Neumonía Flashcards

(30 cards)

1
Q

Definición de neumonía

A
  • Inflamación y consolidación infecciosa en el tejido pulmonar debido a agente infeccioso
How well did you know this?
1
Not at all
2
3
4
5
Perfectly
2
Q

Consolidación

A

Induración inflamada debido a exudado celular en el alveólo

How well did you know this?
1
Not at all
2
3
4
5
Perfectly
3
Q

¿Cómo se produce el exudado en los pulmones?

A
  • El agente llega a parénquima y es ingurgitado por macrófago alveolar
  • Llama linfocitos y produce interleucinas.Por lo que, se forma exudado de proteínas y líquido inflamatorio y celúlas
  • Interrumpe intercambio gaseoso
How well did you know this?
1
Not at all
2
3
4
5
Perfectly
4
Q

¿Cómo es la incidencia y cuál es el promedio estancional?

A
  • Ha incrementado por mejor dx
  • Invierno
How well did you know this?
1
Not at all
2
3
4
5
Perfectly
5
Q

Poblaciones de riesgo

A
  • Niños- 0 a 4 años
  • Viejos: mayores de 65 años
  • Tiene mayor tasa de mortalidad

Extremos de la vida por tener menores defensas

How well did you know this?
1
Not at all
2
3
4
5
Perfectly
6
Q

Dos factores que llevan al desarrollo de neumonía

A
  • Un sistema inmune débil y un microorganismo fuerte
How well did you know this?
1
Not at all
2
3
4
5
Perfectly
7
Q

Factores que favorecen la colonización

A
  • Disrupción de aclaramiento mucociliar: obstrucción aérea (EPOC, asma) o disfunción ciliar
  • Disrupción de barrera epitelial: lesión previa como COVID
  • Aumento de inoculación: intubación (entrada directa orofaríngea) y concienca alterada (reflejo tos)
  • Función inmune deprimida: como diabéticos, VIH
How well did you know this?
1
Not at all
2
3
4
5
Perfectly
8
Q

Factores de riesgo para neumonía

A
  • Uso de corticoesteroides
  • Enfermedad pulmonar adyacente como EPOC
  • Tercera edad
  • Influenza
  • Infecciones respiratorias superiores
  • Alcohol
How well did you know this?
1
Not at all
2
3
4
5
Perfectly
9
Q

Fases de fisiopatología de la neumonía

A
  1. Congestión: se forma exudado proteináceo en alveólo (salen protes intravasculares)
  2. Hepatización roja:eritrocitos llegan a exudado
  3. Hepatización gris:neutrófilo y depósitos de fibrina
  4. Resolución: gracias a macrófagos- hacen resolución

Exudado se consolida y forma consodliación

How well did you know this?
1
Not at all
2
3
4
5
Perfectly
10
Q

Clasificación anatómica de neumonías

A
  • Bronconeumonía: afecta pulmones alrededor de bronquios
  • Neumonía lobar: involucra lóbulo o zona pulmonar
  • Neumonía intersticial: involucra área entre alveólos
How well did you know this?
1
Not at all
2
3
4
5
Perfectly
11
Q

Clasificación clínica neumonías

A
  • Adquirida en la comunidad: típica y atípica
  • **Nosocomial
  • UCI**
How well did you know this?
1
Not at all
2
3
4
5
Perfectly
12
Q

Neumonía adquirida en la comunidad típica
Clínica

A
  • Malestar general,** tos productiva y dolor pleurítico (transflictivo)**
  • Ataque a estado general, anorexia, cuerpo cortado
  • Fiebre, taquicardia, taquipnea, estertores
How well did you know this?
1
Not at all
2
3
4
5
Perfectly
13
Q

Neumonía adquirida en la comunidad típica
Agentes infecciosos

A
  • Streptococos pneumoniae, haemophilus influenziae, moraxella catarrhalis
  • Neumorax haemo

Puede empzar con amigdalitis y dar neumonía, más inmunodeprimidos

How well did you know this?
1
Not at all
2
3
4
5
Perfectly
14
Q

Neumonía adquirida en la comunidad atípica
Clínica

A
  • Walking neumonía
  • Mínimo esputo, elevación térmica, odinofagia, tos intratable seca o flema
  • Insidiosa
  • Sibilancias difusas
    *** Gente joven **con bajas defensas

Parecido a cuadro bronquitis

Patrón reticular

How well did you know this?
1
Not at all
2
3
4
5
Perfectly
15
Q

Neumonía adquirida en la comunidad atípica
Agentes infecciosos

A
  • Mycoplasma pneumoniae, chlamydia pneumoniae, legionella pneumophila

Mycoclami Legiopneumo

How well did you know this?
1
Not at all
2
3
4
5
Perfectly
16
Q

Neumonía nosocomial
Agentes

A
  • Adquirida en hospital
  • Streptoccus pneumoniae, pseudomonas aeuruginosa, y haemophilus influenzia

Pseudoneumo haemo

17
Q

Neumonía adquirida en UCI
Agentes

A
  • Streptococcus pneumoniae, staphylococcus aeurus multirresistente, acynetobacter baumaniii, pseudomonas aeuroginosa
  • Asociada a ventilador con intubación orotraqueal

Neumobaumani Pseudoaureus

19
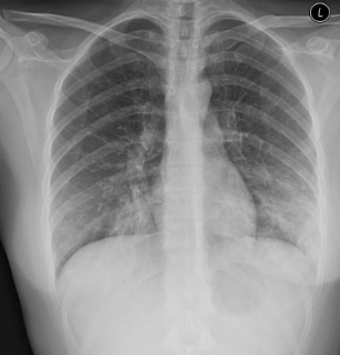
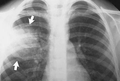
Q

¿Qué nos permite ver la radiografía?

A
  • Columna de aire tráquea
  • Ángulos borrados
  • Consolidaciones o patrón intersticial
20
Q

Datos indicativos para intubar

A
  • Tiraje intercostal, uso de músculos accesorios (intercostales, escalenos, trapecio, esternocleidomastoideo), disociación toracoabdominal, taquipnea
21
Q

¿Qué nos ayuda a determinar el MO causante?

A

Cultivo de esputo

22
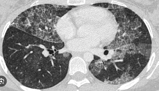
Q

¿Para qué sirve la TAC en neumonía?

A
  • Se ven diferentes patrones que nos orientan a un microorganismo en particular
  • Vidrio esmerilado o patrón empedrado
23
Q

Algunos criterios para hospitalizar paciente con neumonía

A
  • Mayores de 60 años
  • Deterioro neurológico, taquipnea,hipotenso, hipoxmemia
  • SRIS
  • Enf concomitantes
24
Q

Tx para paciente ambulatorio sin factores de riesgo

25
**Tx para paciente ambulatorio con comorbilidades**
* Fluoroquinolona * Beta lactámico + *macrólido* | Aplica para hospitalizado no UCI
26
**Tx para paciente ambulatorio hospitalizado UCI**
* **Pseudomonas**: beta lactámico (piperaciclina, tazobactam, imipenem, meropenem) + fluroquinolona * **SARM**: vancomicina, linezolid
27
¿Qué **mide el índice de severidad CURB-65**?
* Confusión, urea, FR, TA y edad
28
El diagnóstico es ______ y de ______
Clínico y de imagen
29
Se debe iniciar antibióticoterapia________
Empírica
30
¿Es necesario cultivo y PCR siempre?
Falso