FINALSC Flashcards

(99 cards)

1
Q

Identify B

A. Larynx
B. Thyroid gland
C. Trachea
D. Thyroid

A

B. Thyroid gland*

How well did you know this?
1
Not at all
2
3
4
5
Perfectly
2
Q

A. Bony Nasal Septum
B. Middle Nasal Conchae
C. Inferior Nasal Conchae
D. Vomer

A

C. Inferior Nasal Conchae

How well did you know this?
1
Not at all
2
3
4
5
Perfectly
3
Q

What ligamentous structure spans the wrist to create an enclosure for the passage of the tendons?

A. Flexor retinaculum
B. Triangular fibrocartilage complex
C. Carpal tunnel
D. Extensor retinaculum

A

A. Flexor retinaculum

How well did you know this?
1
Not at all
2
3
4
5
Perfectly
4
Q

Identify B

A. Epiglottis
B. Uvula
C. Tongue
D. Hard palate

A

B. Uvula

How well did you know this?
1
Not at all
2
3
4
5
Perfectly
5
Q

A hemorrhage located between the dura mater and the skull is termed _____.

A. Subdural hematoma
B. Intracerebral hemorrhage
C. Epidural hematoma
D. Subarachnoid hemorrhage

A

C. Epidural hematoma

How well did you know this?
1
Not at all
2
3
4
5
Perfectly
6
Q

The condyloid process of the mandible articulates with the Mandibular fossa and the articular eminence of the ________ bone to form the TMJ.

A. Mandible
B. Clivus
C. Temporal
D. Zygoma

A

C. Temporal

How well did you know this?
1
Not at all
2
3
4
5
Perfectly
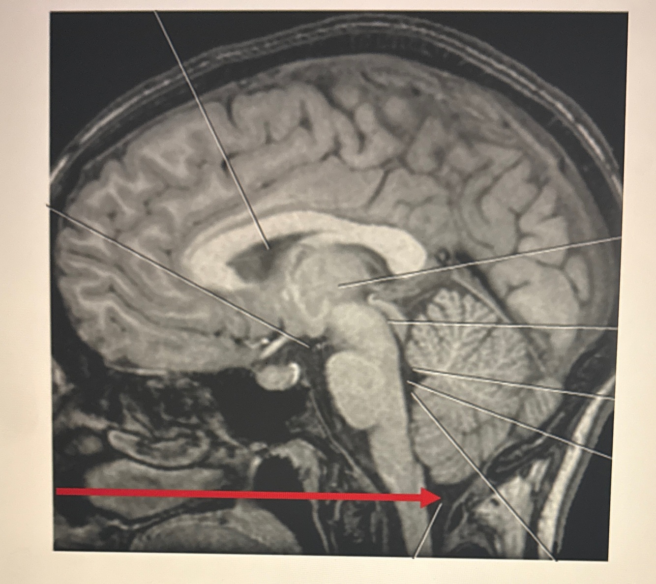
7
Q

Which arrow points to the laryngopharynx?

A

E

How well did you know this?
1
Not at all
2
3
4
5
Perfectly
8
Q

The medial epicondyle of the humerus serves as the origin for which group of muscles ?

A. Rotator cuff muscles
B. Extensors of the forearm
C. Triceps brachii
D. Flexors of the forearm

A

D. Flexors of the forearm

How well did you know this?
1
Not at all
2
3
4
5
Perfectly
9
Q

A. Epidural hematoma
B. Subarachnoid hemorrhage
C. Intracerebral hemorrhage
D. Subdural hematoma

A

A. Epidural hematoma

How well did you know this?
1
Not at all
2
3
4
5
Perfectly
10
Q

A. Lateral ventricle
B. Insula
C. Cingulate gyrus
D.Parahippocampal gyrus

A

B. Insula

How well did you know this?
1
Not at all
2
3
4
5
Perfectly
11
Q

A. Scaphoid
B. Pisiform
C. Triquetrum
D. Lunate

A

A. Scaphoid

How well did you know this?
1
Not at all
2
3
4
5
Perfectly
12
Q

Identify B

A. Thalamus
B. Mammillary bodies
C. Hypothalamus
D. Pituitary gland

A

C. Hypothalamus

How well did you know this?
1
Not at all
2
3
4
5
Perfectly
13
Q

Which arrow points to the capitellum?

A

D

How well did you know this?
1
Not at all
2
3
4
5
Perfectly
14
Q

The Supraspinous ligament continues into the cervical region as the:

A. Alar ligament
B. Ligamentum nuchae
C. Longitudinal ligament
D. Ligamenta flava

A

B. Ligamentum nuchae

How well did you know this?
1
Not at all
2
3
4
5
Perfectly
15
Q

A. Fat
B. Submandibular gland
C. Parotid gland
D.Sternocleidomastoid

A

C. Parotid

How well did you know this?
1
Not at all
2
3
4
5
Perfectly
16
Q

A. Pontine cistern
B. Cisterna magna
C. Supercellar cistern
D. Cerebellomedullary cistern

A

B. Cisterna magna

How well did you know this?
1
Not at all
2
3
4
5
Perfectly
17
Q

Which of the following contains the hypoglossal canal?

A. Ethmoid bone
B. Temporal bone
C. Sphenoid bone
D. Occipital bone

A

D occipital bone

How well did you know this?
1
Not at all
2
3
4
5
Perfectly
18
Q

The cribriform plate is part of which cranial bone ?

A. Sphenoid
B. Temporal
C. Occipital
D. Ethmoid

A

D. Ethmoid

How well did you know this?
1
Not at all
2
3
4
5
Perfectly
19
Q

Which structure forms the roof of the lateral ventricles?

A. Fornix
B. Septum pellucidum
C. Corpus callosum
D. Caudate nucleus

A

C. Corpus callosum

How well did you know this?
1
Not at all
2
3
4
5
Perfectly
20
Q

A. Cingulate gyrus
B. Vermis
C. Superior cerebellar peduncle
D. Middle cerebellar peduncle

A

B. Vermis

How well did you know this?
1
Not at all
2
3
4
5
Perfectly
21
Q

A. Pyriform sinus
B. Oropharynx
C. Epiglottis
D. Vallecula

A

D. Vallecula

How well did you know this?
1
Not at all
2
3
4
5
Perfectly
22
Q

The thoracic spine typically have bifid spinous processes

True
False

A

False

How well did you know this?
1
Not at all
2
3
4
5
Perfectly
23
Q

Which line points to the annulus fibrosis?

A

A

How well did you know this?
1
Not at all
2
3
4
5
Perfectly
24
Q

Which bone contributes to the formation of the middle cranial fossa ?

A. Occipital and ethmoid
B. Frontal and parietal
C. Sphenoid and temporal
D. Maximally and zygomatic

A

C. Sphenoid and temporal

How well did you know this?
1
Not at all
2
3
4
5
Perfectly
25
A. Insula B. Lateral ventricles C. Cingulate gyrus D. Pineal gland
Cingulate gyrus
26
A. Internal Carotid Artery B. Vertebral Artery C. Basilar Artery D. Middle Cerebral Artery
C. Basilar Artery
27
Biceps brachii M. Triceps brachii M. Deltoid M. Coracobrachialis M.
Deltoid M.*
28
A. Supraspinatus muscle B. Biceps brachii muscle C. Pectoralis major D. Subscapularis muscle
D. Subscapularis muscle
29
A. Triceps brachii muscle B. Biceps brachii muscle C. Coracobrachialis muscle D. brachialis muscle
C. Coracobrachialis muscle
30
A. Brachialis muscle B. Deltoid muscle C. Triceps brachii muscle D. Infraspinatus muscle
B. Deltoid muscle
31
Biceps brachii M. Brachioradialis M. Coracobrachialis M. Triceps brachii M.
Biceps brachii M.
32
A. Inferior facet joint B. Intervertebral foramen C. Superior facet joint D. Posterior longitudinal ligament
B. Intervertebral foramen
33
Insula Lateral ventricle Parahippocampal gyrus Cingulate gyrus
INSULA
34
Frontal horn Temporal horn Occipital horn Genu of Corpus callosum
Frontal horn
35
Epidural Hematoma Intracerebral Hemorrhage Subarachnoid Hemorrhage
 Subdural Hematoma
Epidural Hematoma
36
Lentiform Nucleus Claustrum Head of Caudate Nucleus
 Thalamus
Lentiform Nucleus
37
On coronal MRI, which structure connects the two thalami across the third ventricle? Internal capsule Fornix Massa intermedia Septum pellucidum
Massa intermedia
38
The lambdoid suture connects which bones? Frontal and occipital Frontal and temporal Occipital and parietal Temporal and parietal
Occipital and parietal
39
The pterion is the junction of which bones? A. Temporal, occipital, and parietal B. Frontal, temporal, and occipital C. Parietal, temporal, and occipital
 D. Frontal, parietal, temporal, and sphenoid
D. Frontal, parietal, temporal, and sphenoid
40
Which rotator cuff muscle is located on the anterior surface of the scapula? A. Supraspinatus muscle B. Infraspinatus muscle C. Teres minor muscle D. Subscapularis muscle
D. Subscapularis muscle
41
The filum terminale anchors the spinal cord to the coccyx. True False
True
42
How many pairs of spinal nerves are there in the human body? 12 pairs 31 pairs 33 pairs 24 pairs
31 pairs
43
On coronal MRI, which structure connects the two thalami across the third ventricle? Septum pellucidum Fornix Massa intermedia Internal capsule
Massa intermedia
44
The medial epicondyle of the humerus serves as the origin for which group of muscles? A. Triceps brachii B. Extensors of the forearm C. Rotator cuff muscles D. Flexors of the forearm
D. Flexors of the forearm
45
Which rotator cuff muscle is located on the anterior surface of the scapula? A. Supraspinatus muscle B. Infraspinatus muscle C. Teres minor muscle D. Subscapularis muscle
D. Subscapularis muscle
46
The filum terminale anchors the spinal cord to the coccyx. True False
True
47
How many pairs of spinal nerves are there in the human body? 12 pairs 31 pairs 33 pairs 24 pairs
31 pairs
48
Which vessels are located in the epidural space of the vertebral column? a. Basivertebral veins b. Internal venous plexus c. External venous plexus d. Great radicular vein
b. Internal venous plexus
49
1. Which arrow points to the occipital horn of the lateral ventricle? 2. Which arrow points to the thalamus? 3. Caudate nucleus
1. B (occipital horn/lateral ventricle) 2. A (thalamus) 3. C (caudate nucleus)
50
1. Which arrow points to the basilar artery? 2. Which arrow points to the anterior cerebral artery? 3. Which arrow points to the middle cerebral artery? 4. Which arrow points to the vertebral artery? 5. Which arrow points to the internal carotid artery?
1. D 2. A 3. C 4. E 5. B
51
1.Communicating artery? 2. Middle cerebral artery 3. Carotid siphon of internal carotid artery? 4. Anterior cerebral artery?
1. C (communicating artery) 2. A (middle cerebral artery) 3. D (carotid siphon of internal carotid artery) 4. B (anterior cerebral artery)
52
1. Internal Carotid artery? 2. Sphenoid sinus? 3. Trigeminal nerve (CN V) 4. Oculomotor nerve (CN III)
1. C (internal carotid) 2. B (sphenoid sinus) 3. A (trigeminAl nerve V) 4.D(oculomotor nerve III)
53
1. Basilar artery? 2. Anterior communicating artery? 3. Left internal carotid ?
1. Basilar artery (C) 2. Anterior communicating artery (A) 3. Left internal carotid (D)
54
1) vertebral artery? 2) basilar artery? 3) PICA posterior inferior cerebellar artery?
1) vertebral artery (D) 2) basilar artery (B) 3) PICA posterior inferior cerebellar artery (A)
55
Including the midbrain, the other major segments of the brainstem are the: a. Pons and medulla oblongata. b. Pons and cerebellum. c. Medulla oblongata and cerebellum. d. Medulla oblongata and thalamus
a. Pons and medulla oblongata.
56
57
The insula is considered part of the: a. Cerebral cortex b. Basal ganglia c. Brainstem d. Cerebellum
a. Cerebral cortex
58
The passage of cerebrospinal fluid between the third and lateral ventricles is accomplished via the: a. Median aperture (foramen of Magendie) b. Cerebral aqueduct (aqueduct of Sylvius) c. Lateral aperture (foramen of Luschka) d.Interventricular foramen (foramen of Monro)
d.Interventricular foramen (foramen of Monro)
59
Which basal cistern courses around the lateral surface of the midbrain? a. Cistern magna b. Interpeduncular cistern c. Prepontine cistern d. Ambient cistern
d. Ambient cistern
60
Which of the following is composed primarily of massive bundles of nerve fiber tracts and can be divided into two major segments: cerebral peduncles and tectum? a. Pons b. Medulla oblongata c. Midbrain d. Cerebellum
c. Midbrain
61
The superior cerebellar peduncles connect the cerebellum to the: a. Pons b. Midbrain c. Medulla oblongata d. Cerebral cortex
b. Midbrain
62
6. A partition between the cerebrum and cerebellum is formed by which dural fold? a. Falx cerebri b. Falx cerebelli c. Tentorium cerebelli d. Tentorial notch
c. Tentorium cerebelli
63
64
1. Suprasellar cistern 2. Infundibulum 3. Pituitary gland 4. Internal carotid artery
1. A)Suprasellar cistern 2.B)Infundibulum 3. (C) Pituitary gland 4. (D)Internal carotid artery
65
66
67
Which cranial nerve is the only nerve to emerge from the posterior surface of the brainstem? a. Trochlear b. Abducens c. Glossopharyngeal d. Hypoglossal
a. Trochlear
68
The ophthalmic artery branches off of which vessel? a. Anterior cerebral artery b. Internal carotid artery c. Middle cerebral artery d. External carotid artery
b. Internal carotid artery
69
Which structure modulates the activities of the anterior and posterior lobes of the pituitary gland? a. Thalamus b. Claustrum c. Internal capsule d.Hypothalamus
d.Hypothalamus
70
Which structure serves as a relay station for sensory input to and from the cerebral cortex? a. Caudate nucleus b. Lentiform nucleus c. Thalamus d.Hypothalamus
c. Thalamus
71
The transverse processes of the sacrum join to form the: a. Sacral promontory b. Cornu c. Sacral hiatus d. Lateral masses
d. Lateral masses
72
The erector spinae muscle group is the chief extensor of the vertebral column and is arranged into which three vertical columns? a. Iliocostalis, longissimus, and splenius b. Iliocostalis, longissimus, and spinalis c. Iliocostalis, multifidus, and splenius d. Iliocostalis, multifidus, and spinalis
b. Iliocostalis, longissimus, and spinalis
73
Where is the dorsal root ganglion located? a.Intervertebral foramen b. Vertebral foramen c. Transverse foramen d. Foramen magnum
a.Intervertebral foramen
74
1. Thecal sac 2. Cauda equina 3.BaSiveRtebral vein 4. PsOas muscle
1. A)Thecal sac 2. B)Cauda equina 3.C)BaSiveRtebral vein 4. (D)PsOas muscle
75
-Pedicle -Intevertebral foramen -superior articular process - inferior articular process
A Pedicle B inferior ARTiculaR process C superior ArtIcuLaR process DIntErverTebraL ForAmen
76
77
The anterior spinal artery is formed by the union of branches from the: a. Vertebral arteries b. Internal carotid arteries c. Basilar artery d. External carotid arteries
a. Vertebral arteries
78
The cervical plexus arises from which ventral rami? a. C1-C4 b. C2-C5 c. C3-C7 d. C5-C7
a. C1-C4
79
Which nerve innervates the anterior lower leg? a. Peroneal b. Femoral c. Tibial d. Saphenous
d. Saphenous
80
The largest pair of salivary glands is the: a. Parotid b. Sublingual c. Submaxillary d. Submandibular
a. Parotid
81
How many “unpaired” cartilages make up the larynx? a. 1 b. 3 c. 5 d. 7
b. 3
82
What muscle forms the boundary for the anterior and posterior triangles in the neck? a. Platysma b. Middle scalene c.Sternocleidomastoid d. Trapezius
c.Sternocleidomastoid
83
Which vein drains blood from the lateral region of the face? a.Retromandibular b. Internal jugular c. External jugular d. Anterior jugular
a.Retromandibular
84
The laminae of the thyroid cartilage unite anteriorly to form the: a. Laryngeal prominence b. Superior thyroid notch c. Superior horn d. Inferior horn
a. Laryngeal prominence
85
With quiet respiration the true vocal cords are in a relaxed position creating an opening between them called the: a. Epiglottis b. Ventricle c. Glottis d. Oropharynx
c. Glottis
86
Which hormones excreted from the thyroid gland stimulate cell metabolism and are essential for normal body growth? a. Parathyroid and calcitonin b. Thyroxine and triiodothyronine c. Triiodothyronine and calcitonin d. Parathyroid and thyroxine
b. Thyroxine and triiodothyronine
87
88
Which is a superficial muscle located on the posterior portion of the neck that acts to elevate the scapula? a. Splenius capitis b. Levator scapulae c. Posterior scalene d. Trapezius
d. Trapezius
89
Parotid gland
C parotid gland
90
1PterygoiD muscle
1D
91
Internal carotid Vertebral artery Common carotid External carotid
B internal carotid C vertebral artery D common carotid A external carotid
92
-Acromion process -coracoid process -CoracoclAvicular ligament - coracobraChialis muscle
A CorAcOclaviCular ligament B acromion process C coracoid process D coraCobRacHialis muscle
93
Brachialis Triceps brachi Ulnar nerve Brachioradialis
A brachialis B brachioradialis C ulnar nerve D triceps brachii lateral head
94
Brachioradialis Ulnar collateral ligament PRONATor teres FleXor DiGaTorum superficialis muscle
A brachioradialis B proNator TerEs C ulnar coLlaTeraL ligamEnt D flexor digatorum superficialias muscles
95
Lunate Triquetral Midcarpal joint Radiocarpal joint
A triquetral B midcarpal joint C lunate D radiocarpal joint
96
Cisterna magna
97
Annular ligament
98
Cerebellopontine angle cistern
99
All facials bones come in pairs except for 2
Vomer and Mandible