Form Incorrect Topics Flashcards

(59 cards)

1
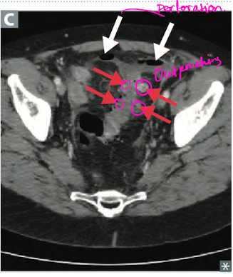
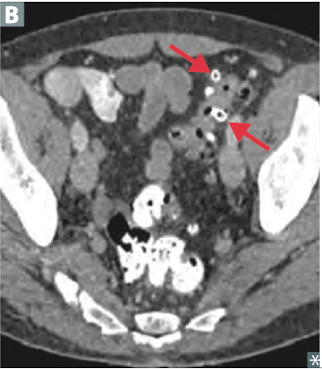
Q

Where can you see a pseudodiverticulum occur?
Which layers are affected?

A

Only the mucosa and submucosa out pouch.
Occurs especially where vasa recta perforate muscular external.

How well did you know this?
1
Not at all
2
3
4
5
Perfectly
2
Q

What is diverticulosis?

A

Many false diverticula of the colon, commonly sigmoid.

How well did you know this?
1
Not at all
2
3
4
5
Perfectly
3
Q

What patient population would you see diverticulosis?

A

50% of ppl over 60 years

How well did you know this?
1
Not at all
2
3
4
5
Perfectly
4
Q

How is diverticulosis caused?

A

Increased intraluminal pressure and focal weakness in colonic wall.

How well did you know this?
1
Not at all
2
3
4
5
Perfectly
5
Q

What is diverticulosis associated with?

A

Obesity, diets low in fiber, high in total fat/ red meat.

How well did you know this?
1
Not at all
2
3
4
5
Perfectly
6
Q

What are the complications associated with diverticulosis?

A
  • Painless hematochezia
  • Diverticulitis
How well did you know this?
1
Not at all
2
3
4
5
Perfectly
7
Q

How does diverticulitis present?

A

Classically causing LLQ pain, fever, leukocytosis

How well did you know this?
1
Not at all
2
3
4
5
Perfectly
8
Q

What are the complications to diverticulitis?

A

Abscess, fistula, (colovesical fistula -> pneumaturia (stool and air in the urine), obstruction (inflammatory stenosis), perforation that can lead to peritonitis. Hematochezia is rare.
Treat with surgery and antibiotics.

How well did you know this?
1
Not at all
2
3
4
5
Perfectly
9
Q

What is the defect in Lynch Syndrome (Hereditary nonpolyposis colorectal cancer HNPCC)?
What phase would you expect this to occur?

A

Mismatch repair. Normally occurs in the S phase of the cell cycle.

How well did you know this?
1
Not at all
2
3
4
5
Perfectly
10
Q

What are some risk factors to colorectal cancer?

A
  • Adenomatous and serrated polyps
  • Familial cancer syndromes
  • IBD
  • Tobacco use
  • diet of processed meat with low fiber
How well did you know this?
1
Not at all
2
3
4
5
Perfectly
11
Q

Where is the colon is colorectal cancer typically seen?

A

Rectosigmoid > ascending > descending of the large bowel

How well did you know this?
1
Not at all
2
3
4
5
Perfectly
12
Q

What symptoms is associated with cecal/ascending CRC?

A

occult bleeding
* in the ascending you can also see exophytic mass, iron deficiency anemia, and weight loss

How well did you know this?
1
Not at all
2
3
4
5
Perfectly
13
Q

What symptoms are seen on the rectosigmoid region in CRC?

A

Hematochezia and obstruction (narrow lumen decreases stool caliber resulting in very thin-width stools, pencil thin)

How well did you know this?
1
Not at all
2
3
4
5
Perfectly
14
Q

What symptoms are associated with CRC located in the descending colon?

A

Infiltrating mass, partial obstruction, colicky pain, hematochezia (bright red stool indicating a lower GI bleed)

How well did you know this?
1
Not at all
2
3
4
5
Perfectly
15
Q

What organism is associated with bacteremia/endocarditis in the setting of CRC?

A

Strep Bovis/gallolyticus (gram positive cocci in pairs with short chains, gamma hemolytic)

How well did you know this?
1
Not at all
2
3
4
5
Perfectly
16
Q

What can you see on barium swallow in a patient with CRC?

A

“Apple core” lesion on X-ray

How well did you know this?
1
Not at all
2
3
4
5
Perfectly
17
Q

What tumor marker is a reliable sign of CRC recurrence?

A

CEA tumor marker, should not be used for screening

How well did you know this?
1
Not at all
2
3
4
5
Perfectly
18
Q

What is the sequence of mutations in CRC?

A
How well did you know this?
1
Not at all
2
3
4
5
Perfectly
19
Q

How does Bevacizumab help treat CRC?

A

Targets VEGF to inhibit blood vessel formation

How well did you know this?
1
Not at all
2
3
4
5
Perfectly
20
Q

What genes need a 2 hit for the lack of expression leading to CRC?

A

APC
DCC
SMAD4 (DPC4)
- all are tumor suppressors

How well did you know this?
1
Not at all
2
3
4
5
Perfectly
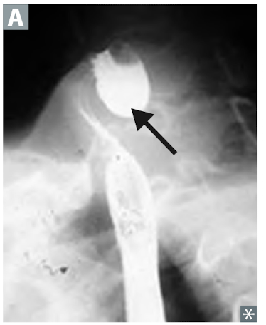
21
Q

What’s the Dx?

A

Zenker Diverticulum

How well did you know this?
1
Not at all
2
3
4
5
Perfectly
22
Q

Diverticulum in the pharynx, what’s the dx?

A

Zenker diverticulum, this is a pharyngeal esophageal false diverticulum

How well did you know this?
1
Not at all
2
3
4
5
Perfectly
23
Q

What is the treatment for von Willebrand Disease?

A

Desmopressin, ADH analog, promotes the release of vWF and Factor 8 from endothelial cells.
- other uses include Central DI, sleep enuresis, hemophilia A

How well did you know this?
1
Not at all
2
3
4
5
Perfectly
24
Q

What do the blood tests look like in von Willebrand disease?

A
  • PC normal
  • BT increased
  • PT normal
  • PTT normal/increased
25
What is the function of vWF?
Carry and protect factor 8
26
What is the inheritance pattern of von Willebrand Disease?
AD
27
How does von Willebrand disease present?
Epistaxis or Menorrhagia *remember platelets and factor 8 are not interacting causing a defect in platelet plug formation and platelet adhesion.
28
Platelet disorder with GpIB deficiency, what is the dx?
Bernard-Soulier syndrome (defect in platelet adhesion to von Willebrand factor)
29
Inherited bleeding disorder, whats the dx?
von Willebrand disease most commonly
30
What intestinal disorder is associated with von Willebrand disease?
Angiodysplasia - tortuous dilation oof vessels leading to hematochezia. Most often in the right side of the colon. Acquired vWD > inherited
31
Where is vWF normally released from?
Weibel Palade Body
32
How does somatic symptom disorder present?
Bodily complaints (eg abdominal pain, fatigue) lasting months to years. Associated with excessive persistent thought and anxiety about symptoms. May co-occur with medical illness.
33
How do you treat somatic symptom disorder?
Regular office visits with the same physician in combination with psychotherapy.
34
What is the mechanism behind Hemolytic uremic syndrome?
Shiga/Shiga-like toxins inactivate 60S ribosome by removing adenine from rRNA inhibiting protein synthesis, leading to increase cytokine release
35
Which organisms cause HUS?
Shigella spp and Enterohemorrhagic E coli (EHEC) Shigella invades the host cells EHEC doesn't
36
Which Bacteria increase cAMP?
Cholera, Anthracis, Pertussis, E coli "Increase cAMP with CAPE"
37
What would you see in PBS in the case of HUS?
Schistocytes "helmet cells" fragmented RBCs
38
How can HUS present?
Petechiae, mucosal bleeding, prolonged bleeding time - also seen in Platelet disorders (eg Glanzmann thromasthenia, Bernard Soulier, TTP, ITP, uremic platelet dysfunction
39
How to treat HUS?
Supportive care - intravenous fluids, blood transfusions, dialysis, and medication to manage blood pressure and other issues
40
Describe the Hardy-Weinberg principle:
41
What is the mechanism behind Methemoglobin?
Oxidized Hb secondary to dapsone, local anesthetics, nitrites, and nitrates oxidizes iron (Fe2+ to Fe3+, ferrous to ferric) in hemoglobin, this decreases oxygen binding but increases cyanide affinity leading to tissue hypoxia. *Treat with methylene blue and vitamin C (vitamin C reduces iron)
42
How does methemoglobinemia present?
Cyanosis that does not improve with O2 supplementation and chocolate colored blood
43
What is the Oxygen content of the blood in the case of methemoglobinemia?
44
What local anesthetics can cause methemoglobinemia?
Benzocaine (ester) and prilocaine (amide)
45
Whats the organism?
Schistosoma
46
What can Schistosoma infection cause?
47
What organism is associated with bleeding varicose leading to portal HTN?
Schistosoma Mansoni (look for the egg with a lateral spine) Schistosoma japonica can also cause portal HTN.
48
What organism is associated with squamous cell carcinoma of the bladder (painless hematuria) and pulmonary HTN?
Schistosoma Haematobium (look for the egg with terminal spine) - also look for chronic infection - also look for Middle East geographical clues
49
How are Schistosoma infection transmitted?
Snails are the intermediate host. Cercariae penetrate human skin. Look for contaminated fresh water (eg swimming or bathing)
50
What is the treatment for Schistosoma infections?
Praziquantel - increases Ca2+ permeability and increases vacuolization
51
Duchenne muscular dystrophy, Tay-Sachs disease, and cystic fibrosis are examples of what kind of mutation?
Frameshift mutation, deletion or insertion of any number of nucleotides not divisible by 3
52
What does the mutation in Duchenne muscular dystrophy cause?
Frameshift mutations cause loss of anchoring protein to ECM (dystrophin) leading to myonecrosis
53
What is the mechanism behind LAD type 1?
LFA-1 integrin defect (CD18) leads to impaired phagocyte migration and chemotaxis
54
Late separation of umbilical cord (>30 days), no pus, recurrent skin and mucosal bacterial infections, whats the dx?
LAD
55
Describe Lead poisoning:
56
Describe sideroblastic anemia
57
Describe Acute Intermittent Porphyria:
Affected enzyme; accumulated substrate; presenting symptoms
58
Describe Porphyria cutanea tarda:
Affected enzyme; accumulated substrate; presenting symptoms
59
Draw how heme is made: