Acquired malformation of submucosal and mucosal blood vessels: Most common location? Why?

Angiodysplasia: cecum largest diameter
tortuous dilation of vessels–> hematochezia
accounts for 20% of major episodes of lower intestinal bleeding
Angiodysplasia: BRIGHT RED BLOOD
Ischemic damage to colon usually due to atherosclerosis in SMA or IMA: Most common location?
Ischemic Colitis Splenic flexture

Pt. presents with bloody diarrhea. They say they are afraid to eat because it hurts after and have experienced weight loss. Dx? Risk associated with this? What type of ischemia is this?
Ischemic Colitis Scarring/fibrosis at infarction site may lead to stricture and obstruction
Chronic mesenteric ischemia:
“Intestinal angina”: atherosclerosis of celiac artery, SMA, or IMAintestinal hypoperfusion postprandial epigastric painfood aversion and weight loss.
Loss of ganglion cells in both Meissner submucosal plexus and Auerbach myenteric plexus due to loss of Loss of ganglion cells in both Meissner submucosal plexus and Auerbach myenteric plexus
Hirschsprung Disease rectum (always) and sigmoid colon (often
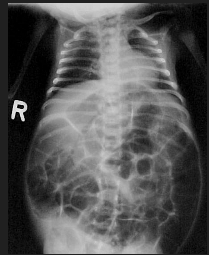
A newborn infant has not passed meconium in 2 days and has bilious vommiting. Distended abdomen is appreciated on exam. During digital rectal examination, gas and stool is explused. Distended loops of bowel and an absence of gas in the rectum is seen on abdominal radiography.
What might you see on biopy of the intestine?
Tx?

•TX: Surgical resection of segment that lacks ganglion cells

Colonic Diverticulosis
Congenital vs Acquired
Congenital: have all layers of bowel wall (mucosa, submucosa, muscularis propria, serosa)
Acquired: lack muscularis propria, outpouching mucosa/submucosa due to focal weakness in wall and increased intraluminal pressure (causes wall stress
Most common location of acquired Colonic Diverticulosis
•Most common location is sigmoid colon (in areas of vasa recta)
–Hematochezia
passage of fresh blood through the anus, usually in or with stools (contrast with melena).
A 65-year-old man with a long history of constipation presents with steady left lower quadrant pain. Physical exam reveals low grade fever, midabdominal distention, and lower left quadrant tenderness. Stool guiac is negative. An absolute neutrophillic leukocytosis and a shift to the left are noted on the CBC.
Colonic Diverticulosis

A 50-year-old female is hospitalized for a course of intravenous clindamycin to treat an abscess. Four days later she develops a watery diarrhea, with > 3 stools/day. Temperature is 102.2°F (39°C). Physical exam reveals abdominal tenderness with no guarding. Her WBC was 15,000 mm³ and she had a positive fecal leucocyte test. Sigmoidoscopy reveals 0.2 - 2 cm raised adherent yellow plaques.
Treatement?
gram-positive bacilli

spore-formingClostridium
C. difficile
tx:
•metronidazole, vancomycin, fidaxomicin, fecal transplant

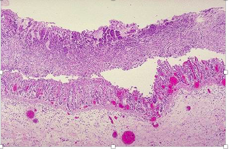
pseudomembranous enterocolitis.
mucosal surface of the colon is hyperemic and is partially covered by a yellow-green exudate. The mucosa itself is not eroded. Broad spectrum antibiotic usage (such as clindamycin) and/or immunosuppression allows overgrowth of bacteria such as Clostridium difficile to cause this appearance.

Microscopically, the pseudomembrane is seen to be composed of inflammatory cells, necrotic epithelium, and mucus in which the overgrowth of microorganisms takes place. The underlying mucosa shows congested vessels, but is still intact
What leads to adhesions in these patients?

Portion of terminal ileum
demonstrates the gross findings with Crohn’s disease. T
the small intestine–and the terminal ileum in particular–is most likely to be involved.
The middle portion of bowel seen here has a thickened wall and the mucosa has lost the regular folds. The serosal surface demonstrates reddish indurated adipose tissue that creeps over the surface.
Serosal inflammation leads to adhesions. The areas of inflammation tend to be discontinuous throughout the bowel
A
B
C
D

Small bowl necrosis seen in
Acute mesenteric ischemia
hematochezia
pneumatosis intestinalis

Chrohn: String sign on barrium swollow
Mneumonic for Crohn,
A fat granny and an old crone skipping down a cobblestone road away from the wreck
Chrons
Conblestone mucosa
creeping fat, bowel wall thickening (“string sign” on barium swallow x-ray A ), linear ulcers, fissures.
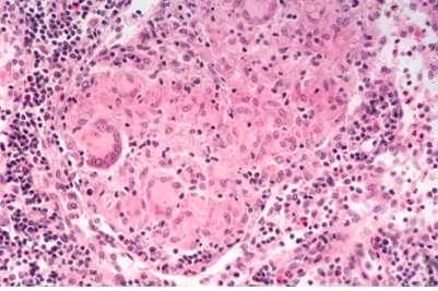
Noncaseating granulomas and lymphoid aggregates. Th1 mediated.
Crohn’s is ass. with that other dz states?
1.
2.
3.
4.
5.
Ulcerative colitis causes ULCCCERS:
U
L
C
C
C
E
R
S
Ulcers
Large intestine
Continuous,
Colorectal carcinoma,
Crypt abscesses
Extends proximally
Red diarrhea
Sclerosing cholangitis:Conjugated (direct) hyperbilirubinemia
Dz?

Chrons–> Crohn’s disease of the colon showing thickening of the wall, with stenosis, linear serpiginous ulcers and cobblestoning of the mucosa.

Microscopically,
What do you see that can help differentiate if the dz is Crohns or Ulcerative Colitis?

Granulomas are often seen in Crohn disease,but not in ulcerative colitis