Lab 6 Flashcards

(32 cards)

1
Q

Watch the following videos

A

https://youtu.be/i9pVTMoRecA

https://youtu.be/05lE3ZBfjD4

How well did you know this?
1
Not at all
2
3
4
5
Perfectly
2
Q

Inherent subject contrast in CT is displayed due to differences in attenuation within the volume of interest, represented as Hounsfield units. True or False?

A

True

How well did you know this?
1
Not at all
2
3
4
5
Perfectly
3
Q

If contrast is injected into the right antecubital vein, imaging of which of the following would require the shortest scan delay?
a. Right ventricle
b. Right pulmonary artery
c. IVC
d. Right superior pulmonary vein

A

A=right ventricle

How well did you know this?
1
Not at all
2
3
4
5
Perfectly
4
Q

The cortico-medullary phase of contrast enhancement (differentiation between the cortex and the medulla) of the kidney is most closely associated with which of the following phase(s) of contrast enhancement?

a. Non-contrast
b. Arterial
c. Venous
d. Both b & c

A

b. Arterial

How well did you know this?
1
Not at all
2
3
4
5
Perfectly
5
Q

In which of the following structures in the liver is contrast enhancement seen during the bolus phase?
a. Portal vein
b. Hepatic arteries
c. Hepatic veins
d. IVC

A

Hepatic arteries

How well did you know this?
1
Not at all
2
3
4
5
Perfectly
6
Q

The nephrographic phase of the kidney typically coincides with the portal venous phase of the abdomen. True or False?

A

True

How well did you know this?
1
Not at all
2
3
4
5
Perfectly
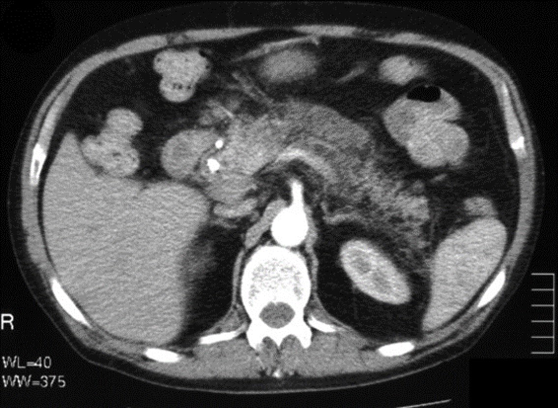
7
Q

What phase of contrast enhancement is seen in the abdomen CT image?
a Arterial
b. Venous
c. Early Arterial
d. Only inherent contrast is seen in the image

A

Only inherent contrast is seen in the image

How well did you know this?
1
Not at all
2
3
4
5
Perfectly
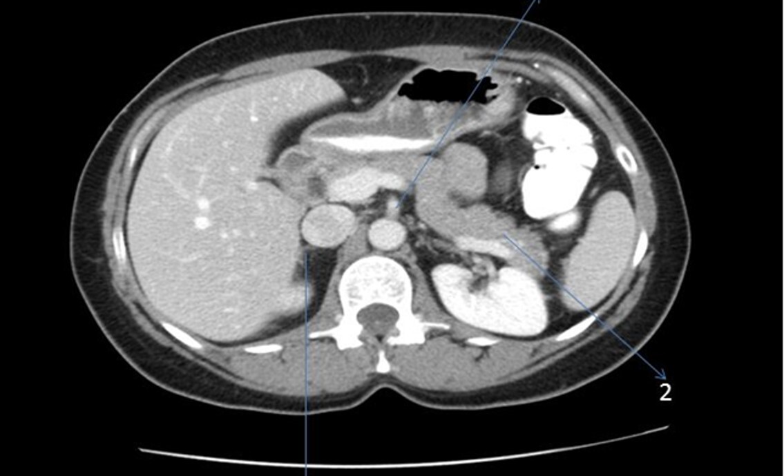
8
Q

What phase of contrast enhancement is seen in the abdomen CT image?
a Non-contrast
b. Bolus
c. Non-equilibrium
d. Equilibrium

A

Bolus

How well did you know this?
1
Not at all
2
3
4
5
Perfectly
9
Q

What phase of contrast enhancement is seen in the abdomen CT image?
a. Non-contrast
b. Arterial
c. Venous
d. Delayed

A

c. Venous

How well did you know this?
1
Not at all
2
3
4
5
Perfectly
10
Q

Intravenous CT contrast media is made up of water soluble:

a. Creatinine
b. Metformin
c. Saline
d. Iodine

A

d. Iodine

How well did you know this?
1
Not at all
2
3
4
5
Perfectly
11
Q

Which of the following route(s) of contrast administration would be suitable to highlight the GI tract?
a. Intravenous
b. Oral
c. Intrathecal
d. Urethral
e. Both b & c

A

Oral

How well did you know this?
1
Not at all
2
3
4
5
Perfectly
12
Q

Which of the following are considered renal risk factors for intravenous CT contrast media administration?

a Diabetes
b. High creatinine levels
c. Age ≥ 70
d. Solitary kidney
e. All the above
f. b & d only

A

All of the above

How well did you know this?
1
Not at all
2
3
4
5
Perfectly
13
Q

Which of the following best describes the term “scan delay”?

a. Time between successive low dose scans during a test bolus injection
b. Time between the start of the intravenous contrast injection and the start of image acquisition
c. Time between the start of the intravenous contrast injection and the arrival of contrast in the heart
d. Delay in completing scan due to an interstitial injection of IV contrast media.

A

b. Time between the start of the intravenous contrast injection and the start of image acquisition

How well did you know this?
1
Not at all
2
3
4
5
Perfectly
14
Q

What is the typical scan delay for a CT of the chest with intravenous contrast in order to visualize both arterial and venous enhancement?

a. 20 secs
b. 30 secs
c. 60 secs
d. Scan delay for a CT chest with contrast is typically determined using a test bolus or bolus triggering method.

A

30 seconds

How well did you know this?
1
Not at all
2
3
4
5
Perfectly
15
Q

Which of the following is considered a mild adverse reaction caused by the administration of IV contrast media in CT?

a. Rapid pulse
b. Urticaria
c. Changes to blood pressure
d. Respiratory distress

A

b. Urticaria

How well did you know this?
1
Not at all
2
3
4
5
Perfectly
16
Q

A patient is connected to a CT power injector and is positioned within the gantry. The technologist returns to the control area and proceeds to acquire scout images. How may a technologist check the function of the intravenously inserted catheter prior to administering IV contrast?

A

By preforming a saline flush

17
Q

What eGFR value is contraindicated for intravenous contrast media administration?

a. ≥ 60
b. ≥ 45
c. 30 < eGFR < 45
d. < 30
e. Both c & d

18
Q

What is the best step to prevent contrast induced nephropathy (CIN) in low-risk patients.

A

Oral or IV hydration

19
Q

What is the osmolality of blood?

20
Q

A maximum of how many ml of contrast is typically injected during the timing bolus method to calculate the contrast medium transit time.

21
Q

If the interscan delay between the test bolus acquisitions is 2 seconds and peak attenuation occurs at 18 secs once image acquisition begins, how many images were acquired prior to reaching peak attenuation?

22
Q

If the inter scan delay is 2 secs, with a scan delay of 8 secs, based on the shown time-density curve generated by placing the ROI in the aortic arch, what is the total scan delay you would be required to set for a CTA to acquire images at peak contrast enhancement in the aortic arch?

23
Q

In the shown time-density graph generated by the bolus tracking method, the attenuation threshold is set at approximately ? HU.

24
Q

Prior to acquiring the actual CTA images, how is patient radiation dose reduced during the test bolus & bolus tracking image acquisitions?

A

low dose scans

25
List 2 disadvantage of using the test bolus method
Increased contrast load Timing calculation errors
26
If the shown graph is the time-density distribution of aortic contrast enhancement relative to patient weight, which color graph represents the heaviest patient? a. Black b. Red c. Green d. Blue
Blue
27
In an image acquired at a 15 min delayed phase, placing an ROI over a normally functioning aorta is most likely to give you a HU value of: a. -500 to -250 HU b. 0 HU c. 15 – 25 HU d. 80 – 100 HU e. 150 – 250 HU
15 – 25 HU
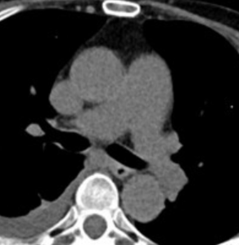
28
What phase of contrast enhancement is seen in the above image? a. Non-contrast b. Arterial c. Venous d. Delayed
Delayed
28
For a given x-ray energy, the increase in CT numbers observed in a vessel after contrast media administration is directly proportional to the local iodine concentration. True or False?
True
29
Arterial enhancement is higher in patients with high cardiac output than patients with low cardiac output. True or False?
False
30
List 2 injection parameters that can affect total contrast volume delivered
Injection rate Duration of injection
31
You are performing a CT pulmonary angiogram on a cancer patient to rule out pulmonary embolism. Chemotherapy has made it very difficult to find suitable intravenous access in the antecubital area. The ER nurse has managed to initiate IV access, in the patient’s hand. As a result, you are forced to drop the injection rate from 5cc/s to 3.5cc/s. You site only stocks Visipaque 320. Considering injection parameters, what can you do to compensate for the anticipated drop in peak arterial enhancement?
To compensate for the drop in peak arterial enhancement, you can increase the total volume of contrast given to the patient.