what is this condition?

oseomyelitis
what are the arrows pointing to?

sequestrum = island of dead bone
what is noteable in the long bone?

involucrum = thick layer of periosteal new bone that forms around sequestrom
what is the opening from the bone to the skin called that may show up in this patient?

cloaca = opening in an involucrum that drains pus and debris out of infected bone
via sinus tract
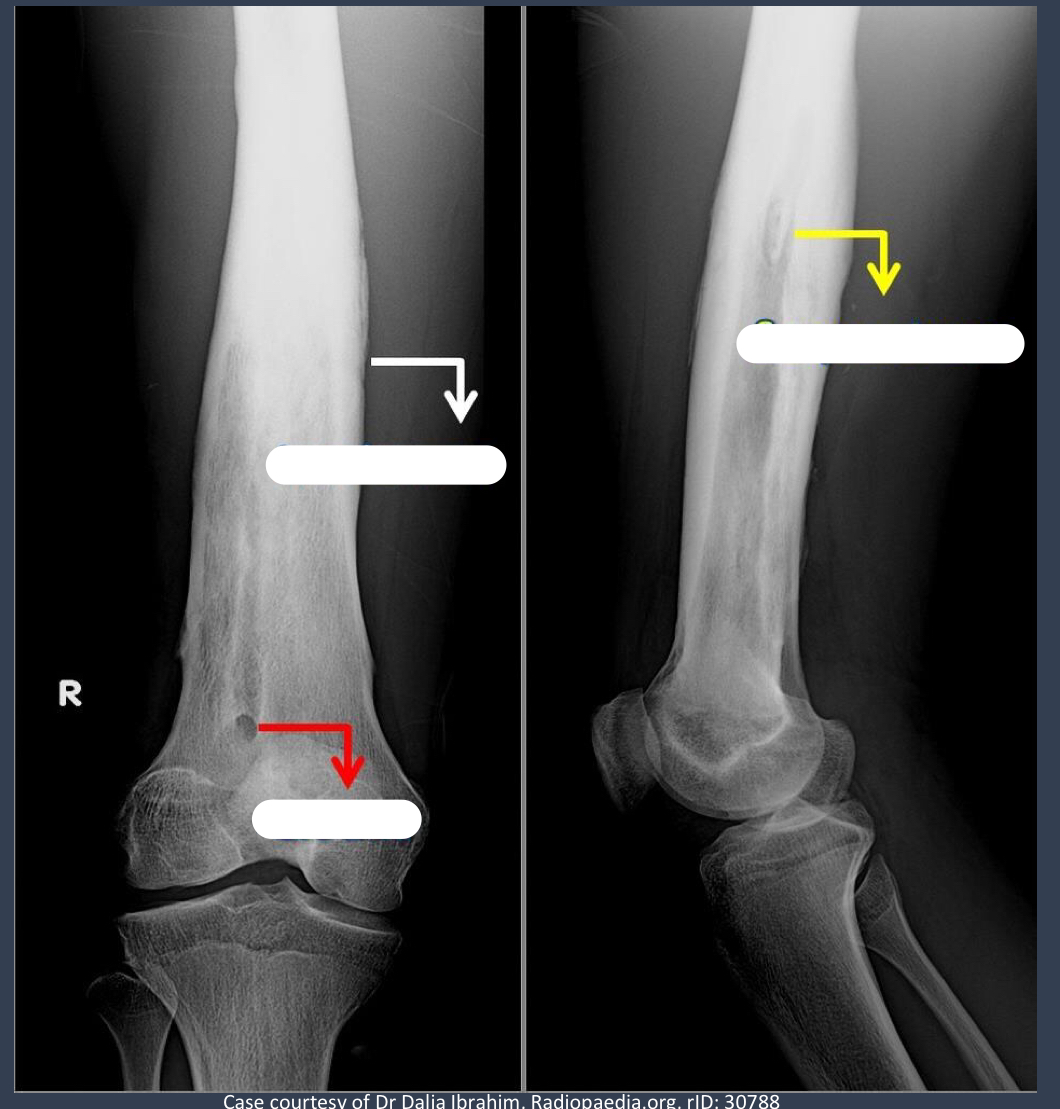
patient presents with pain and swelling at joint
fever, chills
suspected infection
what do they probably have?

suppurative (pyogenic) osteomyelitis
photo: same patient, repeat xrays

what are these called?


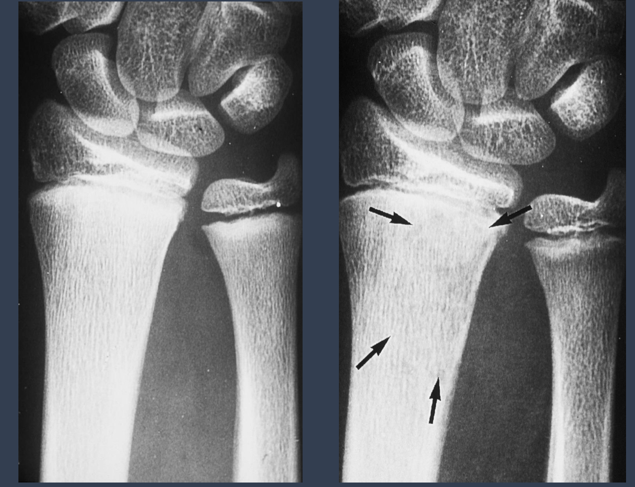
what condition is this?

osteomyelitis
what is the left? what is the right

left: acute osteomyelitis
right: chronic osteomyelitis
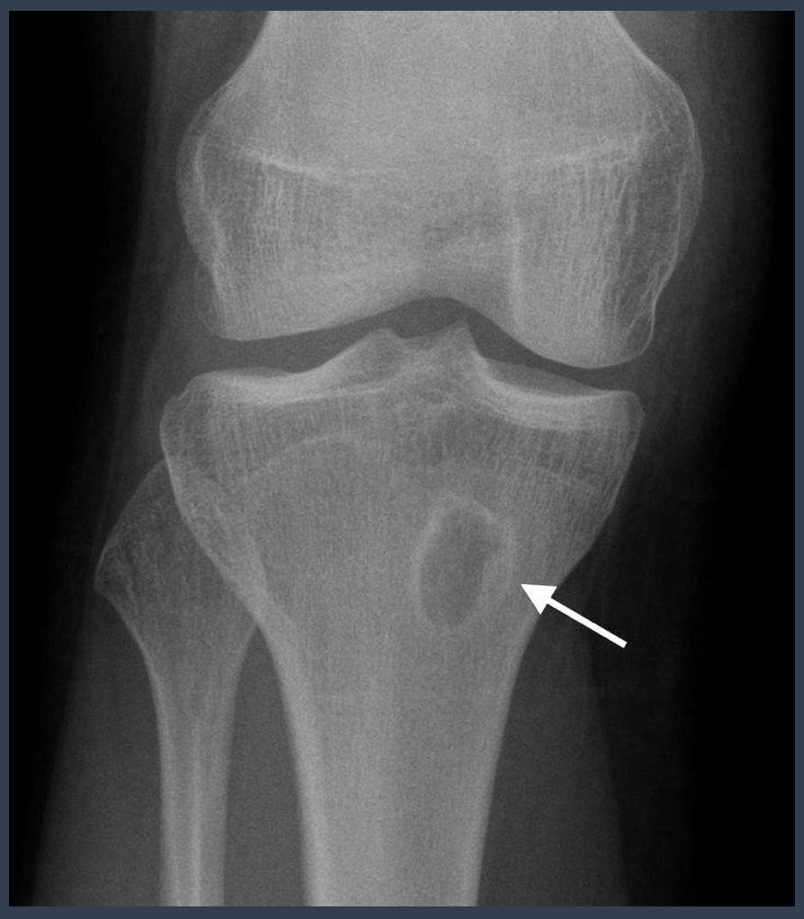
what is this?

brodie abscess
what is this condition?

septic arthritis?
what is noted by the arrow here?

loss of joint space
what should be the ratio of the femoral-acetabular joint?

1:1:2
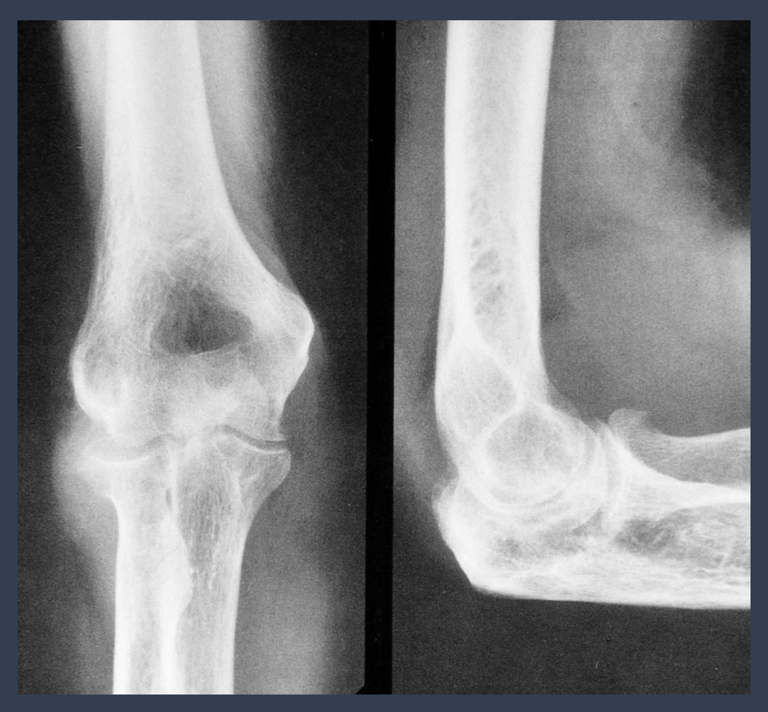
what is this?

septic arthritis
joint space loss
bone destruction
rapid over several weeks
what do you think this is?

septic arthritis
NOTE: upper extremity is uncommon
what is noted here?
what condition is this?

severe **disc space narrowing** endplate destruction (hazy, irregular)
Condition: Spondylodiscitis
infection involving disc and adjacent vertebral body
what patient usually gets this?

younger and older patients usually get spondylodiscitis
patients with this condition usually present with what?

spondylodiscitis = back pain
less often fever
what is the MC level(s) for spondylodiscitis?

single 65%
multiple contiguous 20%
what is this?

spondylodiscitis
how is this spread?

spondylodiscitis
hematogenously
what kind of deformity is this?
what kind of disease is this?

gibbus deformity
a form of structural kyphosis found typically in upper lumbar and lower throacic vertebra where 1+ adjacent vertebrae become wedged. most offten develops in children as a result of spinal TB and is the result of collapse of vertebral bodies.
pott disease
form of TB that occurs outside lungs and seen in vertebra
what ___% of TB is skeletal TB?

25-60% has Potts disease
slower than pyogenic spondylitis. lower thoracic and upper lumbar. begins at endplate. disc space loss is the earliest radiographic sign. lytic destruction 2-5 months.
what condition is this?
describe it

tubercular spondylitis, Pott’s disease
decreased disc space. loss of cervical curve. ??
what is this imaging modality?
what is this condition? why?

MRI and T1 weighted CSF/bone is dark and fat appears bright
tubercular spondylitis “Pott’s Disease”; ???