Pancrease 1 Flashcards

(26 cards)

1
Q

congenital anamolies of pancreas

A

o Accessory (ectopic pancreas): pancreatic tissue outside it’s normal location (often in stomach, small intestine, meckel’s diverticulum)

o Annular pancreas: abnormal ring of pancreas that encircles the duodenum; assoc w/ down’s syndrome

o Pancreas divisum: failure of dorsal and ventral buds/ducts to fuse leading to retention of 2 separate duct systems; duct of santorinin provides main drainagel may cause acute pancreatitis

How well did you know this?
1
Not at all
2
3
4
5
Perfectly
2
Q

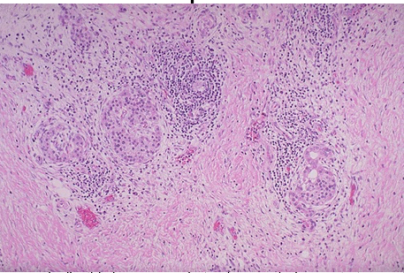
acute pancreatitis

common etiology

histo

A

Common etiologies: alcoholism, gallstones, mumps

Hist:

  • Edema by microvascular leakage
  • Fat necrosis by lipolytic enzymes (saponification)
  • Acute inflammation (neutrophils)
  • Proteolytic destruction of pancreatic parenchyma
  • Destruction of blood vessels and subsequent interstitial hemorrhage

Pic shows Fat necrosis with dystrophic calcifcation

How well did you know this?
1
Not at all
2
3
4
5
Perfectly
3
Q

acute hemorrhagic pancreatitis

A

o Abrupt onset following heavy meal/alcohol

o Extensive tissue destruction w/ circulatory collapse and shock

o Elevated serum amylase and lipase

o 50% mortality

o may develop pseudocyst

How well did you know this?
1
Not at all
2
3
4
5
Perfectly
4
Q

What type of pancreatitis?

A

Chronic

oRecurrent, progressive pancreatic tissue destruction

o Alcohol abuse is major cause

o Chronic inflammation, fibrosis, calcification

o Pancreatic insufficiency w/ malabsorption and/or diabetes

o 3-4% mortality/year

How well did you know this?
1
Not at all
2
3
4
5
Perfectly
5
Q

autoimmune pancreatitis

A

o 40s-60s

o assoc. w/ autoimmune conditions (PSC, Sjogren)

o some w/ multifocal inflammatory fibrosclerosis (Reidel thyroiditis, orbital pseudotumor, mediastinal and retroperitoneal fibrosis)

o mimics pancreatic carcinoma both clinically (obstructive jaundice) and radiologically (mass-like lesion)—“sausage-like” appearance on imaging

o elevated serum IgG4

o respond well to steroids

o Histo:
• Dense “duct-centric” inflammation of predominantly lymphoplasmacytic cells and expansion of periductal fibrous tissue
• Periphlebitis and obliterative venulitis common
• Interstitial fibroblastic proliferaion w/ storiform architecture
• IgG4+ plasma cells

How well did you know this?
1
Not at all
2
3
4
5
Perfectly
6
Q

hereditary pancreatitis

A

o AD, mutations in PRSS1 and SPINK1 result in autoactivation of trysinogen

o Same features of chronic pancreatitis except earlier age onset, less pancreatic calicification, and DM

o 40% develop pancreatic ductal adenocarcinoma

How well did you know this?
1
Not at all
2
3
4
5
Perfectly
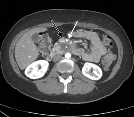
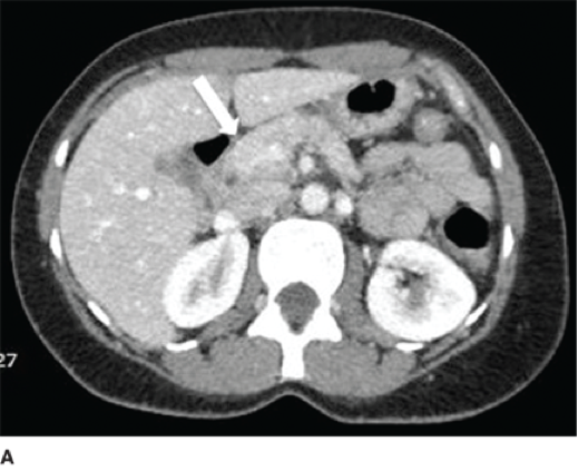
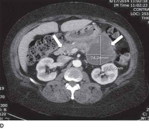
7
Q

pancreatic ductal adenocarcinoma

A

CT:

Most lethal solid tumor; Highest incidence after age 60

  • o Risks: smoking, chemical exposure, high meat/fat diet, diabetes, chronic pancreatitis
  • o KRAS activating mutations; Tumor suppressor mutations in p16, TP53, SMAD4
  • o Precursor to cancer: pancreatic intraepithelial neoplasia
  • o Sx:
  • • Anorexia, wt loss
  • • Abdominal/back pain
  • • Jaundice
  • • Migratory thrombophlebitis (troussea’s sign)—hypercoagulability and tendency to venous thrombosis
  • o Derived from ductal cells; spreads by lymphatics and along nerves
  • o 5 year survival=5% (only 20% are surgical candidates)
  • o Gross: firm, gray poorly demarcated mass. Invasion of peripancreatic tissue and local structures common
  • o Microscopic: >75% are well-moderately differentiated, prominent desmoplastic rxn, perineural invasion
How well did you know this?
1
Not at all
2
3
4
5
Perfectly
8
Q

pancreatoblastoma

A

o Children!
o Micro: acini and sqaumoid corpuscle
o 1/3 lymphn node/hepatic mets

How well did you know this?
1
Not at all
2
3
4
5
Perfectly
9
Q

pancreatic neuroendocrine neoplasms

A

o Derived from islet cells; non-functional or functional; M & F equally; ages 30-60; MEN1 syndrome

o Insulinoma (Beta-cell tumors): most common islet cell tumor
• Excess secretion of insulin→hypoglycemia, sweating, nervousness, hunger, confusion, lethargy
• Most are benign, solitary, small
• Uniform nests of cells, richly vascular, amyloid deposition

o Gastrinoma: G cell tumor secretes excess gastrin
• Zollinger-Ellison Syndrome (intractable gastric hypersecretion, peptic ulceration, and elevated blood gastrin levels)

How well did you know this?
1
Not at all
2
3
4
5
Perfectly
10
Q

serous cystadenoma

A

o Female predominance; pts with VHL at inc. risk
o Always benign, surgery is curative
o Composed of glycogen-rich cuboidal cells surrounding small (1 to 3 mm) cysts containing clear, thin, straw-colored fluid

How well did you know this?
1
Not at all
2
3
4
5
Perfectly
11
Q

mucinous cystic neoplasm

A

o Women
o Body or tail pancreas
o Painless, slow growing mass
o 1/3 assoc. w/ invasive carcinoma
o The cysts are lined by columnar mucinous epithelium, and a dense ovarian-type stroma
o Not involving the major pancreatic duct

How well did you know this?
1
Not at all
2
3
4
5
Perfectly
12
Q

intraductal papillary mucinous neoplasm

A

o Precursor to PDA
o Men
o Multifocal
o Can involve man pancreatic duct
o Lack ovarian type stroma

How well did you know this?
1
Not at all
2
3
4
5
Perfectly
13
Q

solid pseudopapillary neoplasm

A

o Low grade malignant neoplasm, 15% get mets
o Women in 20s
o Sx: intra-abdominal mass, palpable on exam
o Activating Mutation in beta-catenin
o cystic areas filled w/ hemorrhagic debris,
o Histo: cells as solid sheets, pseudopapillary,

How well did you know this?
1
Not at all
2
3
4
5
Perfectly
14
Q

cholelithiasis

A

o Gallstones in gallbladder or extrahepatic biliary tree
o Asymptomatic but may present w/ pain (biliary colic) if in cystic or common bile duct and fatty food intolerance

How well did you know this?
1
Not at all
2
3
4
5
Perfectly
15
Q

cholesterol stones

A

o Yellow-tan; cholesterol calcium salts, mucin; radiolucent

o Risks: women of reproductive age, inc. age, obesity, ethnicity, diet, metabolic abnormalities, drugs

o Contributing factors (4)
• Hypersaturaiton of bile w/ cholesterol
• Gallbladder hypomotility
• Crystal nucleation accelerated
• Hypersecretion of mucus in gallbladder traps crystals leading to aggregation

How well did you know this?
1
Not at all
2
3
4
5
Perfectly
16
Q

black pigment gallstones

A

o calcium bilirubinate, calcium salts, mucin; radioopaque

• Inc. conc. of unconjugated bilirubin in bile—chronic hemolysis, cirrhosis

17
Q

brown pigment stones

A

calcium bilirubinate, cholesterol, calcium salts, fatty acids; radiolucent

  • Bacterial cholangitis (E. coli), biliary heminthic infection, mechanical obstruction of bile flow (PSC)
  • More often found in bile ducts than gallbladder itself
18
Q

acute cholecystitis

A

o Diffuse inflammation of gallbladder 2/2 obstruction

o 95% assoc. w/ gallstones

o Acalculus cholecystitis: sepsis, severe trauma, polyarteritis nodosa, salmonella infection

o Gross:
• Gallbladder enlarged and tense; bright red or blotchy, violaceous to green-black discoloration, imparted by subserosal hemorrhages
• serosal covering is frequently layered by fibrin and, in severe cases, by suppurative exudate
• lumen may contain stones, is filled with a cloudy or turbid bile that may contain large amounts of fibrin, pus, and hemorrhage
• wall is thickened, edematous, and hyperemic.
• Perforation (bile peritonitis)

o Microscopic:
• Acute inflammation and edema
• Hemorrhage of the gallbladder wall
• Mucosal ulceration or widespread necrosis (gangrenous cholecystitis)

19
Q

chronic cholecystitis

A

o Persistent inflammation of gallbladder

o >90% associated with gallstones

o Gallbladder has thickened and fibrotic wall

o Rokitansky-Aschoff sinuses

o Gross:
• Wall is thick and firm 2/2 extensive fibrosis
• Gallstones in lumen
• Mucosa ulcerated and atrophic or intact

o Microscopic:
• Wall is fibrotic w/ prominent R-A sinuses
• Chronic inflammatory infiltrate
• Long standing inflammation→calcification (porcelain gallbladder; inc. risk cancer)

20
Q

Cholesterolosis

A

accumulation of cholesterol-laden macrophages in submucosa of gallbladder

o Gross: prominent scattered yellow flecks, strawberry gallbladder

21
Q

gallbladder adenocarcinoma

A

• Carcinoma: adenocarcinoma of gallbladder assoc. w/ cholelithiasis and chronic cholecystitis

o F>M

o >50yo

o RUQ abdominal pain, anorexia

o Metastatic disease

o Gross: diffuse wall thickening or polypoid growth

o Histo: adnocarcinoma w/ varying degrees of differentiation

22
Q

Normal Pancreas. Compare to what is shown on the back.

23
Q

Causes of acute pancreatitis:

GET SMASHED

A

G: Gallstone
E: Ethanol
T: Trauma
S: Steroid
M: Mumps
A :Autoimmune
S: Scorpionbites H: Hyperlipidemia E: ERCP

D: Drugs

24
Q

Dx tools

X-ray

CT

US

A

CT of abdomen:

  • •Estimates severity and prognosis
  • •Complications include phlegmons, abscesses or pseudocysts.
  • •Usually seen 2-3 weeks after acute pancreatitis

•Xrays of chest/abdomen: useful for r/o other diagnosis.

  • •Calcification of pancreas with chronic pancreatitis
  • •May see sentinel loop, elevated hemi-diaphragm, pleural effusion

U/S: may detect gallstones

25
Ranson Criteria Age, WBC,Glucose,LDH,AST First 48 hr Hematocrip drop, Serium calium,base deficit, increase BUN, Fluid sequestration
Criteria for acute gallstone pancreatitis **Admission** * •Age \> 70 * •WBC \> 18,000 * •Glucose \> 220 * •LDH \> 400 * •AST \> 250 **During first 48 hours** * •Hematocrit drop \> 10% * •Serum calcium \< 8 * •Base deficit \> 5.0 * •Increase in BUN \> 2 * •Fluid sequestration \> 4L \<2 pos. signs: mortality rate is 0 3-5 pos. signs: mortality rate is 10 to 20% \>7 pos. signs: mortality rate is \>50%
26
Pancreatic adenocarcinoma