and spironolactone. She now develops refractory ascites, which is defined as fluid overload that (1) is unresponsive to sodium-restricted diet and high-dose diuretic treatment (400 mg per day of spironolactone and 160 mg per day furosemide), or (2) recurs rapidly after therapeutic paracentesis. According to the AASLD guideline, failure of diuretic therapy may be manifested by (1) minimal to no weight loss together with inadequate (<78 mmol per day) urinary sodium excretion despite diuretics, or (2) development of clinically significant complications of diuretics, e.g., encephalopathy, serum creatinine greater than 2.0 mg/dL, serum sodium less than 120 mmol/L, or serum potassium greater than 6.0 mmol/L. Given her current condition, continuing diuretic treatment is no longer appropriate. Options for patients refractory to routine medical therapy include (a) serial therapeutic paracentesis, (b) liver transplantation, (c) transjugular intrahepatic portosystemic stent-shunt (TIPS), and (d) peritoneovenous shunt. Although she may require admission if she does not improve, the best next step is to stop diuretics and start large-volume paracentesis with albumin infusion.
A 55-year-old woman with a past medical history of hypothyroidism presents to clinic with 1 year of fatigue and pruritus. Exam is unremarkable.
Laboratory studies demonstrate:
ALT 58 U/L (normal: 0-35 U/L)
AST 62 U/L (normal: 0-35 U/L)
Alkaline phosphatase 180 U/L (normal: 36-92 U/L)
Total bilirubin 1.8 mg/dL (normal: 0.3-1.2 mg/dL)
Anti-nuclear antibody is elevated at a titer of 1:140, anti-smooth muscle antibody is negative, and anti-mitochondrial antibody is elevated at a titer of 1:80. Liver ultrasound demonstrates normal liver size and contour, mild steatosis, and no intra- or extrahepatic biliary ductal dilation. A liver biopsy demonstrates nonsuppurative destructive cholangitis and destruction of interlobular bile ducts. Which of the following future risks should this patient be counseled on?
A. Osteoporosis
B. Atherosclerosis
C. Renal insufficiency
D. Seizure
E. Water-soluble vitamin deficiencies
This patient has primary biliary cholangitis (PBC, also previously known as primary biliary cirrhosis). Patients with cholestatic liver disease (PBC and primary sclerosing cholangitis) are at increased risk of osteoporosis, which occurs in up to one-third of patients. The relative risk for osteoporosis in PBC compared to an age-matched and sex-matched healthy population is 4.4. The bone loss is usually asymptomatic, not associated with any specific laboratory abnormalities, and is detectable by bone densitometry. The cause of osteoporosis in PBC is uncertain. Patients with PBC appear to have “low-turnover” osteoporosis in which bone formation is inhibited and bone resorption is low or normal. Vitamin D metabolism is normal in patients with PBC except for those with jaundice and clinically advanced disease. All patients should be counseled on the accelerated risk of osteoporosis and baseline and regular screening every 2-3 years using bone mineral density testing is appropriate. Patients with PBC should be provided 1,000-1,500 mg of calcium and 1,000 IU of vitamin D daily in the diet and as supplements if needed. Patients with PBC may have hyperlipidemia but do not seem to have an increased risk of atherosclerosis. Renal function is not disturbed, there is no increased risk of seizure, and patients may develop fat-soluble rather than water-soluble vitamin deficiencies.
Which of the following statements is true regarding the epidemiology of chronic hepatitis C virus (HCV) infection?
A. Blood transfusions before 1992 represent the most common route of transmission.
B. The burden of chronic HCV is higher in North America than in sub-Saharan Africa.
C. The prevalence of chronic HCV is highest in U.S. adults born between 1945-1965.
D. The prevalence of chronic HCV has risen between 1990-2000 and 2001-2010.
E. Approximately 5-10% of individuals with HIV also harbor chronic HCV infection.
Recent analyses by the U.S. Centers for Disease Control and Prevention (CDC) have confirmed that nearly three-quarters of all individuals chronically infected with HCV were born between 1945-1965, leading to new recommendations in 2012 for routine birth age cohort screening. Updated NHANES data published in 2014 suggest that the overall prevalence of chronic HCV infection has continued to decline since the 1980s, and as of NHANES V (2003-2010), the prevalence of anti-HCV antibody was 1.3% (3.6 million persons) and prevalence of chronic infection was 1.0% (2.7 million persons), although this may represent an underestimation due to exclusion of high-risk populations in NHANES, including homeless, incarcerated, and institutionalized individuals. Despite a decreasing prevalence, the burden of disease from HCV-infected patients is expected to peak in the next decade, including HCV-associated cirrhosis, liver failure, hepatocellular carcinoma, and liver-related death. Chronic HCV is highly prevalent in sub-Saharan Africa and portions of East and Southeast Asia, and less prevalent in North America and Western Europe. Nearly one-third of HIV-infected individuals in the U.S. also harbor chronic HCV co-infection.
A 58-year-old man presents for evaluation of his hepatitis C (HCV). He has a remote history of IV drug abuse, but has been sober for >10 years. His medical history includes hypertension and hyperlipidemia. His medications include hydrochlorthiazide (HCTZ), baby aspirin, and a multivitamin. On examination, his vital signs are stable with a regular heart rate of 76 and normal blood pressure. He has no stigmata of chronic liver disease. Laboratory test results are notable for an ALT of 76 U/L. His CBC, INR, and complete metabolic profile are otherwise normal. Serologies reveal HCV-RNA 2,500,000 IU/mL, HCV genotype 1a, HIV negative, hepatitis B surface antigen positive, hepatitis B core total antibody positive, hepatitis B surface antibody negative, and hepatitis B DNA undetectable. He undergoes non-invasive assessment of fibrosis and is noted to have stage 2 disease. He is started on direct-acting antiviral therapy. At the end of his 12-week treatment course, he feels well.
Routine laboratory tests reveal:
ALT 336 U/L (normal: 0-35 U/L)
AST 227 U/L (normal: 0-35 U/L)
Bilirubin 2.6 mg/dL (normal: 0.3-1.2 mg/dL)
Alkaline phosphatase - normal
INR 1.1 (normal: <1.5)
HCV-RNA - undetectable
He denies any new medications. What is the next step to determine the cause of his elevated liver tests?
A. Perform an ultrasound.
B. Refer to a liver transplant center.
C. Check an HCV NS5A resistance mutation assay.
D. Check a hepatitis B DNA level.
E. Continue the hepatitis C medication for an additional 12 weeks.
This patient was treated with direct-acting antiviral agents for his HCV. However, he was also HBsAg positive. Even though his HBV-DNA was undetectable prior to the HCV therapy, he was at risk for hepatitis B reactivation. The FDA has specifically issued a warning about the potential for hepatitis B reactivation in such patients. The risk is higher in patients with HBsAg + and HBcAb + compared to those with just an isolated HBcAb. He should either have been prophylactically treated for hepatitis B while on HCV therapy, or his HBV-DNA levels should have been followed closely for reactivation while on HCV therapy. An ultrasound is not the best next step and the elevations in liver tests need to be investigated. There is no indication for referral for liver transplant or extending hepatitis C therapy. With his undetectable HCV-RNA, an NS5A resistance would not be helpful to explain the elevated liver tests.
A 47-year-old woman undergoes routine laboratory tests and comes to your office to discuss results. She denied any symptoms or complaints, other than long-standing reflux which is well-controlled on PPI therapy. She has no history of liver disease or hepatitis. There is no family history of liver problems or malignancy. She takes no medications (other than the PPI noted), herbal products, alcohol, or illicit drugs. She has no specific risk factors for fatty liver disease. Physical examination is unrevealing. Her complete metabolic profile, CBC, and INR are all within the normal range of the reference lab. Her ALT is 52 U/L (upper limit of normal in the reference lab is 65 U/L). What is your next step in her evaluation?
A. Perform upper endoscopy to assess for Barrett’s esophagus.
B. See her back in 1 year with no further testing now.
C. Repeat her liver tests and consider additional evaluation if the ALT is still in the 52 U/L range.
D. Perform an ultrasound elastography of her liver.
E. Begin hepatitis B vaccinations.
The 2017 ACG guidelines on the evaluation of abnormal liver chemistries proposed a new upper limit of normal for ALT of 29-33 U/L for males and 19-25 U/L for females. This proposal was based on the fact that this appears to be the true healthy upper limit of normal for ALT. In addition, there is an increase in mortality in persons with ALT exceeding these levels. Thus, even though her ALT is “normal” according to the reference lab, her ALT level of 52 U/L is actually elevated and should be further evaluated. Given the fact that it is only mildly elevated, the guidelines suggest confirming that the value is correct prior to ordering additional testing. Answers A and E would not address the ALT level of 52 U/L, and screening for Barrett’s would not be recommended in this low-risk patient based on guideline recommendations. Answer B is incorrect because the ALT value should be confirmed. If so, a basic work-up including hepatitis serologies, iron panel, and an ultrasound would be the first step.
A 27-year-old African woman presents to establish with an obstetrician after a positive pregnancy test. She has no significant past history and is currently experiencing only morning sickness but no vomiting. Laboratory tests results show that she is HBsAg positive, HCV-Ab negative, and HIV negative.
Follow-up studies include:
ALT 17 U/L (normal: 0-35 U/L)
AST 16 U/L (normal: 0-35 U/L)
Platelets 320,000 µ/L (normal: 150,000-350,000/µL)
Bilirubin 0.6 (normal: 0.3-1.2 mg/dL)
HBeAg positive
HBV DNA 7.2 x 108 IU/mL
She states that her grandmother died of liver disease but she is unaware of anyone with HBV in the family. In addition to standard active/passive immune prophylaxis for the infant at birth, which of the following is the best option?
A. No therapy for the mother.
B. Vaccinate the mother now and begin tenofovir after delivery.
C. Begin the mother on lamivudine now.
D. Begin the mother on entecavir at week 28.
E. Begin the mother on tenofovir at week 28.
Standard immune prophylaxis fails to protect some infants. This risk is related to the maternal viral load. Mothers with HBV DNA >106 IU/mL are considered appropriate for anti-viral therapy during their last trimester to decrease the amount of virus at the time of delivery. Tenofovir (TDF) is recommended over lamivudine or telbivudine due to the risk or resistance, however all have been studied in pregnancy. Entecavir is not recommended.
A 56-year-old man with diabetes on long-term insulin therapy presented with itching followed by jaundice and fatigue. He has no history of liver disease, alcohol abuse, drug allergies, or risk factors for viral hepatitis. His only other medications are insulin, lisinopril, and low-dose aspirin, which he has been taking for several years. He reported using an herbal product for glucose control for 3-4 months. On presentation, he was jaundiced but had no fever or rash.
His laboratory tests results revealed:
Serum bilirubin 4.6 mg/dL (normal: 0.3-1.2 mg/dL)
ALT 276 U/L (normal: 0-35 U/L)
AST 200 U/L (normal: 0-35 U/L)
Alkaline phosphatase 679 U/L (normal: 36-92 U/L)
R ratio 1.1 (cholestatic)
Serum albumin 2.9 g/dL (normal: 3.5-5.5 g/dL)
INR 0.96 (normal: <1.5)
Tests for hepatitis A, B, C, and E were negative, and both ANA and smooth muscle antibody were nonreactive. Imaging of the liver by ultrasound and MRI suggested minor dilatation of intrahepatic bile ducts, and he underwent ERCP, which was normal. A diagnosis of liver injury from the herbal product was considered, and the patient was recommended to stop it.
At 3 month follow-up, he was noted to have persistent jaundice with improvement in liver enzymes. He underwent a liver biopsy, which showed chronic cholestasis with pseudoxanthomatous change and copper accumulation. There was bile duct loss: among 12 portal areas, only 6 had identifiable bile ducts (bile duct fraction = 50%). There was no ductular reaction, but there was definite periportal fibrosis. Which of the following is the most predictive factor for prolonged jaundice seen in this patient?
A. R ratio of 1.1 at presentation
B. Periportal fibrosis
C. Pseudoxanthomatous change and copper accumulation
D. Bile duct loss
The course and outcome are compatible with severe cholestatic hepatitis with partial vanishing bile duct syndrome (VBDS). The most predictive factor of poor outcome was the degree of bile duct loss on liver biopsy. Bile duct loss during acute cholestatic hepatitis is an ominous early indicator of possible VBDS, for which at present there are no known means of prevention or therapy. Pseudoxanthomatous change and copper accumulation are seen with chronic cholestasis. The presence of fibrosis may be indicative of underlying chronic liver disease with early fibrosis but is not predictive of outcome.
A weight loss of 7% is associated with which of the following positive effects in patients with NAFLD/NASH?
A. 25% NASH resolution
B. 50% regression in hepatic fibrosis
C. 10% improvement in steatosis
D. 100% normalization of transaminases
E. 50% decrease in the risk of hepatocellular carcinoma
Diet and exercise are the mainstay of therapy for NAFLD. In a recent study by Romero-Gomez, et al, a weight loss of 7% is associated with a 50% regression of hepatic fibrosis, a 64% resolution of NASH, and a 76% improvement of steatosis. Weight loss has not been associated with a 100% normalization of transaminases or a decrease in the risk of the development of hepatocellular carcinoma.
What is the appropriate first-line therapy for patients with cirrhosis presenting with overt hepatic encephalopathy?
A. Initiate oral rifaximin treatment until resolution of the patient’s symptoms.
B. Initiate nonabsorbable disaccharides such as lactulose.
C. Initiate probiotic therapy to re-adjust intestinal flora.
D. Use a combination of lactulose and rifaximin.
Hepatic encephalopathy (HE) produces a wide spectrum of nonspecific neurological and psychiatric manifestations, commonly seen in patients with cirrhosis. HE alters psychometric tests oriented toward attention, working memory (WM), psychomotor speed, and visuospatial ability, as well as electrophysiological and other functional brain measures. The incidence and prevalence of HE are related to the severity of the underlying liver insufficiency and portosystemic shunt. HE occurs in 5-25% within 5 years after cirrhosis diagnosis, depending on the presence of risk factors. Lactulose is preferred for the initial treatment of HE. The dosing of lactulose should be started with 25 mL of lactulose syrup every 1-2 hours until at least 2 soft or loose bowel movements per day are produced. Subsequently, the dosing is titrated to maintain 2-3 bowel movements per day. Oral rifaximin is not recommended as monotherapy or combination therapy as initial treatment. Probiotics are not recommended as first line therapy for HE