fracture mx - Passmed Flashcards

(10 cards)

1
Q

what is an oblique fracture

A

Fracture lies obliquely to long axis of bone

How well did you know this?
1
Not at all
2
3
4
5
Perfectly
2
Q

what is a comminuted fracture

A

more than 2 fragments

How well did you know this?
1
Not at all
2
3
4
5
Perfectly
3
Q

what is a segmental fracture

A

More than one fracture along a bone

How well did you know this?
1
Not at all
2
3
4
5
Perfectly
4
Q

what is a transverse fracture

A

Perpendicular to long axis of bone

How well did you know this?
1
Not at all
2
3
4
5
Perfectly
5
Q

what is a spiral fracture

A

Severe oblique fracture with rotation along long axis of bone

How well did you know this?
1
Not at all
2
3
4
5
Perfectly
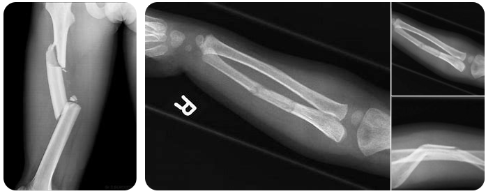
6
Q
A

transverse fracture

How well did you know this?
1
Not at all
2
3
4
5
Perfectly
7
Q

classification for open fractures

A

Gustilo and Anderson classification system

How well did you know this?
1
Not at all
2
3
4
5
Perfectly
8
Q

approach to fractures

A
  1. immobilise
  2. monitor neurovascular status, particularly after reduction and immobilisation
  3. tetanus injection
  4. IV broad spectrum abx for open
  5. open fractures should be debrided as emergency
  6. most cases open fractures are left open -> external fixation
How well did you know this?
1
Not at all
2
3
4
5
Perfectly
9
Q

definition of open fracture

A

disruption of the bony cortex associated with a breach in the overlying skin.

How well did you know this?
1
Not at all
2
3
4
5
Perfectly
10
Q

concerns with open fracture

A

damage to underlying structures eg muscle/bv etc

How well did you know this?
1
Not at all
2
3
4
5
Perfectly