how do you describe this?
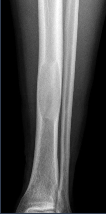
what is it?

ground glass
fibrous dysplasia

what benign 1˚ bone neoplasm has a 1% chance of malignant transformation?
what benign 1˚ bone neoplasm has a 25% chance of malignant transformation?
1% chance of malig = osteochondroma >30yo w/ Pain
25% chance of malig = Hereditary Multiple Exostosis (HME)
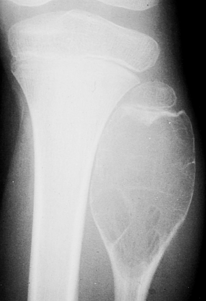
what is this?

aneurysmal bone cyst (ABC)
highly expansile
lytic, septated
eccentric
markedly thinned cortex
metaphyseal, can extend to epiphysis ITS THE ONLY BENIGN TUMOR TO CROSS GROWTH PLATE
periosteal response common
what is this?
malignant transformation rate? what does it turn into if it does transform?

ollier disease
25-50%; chondrosarcoma
autosomal dominant diseases?
gardner syndrome
fibrous dysplasia
neurofibromatosis
what is this?
enlarged IVF

neurofibromatosis
how do you describe this?
what does it point to?

blade of grass
paget disease
what is this?

osteosarcoma
MC location for Ewing’s sarcoma?
diaphysis of humerus and femur

what is this?
typical age?

osteoid osteoma
10-25 yo
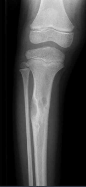
epiphysis / apophyseal region is key for…?
chondroblastoma

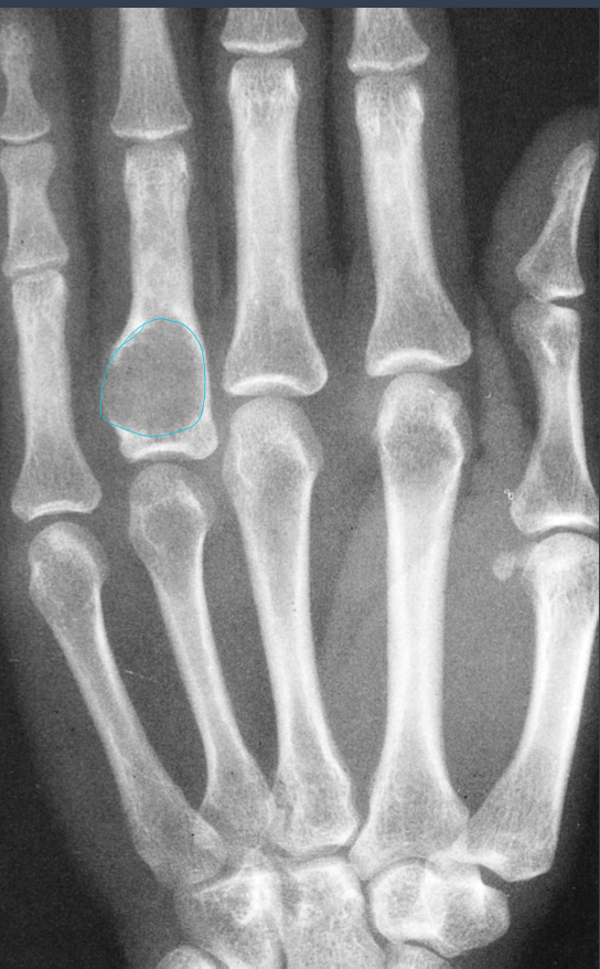
what is this?

acral mets
what is this?
what is the triad associated with it?

Gardner Syndrome
well efined
opaque
clean borders
what is this?

multiple myeloma
what is this?
how do you describe it?

paget disease
cotton wool appearance basilar impression (tip of the odontoid process projects above the foramen magnum)
Local P and swelling.
Systemic signs: fever, anemia, increased ESR.

Ewing sarcoma
what is the next step?

for multiple myeloma: get MRI
painless, lumpy joints?
what % chance of malignancy?

HME
malignant degeneration in 25% of cases
what is the ddx list for this?

what is this?

polyostotic fibrous dysplasia (FD)
what is this?
MC age group?

enchondroma
10-30 yo
what is this phenomenon called?
and what are the 3 most common causes of it?

ivory vertebra
osteoblastic mets (multiple ivory vertebrae), paget disease (cortical thickening, expansion), lymphoma (anterior body scalloping)
what is this?

ABC
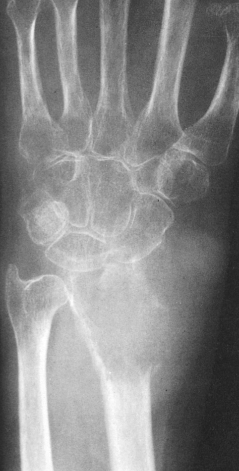
describe this. what is this?

distal radius
extends into subchondral region
diminished bone density
appears aggressive
malignant GCT