Unit 4 - Lab Flashcards

(20 cards)

1
Q

Identify this region:

A

Tunica interna

How well did you know this?
1
Not at all
2
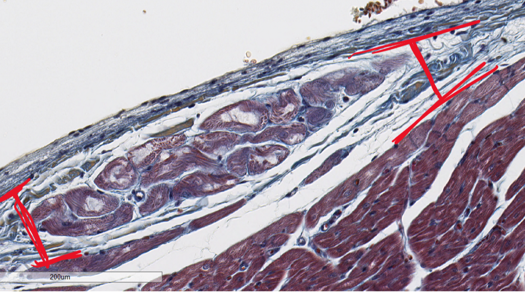
3
4
5
Perfectly
2
Q

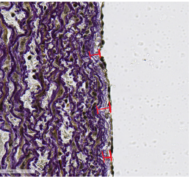
Identify this region:

A

tunica media

How well did you know this?
1
Not at all
2
3
4
5
Perfectly
3
Q

Identify this region:

A

tunica externa

How well did you know this?
1
Not at all
2
3
4
5
Perfectly
4
Q

Identify this structure:

A

small artery

How well did you know this?
1
Not at all
2
3
4
5
Perfectly
5
Q

Identify this structure:

A

vein

How well did you know this?
1
Not at all
2
3
4
5
Perfectly
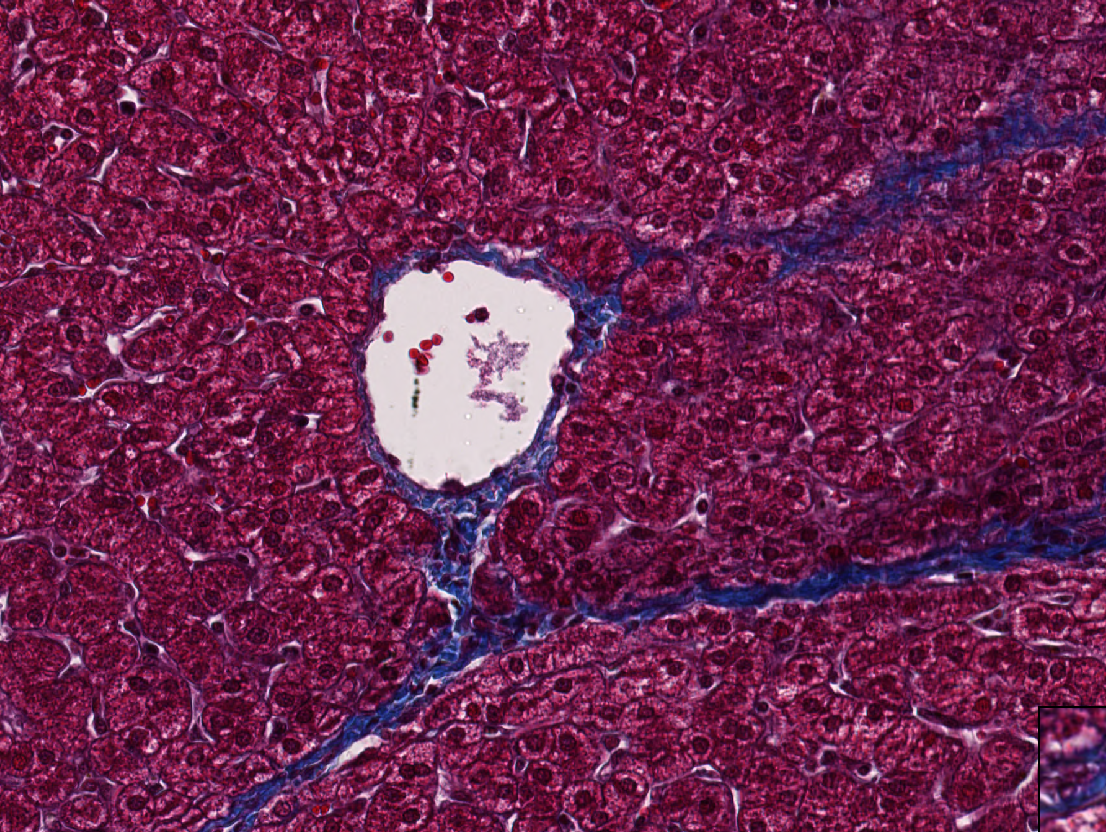
6
Q

Identify this structure:

A

lymphatic vessel

How well did you know this?
1
Not at all
2
3
4
5
Perfectly
7
Q

Identify this structure:

A

vein

How well did you know this?
1
Not at all
2
3
4
5
Perfectly
8
Q

Identify this structure:

A

arteriole

How well did you know this?
1
Not at all
2
3
4
5
Perfectly
9
Q

Identify this structure:

A

venule

How well did you know this?
1
Not at all
2
3
4
5
Perfectly
10
Q

Identify this structure:

A

lymph capillaries

How well did you know this?
1
Not at all
2
3
4
5
Perfectly
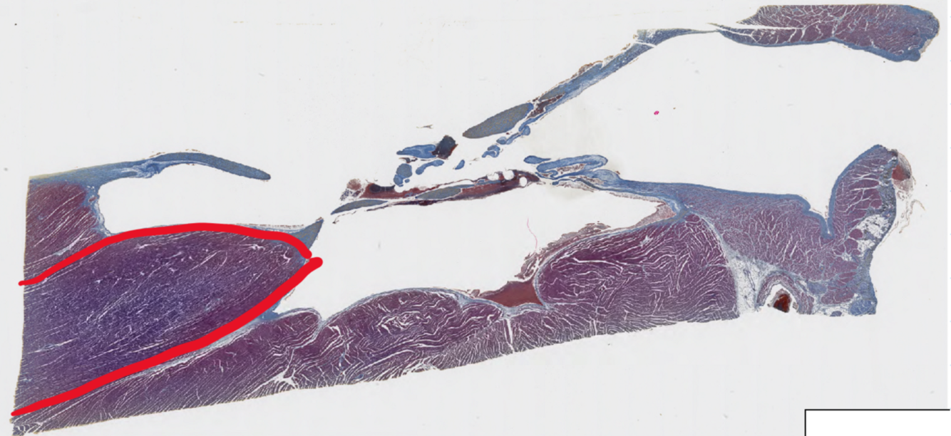
11
Q

Identify this structure:

A

papillary muscle

How well did you know this?
1
Not at all
2
3
4
5
Perfectly
12
Q

Identify this structure:

A

chordae tendinae

How well did you know this?
1
Not at all
2
3
4
5
Perfectly
13
Q

Identify this structure:

A

atrioventricular valve

How well did you know this?
1
Not at all
2
3
4
5
Perfectly
14
Q

Identify region A:

A

Atrium

How well did you know this?
1
Not at all
2
3
4
5
Perfectly
15
Q

Identify region B:

A

ventricle

How well did you know this?
1
Not at all
2
3
4
5
Perfectly
16
Q

Identify this structure:

A

Intercalated disc

17
Q

Identify this region:

A

endothelial layer of the endocardium

18
Q

Identify this region:

A

subendothelial layer of the endocardium

19
Q

Identify this structure:

A

Purkinje fiber

20
Q

Identify this structure: