Final Exam Flashcards

(359 cards)

1
Q

What is the first scan that is done following the presentation of symptoms of a stroke?

A

Non contrast CT

How well did you know this?
1
Not at all
2
3
4
5
Perfectly
2
Q

Why should we not start the examination of a stroke protocol with contrast?

A
  1. Don’t want to miss/mask a bleed
  2. We want to determine if it is an ischemic or hemorrhagic stroke
How well did you know this?
1
Not at all
2
3
4
5
Perfectly
3
Q

What vessel does CTA access?

A

The arteries

How well did you know this?
1
Not at all
2
3
4
5
Perfectly
4
Q

What are the advantages of preforming a CTA of the head following symptoms of a stroke?

A

-Non-invasive
-Quick
-Widely available.

(The time saving nature of CTA is an advantage in the case of patients suspected of suffering from an acute stroke in which treatment decisions must be made quickly.)

How well did you know this?
1
Not at all
2
3
4
5
Perfectly
5
Q

What is the goal of CTA?

A
  1. To accurately measure the stenosis of carotid and vertebral arteries and their branches.
  2. To evaluate the structure of the Circle of Willis
  3. To detect other vascular issues, such as occlusions or dissections.
How well did you know this?
1
Not at all
2
3
4
5
Perfectly
6
Q

What is the purpose of performing a CT Perfusion following the presentation of symptoms of a stroke?

A

Allows quantitative evaluation and assessment of regional cerebral perfusion. With a CT perfusion study, we can determine where the core and penumbra is.

How well did you know this?
1
Not at all
2
3
4
5
Perfectly
7
Q

How does infarcted tissue appear on a perfusion study?

A

-Decrease in cerebral blood flow
-Decrease in cerebral blood volume
-Increase in time to peak
-Increase in mean transit time

Tissues that match the above parameters are not viable, even if reperfusion is attempted.

How well did you know this?
1
Not at all
2
3
4
5
Perfectly
8
Q

How does penumbral tissue appear on a perfusion study?

A

-Decease in CBF
-Cerebral blood volume is normal or higher
-Increase in time to peak TTP
-Increase in mean transit time

Tissue that matches the above parameters are viable; salvageable if normal CBF is returned.

How well did you know this?
1
Not at all
2
3
4
5
Perfectly
9
Q

What pathologies in the head and neck of a patient can result in neurological deficits?

A

-Strokes/CVA
-Trauma (mass effects, bleed)
-Intracranial hemorrhage
-Brain tumours/mass/lesions/metastasis
-Abscess
-Meningitis

(cerebrovascular disorders)

How well did you know this?
1
Not at all
2
3
4
5
Perfectly
10
Q

What are the commonly selected regions for ROI placement following acquisition of CTP images of the head? Why?

A

-The anterior cerebral artery is commonly used to obtain arterial ROI because it travels along the axial plane, and is easy to locate.
-The superior sagittal sinus is usually used to obtain the venous ROI.

How well did you know this?
1
Not at all
2
3
4
5
Perfectly
11
Q

What is the window width?

A

1000

How well did you know this?
1
Not at all
2
3
4
5
Perfectly
12
Q

What is the window level?

A

0

How well did you know this?
1
Not at all
2
3
4
5
Perfectly
13
Q

What is the window width?

A

300

-Right=150
-Left=150
-150+150=300 WW

How well did you know this?
1
Not at all
2
3
4
5
Perfectly
14
Q

What is the window level?

A

WL=200

How well did you know this?
1
Not at all
2
3
4
5
Perfectly
15
Q

What is the window width?

A

WW=300

150+150

How well did you know this?
1
Not at all
2
3
4
5
Perfectly
16
Q

What is the window level?

A

0

How well did you know this?
1
Not at all
2
3
4
5
Perfectly
17
Q

What does the window width determine?

A

Determines the number of Hounsfield units (CT numbers) represented in an image

How well did you know this?
1
Not at all
2
3
4
5
Perfectly
18
Q

What is window level?

A

The center CT value of the assigned window width.

How well did you know this?
1
Not at all
2
3
4
5
Perfectly
19
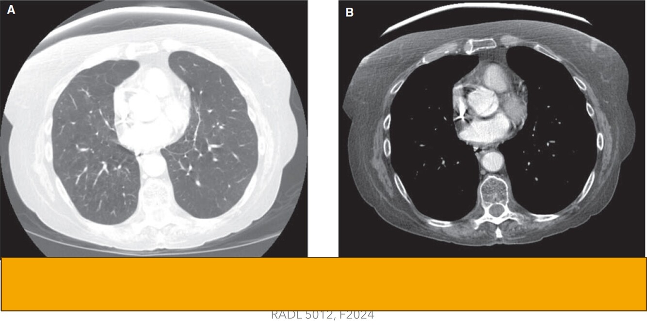
Q

What window settings are seen in images A and B?

A

A=Lung window
B=Mediastinal window

Can’t get a complete picture without seeing these two window

How well did you know this?
1
Not at all
2
3
4
5
Perfectly
20
Q

What structures are seen well with a lung window? What are the limitations?

A

-Detail of the lung parenchyma seen
-Limitations=can’t appreciate mediastinal structures

How well did you know this?
1
Not at all
2
3
4
5
Perfectly
21
Q

What structures are seen well with a mediastinal window? What are the limitations?

A

-Clearer picture of the mediastinal structures
-Limitations=Don’t see a lot of the lung detail

How well did you know this?
1
Not at all
2
3
4
5
Perfectly
22
Q

What are the two types of reconstructions?

A

1.Retrospective
2.Prospective

How well did you know this?
1
Not at all
2
3
4
5
Perfectly
23
Q

Define reconstruction:

A

Used when raw data is manipulated to create an image.

How well did you know this?
1
Not at all
2
3
4
5
Perfectly
24
Q

Define reformation:

A

Used when image data are assembled to produce images in different planes, or to produce 3D images.

How well did you know this?
1
Not at all
2
3
4
5
Perfectly
25
# T/F Raw data includes everything in the SFOV
True
26
Describe prospective reconstruction.
-Manipulating raw data so that an initial image may be formed. Prospective reconstruction is planned before actual scanning begins.
27
What are some examples of prospective reconstruction?
-For example, selecting the protocol (which will determine the technique, algorithm, SFOV, slice thickness etc.) and setting the DFOV.
28
Describe retrospective reconstruction.
Can only be performed on the operator console (scanner). Raw data is needed. CT scanner memory-limited-stays days, weeks, etc.)
29
What are some examples of retrospective reconstruction?
-Selecting the wider SFOV from raw data from the DFOV -image centering and reconstruction algorithm.
30
What phantoms are used for QC testing in mammography?
-Digital Mammography Uniform Phantom (DMUP) -Digital Standard Breast ACR Phantom.
31
How thick are DMUP phantoms? What are they made of?
4 cm thick slab of PMMA (acrylic)
32
What should the WL generally be set at?
The window level should be set at a point that is roughly the same value as the average attenuation number of the tissue of interest. ## Footnote (For example, a window level setting that is intended to display lung parenchyma will be approximately −600 because air-filled lung tissue measures around −600 HU.)
33
Any values above the selected window width appear what colour?
White
34
Any values below the selected window width appear what colour?
Black
35
What window width (narrow or wide) should be used when imaging tissue types that vary greatly, when the goal is to see all the various tissues on one image?
Wide window width
36
Would the lungs need a wide window width or a narrow window width?
Wide window width (it is necessary to see low- density lung parenchyma as well as high-density, contrast enhanced vascular structures (within the lungs)
37
What window width, (narrow or wide) should be used when imaging similar densities?
Narrow window width
38
Would the brain require a wide or narrow window width?
Narrow window width
39
Why can’t a wide window width be used with tissues of similar densities?
You wouldn’t be able to tell the structures apart because of all the shades of gray if a wide window width was used for similar densities.
40
What tool is shown here?
Reference Image Function
41
What post-processing tool is shown here?
MPRs
42
What post processing tool is shown here?
MPRs
43
What post-processing tool is shown here?
MPRs
44
Read over the following post-processing techniques used in CT: ## Footnote Don't memorize, just review
-Window settings -Region of interest tool -Distance measurement tool -Reference Image Function -Image Magnification -MPR (multi-planar reformation) -Curved Planar Reformations (CPRs) -3D reformation -Shaded Surface Display (Surface Rendering) -Volume Rendering (VR) -Endoluminal Imaging -Maximum Intensity Projections (MIPs) -Minimum Intensity Projection (MinIP) -Region of Interest Editing
45
What is the purpose of MPR?
Done to show anatomy in various planes (axial, coronal, sagittal, oblique).
46
Where are MPR’s created?
Created at operator console or separate workstation
47
# T/F MPR’s preserves the original CT attenuation values.
True
48
What dimension are MPR’s?
2D
49
What techniques are required to be imputed for MPR’s?
Thickness of the MPR, the plane desired, and the incrementation of the resulting images. ## Footnote (ex; spacing 2 and slice thickness 2=Will input 2 by 2 MPR)
50
What are Scanner-Created (Automatic) MPRs?
Automatically generated MPR by the scanner software.
51
What are the advantages of Scanner-Created (Automatic) MPRs?
Saves the technologist time & ensures they are done.
52
What type of data does image magnification use?
Uses image data, not raw data
53
What is the purpose of image magnification?
To make the existing image appear larger and allows relevant clinical detail to be more easily seen and measured
54
# T/F Image magnification does not improve resolution.
True
55
As DFOV decreases, what happens to SR?
It increases
56
# T/F A decrease in display field of view increases the size of the displayed image.
True
57
What is the purpose of the reference image function tool?
The reference image function (scout image) displays the location of slices through slice lines in corresponding locations on the scout image. This feature aids in localizing slices.
58
# T/F Image magnification can be used as an alternative to correct DFOV selection.
False; magnification has inherent limitations and should not be used as an alternative to correct display field selection.
59
According to SC35, what visual indicator displays are required for fluoroscopic systems?
-X-ray tube voltage -X-ray tube current
60
What is the purpose of a Chronometer on fluoroscopy machines?
Indicates the amount of time that the equipment has been emitting X-rays.
61
What does the reset timer monitor on fluoroscopy machines?
Monitors the length of time the fluoroscopic x-ray tube is energized.
62
How often does the reset timer go off?
Must go off every 5 minutes
63
In CT, what QC tests need to be performed daily?
-Warm up -Meters Operation: Meters and visual and audible indicators should be checked for proper function -Equipment Condition -Electronic Assessment of Electronic Display Devices
64
What artifact is shown here?
Partial volume artifact
65
What is the primary purpose of HRCT imaging of the chest?
Used to evaluate lung parenchyma in patients with known or suspected diffuse lung diseases such as emphysema and fibrosis. ## Footnote Good for people with a known history and doing yearly check ups
66
How does HRCT create high quality images of the chest?
By using edge enhancing algorithms used to get crisp images and is designed to display true architecture of the lung parenchyma
67
Is HRCT using thinner or thicker slices? At what interval are the slices obtained?
Thinner slices-slices 10mm apart
68
What percentage of the lung is scanned in HRCT?
10% of the lung parenchyma is scanned. (E.g., 1mm slice every 10 mm)
69
What image has used HRCT?
The 2nd image
70
Is post-processing possible with HRCT?
No
71
What pathology is shown here?
-Dependent atelectasis
72
Why might a patient receiving a scan of the thorax be scanned prone?
Done to confirm confirm dependent atelectasis
73
What is atelectasis?
Atelectasis is the partial collapse of lung visualized as haziness or ground glass opacity.
74
What is dependent atelectasis?
Not a collapse, just a collection of fluid that mimic's atelectasis
75
How does atelectasis (dependent or not) appear in a CT supine?
The portion of the lung closest to the scan table (dependent portion) may not inflate completely and appears hazy.
76
How does positioning prone rule out atelectasis?
If the patient is positioned prone, and the haziness disappears and the dependent area inflates, atelectasis can be ruled out and dependent atelectasis becomes the diagnosis.
77
Why is thorax imaging done on full inspiration?
When the lungs are fully expanded, the contrast between low attenuation aerated space and high attenuation lung structures is maximized.
78
Why are CT expiratory scans of the chest performed?
Expiratory scans are used to look for areas of the lung that do not empty during expiration, which indicate small airway disease.
79
# T/F The density gradient from the effects of gravity is more pronounced on expiratory images.
True
80
What is the typical HRCT protocol?
Inspiratory supine, expiratory supine and an inspiratory prone.
81
# T/F All HRCT scans can be done in helical mode as well as in axial slices.
False; The inspiratory supine image should be done in helical mode, but the additional images may be done in axial scan mode to reduce patient radiation exposure.
82
When is a non-contrast CT of the chest indicated (examples of pathology)?
-Pulmonary nodules -Screening -Pleural effusion -Pneumonia
83
How can BHA be minimized in the SVC during CT pulmonary angiograms?
1.Saline flush 2.Scans being acquired in a caudo-crainial direction
84
How does imaging in a caudo-crainial direction minimize BHA?
Avoids streak artifacts from dense contrast media in superior vena cava or subclavian vein, thus allowing time for the saline chaser to clear off the contrast to chest by the time imaging proceeds to that level.
85
How does using a saline flush minimize BHA in the SVC?
Eliminates beam-hardening artifacts from the dense contrast media within the SVC by diluting contrast.
86
What are the window settings in CT abdomen images?
Soft tissue, bone, lung window
87
What are the window settings in head and face CT images?
Brain and bone window
88
What is the standard window in CT head and face images?
Brain window
89
What are the window settings in lung imaging in CT?
Lung window, mediastinal window
90
What are the window settings in MSK CT image?
Bone window and soft tissue window
91
What artifact is shown here?
Cupping artifact from beam hardening
92
What artifact is seen here?
Dark bands and streaks
93
What artifact is seen here?
Dark bands and streaks
94
What are the 4 types of artifacts in CT?
-Physics based artifacts -Patient-based artifacts -Scanner-based artifacts -Reconstruction based artifact.
95
What are the most important factors in avoiding CT artifacts?
Patient positioning and optimum selection of scanning parameters
96
What do physics based artifacts result from?
Artifacts result from the physical processes involved in the acquisition of CT data.
97
What are the 3 physics based artifacts?
-Beam hardening artifact -Photon starvation -Partial volume averaging
98
What are the 2 types of artifacts can result from beam hardening?
1. Cupping artifacts 2. Streaks and dark bands
99
Why does the beam hardening artifact occur?
Beam becomes “harder” as it passes through an object, because the low energy photons are absorbed more rapidly than the higher energy photons.
100
Why does the cupping artifact occur?
More beam hardening in the middle because there is more tissue to attenuate, and therefore, less attenuation and darker in this area.
101
Where do dark bands and streaks appear?
Dark bands or streaks can appear between two dense objects in an image or where contrast has been used
102
Why do dark bands and streaks appear?
This occurs because a portion of the beam that passes through one of those objects at a certain tube positions is hardened less than when it passes through both objects at other tube positions.
103
How are beam hardening artifacts corrected?
Filtration, calibration correction, and beam hardening correction software.
104
How does filtration reduce beam hardening?
Pre-hardens the beam before it enters the patient.
105
How does calibration correction reduce beam hardening artifact?
Manufacturers calibrate their scanners using phantoms in a range of sizes. This allows the detectors to be calibrated with compensation tailored for the beam hardening effects of different parts of the patient.
106
What is beam hardening correction software? How does it reduce this artifact?
A correction algorithm applied when images of bony regions are being reconstructed. This reduces the appearance of dark bands in nonhomogeneous cross sections
107
What artifact is seen here?
Photon starvation
108
What process is shown here?
Using gantry tilt to minimize metallic artifacts
109
What artifact and correction is shown here?
Software Correction of Metal Artifact
110
What artifact and correction is shown here?
Software Correction of Metal Artifact
111
What is photon starvation?
A potential source of serious streaking artifacts, which can occur in highly attenuating areas such as the shoulders. During reconstruction, it magnifies the noise, resulting in horizontal streaks in the image.
112
How can photon starvation be overcome? What is the disadvantage?
Can be overcome by increasing tube current. Patient receives an unnecessary dose when the beam passes through less attenuating areas if mA is not modulated.
113
What are the 3 types of patient based artifacts?
-Metallic artifact, Motion artifact, Truncation artifact
114
What artifacts can metallic artifacts cause? Why does this happen?
Can lead to severe streaking artifacts. They occur because the density of the metal is beyond the normal range that can be handled by the computer, resulting in incomplete attenuation profiles.
115
What are the 5 ways in which metallic artifacts can be limited?
1. Removing metallic artifacts 2. For non removable items, use gantry angulation to exclude the metal inserts from scans of nearby anatomy. 3. Using thin sections will reduce the contribution due to partial volume artifact. 4. When it is impossible to scan the required anatomy without including metal objects, increasing technique, especially kilovoltage, may help penetrate some objects. 5. Software correction.
116
How much can the gantry tilt?
Up to 30 degrees but is limited by the height of the table
117
What artifact is shown here?
Truncation/Incomplete Projection Artifact
118
What can truncation be caused by?
1.If any portion of the patient lies outside the scan field of view, the computer will have incomplete information relating to this portion and streaking or shading artifacts are likely to be generated. 2.Caused by dense objects such as an intravenous tube containing contrast medium lying outside the scan field.
119
How can truncation be avoided?
Position the patient so that no parts lie outside the scan field.
120
What artifact is shown here?
Ring artifact
121
What artifact is shown here?
Ring artifact
122
What causes the ring artifact?
If one of the detectors is out of calibration on a third-generation scanner, the detector will give a consistently erroneous reading at each angular position, resulting in a circular artifact
123
What artifact is shown here?
Stair step artifact
124
Where do stair step artifacts occur?
-Stair step artifacts appear around the edges of structures in multiplanar and three-dimensional reformatted images
125
What causes the stair step artifact?
When wide collimations and nonoverlapping reconstruction intervals are used.
126
What type of scanning limits the stair step artifact?
They are less severe with helical scanning, which permits reconstruction of overlapping sections.
127
What are the 4 ways that motion artifacts can be prevented?
-Immobilization -Sedation -Short Scan Times -Breath hold for respiratory motion
128
What are the 3 built in features to reduce motion artifacts?
Overscan mode, software correction, cardiac gating
129
What is overscan mode? How does this reduce motion artifacts?
When an extra 10% or so is added to the standard 360° rotation. The repeated projections are averaged, which helps reduce the severity of motion artifacts.
130
Where does the maximum discrepancy in detector readings occur?
The maximum discrepancy in detector readings occurs between views obtained toward the beginning and end of a 360° scan.
131
What artifact is shown here?
Beam hardening artifact in the posterior crainial fossa
132
What causes the beam hardening artifact in the posterior cranial fossa?
Difference in beam attenuation between the dense bone of the skull and the much less dense tissue of the brain, results in streak artifacts.
133
How can beam hardening artifact be avoided in the posterior cranial fossa?
1.Decreasing slice thickness 2.Increasing kVp
134
How does decreasing slice thickness reduce the BHA?
When the VA happens for each voxel, there isn’t as much you have to average out.
135
How does increasing the kVp decrease the BHA?
Average beam energy is going to increase which will increase the penetrability of the beam
136
Read over when a CTA of the head or neck indicated?
Detection and Assessment of Intracranial Vasculature, Aneurysm, Stroke, R/O dissection following stabbing/GSW/trauma/other etiology, R/O stenosis/occlusion
137
What scan is shown here?
CTV of Head
138
What CT study is performed to assess the venous vasculature of the head?
CT venography (CTV)
139
How does CTV differ from CTA?
Images are acquired while contrast is in the venous enhancement phase.
140
What are the indications for a CTV of the head?
R/O Venous Sinus Thrombosis
141
What is the prep delay for a CTV of the head?
35 seconds
142
What sign is shown here?
Sulcal effacement and mass effect
143
What signs are indicative of mass effect in brain tissue on a non-contrast CT head?
-Sulcal effacement -Loss of grey-white matter differentiation
144
What causes mass effect?
A hemorrhage
145
Where will you see the most sulcal effacement present?
At the site where the cause of the mass effect is located
146
**What are the four ways a patient can be scanned in a CT machine for coronal images of the head?**
1.Patient is placed prone and asked to extend the chin forward. 2.Patient is placed supine and asked to drop head as far back as possible (requires specialized hanging head cradle). Coronal images are acquired with the gantry angled caudally to obtain images in a plane perpendicular to the hard palate. 3.Placed in a semi – erect position with a large wedge sponge behind their back (kyphotic patients) 4.Lateral recumbent position-Reformat later
147
Why are patients imaged coronally for head images?
Indicated for sinuses to evaluate air/fluid levels.
148
What are the causes of suboptimal CTPA images?
1. Poor IV access 2. Incorrect injection parameters 3. Incorrect timing
149
What are some ways to ensure acquisition of quality with CTPA images?
1. Try to get a good 18 - 20G IV 2. Inject fast(er) 3. Increase contrast volume 4. Increase contrast concentration (less practical – so not the go to) 5.Reduce kV if patient is small 6. Coach breathing
150
At a lower kVp setting what happens to contrast enhancement/ PE (peak enhancement)? Why does this happen?
Peak enhancement is higher for any given concentration of iodine. Due to Photoelectric effect.
151
# T/F A combination of low kVp & high concentration of iodine produces the lowest PE.
False; A combination of low kVp & high concentration of iodine produces the HIGHEST PE.
152
How does an increase in patient weight/BMI affect the peak enhancement?
-PE decreases
153
How does an increase in patient weight/BMI affect the time to peak enhancement? Why?
Time to PE remains unaffected. Because you haven’t changed the injection rate.
154
What line has the highest BMI?
The blue line
155
How does fatty infiltration of the liver affect the attenuation of the liver?
Reduces the CT attenuation of the liver and results in an abnormal attenuation difference between the liver and the spleen.
156
When is fatty infiltration of the liver indicated based on a radiograph?
When the liver measurement is at least 10HU lower than that of the spleen, fatty infiltration of the liver is indicated.
157
What modality is done to access fatty infiltration of the liver?
Fatty infiltrate is most accurately assessed on a non-contrast CT of the abdomen
158
What test is being done here?
Evaluation for a fatty liver
159
What pathology is shown here?
Liver Hemangiomas
160
Label the phases of contrast enhancment in this image below: | (Label B-D)
B: Arterial phase-mass is starting to show some enhancement in the periphery of the mass C: Portal venous phase-The mass is starting to fill up from the periphery moving inwards D: Delayed phase-Mass is almost homogenous
161
**When are benign liver hemangiomas often found?**
Often found as an incidental finding during evaluation of the abdomen (CT/MRI or U/S).
162
How are lesions of the liver characterized?
The DEGREE and CHARACTERISTICS of contrast enhancement of a mass following intravenous contrast enhancement are used to characterize lesions.
163
How do hemangiomas appear on an unenhanced CT?
As a well-defined hypodense mass.
164
How do hemangiomas appear after IV contrast administration?
The lesions show progressive “filling in” enhancement from the periphery (centripetal distribution). With further delay, the lesion becomes uniformly enhanced.
165
What percentage of the liver derives blood from the hepatic artery?
25%
166
What percentage of the liver derives blood from the portal vein?
75%
167
# T/F There are several phases of enhancement following the administration of IV contrast.
True
168
How long do you have to wait for the hepatic arterial phase?
15 to 25 seconds post contrast injection
169
How long do you have to wait for the Portal venous phase?
60 to 70 seconds post contrast injection
170
How long do you have to wait for the Equilibrium/delayed phase?
Occurs several minutes after injection
171
For routine AP (abdomen) CT, the liver is most often scanned in what phase?
The portal venous phase.
172
What phase are hyper vascular tumors best detected on?
In the late arterial phase, followed by a venous or delayed phase (biphasic).
173
What phase are hypo-vascular tumors best detected on?
Acquired in a portal venous phase (single phase).
174
What drug is administered during a CT urogram?
Lasix/Furosemide
175
**What are the 3 contraindications to lasix/furosemide?**
1.Allergy to Sulphonamide (Sulfa) or Lasix/Furosemide 2.High grade obstructing calculus 3.Systolic blood pressure < 90mmHg
176
Why is it risky to give lasix when the patient has a high grade obstructing calculus?
Large stone causing a lot of back up of the urine. This will cause further back up of urine ## Footnote This is why we do the non contrast CT first
177
Why is it risky to give lasix when the patient has systolic blood pressure < 90mmHg?
Low blood pressure can cause CHF if given Lasix
178
Why is Lasix/Furosemide used in a CTU study?
It Promotes filling of urinary structures with contrast. This is a DIURETIC. Lasix-Increases the rate of filtration, which allows for nice filling of the structures with contrast
179
What can be used in substitution for lasix in CTU?
If contraindicated to Lasix and no hx of congestive heart failure, administer 250ml of saline=run saline before starting scan
180
What is CT Enterography?
CT enterography is a non-invasive imaging technique that offers superior small bowel visualization
181
What types of contrasts are given for a CT enterography procedure?
Involves a combination of small bowel distension with a mixture of neutral- or low-density oral contrast agents (IV)
182
What type of abdominal examination is done following the administration of an intravenous contrast agent?
Abdominal CT examination during the enteric phase
183
Read the examples of neutral contrast agents that can be administered during a CT Enterography procedure
1.water-methylcellulose solution 2.polyethylene glycol 3.3% sorbitol 4. low-density (0.1%) barium solution (VoLumen®) 5.milk.
184
**What drug is administered during a CT enterography?**
Buscopan
185
**Why can buscopan be used in a CT enterography procedure?**
Buscopan is often injected to cause temporary paralysis of smooth muscles and therefore, peristalsis.
186
Why are neutral contrast agents used over positive contrat agents in a CT enterography procedure?
To ensure that mucosal enhancement is not obscured.
187
When is a CT colonography indicated?
Colonography indicated for the detection of lesions (polyps or cancer) and most often indicated in is due to an unsuccessful or incomplete colonoscopy.
188
What are the phases of kidney enhancement? What general phases of contrast enhancement is it associated with?
1.Corticomedullary phase-Arterial phase 2.Nephrographic phase-Portal venous phase 3.Excretory phase-Delayed phases
189
What is the deviation limitation for x-ray tube voltage in fluoroscopic systems according to SC35?
10% for X-ray tube voltage
190
What is the deviation limitation for x ray tube current in fluoroscopic systems according to SC35?
20% for X-ray tube current. (mA)
191
What are electronic display devices responsible for?
Responsible for image display
192
How are electronic display devices evaluated for performance?
By using the Society of Motion Picture and Engineers (SMPTE) to evaluate performance
193
What does the SMPTE evaluate for electronic display devices?
1.No geometric distortion (Verification that all lines and borders in the pattern are visible and straight.) 2.General image quality and appearance 3.Luminance 4.Resolution – All patterns are visible. (SR)
194
How does SMPTE evaluate luminance?
Verifies that all 16 luminance patches are distinctly visible from adjacent patches.
195
How does the SMPTE evaluate the general image quality and appearance?
Involves evaluating the overall appearance of the pattern for any non-uniformities or artifacts such as a dropped pixel.
196
What positions is the patient put in to image the patient in a CT colonography?
Both supine and prone acquisitions are commonly obtained. ## Footnote (Because uniform and simultaneous segmental distention is difficult to achieve)
197
Where does supine imaging show the most contrast in a CT colonography?
The anterior walls
198
Where does prone imaging show the most contrast in a CT colonography?
The posterior walls
199
What is a CT colonography?
CT colonography (CTC) aka virtual colonoscopy is the CT study of the colonic wall after the insufflation of air via the rectum, intended for the detection of lesions (polyps or cancer).
200
What position should the patient be in when inserting the catheter within the rectum for a CT colonography?
With the patient in a lateral decubitus position, a thin flexible catheter is placed in the rectum.
201
What is a CT urogram (CTU)?
CTU is for imaging the kidneys, ureters and bladder, and is obtained during various phases of enhancement of the urinary system.
202
How is the patient normally positioned for a CTU?
Supine, feet first
203
What are the reasons for inadequate bladder enhancement with CTU?
1.Not enough contrast in the bladder yet 2.Area of bladder without contrast.
204
**What are two ways to correct for inadequate bladder enhancement with CTU?**
1.Repeat scan through bladder after further delay 2.Scan the patient prone just through bladder.
205
What scan is this showing?
A CT colonography
206
What scan is this showing?
Suboptimal Bladder Enhancement
207
How does an intracranial hemorrhage appear <7 hours?
Hyperdense or isodense to the brain
208
How do intracranial hemorrhages appear in the first 3 days from onset?
ICH will appear hyperdense relative to normal brain tissue for approximately 3 days
209
# T/F After 3 days ICH’s decrease in density.
True
210
When does density loss seen with ICH’s appear? Where does this appear in the brain?
Appears at the periphery of the hematoma after 4-10 days of onset
211
How does an ICH appear from 11 days to 6 months following onset?
The peripheries appear hypodense to the hematoma
212
How does an ICH appear at >6 months?
Density loss continues until the entire hematoma finally becomes hypodense to brain tissue
213
# What is this describing? Artifact related to the size of the voxel over which the signal is averaged.
Partial volume artifact
214
**What is the partial volume artifact?**
Partial volume artifact is when a larger voxel contains two very different tissues resulting in the CT number being somewhere between the correct values for the two different tissue types.
215
How can the partial volume artifact be reduced?
By using a thinner acquisition slice
216
What type of scan are these phases demonstrating?
Adrenal washout scan
217
How is characterization of adrenal masses accomplished? (to determine if it is benign or malignant)
1. Assessing their attenuation values (HU), 2. By evaluating the degree of iodinated contrast that is washed out of the mass on delayed imaging.
218
What are the specific traits of adrenal adenomas that differentiate it from malignant adrenal masses?
1.Anatomic trait: There is a variance in fat content between adenomas and malignant adrenal masses. 2.Physiologic trait: The way each type of mass responds to iodinated contrast enhancement is different
219
# T/F Malignant adrenal masses contain very little fat and benign adrenal masses contain lots of fat.
True
220
What is the HU of benign adrenal masses?
Less than 10HU
221
How do adrenal adenomas and malignant adenomas respond to IV contrast perfusion?
-Adenomas enhance rapidly with IV contrast media, and the agent also washes out rapidly. -Malignant tumors enhance rapidly but retain the contrast longer.
222
What percentage of washout indicates adrenal adenomas? What percent indicates malignancy?
A washout of greater than 60% is specific for an adenoma and a washout less than 60% indicates malignancy.
223
What method is used to confirm malignance when the washout is less than 60%?
Biopsy used to confirm when washout is less than 60%.
224
**What are the phases of adrenal mass washouts?**
-Unenhanced -Initial enhanced/portal venous -Delayed
225
How is radiation dose limited in adrenal washouts?
Most washout protocols limit anatomical coverage in unenhanced and delayed phases to include just below the adrenal glands.
226
What type of scan is this showing?
Fecal tagging-Colonography
227
Is this complete or incomplete fecal tagging?
Incomplete
228
**What is the difference between complete fecal tagging and incomplete fecal tagging?**
A complete fecal tagging will show enhanced stool and an unenhanced polyp, while incomplete fecal tagging will show slight enhancement of either stool or a polyp, making it harder to differentiate and diagnose.
229
Why is fecal tagging done?
In CT colonography exams, parts of the colon show a certain amount of residual fluid or solid material (stool) which can hide lesions or produce false positives.
230
What is fecal tagging?
It is the labeling of fecal residue in the colon by oral ingestion of a small amount of positive contrast material as part of the preparation prior to CT colonography.
231
# T/F Tagging can be achieved by using different oral contrast agents, usually iodine (Gastrografin), barium or a combination of both.
True
232
# T/F Typically, CTC is performed without an intravenous contrast agent.
True
233
**What can be done to differentiate between feces and a polyp during incomplete fecal tagging?**
-When incomplete tagging is present, IV contrast may be administered and ROI measurements taken to r/o lesions. (PRIMARY) -Both 2D (axial images and MPRs) and 3D reformations (endoluminal view – simulates traditional optical colonoscopy) are used, this can aid in the differentiation process
234
**When IV contrast is given during a CTC, how is fecal matter differentiated between colorectal polyps?**
Contrast-enhanced colorectal polyps are generally seen with a much lower attenuation than barium-tagged fecal matter.
235
What are the 3 phases of imaging for a post-EVAR CT study?
1.Abdomen non contrast 2.Abdomen CTA 3.Abdomen delayed
236
What is the collimation for the Abdomen non-contrast and abdomen CTA in a post-EVAR CT study?
Above diaphragm to the lesser trochanters
237
What is the collimation for the delayed abdomen in a post-EVAR CT study?
The graft/stent only
238
What are the different phases of a post-EVAR study shown in this image below?
A: Non contrast B: CTA C+D=Delayed
239
What are the different phases of kidney enhancment seen in this image?
A: Corticomedullary phase B: Nephrographic phase C+D: C is an early excretory phase, D is later. D=most of the contrast has left medulla but mostly in the renal pelvis
240
How does the corticomedullary phase appear in a CT urogram?
Differentiation between the cortex and medulla is seen
241
How long does it take for the Corticomedullary phase to occur in a CTU?
30 – 70 s
242
How does the nephrographic phase appear in a CT urogram?
Contrast moving from cortex into the medulla is seen. More difficult to differentiate between the two areas.
243
How long does it take for the Nephrographic phase to occur in a CTU?
80 – 120 s
244
How does the excretory phase appear in a CTU?
Contrast starting to be excreted into the renal pelvis and ureter
245
How long does it take for the Excretory phase to occur in a CTU?
3 – 15 min
246
What medications are administered in a Triphasic CTU? What medications are administered in a Biphasic CTU?
Triphasic: Lasix (Furosemide) 10mg (diluted in 10 mg of saline) via IV Biphasic: None
247
What contrast is given for a triphasic CTU? When is it given?
100cc Isovue 370 @ 4cc/s and 30cc Saline @ 4cc/s prior to image acquisition
248
What is the image protocol for a triphasic CTU?
1. Scout, 2. abdomen non contrast (top of kidney to bottom of bladder), 3. Nephrographic phase
249
What contrast is administered for a biphasic CTU? When is it given?
40 cc Isovue 370 @ 2cc/s after non contrast scan and 80 cc Isovue 370 @ 4cc/s after the 2nd scout. 30cc Saline @ 4cc/s.
250
What contrast injection method is given for a biphasic CTU?
Split bolus technique
251
What is the image protocol for a biphasic CTU?
1. Scout, 2. abdomen non contrast (top of kidney to bottom of bladder), 3. inject 40 cc Isovue 370 @ 2cc/s after non contrast scan. 4. Scout #2, 5. inject 80 cc Isovue 370 @ 4cc/s, 6.Combined nephrographic and excretory phase
252
What phantom is this showing?
ACR Phantom ## Footnote There are external alignment markings scribed and painted white (to reflect alignment lights) on each module allowing centering of the phantom in the axial, coronal and sagittal directions.
253
What module within the ACR CT accreditation phantom is shown here?
Module one
254
What module within the ACR CT accreditation phantom is shown here?
Module 2
255
What module within the ACR CT accreditation phantom is shown here?
Module 3
256
What module within the ACR CT accreditation phantom is shown here?
Module 4
257
What is module 1 of the ACR CT accreditation phantom testing?
Used to assess positioning and alignment, CT number accuracy and slice thickness ## Footnote -For positioning, the module has 1mm diameter steel ball bearings embedded at 3, 6, 9 and 12 o’clock positions. -To assess CT number accuracy, there are cylinders of different materials: bone-mimicking material, polyethylene, water equivalent material, acrylic and air. -To assess image width, 2 ramps are included that consist of a series of wires that are visible in 0.5mm z-axis increments.
258
What is module 2 of the ACR CT accreditation phantom testing?
Used to assess low contrast resolution. ## Footnote -Consists of a series of cylinders of different diameters (2mm, 3mm, 4mm, 5mm & 6mm), having a mean CT number of approximately 90HU. -The space between each cylinder is equal to the diameter of the cylinder. -A 25mm cylinder is included to verify the cylinder-to-background contrast level and to assess the contrast-to-noise ratio.
259
What is module 3 of the ACR CT accreditation phantom testing?
CT number uniformity ## Footnote -Consists of a uniform, tissue equivalent material -Two very small ball bearings are included for use in assessing the accuracy of in plane distance measurements
260
What is module 4 of the ACR CT accreditation phantom testing?
Used to assess high contrast (spatial) resolution. ## Footnote -It contains eight bar resolution patterns: 4, 5, 6, 7, 8, 9, 10 & 12 (number of bars pairs in each square is shown here instead of the bars) -The aluminum bar patterns provide very high object contrast relative to the background material. -Module 4 also has 4 ball bearings like Module 1.
261
Describe the process of a split bolus injection technique:
1.Total contrast dose is split (often in half). 2.The first dose is given, and a delay of 1.5-2 minutes is observed. 3.Second bolus of remaining contrast is injected 4.Scanning is initiated when injection is complete
262
Why is a split dose injection technique done?
This allows structures that are slower to enhance to opacify.
263
What vessels does the second injection in a split dose injection technique enhance?
Second injection to opacify arterial vessels
264
Why is bolus shaping used in CT?
-Allows for reduction of the amount of contrast used by allowing for longer peak enhancement.
265
Describe the processes of bolus shaping:
1.Begin the injection with a relatively high flow rate 2.Then use a slower flow rate or a decreasing flow rate for the remainder of the injection period.
266
# T/F Today, bolus shaping uses saline flush at same rate as contrast injection.
True
267
How is peak enhancement affected with a higher iodine/contrast concentration?
PE is higher-(more iodine)
268
How is the duration of enhancement affected with a higher iodine/contrast concentration?
Duration of any given enhancement level increases (HU increases)
269
How is the time to peak enhancement affected with a higher iodine/contrast concentration?
Time to PE remains unchanged-because you haven’t changed the injection rate
270
Why are test bolus and bolus triggering methods used?
Used because everyone's cardiac output is different and how fast it moves throughout the body is dependent on Cardiac output. We want to be certain of where the contrast is before the contrast enters the area.
271
True or false? Test bolus and bolus triggering methods will appear the same in finalized images
True
272
Describe the process of obtaining an image using bolus tracking:
1.Scout images 2.Select where you want to take an image-Plan the CTA location (ex; below the carina) 3.Select the DFOV (tell computer where you want to scan) 4.Obtain a single slice at the CTA location (called the monitoring slice) 5.Place the region of interest on the scanned image slice 6.Inject contrast 7.Start to take some images over and over at this location with a small delay after injection (low dose-look a little bit grainy; but enough to see the contrast) 8.Once the HU in the ROI reaches the threshold, that triggers the full scan of the DFOV to be initiated
273
What does the graph from a bolus tracking injection method show?
Graph shows how HU is changing as the time is progressing,
274
Describe the process of obtaining an image using a test bolus:
1.Scout 2.Select monitoring location (CTA) (pulmonary arteries) 3.Obtain monitoring slice (CT slice) 4.Inject a small amount of contrast 5.Scan delay of around 5 seconds 6.Starts scanning CTA over and over again, start to see contrast coming into the area. As you keep going, you will then see the contrast leave the area. Stop the initial scan then. 7.Scroll through the images to find at what second showed the most amount of contrast while keeping in mind the interscan delay. 8.Place an ROI in the image that had the most contrast enhancement. Calculate how long it took to get to that point. 9.Set the timer to start scanning at that time that you calculated 10.Set DFOV 11.Inject the full dose of contrast and complete a full DFOV scan.
275
What is the initial maximum amount of contrast that should be given in the test bolus method?
Max 20 mL
276
What does the graph from a test bolus injection method show?
Graphical representation what happened with the HU and time in the artery over the duration of exposure)
277
In a test bolus method, if the scan delay was 5 seconds, and there were 6 more images before peak enhancement, how long did it take to get to peak enhancement?
11 seconds for the contrast to peak.
278
What is another name for a test bolus?
Timing bolus
279
What happens to the peak enhancement with an increase in contrast volume?
PE increases
280
What happens to the time to peak enhancement with an increase in contrast volume?
Time to PE increases
281
What happens to the duration of enhancement level with an increase in contrast volume?
Duration of enhancement level increases
282
What happens to the duration of injection with an increase in contrast volume?
Duration of injection increases
283
What are the phases of tissue enhancement in CT?
Arterial phase (Bolus phase) Venous phase (Non-equilibrium phase) Delayed phase (Equilibrium phase)
284
What does AVID stand for?
Arteriovenous Iodine Difference
285
How is the arteriovenous iodine difference (AVID) measured?
AVID is measured by comparing a Hounsfield Unit (HU) measurement taken within the aorta to that of one taken in the inferior vena cava.
286
What should the AVID value be in the arterial phase?
AVID ≥30 HU
287
What should the AVID value be in the portal venous phase?
10 HU < AVID < 30 HU
288
What should the AVID value be in the delayed phase?
AVID < 10 HU
289
What parameter from a CTP is shown here?
Time to peak
290
What parameter from a CTP is shown here?
Cerebral blood flow (Slope of curve is giving us an idea of how quickly its coming in and leaving)
291
What parameter from a CTP is shown here?
Cerebral blood volume
292
Why is the split bolus injection technique preferred for CT scans of the neck?
It allows sufficient time after contrast administration for mucosa, lymph nodes and pathologic tissue to enhance, yet acquires images while vasculature remains opacified
293
What is the purpose of performing a non-contrast CT head prior to a CTA of arterial vascular of the head when patient presents with neurological deficits?
-Contrast looks the same as a bleed and can hide subtle ICHs
294
What test tool for fluoroscopy testing is seen here?
Rotating Spoke Test Pattern
295
What test tool for fluoroscopy testing is seen here?
High Contrast Resolution Test Tool
296
What test tool for fluoroscopy testing is seen here?
High Contrast Resolution Test Tool
297
What test tool for fluoroscopy testing is seen here?
Fluoroscopy TOR Test Tool
298
What are the quality control test tools used in fluoroscopy?
-Rotating Spoke Test Pattern, -High Contrast Resolution Test Tool, L -ow contrast Resolution Test Tool, -Fluoroscopy TOR Test Tool
299
What is the purpose of a rotate spoke test pattern tool seen in fluoroscopy?
To test the ability to display clear images of moving guidewires for the evaluation of image lag, to ensure the performance of the TV camera does not cause unnecessary smearing/blurring of the radioscopic image. This is so that the physician places items in the correct location at the correct time, which requires a high (fast) frame rate.
300
What is the purpose of a high contrast resolution test tool seen in fluoroscopy?
To test the ability to resolve small, thin, black and white areas.
301
What is the purpose of a low contrast resolution test tool seen in fluoroscopy?
To test the ability to resolve objects that differ slightly in radiolucency from the surrounding area.
302
What is the purpose of a Fluoroscopy TOR test tool seen in fluoroscopy?
To evaluate: -The monitor brightness and contrast adjustments -The Resolution limit -The Low contrast sensitivity
303
What post processing tool is shown here?
Curved Planar Reformations (CPRs)
304
What post processing tool is shown here?
Curved Planar Reformations (CPRs)
305
What post processing tool is shown here?
Curved Planar Reformations (CPRs)
306
What post processing tool is shown here?
Shaded Surface Display (Surface Rendering)
307
What post processing tool is shown here?
Shaded Surface Display (Surface Rendering)
308
What does CPR stand for with post processing in CT?
Curved Planar Reformations
309
What are curved planar reformations?
Curved planar reformations is a process in which an entire structure is included on a single image.
310
True or false? Curved planar reformation is a type of MPR
True
311
How are curved planar reformations created?
Accomplished by aligning the long axis of the imaging plane with a specific anatomic structure. (ex; vessel) Several points along a structure get selected by a semiautomated software in axial images.
312
True or false? 3D reformations require special software (not just a scanner software)
True-Not at operator’s console.
313
True or false? With 3D reformations, CT numbers remain constant.
False; 3D reformations combine or manipulate CT values to display an image.
314
Read over the following principles of 3D reformations:
-Thinner and more overlap between the original CT slices, the better the final 3D image. -All slices must have the same DFOV, gantry tilt, centering etc. -Patient motion will degrade quality.
315
What does SSD stand for?
Shaded Surface Display (Surface Rendering)
316
True or false? SSD is a form of segmentation.
True
317
What is segmentation?
The process of selectively removing or isolating information from the data set is referred to as segmentation.
318
What is shaded surface display?
When voxels located on the edge of the surface are used to show the outline or the outside shell of the structure. Images are created by comparing the intensity of each voxel in the data set to some predetermined threshold CT value.
319
How does shaded surface display software decide what voxels to include or exclude?
Software will include or exclude voxels depending on whether its CT number is above or below this threshold and uses info to create a surface of the object.
320
True or false? With SSD, Images can be rotated and viewed from any angle.
True
321
What is the greatest application for SSD?
Orthopedics.
322
What post processing tool is shown here?
Volume Rendering (VR)
323
What post processing tool is shown here?
Endoluminal Imaging
324
What is Volume Rendering (VR)?
VR is a 3D representation of the imaged structure.
325
Can pixels be manipulated with 3D volume rendering?
Yes, Pixels in the final VR image can be assigned a color, brightness and degree of opacity (0% - 100%).- 3D model (veins blue, arteries red)
325
True or false? Only some voxels are selected to create a volume rendered image
False; Unlike other 3D imaging techniques, ALL voxels contribute to the image, allowing VR images to display multiple tissues and show their relationships with one another.
326
True or false? Volume rendered images can be rotated and viewed from any angle.
True
327
What is Endoluminal Imaging?
A form of VR that is specifically designed to look inside the lumen of a structure.
328
What does endoluminal imaging simulate?
Aims to simulate the view through an endoscope (i.e; rectoscopy), therefore, referred to as virtual endoscopy
329
When is endoscopy often done?
This can be done when there is a blockage within the lumen that doesn’t allow the endoscopy to be pushed further).
330
What are Maximum Intensity Projections (MIPs)?
MIP examines each voxel along a line from the viewer’s eye through the data set and selects only voxels with the highest value (highest CT number) for inclusion in the displayed image (will display the whitest)
331
What post processing tool is shown here?
MIP (maximum intensity projection)
332
What post processing tool is shown here?
MIPs
333
What post processing tool is shown here?
MIPs
334
What are Minimum Intensity Projections (MinIP)?
MinIP involves selecting the voxels with the minimum value from the line of display. Used to display low attenuation structures.
335
What post processing tool is shown here?
Minimum Intensity Projection (MinIP)
336
What post processing tool is shown here?
Minimum Intensity Projection (MinIP)
337
T/F ROI editing is the most basic method of segmentation.
True
338
What is Region-of-interest editing?
When a region of interest is removed by manually drawing a rectangular, elliptical, or other shape from within the data set using a sort of virtual scalpel to “cut” the defined region.
339
Why is ROI editing done?
Done to remove obscuring structures from 3D images.
340
T/F Software for ROI editing is only manual.
False; Can be manual, automatic or semiautomatic.
341
What post processing tool is shown here?
Region of Interest Editing:
342
What post processing tool is shown here?
Region of Interest Editing
343
What is an ROI tool?
An area on the CT display image that is defined by the operator.
344
T/F A ROI is most often circular, but may be elliptic, square, rectangular, or may be custom drawn by the operator.
True
345
T/F If an ROI is accurately placed within the area of a suspected lesion, the averaged value is less accurate than a single pixel reading.
False; If an ROI is accurately placed within the area of a suspected lesion, the averaged value is probably more accurate than a single pixel reading.
346
When should ROI measurements be used?
Whenever the HU values will be considered in formulating a diagnosis.
347
What two readings are given from an ROI tool?
1.The averaged HU value of the pixels within that ROI 2.A standard deviation reading
348
What is the standard deviation reading seen in an ROI tool?
This reading indicates the amount of CT number variance within the ROI.
349
T/F All CT systems allow distance measurements and a scale placed alongside the image for size reference.
True
350
What is the patient position for the lower extremity scan in MSK imaging?
The lower extremities are usually scanned with the patient supine and placed feet first into the scanner.
351
What are the various ways that the patient can be positioned for the hand and wrist scan in MSK imaging?
-Patient prone and placed headfirst into the scanner. Extend the patient’s arm over the head, with the arm perpendicular to the gantry. -Patient supine or in a lateral recumbent position. -Have the patient sit at the far end of the CT scanner with their arm resting on the CT table. -patient supine on the table with the arm resting on the belly.
352
If direct coronal imaging is desired for the wrist, what position should the patient be in?
the patient’s elbow is bent so that the arm is positioned parallel to the gantry with the hand is positioned on its side. (thumb facing up). Forearm parallel to the gantry
353
If direct sagittal imaging is desired for the wrist, what position should the patient be in?
The patient’s elbow is bent so that the arm is positioned parallel to the gantry with the hand flat.
354
How is the patient positioned for a shoulder image in MSK imaging?
The patient is positioned supine on the CT table. The arm to be examined is downward alongside the body, the opposite arm is extended over the patient’s head to reduce the x-ray beam absorption as much as possible.
355
When scanning extremities, what should the plane of the plane of the CT section acquisition be perpendicular to?
Should be perpendicular to the long axis of the extremity
356
How are the ankle and foot are usually scanned in MSK imaging?
With the opposite knee bent and leg out of the SFOV.
357
How is the patient positioned for a knee image in MSK imaging?
The patient typically lies supine on the scanner table with the legs extended, knees side by side, and enters the scanner feet first.
358
How is a patient positioned for a foot image in MSK imaging?
Patient lying in supine position, feet first. Lower extremity of interest extended on foot holder (or box) with foot perpendicular to table. If it is a unilateral study, opposite leg should be bent at knee and placed out of scan range.