Exam 3 Lab Flashcards

(86 cards)

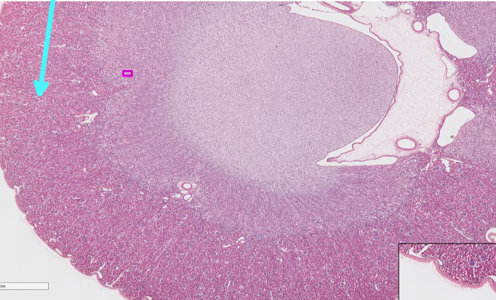
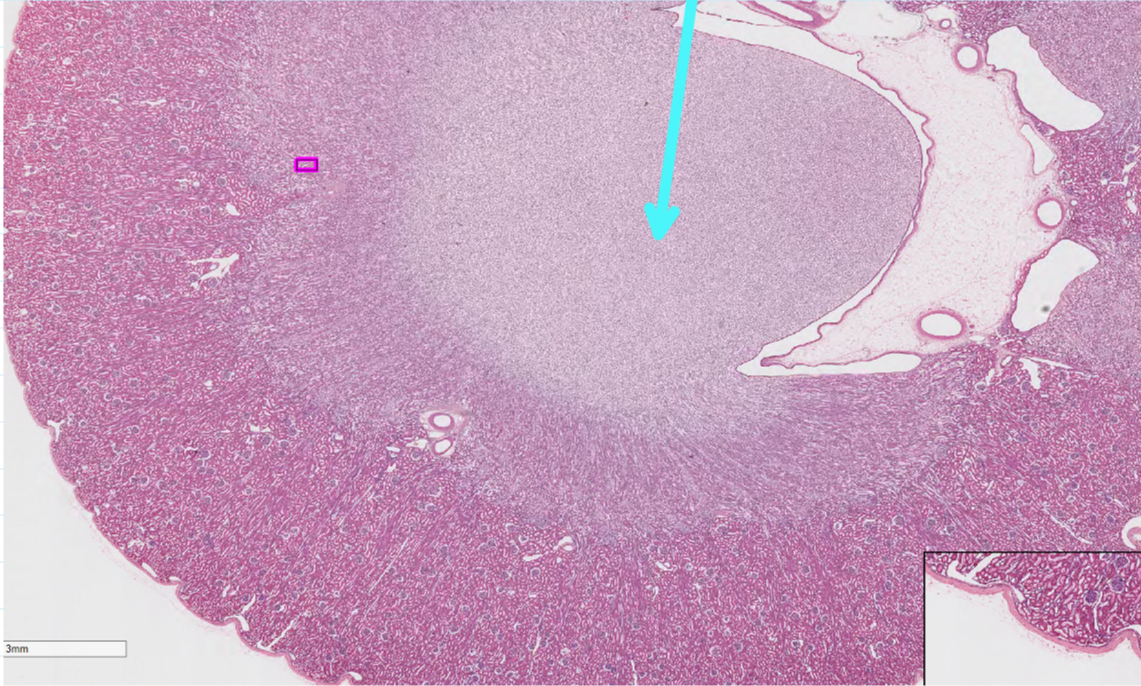
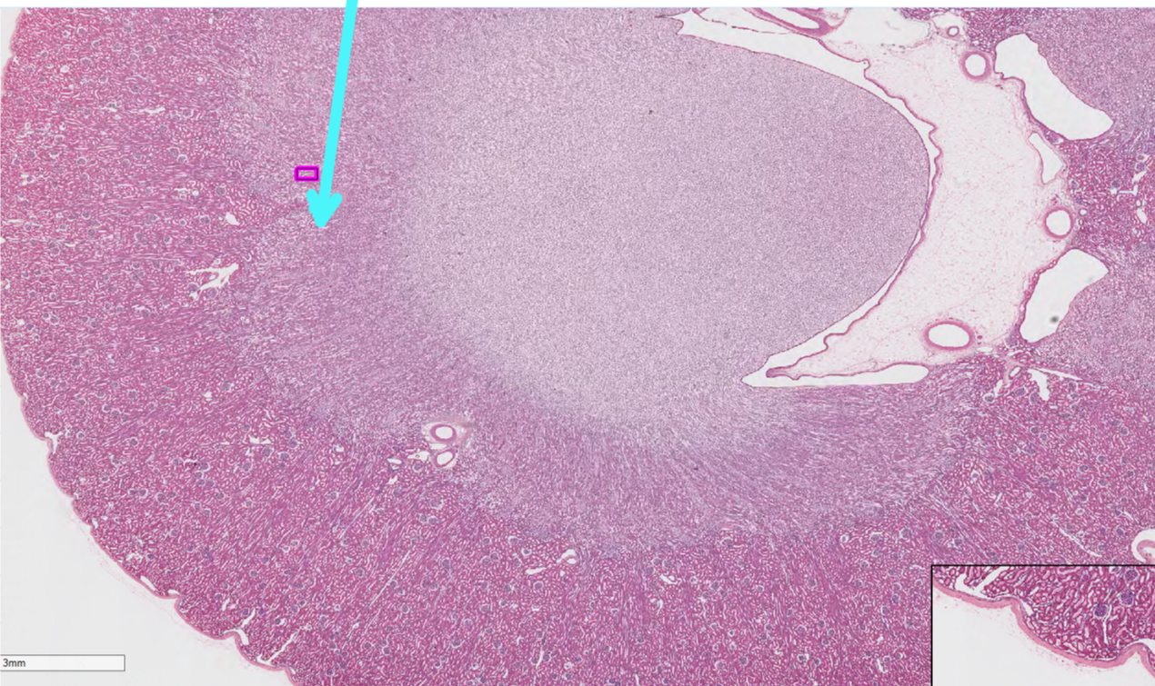
1
Q

Identify this structure:

A

Inner Medulla

How well did you know this?
1
Not at all
2
3
4
5
Perfectly
2
Q

What is located in the inner medulla?

A

collecting ducts

How well did you know this?
1
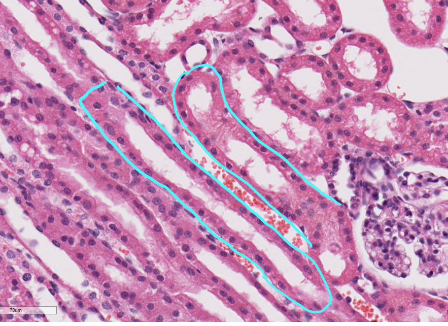
Not at all
2
3
4
5
Perfectly
3
Q

Identify this strucutre:

A

Outer Medulla

How well did you know this?
1
Not at all
2
3
4
5
Perfectly
4
Q

What is located in the outer medulla?

A

Distal straight tubule, collecting ducts, Loops of Henle

How well did you know this?
1
Not at all
2
3
4
5
Perfectly
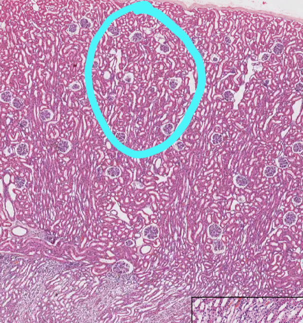
5
Q

Identify this structure:

A

Cortex

How well did you know this?
1
Not at all
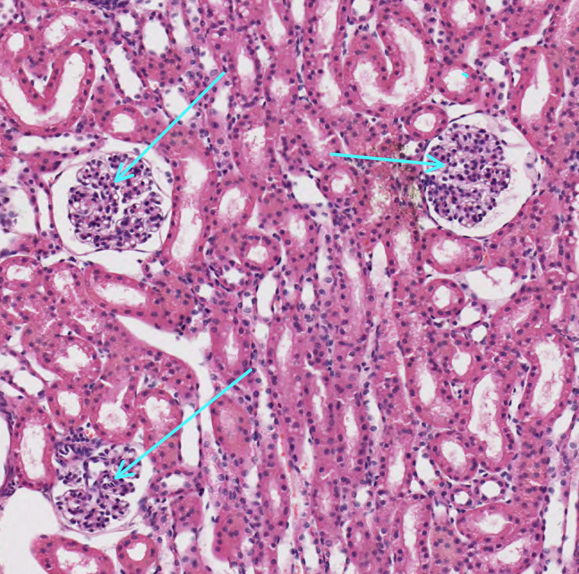
2
3
4
5
Perfectly
6
Q

What is located in the cortex?

A

Renal corpuscle, medullary rays, cortical labrynth, proximal and distal straight and convoluted tubules, collecting ducts

How well did you know this?
1
Not at all
2
3
4
5
Perfectly
7
Q

Identify this structure:

A

Cortical labryinth

How well did you know this?
1
Not at all
2
3
4
5
Perfectly
8
Q

What is located in the cortical labrynth?

A

proximal and distal convoluted tubules

How well did you know this?
1
Not at all
2
3
4
5
Perfectly
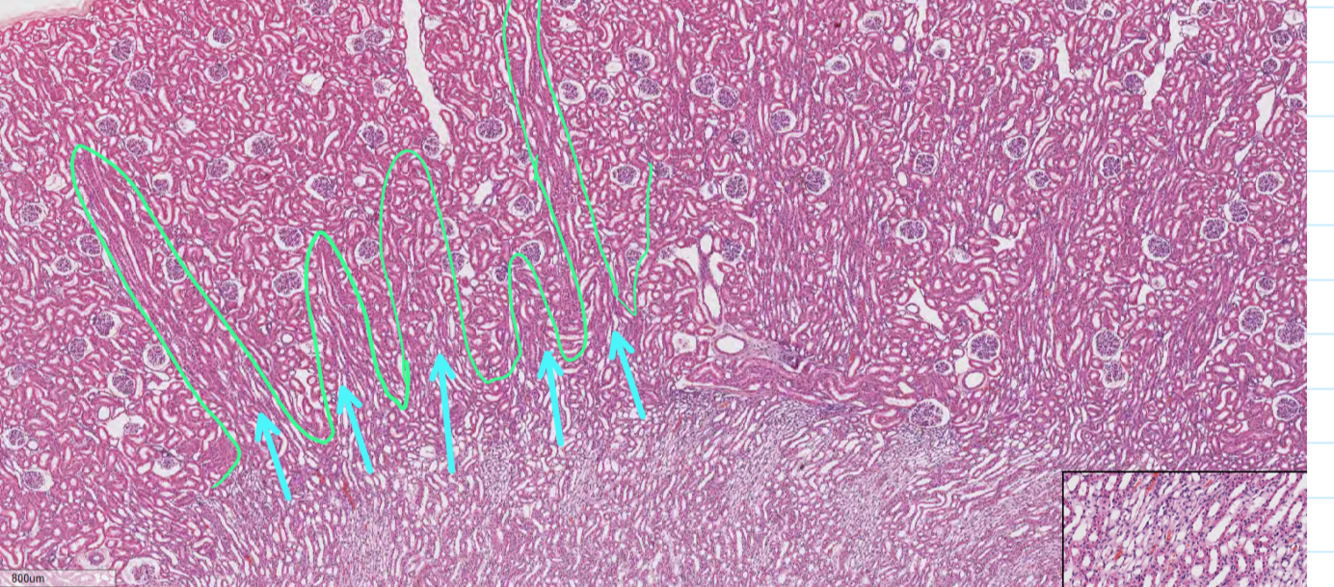
9
Q

Identify this structure:

A

Medullary ray

How well did you know this?
1
Not at all
2
3
4
5
Perfectly
10
Q

What is located in the medullary rays?

A

proximal and distal straight tubules, collecting ducts

How well did you know this?
1
Not at all
2
3
4
5
Perfectly
11
Q

Identify this structure:

A

renal capsule

How well did you know this?
1
Not at all
2
3
4
5
Perfectly
12
Q

Identify this structure:

A

renal pelvis

How well did you know this?
1
Not at all
2
3
4
5
Perfectly
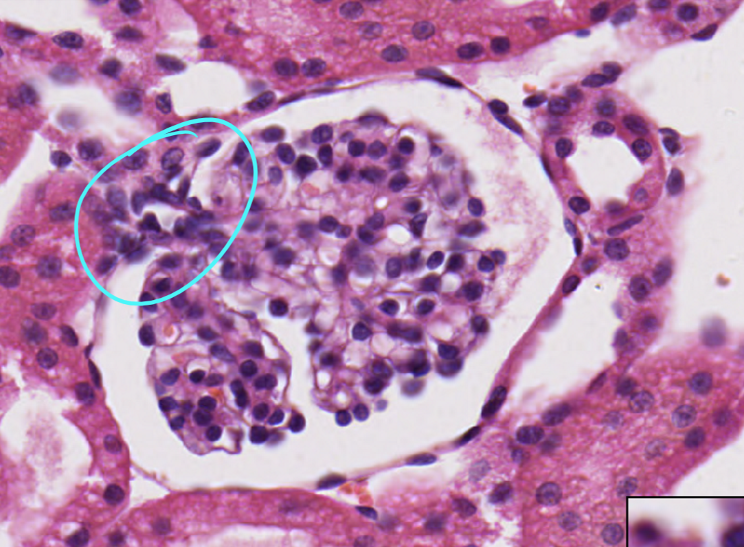
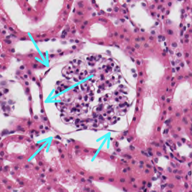
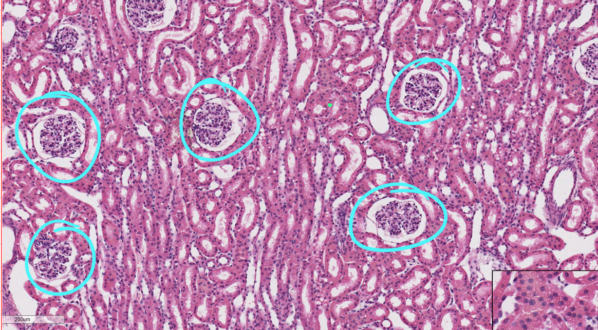
13
Q

Identify this structure:

A

Renal corpuscle

How well did you know this?
1
Not at all
2
3
4
5
Perfectly
14
Q

What is are the parts of the renal corpuscle?

A

the glomerulus and Bowman’s capsule

How well did you know this?
1
Not at all
2
3
4
5
Perfectly
15
Q

Identify this structure:

A

Bowman’s capsule

How well did you know this?
1
Not at all
2
3
4
5
Perfectly
16
Q

Identify this structure:

A

Glomerulus

How well did you know this?
1
Not at all
2
3
4
5
Perfectly
17
Q

Identify this structure:

A

the vascular pole

How well did you know this?
1
Not at all
2
3
4
5
Perfectly
18
Q

What occurs at the vascular pole?

A

the arterioles enter here

How well did you know this?
1
Not at all
2
3
4
5
Perfectly
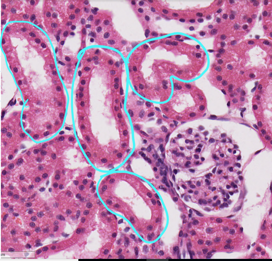
19
Q

Identify this structure:

A

Proximal convoluted tubule

How well did you know this?
1
Not at all
2
3
4
5
Perfectly
20
Q

Where is the proximal convoluted tubule located?

A

in the cortical labyrith of the cortex

How well did you know this?
1
Not at all
2
3
4
5
Perfectly
21
Q

What is the structure of the proximal tubules?

A

cuboidal epithelium, microvilli on the lumen, large basolaterally located nuclei, lots of mitochondria

How well did you know this?
1
Not at all
2
3
4
5
Perfectly
22
Q

Identify this structure:

A

Proximal straight tubule

How well did you know this?
1
Not at all
2
3
4
5
Perfectly
23
Q

Where are the proximal straight tubules located?

A

in the medullary rays of the cortex

How well did you know this?
1
Not at all
2
3
4
5
Perfectly
24
Q

What is reabsorbed in the proximal tubule?

A

Na, H2O, K, solutes, glucose, Amino acids, bicarbs

How well did you know this?
1
Not at all
2
3
4
5
Perfectly
25
How is a Na gradient created in the proximal tubule?
via NaKATPase
26
What molecules facilitate diffusion in the first half of the proximal tubule that allow Na to be reabsorbed?
NaH antiporter, Na symporters
27
How is K reabsorbed in the proximal tubule?
paracellularly in the late proximal tubule, transcellularly via the K+Cl- symporter at the basolateral membrane
28
What are the reabsorptive mechanisms in the 2nd half of the proximal tubule?
NaH antiporter, Cl- anion antiporter, Paracelluar reabsorption for Na and Cl, K Cl symporter
29
What allows the Na and Cl mechanisms in the proximal tubule function?
the constant circulation of H+ and anions between the lumen and the epithelial cell
30
Identify this structure:
Distal convoluted tubule
31
Identify this structure:
Distal straight tubule
32
Where are the distal convoluted tubule located?
in the cortical labyrinth of the cortex
33
Where is the distal straight tubules located?
in the medullary rays of the cortex
34
What is the structure of the distal tubules?
low cuboidal, mroe oval apical nuclei, few microvilli, few mitochondria, lumen is not as fuzzy
35
In the absense of antidiuretic hormone, what is the distal tubule impermeable to?
urea and water
36
What are the reabsorption methods in the early part of the distal tubule?
NaH antiporter, NKCC1, Paracellular reabsorption
37
What are reabsorbed paracellularly in the initial distal tubule?
Na, K, Ca
38
What are the reabsorptive methods of the later distal tubule?
NaCl symporter
39
What do thiazide diuretics do?
inhibit NaCl symporter
40
Where is K reabsorbed in the distal tubule?
in the distal straight tubule
41
Identify this structure:
Collecting duct
42
What is the structure of the collecting duct?
cuboidal epithelium, large nucleus with a halo around it, diminished brush border
43
What are the regions of the collecting duct?
cortical, medullary, papillary
44
What are the general cell types of cortical collecting duct?
principle and intercalated
45
What are the structural components of principle cells in collecting ducts?
some mitochondria and microvilli
46
What are the types of intercalated cells?
type a and type b
47
What do type A (alpha )intercalated cells do?
excrete H and reabsorb HCO3 and K
48
What do type B intercalated cells do?
excrete HCO3 and reabsorb H
49
What cells are located in the outer medullary collecting duct?
principle cells and intercalated cells
50
What cells are located in the inner medullary collecting ducts?
principle cells
51
What cells are located in the papillary collecting ducts?
principle cells
52
Is the collecting duct water permeable?
only in the presence of ADH
53
What are the reabsorptive methods in the principle cells of the collecting ducts?
Amiloride sensitive Na channel, paracellular, K channels
54
What is reabsorbed paracellularly in principle cells of the collecting duct?
Cl
55
What is the function of principle cells?
to secrete K on the luminal side
56
How is K reabsorbed in the collecting duct?
HKATPase brings K into the luminal membrane, then enters the ECF via K channels
57
Identify this structure:
Loop of Henle
58
What is the structure of cells in the loop of henle?
simple squamous, few microvilli and few mitochondria, bulging nuclei
59
What is the structure of the Loop of Henle?
it has an ascending limb and a descending limb
60
What occurs in the descending limb?
it is permeable to H2O, but impermeable to Na; therefore H20 reabsorption occirs here
61
What occurs in the ascending limb of the Loop of Henle?
Not really permeable to H2O but permeable to Na; Na reabsorption reoccurs here
62
Identify this structure:
the macula densa
63
Where is the macula densa located?
at the junction of the straight and convoluted tubule
64
What is the structure of the macula densa?
densely packed tall cells with no basal lamina
65
What does the lack of the basal lamina allow?
direct contact between extraglomerular mesangial cells and juxtaglomerular cells
66
What does the macula densa aid in?
altering GFR; sends signal to extraglomerular mesangial cells to have the juxtaglomerular cells alter GFR (by releasing Renin)
67
In order of most water absorbance to least, name where water is absorbed in the nephron.
Proximal tubule (67%), Loop of Henle, Distal tubule in the presence of ADH, Collecting ducts in the presence of ADH
68
Explain the flow of filtrate through the nephron.
Glomerulus, to Bowman's capsule, Proximal convoluted tubule, Proximal straight tubule, Loop of Henle, Distal straight tubule, Distal convoluted tubule, collecting duct
69
Where does the only active reabsorption occur, what is reabsorbed, and what is the mechanism?
In the distal straight tubule, Na reabsorption, NKCC1
70
What is the fluid like in the distal straight tubule?
hypotonic
71
Where does the NaKATPase function to make a concentration gradient for reabsorption?
Everywhere but the Loop of Henle
72
Identify this structure:
transitional epithelium
73
Identify this structure:
lamina propria
74
Identify this structure:
longitudinal muscle
75
Identify this structure:
circular smooth muscle
76
What is the major smooth muscle layer of the ureter?
circular smooth muscle
77
Identify this structure:
Tunica adventitia
78
Identify this structure:
cross section of the bladder
79
Identify this structure:
Lamina propria
80
Identify this structure:
Inner longitudinal layer
81
Identify this structure:
Middle circular layer
82
Identify this structure:
Outer longitudinal layer
83
Identify this structure:
urethra
84
Identify this structure:
inner circular layer
85
Identify this structure:
outer longitidinal layer
86
What is the major muscle layer of the urethra?
circular layer