shoulder dislocation Flashcards

(11 cards)

1
Q

what happens in shoulder dislocation

A

humeral head dislodges from the glenoid cavity of the scapula.

How well did you know this?
1
Not at all
2
3
4
5
Perfectly
2
Q

position of arm in shoulder dislocation

A

anterior: arm in external rotation and slight abduction
posterior: adduction and internal rotation - shoulder cannot be abducted
inferior - arm fully abducted and elbow flexed on or behind head

How well did you know this?
1
Not at all
2
3
4
5
Perfectly
3
Q

sx and signs of shoulder dislocation

A

pain
inability to move joint
tender
swelling
normal neuro

How well did you know this?
1
Not at all
2
3
4
5
Perfectly
4
Q

ix for shoulder dislocation

A

AP XR with internal and external humeral rotation
axillary lateral and/or scapular Y views to confirm diagnosis.

How well did you know this?
1
Not at all
2
3
4
5
Perfectly
5
Q
A
How well did you know this?
1
Not at all
2
3
4
5
Perfectly
6
Q
A

Scapular Y x-ray view showing an anterior fracture dislocation of the shoulder and fracture of the greater tuberosityPersonal collec

How well did you know this?
1
Not at all
2
3
4
5
Perfectly
7
Q
A

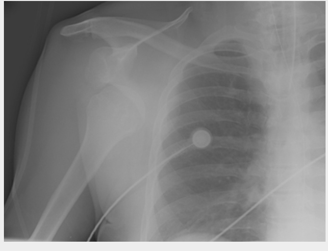
anteroinferior dislocation (AP XR)

How well did you know this?
1
Not at all
2
3
4
5
Perfectly
8
Q
A

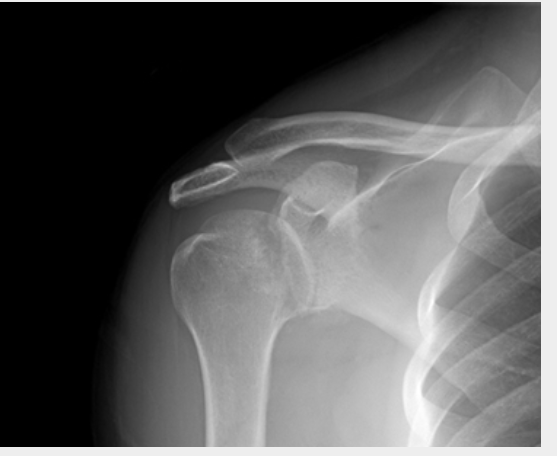
Anteroposterior x-ray view of a shoulder showing a missed posterior dislocation: the glenohumeral joint appears reduced

How well did you know this?
1
Not at all
2
3
4
5
Perfectly
9
Q
A

Axillary lateral of a shoulder with a missed posterior dislocation: humeral head clearly is not reduced and is locked on the posterior rim of the glenoid

How well did you know this?
1
Not at all
2
3
4
5
Perfectly
10
Q

mx of shoulder dislocation

A

reduction and immobilisation +- surgical referral
* refer under 25yrs - risk of recur
* reduction under LA and procedural sedation

reduction
* abduction and external rotation to disengage the humoral head
* axial traction to reduce it

immobilise and place in sling 3wks

AP XR to confirm position

neurovascular exam

rehab

How well did you know this?
1
Not at all
2
3
4
5
Perfectly
11
Q

complications of shoulder dislocation

A

recurrent instability of shoulder joint
hill-sachs lesion - compression fracture on the posterolateral corner of the humeral head, which is caused when the humeral head impinges against the glenoid (scapula) of the shoulder joint
bankarts lesion - avulsion of glenoid labrum

How well did you know this?
1
Not at all
2
3
4
5
Perfectly