Fractures Flashcards

(37 cards)

1
Q

Question 1 : Vous voyez un homme de 79 ans, connu pour démence, HTA, dyslipidémie et maladie coronarienne, qui a fait une chûte de sa hauteur. Il s’est infligé une fracture du col fémoral droit déplacée. Qu’est-il exact d’affirmer ?
a) La rupture du ligament rond, reliant le centre de l’acétabulum au centre de la tête fémorale, causera la nécrose avasculaire de cette hanche
b) La dyslipidémie crée des plaques athéromateuses qui seront responsables de la nécrose avasculaire de cette hanche
c) La maladie coronarienne provoquera une ischémie de l’artère circonflexe fémorale médiale et la nécrose avasculaire de cette hanche
d) Il n’y a jamais de nécrose avasculaire dans ce type de fracture
e) La rupture des vaisseaux remontant rétrograde le long du col fémoral causera la nécrose avasculaire de cette hanche.

A

e

Vascularisation de la tête fémorale :
L’artère circonflexe fémorale médiale (la plus importante) et l’artère circonflexe fémorale latérale, toutes deux issues de l’artère fémorale profonde, vont se réunir pour former un anneau artériel extracapsulaire à la base du col fémoral.
Des branches cervicales ascendantes (artères rétinaculaires) vont remonter rétrograde vers la tête fémorale, à l’intérieur de la capsule de la hanche, et ce sont elles qui rupturent en cas de fracture du col fémoral. Une fracture intertrochantérienne, plus basse, ne met pas en danger ces vaisseaux.
L’artère du ligament rond contribue peu à la vascularisation de la tête fémorale.
Outre la fracture déplacée du col fémoral, les autres causes atraumatiques de nécrose avasculaire sont :
* Anémie falciforme
* Alcool
* Radiothérapie
* Corticothérapie
* Maladie de Gaucher (maladie lipidique héréditaire)
* Maladie des caissons (plongée sous-marine)
* Post arthrite

MCAS, MVAS, dyslipidémie, hypertension ne sont pas des causes de nécrose.

How well did you know this?
1
Not at all
2
3
4
5
Perfectly
2
Q

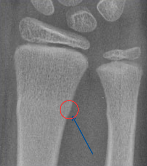
Question 2 : En se basant sur la classification de Salter pour les fractures chez les enfants, comment classifiez-vous la fracture sur l’image suivante ?

a) Fracture de type 1
b) Fracture de type 2
c) Fracture de type 3
d) Fracture de type 4
e) Fracture de type 5

A

d

How well did you know this?
1
Not at all
2
3
4
5
Perfectly
3
Q

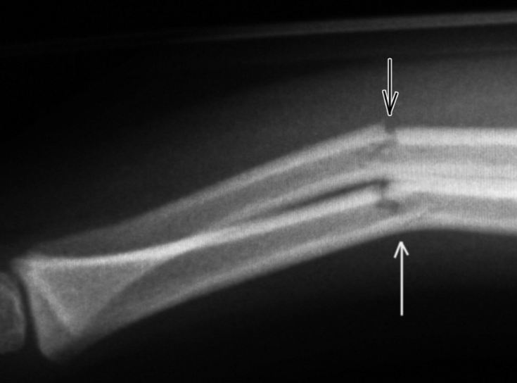
Un enfant présente une fracture qui remonte dans la métaphyse après avoir longé la physe. Comment classeriez-vous cette lésion ?

A

Type II

How well did you know this?
1
Not at all
2
3
4
5
Perfectly
4
Q

Un menuisier se donne un coup de marteau sur le doigt. Il présente une fracture de la phalange avec une coupure nette de 1,5 cm, sans grande lésion des tissus mous adjacents. La plaie n’est pas contaminée. Quelle est la classification de fx ouverte de Gustillo ?

type I, II, III

A

type II

Gustilo classification
How well did you know this?
1
Not at all
2
3
4
5
Perfectly
5
Q

Remettez dans le bon ordre chronologique les phases de la guérison osseuse secondaire, de l’événement initial jusqu’à la restauration complète de l’os :

A. Formation du cal osseux

B. Fracture et phase inflammatoire

C. Remodelage

D. Formation du tissu de granulation

E. Déposition de l’os lamellaire

A

Phase 1 (Inflammation) : Le corps réagit immédiatement au traumatisme (hématome).

Phase 2 (Granulation) : Un “pont” temporaire de tissus mous se forme.

Phase 3 (Cal osseux) : Le cartilage et le tissu fibreux se transforment en cal dur (os immature).

Phase 4 (Os lamellaire) : L’os immature est remplacé par une structure plus solide et organisée.

Phase 5 (Remodelage) : L’os retrouve sa forme et sa résistance d’origine grâce à l’action des ostéoclastes et ostéoblastes.

How well did you know this?
1
Not at all
2
3
4
5
Perfectly
6
Q

VF

La chirurgie de fixation interne dynamique permet une guérison de type processus primaire sans formation de cal osseux.

A

Faux : c’est vrai piur la fixation interne rigide (aucun mouvement)

How well did you know this?
1
Not at all
2
3
4
5
Perfectly
7
Q

Quel type de fx de la hanche suis-je?

A

Intertrochantérienne

Vascularisation épargnée, pas de nécrose avasculaire 😎

How well did you know this?
1
Not at all
2
3
4
5
Perfectly
8
Q

Quel type de fx de la hanche suis-je?

A

col fémoral

Vascularisation de la tête fémorale interrompue –> NÉCROSE AVASCULAIRE
Tx prothèse hanche seulement pour ce type de fx = permet pt de marcher + rapidement

How well did you know this?
1
Not at all
2
3
4
5
Perfectly
9
Q

Quel type de fx de la hanche suis-je?

A

sous-trochantérienne

Vascularisation épargnée, pas de nécrose avasculaire 😎

How well did you know this?
1
Not at all
2
3
4
5
Perfectly
10
Q

Quel nerf est à risque dans fx bassin ou luxation postérieures de la hanche?

A

sciatique

How well did you know this?
1
Not at all
2
3
4
5
Perfectly
11
Q

Axonotmèse, neurotmèse, neurapraxie

a) sectionné
b) déchirure partielle
c) intact

Nerfs

A

a) neurotmèse
b) axonotmèse
c) neurapraxie

C = bon potentiel de guérison

How well did you know this?
1
Not at all
2
3
4
5
Perfectly
12
Q

Quel nerf est à risque lors d’une fx diaphyse humérale?

A

radial

How well did you know this?
1
Not at all
2
3
4
5
Perfectly
13
Q

Quel sont les 2 fx + à risque de choc hypovolémique?

A

Bassin
Fémur

How well did you know this?
1
Not at all
2
3
4
5
Perfectly
14
Q

Quel fx est le + à risque d’embolie graisseuse?

A

Fémur

Puis bassin

How well did you know this?
1
Not at all
2
3
4
5
Perfectly
15
Q

Douleur +++ au membre inférieur suite à immobilisation d’une fx. TA = 96/56. La pression intra-compartimentale est mesurée à 27 mmHg.
Votre dx?

A

Syndrome compartimental car TAD - intra-compartimental est < 30

56-27=29

Le diagnostic est confirmé par l’obtention de l’une des valeurs suivantes :
- Pression artérielle diastolique – pression intracompartimentale INFÉRIEUR à 30 mmHg
- Pression intracompartimentale isolée SUPÉRIEURE à 30 mmHg

How well did you know this?
1
Not at all
2
3
4
5
Perfectly
16
Q

Risque important de nécrose avasculaire :

a) Dôme du (?)
b) Tier (?) du scaphoide
c) col ?

A

a) talus
b) proximal
d) fémoral

  • Si suspecté = demander IRM car prend full de temps à apparaitre à RX
  • Une fx de col fémoral sera fixé meme si non déplacé à cause du risque ++ de nécrose

17
Q

À quel endroit sont fréquentes les fx de stress?

18
Q

Varus ou valgus?

Segment distal se rapproche de la
ligne médiane

A

Varus

Dans Valgus, il y a un “L” comme Latéral (le segment distal part vers l’extérieur); ex genoux se collent mais chevilles s’éloignent

19
Q
A

torus (fx ped)

20
Q
A

Fx bois-vert (ped)

21
Q

VF

Le stade salter V est invisible à la RX

A

Vrai

Compression de la plaque SANS déplacement

22
Q

Quels sont les 2 sites avec le meilleur remodelage osseux chez les kids?

A

a) loin du coude (ex. poignet, humérus proximal)
b) proche du genou

Physes sont + actives

23
Q

Quels sont les sites communs de blessure chez les enfants?

24
Q

VF

Une fx ouverte ou déplacée nécessite un tx chirurgical

25
Quelle sera la présentation clinique d'une fx de la hanche, peu importe son type (col fémoral, intertrochantérienne, ss-trochlantérienne)
Membre raccourci Rotation externe du pied Pas capable de marcher
26
Comment vérifier intégrité du nerf radial lors d'une fx de l'humérus alors que pt est très souffrant...
Capable de relever le pouce = nerf radial intact ## Footnote Extension pouce Sensibilité dorsum main
27
Comment vérifier intégrité nerf médian?
Flexion index Sensibilité palmaire index-majeur
28
Comment vérifier intégrité nerf ulnaire?
Abduction doigts sensibilité 5e doigt
29
# Quel nerf Sensibilité de la plante du pied Flexion cheville et des orteils
Tibial
30
Éversion de la cheville Sensibilité dorsum du pied
Nerf fibulaire superficiel ## Footnote Proche de la tête de la fibula
31
Extension de la cheville/orteils Sensibilité 1er espace interdigital
Nerf fibulaire profond
32
Sensibilité de la malléole interne
Nerf saphène
33
Sensibilité face latérale du pied
Sural
34
Quelle est la triade clinique de l'embolie graisseuse?
Confusion Pétéchies Hypoxie ## Footnote fx os long : FÉMUR
35
Après cb de temps un syndrome compartimental non dx se transforme en nécrose musculaire irréversible?
6h
36
Non union si pas d'union après (?) mois ou absence de consolidation sur 3 RX sériées (1M, 3M, 6M)
9 ## Footnote Tx = fixation + greffe
37
Quel est le tx de mal union?
Ostéotomie de correction