Qual a faixa etária da faringite estreptocócica?
Como é o quadro clínico?
Entre 5 - 15 anos
NÃO TEM: TOSSE e CORIZA

Criança apresentando lesões vesiculares e úlceras dolorosas em região posterior da cavidade oral
Qual o diagnóstico?
Qual o agente?

HERPANGINA
Vírus COXSACKIE A
Tratamento: SUPORTE e analgésicos tópicos
CONJUNTIVITE + FARINGOAMIDALITE
Qual o agente?

FEBRE FARINGOCONJUNTIVAL
ADENOVÍRUS
Criança apresenta febre com diversas aftas em cavidade oral associada a faringite com exsudato e adenite
Relato de diversos quadros prévios
Qual o diagnóstico?
PFAPA
Periodic Fever, Adenitis, Pharyngitis and Aphtous Stomatitis

PFAPA - Tratamento?
CORTICOIDE para interromper a crise
Na suspeita de faringite estreptocócica, como conduzir invesitgação diagnóstica?
E na impossibilidade de investigar, qual a conduta?
1) TESTE RÁPIDO
ou
2) CULTURA de secreção orofaríngea = PADRÃO OURO
EXAMES INDISPONÍVEIS? → TRATAR
Suspeito de faringite estreptocócica e veio teste rápido positivo: qual a conduta?
TRATAR com ATB!
Suspeito de faringite estreptocócica e veio teste rápido negativo: qual a conduta?
Coletar material para CULTURA
Solicita retorno em 2 dias para avaliar resultado
Se positiva = ATB!
Até quando é possível iniciar ATB com efetivade para prevenir febre reumática diante da faringite estreptocócica?
ATÉ O 9º DIA de sintomas
Qual ATB de escolha para tratamento da faringite estreptocócica?
Que alternativas?
(1) PENICILINA BENZATINA dose única
(< 27kg: 600.000 UI / > 27kg: 1.200.000 UI)
2) Amoxicilina 10 dias
3) Azitromicina → SOMENTE se alergia a penicilina
Adolescente com amidalite recente passou a apresentar..
QUAL O DX? QUAL A CONDUTA (completa)?

ABSCESSO PERIAMIDALIANO

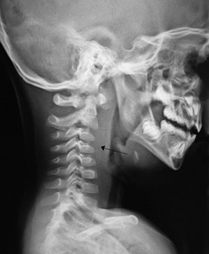
Criança com quadro recente de IVAS, passa a apresentar…
Qual o diagnóstico?
Qual a conduta?
ABSCESSO RETROFARÍNGEO
(Adenite dos gânglios retrofaríngeos; crianças < 5a)
INTERNAÇÃO HOSPITALAR
Período de latência entre faringite estreptocócica e febre reumática?
2 - 3 semanas