60 YO F. Low back pain. Progressively worse over the last several months.

Blasted mets
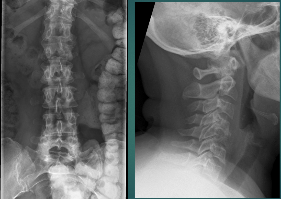
55 YO M Low back pain, insidious onset. Decrease in appetite for the last several months.

Which of the following is considered a MALIGNANT finding?
A. sclerotic border
B. cortical destruction
C. soap, bubbly, lytic appearance
D. expansile
B. cortical destruction
Which of the following typically presents with multiple lesions?
A. enchondromas
B. giant cell tumors
C. multiple myeloma
D. osteoid osteoma
C. multiple myeloma
Which of the following is NOT on the list of differential diagnosis for an ivory vertebra?
A. metastasis
B. Paget’s disease
C. osteoporosis
D. lymphoma
C. osteoporosis
Which of the following is NOT on the list of differential diagnosis for a pathological compression fracture/pancake vertebra/universal compression fracture?
A. osteoporosis
B. fibrous dysplasia
C. multiple myeloma
D. metastasis
B. fibrous dysplasia
50 YO M. Weakness, fatigue, back pain.

Multiple, punched out, osteolytic lesions
think: MM or mets
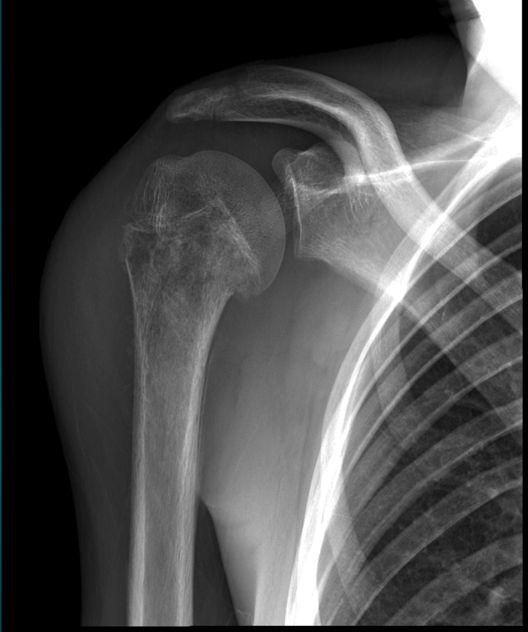
15 YO M. Arm pain and swelling

A 15 YO male patient presents with swelling at the R. arm, fever, radiographic findings show laminated periosteal response in the diaphyseal location. Which TWO possible diagnosis will you consider?
A. aneurysmal bone cyst
B. Ewing’s sarcoma
C. metastasis
D. osteomyelitis
B. Ewing’s sarcoma
D. osteomyelitis
Which of the following is the most common BENIGN tumor of the hand?
A. hemangioma
B. enchondroma
C. giant cell tumor
D. osteoma
B. enchondroma
The favorite location of this BENIGN tumor is in the facial/skull bones (eg. the sinuses), which is the correct choice?
A. osteoma
B. osteoid osteoma
C. giant cell tumor
D. enchondroma
A. osteoma
Which one of the following typically does NOT present with erosions?
A. rheumatoid arthritis
B. ankylosing spondylitis
C. systemic lupus erythematosus
D. reactive arthritis
C. systemic lupus erythematosus
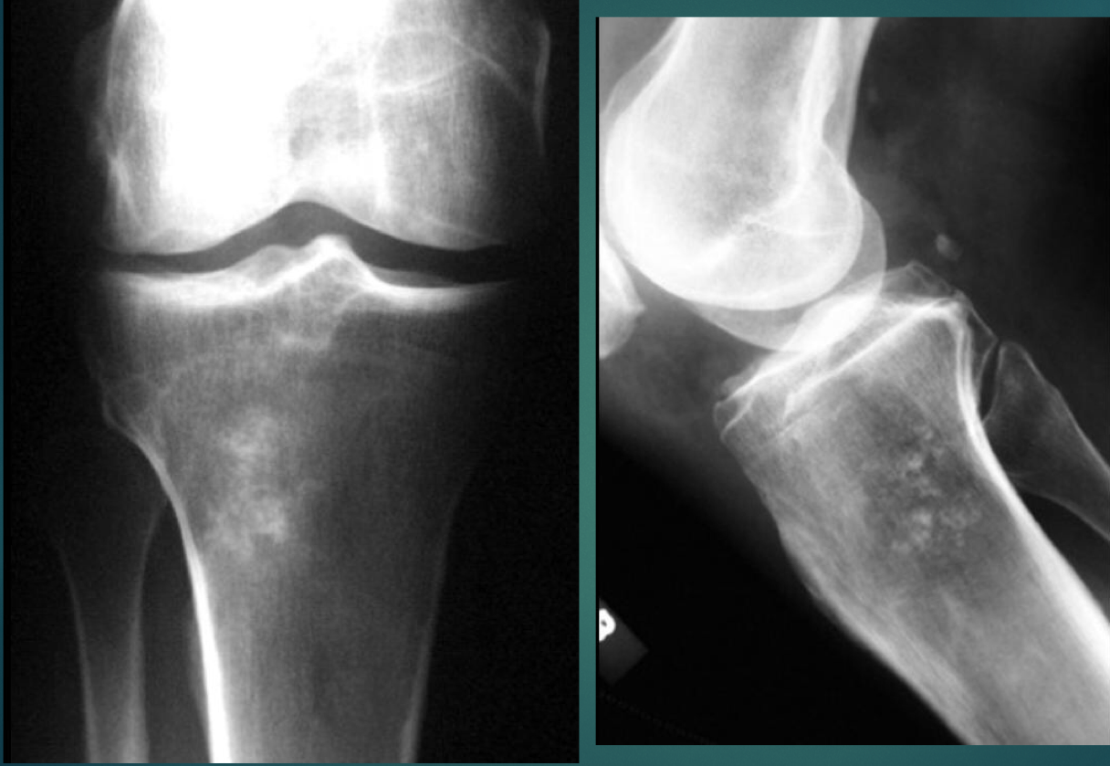
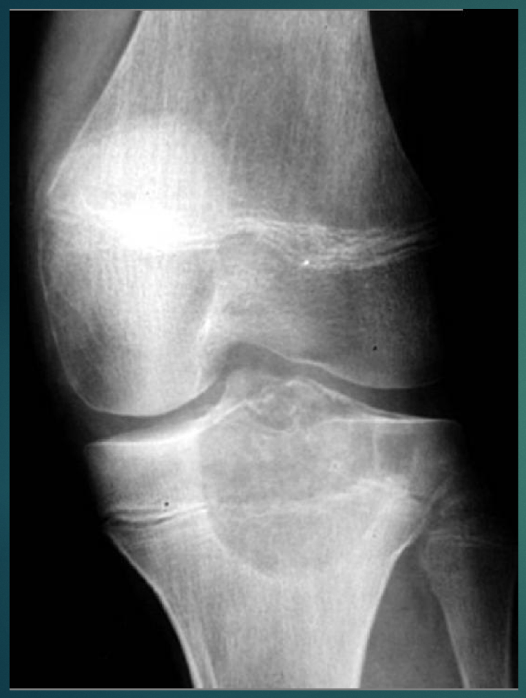
45 YO F. Recently developed knee pain.

• Popcorn like lesion, stippled at proximal tibia.
Think:
• Enchondroma. (Painless)
• Chondrosarcoma (because Pain)
40 YO F. Suffered an ankle injury 3 days ago.

Enchondroma

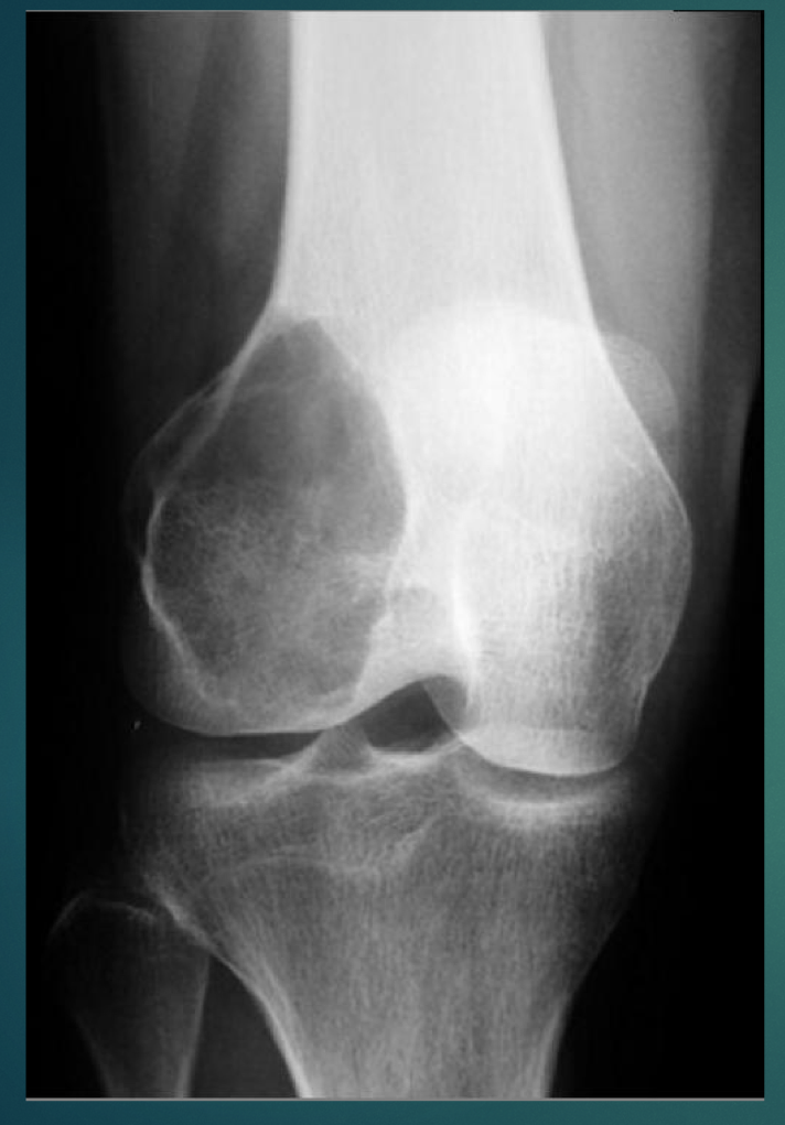
28 YO M. No history provided.

• Lytic, soap bubbly
• Closed growth plates
• Location at the knee
Think: Giant Cell Tumor
16 Y O M. No history provided.

• osteolytic lesion
• Open growth plates
Think: Chondroblastoma (opposite of GCT. Chondroblastoma will cross open growth plates.)
What is the rate of malignant transformation for giant cell tumors?
A. 5-25%
B. 1%
C. 75%
D. 50%
A. 5-25%
If you are considering metastasis as a possible diagnosis, which of the following should also be considered/ruled out?
A. osteosarcoma
B. chondrosarcoma
C. multiple myeloma
D. osteoma
C. multiple myeloma
Which of the following is the most common BENIGN neoplasm of the spine?
A. giant cell tumor
B. osteoid osteoma
C. hemangioma
D. enchondroma
C. hemangioma
Which of the following is NOT typically considered as a possible DDX when a patient has a painful scoliosis?
A. aneurysmal bone cyst
B. osteoblastoma
C. giant cell tumor
D. osteoid osteoma
C. giant cell tumor
What presents as blastic?
• Osteoid osteoma
3 YO M. Several months of R. thigh pain.

Nidus
Eccentric
Relieved by aspirin
• Think: Osteoid osteoma
40 YO M. Several months of back pain.

Entire joint space gone
T12-L1 Disc is gone
• Think: Infectious discitis
32 YO M. Several months of back pain.

• Endplate destruction
• Loss of disc height /space
• Acute kyphosis at the 2 segments (might look like retrolisthesis)
Think: infectious discitis
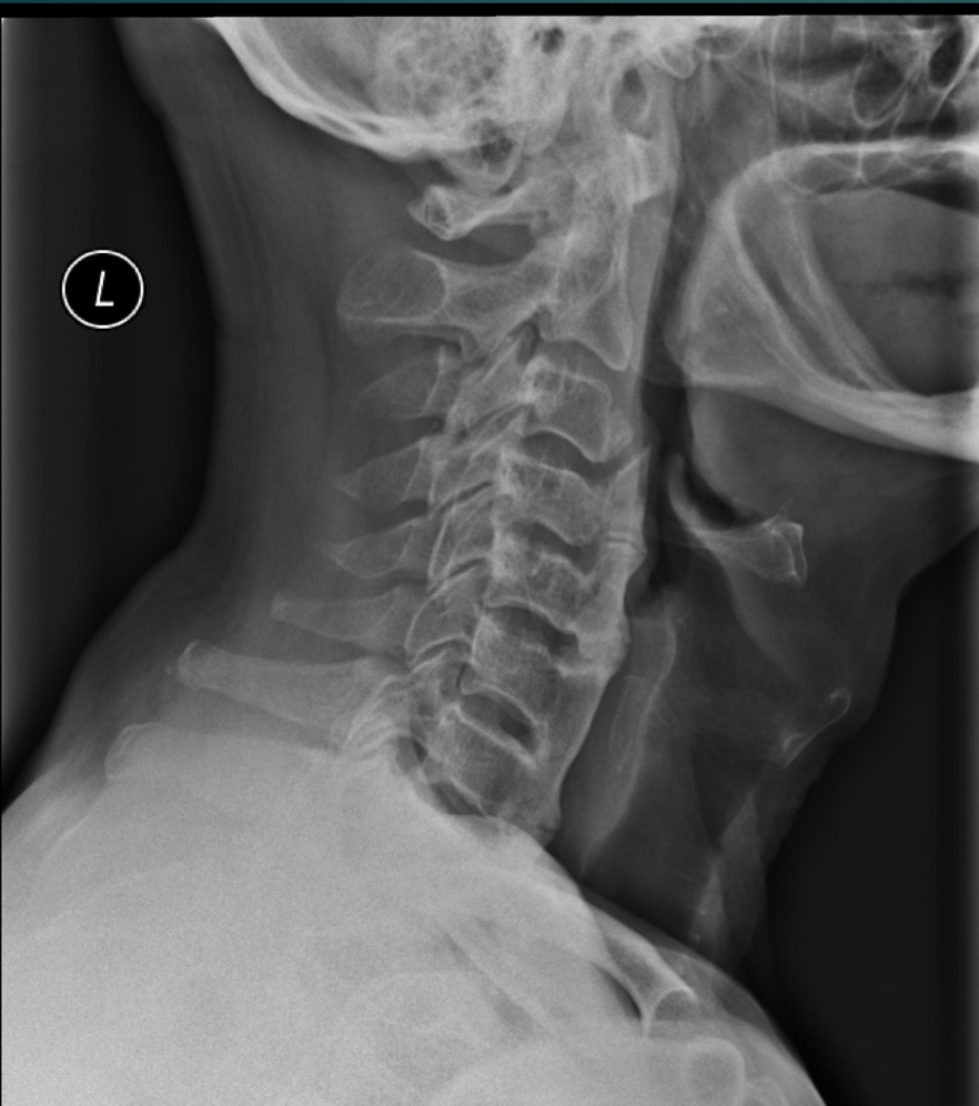
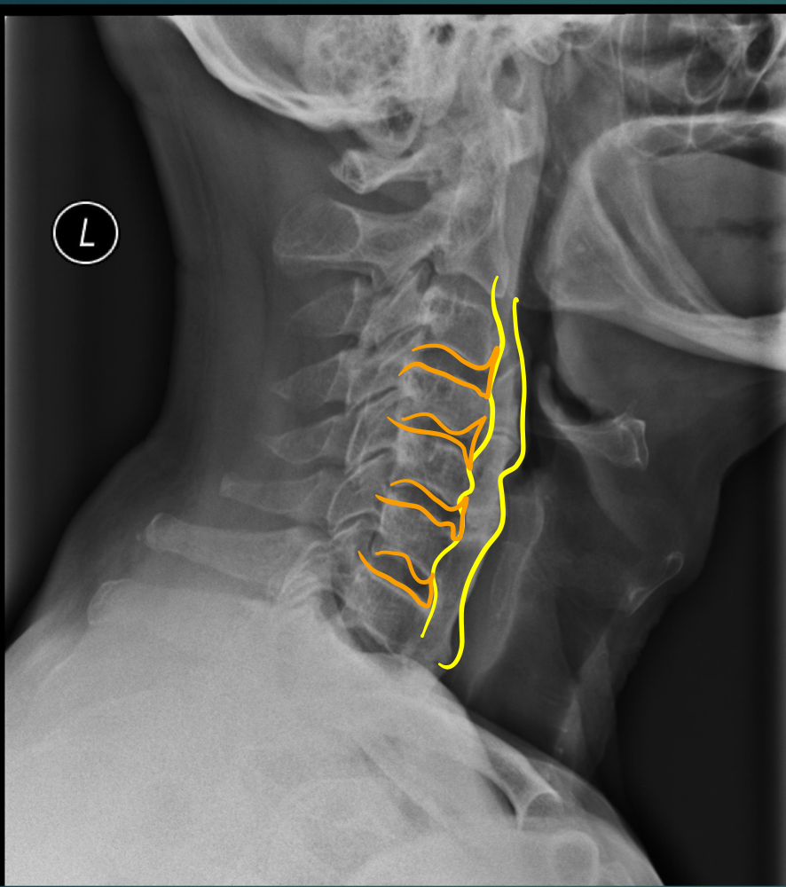
52 YO M. Complains of difficulty with eating.

• Hyperostosis of ALL
• NORMAL disc height
• T or L shape (orange)
• Look for OPLL 85% of the time - look for this because of central canal stenosis
Think: DISH
