Unit 1 - Lab Flashcards

(101 cards)

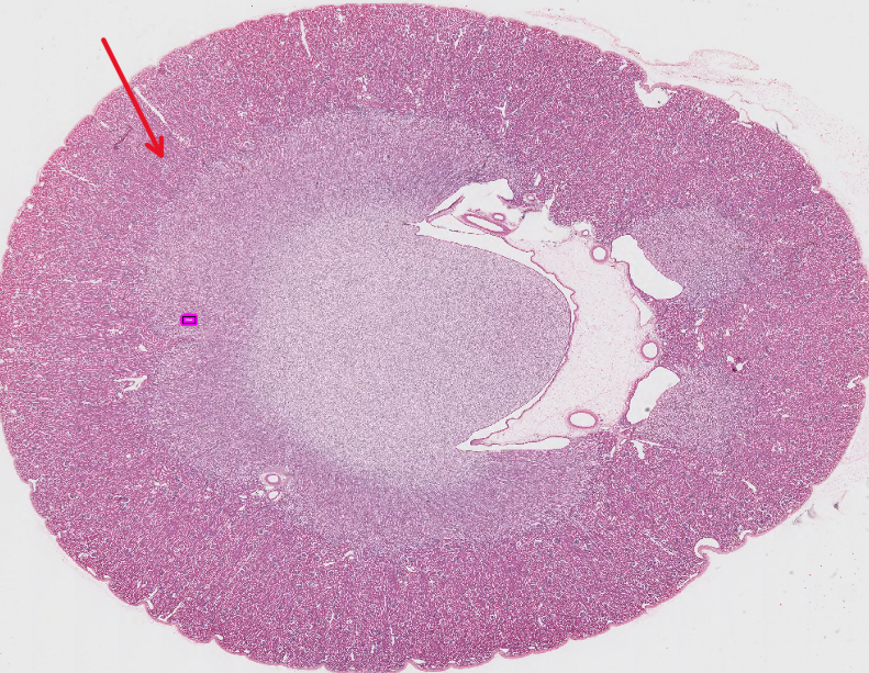
1
Q

This is a kidney, identify this structure:

A

Cortex

How well did you know this?
1
Not at all
2
3
4
5
Perfectly
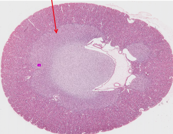
2
Q

This is a kidney, identify this structure:

A

precortex

How well did you know this?
1
Not at all
2
3
4
5
Perfectly
3
Q

This is a kidney, identify this structure:

A

medulla

How well did you know this?
1
Not at all
2
3
4
5
Perfectly
4
Q

This is a kidney, identify this structure:

A

simple cuboidal

How well did you know this?
1
Not at all
2
3
4
5
Perfectly
5
Q

This is a kidney, identify this structure:

A

simple squamous

How well did you know this?
1
Not at all
2
3
4
5
Perfectly
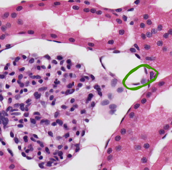
6
Q

This is a kidney, identify this structure:

A

Vessel surrounded by simple squamous

How well did you know this?
1
Not at all
2
3
4
5
Perfectly
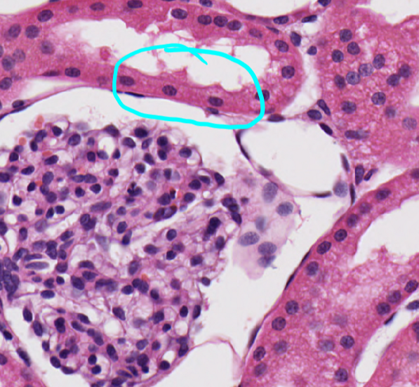
7
Q

This is a kidney, identify this structure:

A

transitional epithelium

How well did you know this?
1
Not at all
2
3
4
5
Perfectly
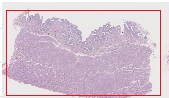
8
Q

This a duodenum, identify this structure:

A

duodenum

How well did you know this?
1
Not at all
2
3
4
5
Perfectly
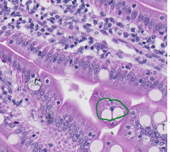
9
Q

This a duodenum, identify this structure:

A

intestinal villi

How well did you know this?
1
Not at all
2
3
4
5
Perfectly
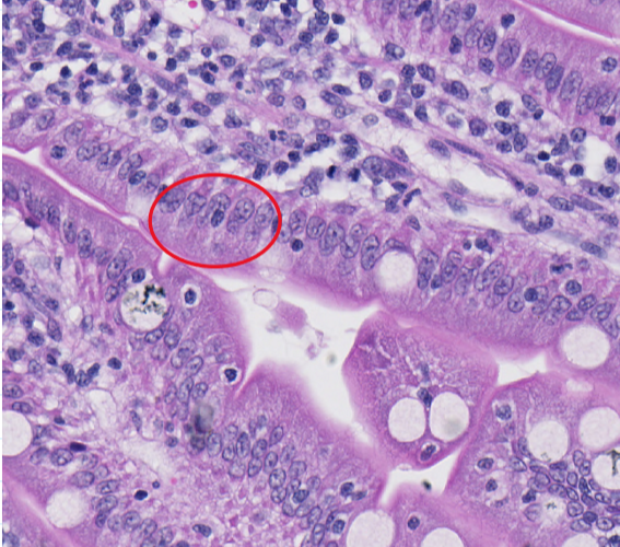
10
Q

This a duodenum, identify this structure:

A

goblet cells

How well did you know this?
1
Not at all
2
3
4
5
Perfectly
11
Q

What is the functional significance of the goblet cell?

A

secretes mucous

How well did you know this?
1
Not at all
2
3
4
5
Perfectly
12
Q

This a duodenum, identify this structure:

A

simple columnar epithelium

How well did you know this?
1
Not at all
2
3
4
5
Perfectly
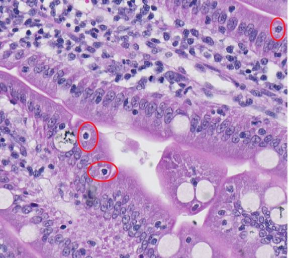
13
Q

This a duodenum, identify this structure:

A

lymphocytes

How well did you know this?
1
Not at all
2
3
4
5
Perfectly
14
Q

This a duodenum, identify this structure:

A

refractive line

How well did you know this?
1
Not at all
2
3
4
5
Perfectly
15
Q

This is a trachea, identify this structure:

A

Cilia

How well did you know this?
1
Not at all
2
3
4
5
Perfectly
16
Q

This is a trachea, identify this structure:

A

pseudostratified columnar epithelium

How well did you know this?
1
Not at all
2
3
4
5
Perfectly
17
Q

Identify this structure:

A

piece of the bladder

How well did you know this?
1
Not at all
2
3
4
5
Perfectly
18
Q

Identify this structure:

A

ureter

How well did you know this?
1
Not at all
2
3
4
5
Perfectly
19
Q

Identify this structure:

A

transitional epithelium

How well did you know this?
1
Not at all
2
3
4
5
Perfectly
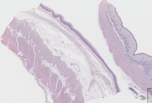
20
Q

Identify this structure:

A

Esophagus

How well did you know this?
1
Not at all
2
3
4
5
Perfectly
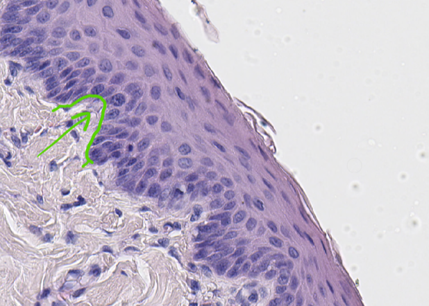
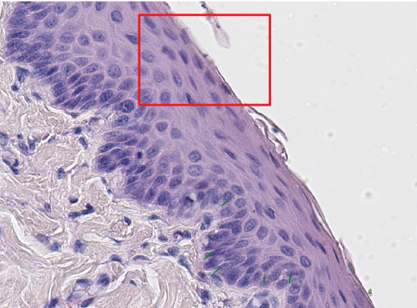
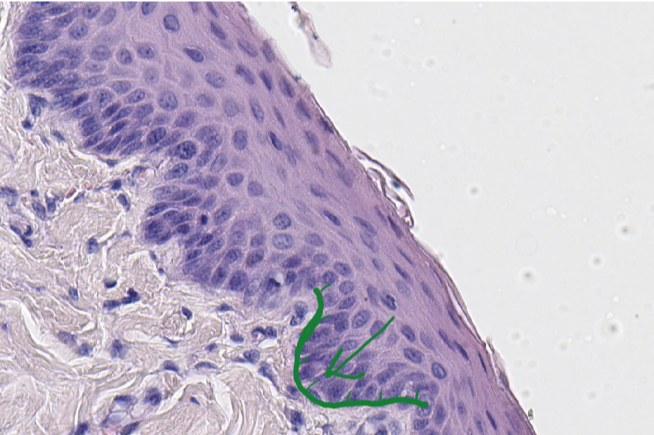
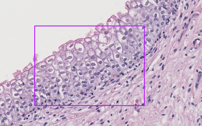
21
Q

Identify this structure:

A

non-keratinized stratified squamous epithelium

How well did you know this?
1
Not at all
2
3
4
5
Perfectly
22
Q

Identify this structure:

A

epidermal peg

How well did you know this?
1
Not at all
2
3
4
5
Perfectly
23
Q

Identify this structure:

A

dermal papilla

How well did you know this?
1
Not at all
2
3
4
5
Perfectly
24
Q

What is the functional significance of interdigitating?

A

for structure and water absorption

How well did you know this?
1
Not at all
2
3
4
5
Perfectly
25
Identify this structure:
adipose tissue
26
Identify this structure:
adipocyte
27
Identify this structure:
subendothelial tissue
28
Identify this structure:
loose connective tissue
29
Identify this structure:
fibroblasts
30
Identify this structure:
loose connective tissue
31
Identify this structure:
lymphocytes
32
Identify this structure:
eosinophil
33
Identify this structure:
globule leukocytes
34
Identify this structure:
loose connective tissue
35
Identify this structure:
plasma cells
36
Identify this structure:
plasma cells
37
Identify this structure:
negative golgi image
38
Identify this structure:
fibrocytes
39
Identify this structure:
fibrocytes
40
Identify this structure:
dense irregular tissue
41
Identify this structure:
fibrocytes
42
Identify this structure:
erythrocyte
43
Identify this structure:
monocyte
44
Identify this structure:
lymphocyte
45
Identify this structure:
platelets
46
Identify this structure:
basophil
47
Identify this structure:
neutrophil
48
Identify this structure:
large lymphocyte
49
Identify this structure:
chondroblast
50
Identify this structure:
chondrocyte
51
Identify this structure:
perichondrium
52
Identify this structure:
Osteoblasts
53
Identify this structure:
osteocytes
54
Identify this structure:
osteoclasts
55
Identify this structure:
periosteum
56
Identify this region:
Reserve zone: small chondrocytes are scattered and irregular
57
Identify this region:
Proliferation zone: chondrocytes are larger in rows
58
Identify this region:
Hypertrophic zone: chondrocytes undergo apoptosis here
59
Identify this region:
Zone of resorption: blood vessels and perivascular tissue grow here
60
Identify this region:
Ossification Zone: osteoprogenitor cells accompanied with perivascular connective tissue become osteoblasts and deposit bone on the surface of the calcified cartilage
61
Identify this structure:
osteon
62
Identify this structure:
central canal
63
Identify this structure:
lamina
64
Identify this structure:
canaliculi
65
Identify this structure:
myofibrils
66
Identify this structure:
perimysium
67
Identify this structure:
endomysium
68
Identify this structure:
nucleus
69
What type of tissue is this?
dense regular connective tissue
70
What type of tissue is this?
Smooth muscle tissue
71
Identify this structure:
nucleus - centrally located
72
Identify this structure:
intercalated disk
73
Identify this structure:
nucleus
74
Identify this structure:
Stratum corneum
75
Identify this structure:
stratum lucideum
76
Identify this structure:
stratum granulosum
77
Identify this structure:
stratum spinosum
78
Identify this structure:
startam basale
79
Identify this structure:
hair follicle
80
Identify this structure:
apocrine sweat gland
81
Identify this structure:
Stratum corneum
82
Identify this structure:
stratum lucideum
83
Identify this structure:
stratum granulosum
84
Identify this structure:
stratum spinosum
85
Identify this structure:
startam basale
86
Identify this structure:
Merocrine sweat gland
87
Identify this structure:
Hair follicle
88
What type of gland is in this hair follicle?
sebaceous gland
89
Identify this structure:
Cortex
90
Identify this structure:
medulla
91
Identify this structure:
thymic corpuscles
92
Identify this structure:
nodule
93
Identify this structure:
Cortex
94
Identify this structure:
HEV
95
Identify this structure:
Medullary
96
Identify this structure:
Trabecular
97
Identify this structure:
subscapular
98
Identify this structure:
capsule
99
Identify this structure:
Magakaryocyte
100
Identify this structure:
Stroma
101
Identify this structure:
follicle