Final Flashcards

(32 cards)

1
Q

M50a llega con disnea en descanso a partir de esta semana, más cuando se acuesta y empieza a toser. Tiene insuficiencia venosa con síntomas leves.
TA: 210/110, FC: 110, FR: 24, t: 36.7°. Pesa 120kg y mide 1.65.
Exploración: Crepitantes en ambas bases pulmonares y 4o sonido cardíaco.
¿Cuál es el principal factor de riesgo causando esta enfermedad?

A

Hipertensión

How well did you know this?
1
Not at all
2
3
4
5
Perfectly
2
Q

¿Qué debe ser corregido inmediatamente?

A

Presión arterial

How well did you know this?
1
Not at all
2
3
4
5
Perfectly
3
Q

Los crepitantes son causados por:

A

Sobrecarga de fluido capilar en los pulmones

How well did you know this?
1
Not at all
2
3
4
5
Perfectly
4
Q

Síntoma en que el paciente hace un sobreesfuerzo para respirar estando acostado:

A

Ortopnea

How well did you know this?
1
Not at all
2
3
4
5
Perfectly
5
Q

Estudio a pedir para establecer un dx definitivo para este paciente:

A

Ecocardiograma

How well did you know this?
1
Not at all
2
3
4
5
Perfectly
6
Q

M45a llega porque ha estado orinando mucho y ha estado tomando más agua de lo normal. Glucosa capilar en ayuno: 350mg/dL. ¿Qué estudio pides para establecer un diagnóstico?

A

Otra prueba de glucosa en sangre.

How well did you know this?
1
Not at all
2
3
4
5
Perfectly
7
Q

El segundo estudio muestra 250 mg/dL en ayuno, ¿dx?

A

Diabetes

How well did you know this?
1
Not at all
2
3
4
5
Perfectly
8
Q

¿Cuál la mejor medida para seguimiento de este paciente?

A

HbA1c

How well did you know this?
1
Not at all
2
3
4
5
Perfectly
9
Q

F55a llega por fiebre hace dos días. Su hijo dice que ha estado durmiendo desde que inició la fiebre. Tiene DM hace 10a sin tx.
TA: 80/50, FC 120, FR 24, T 38.5°.
Exploración: sólo abre los ojos cuando le hablan, apenas dice una palabra y responde poco a estímulos externos.
Labs: leucocitosis con neutrófilos 86%, glucosa 890 mg/dL, BUN 100, creatinina 1.5. ¿Cuál es la complicación presente en esta paciente?

A

Estado hiperosmolar

How well did you know this?
1
Not at all
2
3
4
5
Perfectly
10
Q

¿Cuál es el diagnóstico urgente en esta paciente?

A

Sepsis

How well did you know this?
1
Not at all
2
3
4
5
Perfectly
11
Q

M42a llega por tener fiebre y dolor abdominal en cuadrante sup derecho. Ya sabe que tiene litos en la vesícula pero apenas iba a programar cx cuando hace 2d empezó a ver que sus ojos se volvieron amarillos y fiebre.
TA: 100/60, FC: 110, FR: 22, T:38.5°, Sat94%.
Exploración: Ictericia + en escleras y piel, Murphy +. ¿Sospecha clínica?

A

Colangitis

How well did you know this?
1
Not at all
2
3
4
5
Perfectly
12
Q

M62a llega a urgencias por fiebre hace dos días, malestar general y tos productiva, pero hoy empezó con disnea en reposo.
TA: 90/60, FC: 110 lpm, FR: 26, T: 38°, SatO2: 89%
Exploración: Crepitantes en base pulmonar derecha.
¿Microorganismo responsable?

A

Streptococcus pneumoniae

How well did you know this?
1
Not at all
2
3
4
5
Perfectly
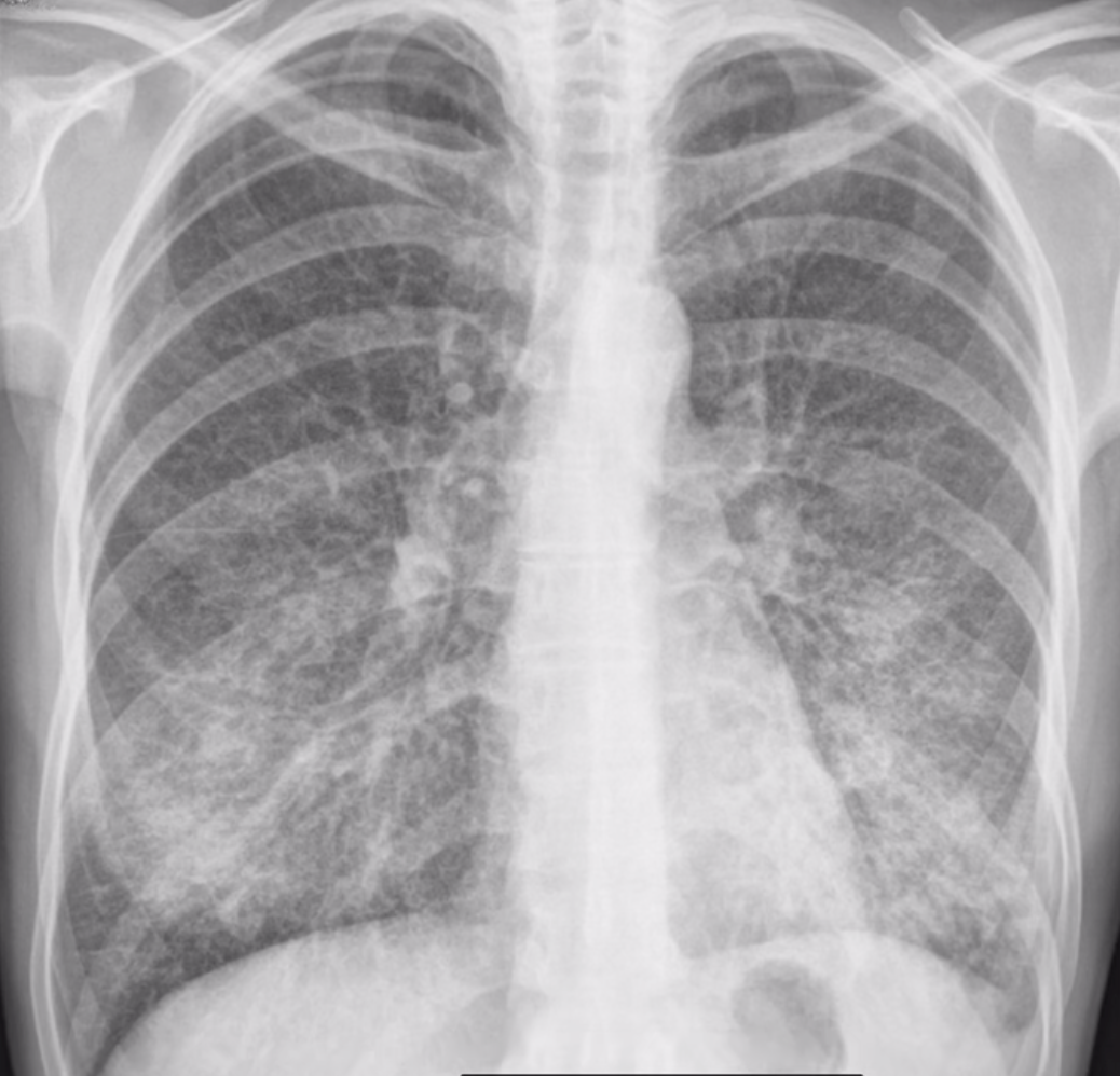
13
Q

Descripción:

A

Radioopacidad en lóbulo inferior derecho.

How well did you know this?
1
Not at all
2
3
4
5
Perfectly
14
Q

Después de establecer el dx y su agente causante, ¿qué antibiótico sería la primera opción?

A

Beta lactámico

How well did you know this?
1
Not at all
2
3
4
5
Perfectly
15
Q

M20a llega porque tiene fatiga hace una semana. Siente escalofríos y tiene tos seca.
TA: 120/70, FC: 92, FR: 22, T: 37.8°C, SatO2: 90%
Exploración: Estertores en ambas bases pulmonares. ¿Microorganismo responsable?

A

Mycoplasma pneumoniae

How well did you know this?
1
Not at all
2
3
4
5
Perfectly
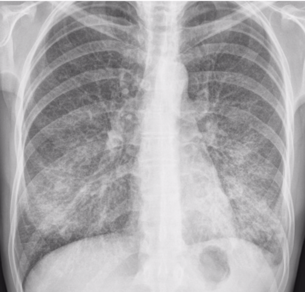
16
Q

Descripción

A

Patrón reticular fino en ambos pulmones.

17
Q

M22a llega porque ha tenido diarrea sin sangre ni moco hace dos días. Es de CDMX y ahora está en Acapulco.
100/60, FC: 100, FR: 20, T: 38°, Sat 96%
Exploración: Mucosa oral deshidratada, dolor en epigastrio, sin rebote, ruidos intestinales aumentados. ¿Agente causante?

18
Q

Recomendaciones para este paciente:

A

Fluidoterapia y evitar lácteos

19
Q

¿Qué se le prescribe además de esas recomendaciones?

A

Antibióticos

20
Q

F18a llega por diarrea con sangre hace 5 días que empezó después de viaje a pueblo donde había ganado y comió alimentos que no conocía. Se siente débil y con escalofríos.
Dolor abdominal intenso en 4 cuadrantes, más en intestino grueso. ¿Agente causante?

21
Q

Recomendaciones para esta paciente

A

Hospitalizarla para hidratarla inmediatamente.

22
Q

¿Qué más se le debe prescribir además de esas recomendaciones?

A

Antibióticos + antipiréticos

23
Q

M44a llega por tener dolor en cuadrante superior derecho hace 3 días después de comer mucha grasa. Vómito verde en 3 ocasiones, y ayer fue amarillo.
110/70, FC: 88, FR: 20, T:36.7, satO2: 97%
Exploración: ictericia + en esclera, Murphy +. ¿Labs para establecer diagnóstico?

A

Química sanguínea completa y PFH.

24
Q

Los resultados fueron:
11,000 leucoc, 86% neutr, BT 5, BI 0.5, BD 4.5, AST 42, ALT 50, FA 250, GGT 70. ¿Interpretación?

A

Patrón de obstrucción canalicular (colestásico)

25
De acuerdo con datos clínicos y estudios, **¿estudio de imagen para establecer dx?**
USG hepático
26
USG hepático muestra vesícula con muchas imágenes ecogénicas que proyectan sombra acústica, la pared de la vesícula es de 5mm y el cond hepático común es de 11mm con un lito. **¿Siguiente paso?**
CPRE
27
M32a llega por coloración amarilla en ojos, se siente exhausto y ha tenido náusea y poco apetito. 110/70, FC: 88, FR: 16, T: 37.8°C. Exploración: ictericia en mucosa oral y conjuntiva (párpados), tiene tenderness en cuadrante superior derecho, sin rebote. **¿Qué pides?**
QS y PFH
28
Labs muestran 12,000 leucocitos, 60% neutróf, 40% linfocitos, AST 445, ALT 370, BT 8.5, BI 4.3, BD 4.2, GGT 24, FA 95. **Interpretación:**
Daño hepatocelular
29
**¿Qué sigue para establecer dx?**
Panel viral hepático
30
F52a llega por tener diarrea acuosa hace 1 semana, y ayer tenía estrías de sangre. Visitó muchos médicos que le dieron AB de amplio espectro y anbtihistamínicos para infección de garganta. Hipotensa, taquicárd, taquipn, fiebre, 95%Sat. Mucosa oral deshidratada, abd distendido y dolor en 4 cuadrantes, rebote dudoso y ruidos intestinales aumentados. **¿Microorganismo responsable?**
C. difficile
31
Causa de esta enfermedad
Muchos antibióticos
32
¿Qué debe hacerse inmediatamente?
Hospitalizar y empezar hidratación IV