Lab 3 Flashcards

(22 cards)

1
Q

As per Safety Code 35, what is the recommended retake rate for a medical radiological department?

A

5%

How well did you know this?
1
Not at all
2
3
4
5
Perfectly
2
Q

As per Safety Code 35, what is the recommended frequency for CR plate cleaning?

A

Monthly

How well did you know this?
1
Not at all
2
3
4
5
Perfectly
3
Q

This image was acquired using the table-bucky with a grid frequency of 80lp/cm and processed with laser read out running perpendicular to the grid lines. What artifact is seen in the attached image?

A

Grid Lines

How well did you know this?
1
Not at all
2
3
4
5
Perfectly
4
Q

The attached image was obtained on a CR image receptor. What artifact is seen?

A

Double Exposure

How well did you know this?
1
Not at all
2
3
4
5
Perfectly
5
Q

What artifact is seen in the attached image?

A

Dust on light guide in processor

How well did you know this?
1
Not at all
2
3
4
5
Perfectly
6
Q

The attached image was obtained on a CR imaging system in the table bucky, using a grid frequency of 80 lines/cm and processed with a laser read out running perpendicular to the grid lines. The x-ray tube was centered, in focus and the gird was properly aligned.

What is the name of the alternating dark and light line artifact seen throughout the image?

A

Moire’ Pattern due to Aliasing

How well did you know this?
1
Not at all
2
3
4
5
Perfectly
7
Q

The attached image was obtained on a CR imaging system in the table bucky, using a grid frequency of 80 lines/cm and processed with a laser read out running perpendicular to the grid lines. The x-ray tube was centered, in focus and the gird was properly aligned.

Would this artifact have occurred during image processing or image acquisition?

A

Image processing

How well did you know this?
1
Not at all
2
3
4
5
Perfectly
8
Q

The attached image was obtained on a CR imaging system in the table bucky, using a grid frequency of 80 lines/cm and processed with a laser read out running perpendicular to the grid lines. The x-ray tube was centered, in focus and the gird was properly aligned.
State the cause of the artefact.

A

The sampling frequency/rate of the laser was less than double the desired maximum spatial frequency.

How well did you know this?
1
Not at all
2
3
4
5
Perfectly
9
Q

What is the cause of the artifact seen in the attached image captured on a CR plate?

A

Exposure through the back of the CR plate

How well did you know this?
1
Not at all
2
3
4
5
Perfectly
10
Q

What is the cause of the artifact seen in the
attached image?

A

Upside-down focused grid resulting in grid cut-off

How well did you know this?
1
Not at all
2
3
4
5
Perfectly
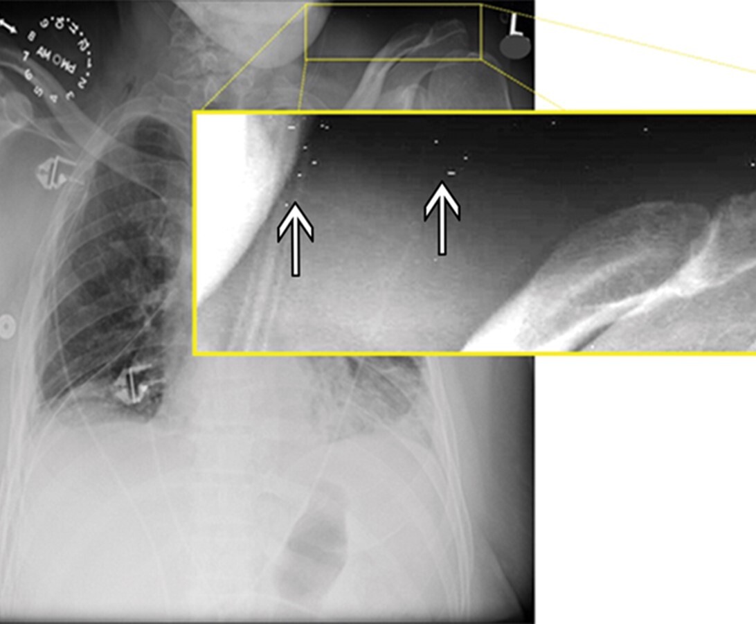
11
Q

What is the cause of the artifact (red circle) seen
in the attached image?

A

Back scatter from high technique and reduced shielding on back of detector

How well did you know this?
1
Not at all
2
3
4
5
Perfectly
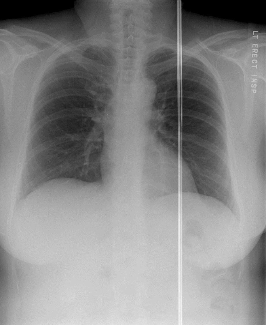
12
Q

What artifact is seen in the attached DR image?

A

Speckle

How well did you know this?
1
Not at all
2
3
4
5
Perfectly
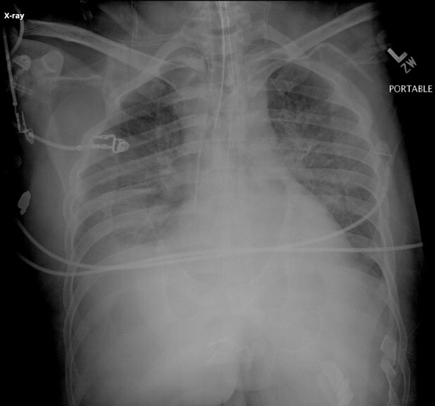
13
Q

Aside from the surgically implanted hardware, what artifact is seen in the attached image?

A

Quantum mottle from underexposure

How well did you know this?
1
Not at all
2
3
4
5
Perfectly
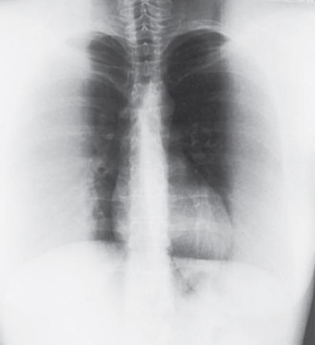
14
Q

What artifact is seen superimposed over the scapula and lateral chest wall in the attached image?

A

Patient artifact (bra straps)

How well did you know this?
1
Not at all
2
3
4
5
Perfectly
15
Q

Based on the retake data provided what is the retake rate among upper limb x-rays performed at this facility?

A

6%

How well did you know this?
1
Not at all
2
3
4
5
Perfectly
16
Q

Based on the retake data provided which of the following has contributed to the highest causal rate?

17
Q

Based on the retake data provided which of the following examinations has the highest retake rate?

A

Plain Abdomen

18
Q

In general, why is overexposure (dark image) unlikely to be the highest contributor to causal repeat rates in DR systems?

A

In DR systems, automatic rescaling, as well histogram analysis can overcome overexposures by shifting or scaling the histogram to the correct area. Automatic rescaling can handle an overexposure of up 500%, which is why overexposures are unlikely to be the highest contributor to repeat rates.

19
Q

In general (and not referring to the table) what is the highest contributor to causal repeat rates in any radiology department?

A

Positioning fault

20
Q

Based on the retake data provided which of the following is the highest contributor to the examination with the highest retake rate?
a. Overexposure
b. Positioning Fault
c. Underexposure
d. Processing Fault

A

Underexposure

21
Q

Based on the retake data provided is this facility overperforming or underperforming when considering the retake rate recommended by Safety Code 35?

A

Underperforming (doing worse)

22
Q

As per SC35, how frequently must a retake analysis be performed?