Dysphagia is usually painless and intermittent or progressive over years, limited to solid.
Is this associated with weight loss?
Plummer Vinson Syndrome
Yes, sometimes
Plummer Vinson Syndrome risk of what cancers?
esophageal or pharyngeal squamous cell carcinoma
Plummer Vinson Syndrome Treatment
iron supplementation
mechanical dilation.
Iron supplementation alone can resolve dysphagia in many patients
Triad for Plummer Vinson Syndrome
of dysphagia, iron deficiency anemia,, and a cervical esophageal web
Part of esophagus affected by espophageal webs
upper
dysphagia and foul breath
Zenker Diverticulum
Pathophyophysiology of Zenker Diverticulum
Impaired relaxation of cricopharyngeus(recurrent laryngeal) muscle during swallowing can lead to increased to increased pressure in distal pharynx This increased pressure can cause an outpouching of pharyngeal mucosa and submucosa through the muscle of the pharyngeal wall (false diverticulum) Develops above the upper esophageal sphincter
Location of Zenker D.
Develops above the upper esophageal sphincter
Esophageal Stenosis/Stricture presents with dysphagia for what substances? Is this ass. with weight loss?
Solids, benign causes are not. malignant causes are
Compare etiology of Esophageal Stenosis/Stricture in Western vs. developing countries
Alkaline material accounts for most caustic ingestions in Western countries whereas injuries from acid are more common in some developing countries
Describe benign esophageal strictures
Benign strictures involve narrowing of esophageal lumen due to fibrosis/scarring of esophageal mucosa, often with atrophy of muscularis propria
Location of smooth muscle atrophy and fibrosis in progressive systemic sclerosis (PSS)/Scleroderma
distal two-thirds of the esophagus
Infectious related to Esophagitis
HSV-1: punched out lesions vs CMV: linear lesions Human papilloma
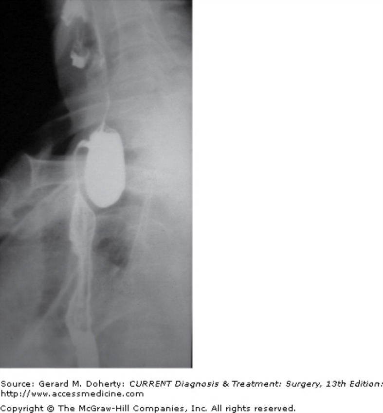
What do you see on this image?
What cancer is this pt at risk for?
What is the pathophysiology?

Bird beak sign for achlasia
Scc and adenocarcinoma
Failure of LES to relax due to loss of myenteric (Auerbach) plexus due to loss of postganglionic inhibitory neurons (which contain NO and VIP).
Manometry findings include uncoordinated
or absent peristalsis with high LES resting pressureprogressive dysphagia to solids and liquids (vs obstruction—solids only)
What do you see?

Zenker Diverticula
esophagitis type?

CMV esophagitis
What type of esphagitis?

rinnged esophagus
eosinophilic

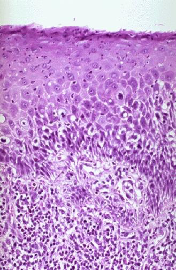
What is this?

Acute esophagitis
neutrophils in the submucosa as well as neutrophils infiltrating into the squamous mucosa
May sometimes see small numbers of eosinophils as well
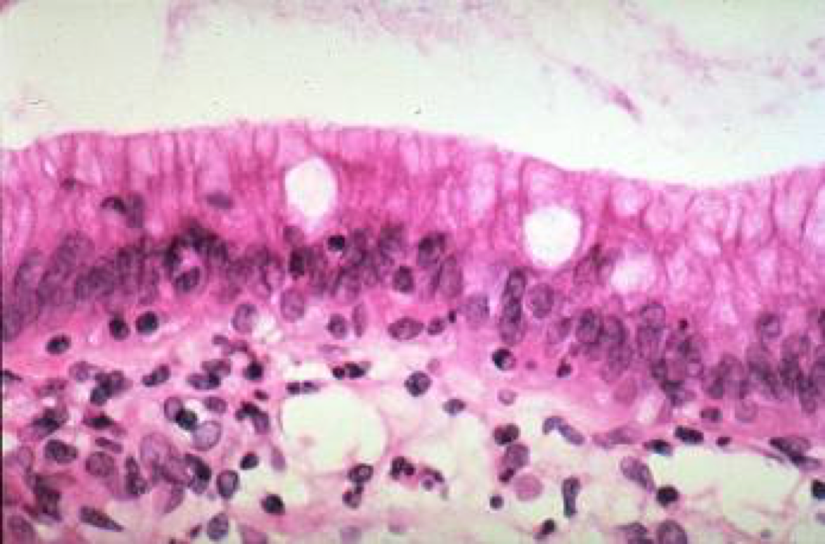
What is this?

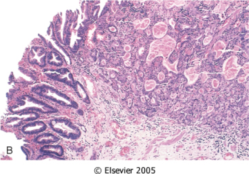
barr esophThis is “typical” Barrett mucosa, because there is intestinal metaplasia (note the goblet cells in the columnar mucosa


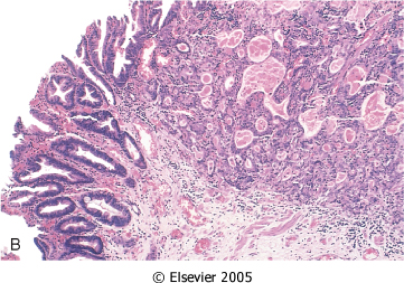
Malignant glands in adenocarcinoma arising from Barrett esophagus are shown
Esophageal Adenocarcinoma
Same as E. Web but thicker and LOWER esophagus:
What is this associated with?
Schatski Ring:
Hiatal hernia