Trauma MS Flashcards

(42 cards)

1
Q

Les 3 causes fréquentes de luxation postérieure de l’épaule?

A

Éthanol
Épilepsie
Electrocution

How well did you know this?
1
Not at all
2
3
4
5
Perfectly
2
Q

Diminution de la rotation externe passive post-traumatisme de l’épaule
a) luxation antérieure
b) luxation postérieure

A

b

How well did you know this?
1
Not at all
2
3
4
5
Perfectly
3
Q

Luxation ant ou postérieure?

Vue axillaire de l'épaule
A

Postérieure

Repère = clavicule et coracoide

How well did you know this?
1
Not at all
2
3
4
5
Perfectly
4
Q

Immobliser (attelle) en rotation interne ou externe?

Luxation postérieure

A

externe

How well did you know this?
1
Not at all
2
3
4
5
Perfectly
5
Q

Déchirure coiffe traumatique chez pt < 60 ans, après combien de temps de tx conservateur vous faites chx?

A

6mois

How well did you know this?
1
Not at all
2
3
4
5
Perfectly
6
Q

Que faites-vous?

a) Chx urgente
b) aucune chx peu importe âge

Homme 30-60 ans, actif, a senti un “clac” après avoir soulevé lourde charge en contraction eccentrique (extension du coude)

A

A : car rupture tendon DISTAL

Flexion reste N (car brachialis compense)
Supination résistée nettement diminuée : yergason
doit avoir chx en < 3sem

How well did you know this?
1
Not at all
2
3
4
5
Perfectly
7
Q

VF

La luxation la + fréquente du coude est antérieure.

A

Faux : postérieure

How well did you know this?
1
Not at all
2
3
4
5
Perfectly
8
Q

Quelle est la complication la + fréquente d’une luxation du coude?
a) ankylose
b) instabilité

A

a

Important de reprendre mouvement lors d’une luxation simple après 10-14j d’immobilisation
Amplitude fonctionnelle du coude 30-130 degrés; peut etre diminué par ankylose

How well did you know this?
1
Not at all
2
3
4
5
Perfectly
9
Q

Luxation du poignet (petit arc) = luxation péri-lunaire du carpe

Dans quel ordre va rompre les ligaments péri-lunaires?

radio-lunaire
scapho-lunaire
capito-lunaire
luno-triquetal

A
  1. scapho-lunaire
  2. capitolunaire
  3. luno-triquetral
  4. radio-lunaire

rechercher atteinte nerf médian

How well did you know this?
1
Not at all
2
3
4
5
Perfectly
10
Q

1-Une patiente de 56 ans se présente avec une douleur à l’épaule droite et une limitation importante de ses mouvements gléno-huméraux en passif, notamment la rotation externe qui est à 0°. Lequel, parmis les diagnostics suivants, ne peut donner un tel tableau.
a) Capsulite
b) Bursite sous-acromiale
c) Luxation gléno-humérale postérieure
d) Arthrite septique
e) Arthrose de l’épaule

A

b

How well did you know this?
1
Not at all
2
3
4
5
Perfectly
11
Q

Vous faites des rayons-X de l’épaule droite chez cette patiente. Il s’agit d’une vraie AP de Neer. Qu’est-ce que ce RX démontre?

A

Luxation postérieure de l’épaule.
Il y a superposition de la tête humérale et de la glénoïde sur la vue AP de Grashier

How well did you know this?
1
Not at all
2
3
4
5
Perfectly
12
Q

VF

Lors d’une entorse de grade 1, il est possible de voir une légère laxité.

A

Faux : seulement à partir du grade 2

How well did you know this?
1
Not at all
2
3
4
5
Perfectly
13
Q

Une luxation est nécessairement associée à une entorde de grade (?)

A

3

Subluxation = grade 2 ou 3
Par contre, on peut avoir une entorse de grade 3 sans évidence de luxation ou subluxation (RX normale)

How well did you know this?
1
Not at all
2
3
4
5
Perfectly
14
Q

Que faut-il toujours faire après avoir réduit une luxation?

A

RX pour R/O fx

On fait donc RX avant ET après

How well did you know this?
1
Not at all
2
3
4
5
Perfectly
15
Q

Quel ligament est impliqué dans la patho de déchirure de la coiffe des rotateurs?

A

Lig coraco-acromial

How well did you know this?
1
Not at all
2
3
4
5
Perfectly
16
Q

Quel ligaments sont impliqués pour stabiliser clavicule?

a) stabilité verticale
b) stabilité horizontale de la clavicule

A

a) coraco-claviculaire (trapezoide, conoide)
b) lig acromio-claviculaire

A) les + impliqués dans luxation acromio-claviculaire!

How well did you know this?
1
Not at all
2
3
4
5
Perfectly
17
Q

Que remarquez-vous

A

Note de piano : signe d’une entorse acromio-claviculaire de haut grade

18
Q

Quelle est la vue la plus spécifique pour entorse acromio-claviculaire à la RX

A

Zanca : AP angulation 10 degrés céphalique

DES 2 CÔTÉS

comparer distance coraco-claviculaire pour déterminer % de déplacement p/r au côté sain (100% = 2x mesure normale)

19
Q

Quel est le stade d’instabilité acromio-claviculaire?

Laxité antéro-postérieure
RX normal
Foulard +
Palpation acromio-clav +

20
Q

Quel est le stade d’instabilité acromio-claviculaire?

Entorse de grade 3 de tous les ligaments
Déplacement clavicule < 100%

A

grade 3

grade 5 = meme luxation que grade 3 mais déplacement > 100%

21
Q

Quel est le stade d’instabilité acromio-claviculaire?

Vue axillaire démontre que la clavicule est déplacée postérieurement

22
Q

Tx luxation acromio-clav

Type 1-2-3 : ?
Type 4-5 : ?

A

1-2-3 = conservateur
4-5 = chx/référence orthopédie

conservateur = RICE x 2-3 sem (repos, compression, immobilisation, ice, élévation)

23
Q

Articulation sterno-claviculaire

a) stabilité verticale
b) stab horizontale

A

a) lig costo-clav
b) ligaments sterno-claviculaire

24
Q

Quel type de luxation sterno-claviculaire est à risque?

a) antérieure
b) postérieure

A

b

  • structures vitales en arrière de la clav : grosses VEINES à risque
  • Pas de saignement immédiat : saignement lors de la réduction donc doit être à proximité d’un chx vasculaire
  • Par contre, postérieur bcp moins fréquent que antérieur

25
# Mécanisme luxation sterno-clav
A) luxation post B) luxation ant ## Footnote Mécanisme indirect via trauma épaule
26
Quelle vue demander au RX pour luxation sterno-clav? ## Footnote En plus de AP sternum et laterale sternum
Serendipity ## Footnote Mais on peut pas savoir direction de luxation --> besoin d'un TDM
27
# VF On opère les luxation sterno-clav antérieures seulement s'il y a échec post-réduction?
faux : jamais de chx ## Footnote Souvent clav ressort qq jours après réduction : on la laisse comme ça
28
Comment réduire une luxation sterno-claviculaire postérieure de grade 3?
SALLE OP AVEC CHX VASCULAIRE À PROXIMITÉ ## Footnote Faut vrm remettre la clav en place lors d'une luxation postérieure
29
# Dissociation scapulo-thoracique Dans quelle circonstance ça peut arriver?
trauma majeur (accident route etc) ## Footnote Donc la dissociation cest la dernière chose sur la liste, pt a bcp d'autres problèmes vitaux
30
# Luxation gléno-humérale Quelle région déchirure lors d'une luxation antérieure?
Jonction labrum-glénoide ad fx os glénoide (fracture de Bankart) ## Footnote Pt > 70 ans = + à risque de lésion vasculaire suite à luxation + plexopathie complète
31
Quels sont les stabilisateurs passifs et dynamiques de l'articulation gléno-humérale?
* Passif : Glénoide (os) * Passif : Labrum * Ligaments gléno-huméraux = stabilisateurs statiques * Coiffe des rotateurs = stabilisateurs dynamiques
32
Suite à luxation gléno-humérale antérieure, quelle structure nerveuse est à risque?
n axillaire ## Footnote Tester sensibilité lat de l'épaule!!
33
Vous suspecter une luxation de l'épaule, quel RX demandez-vous? ## Footnote Bon pour ant et post:)
* AP de Neer (45 degrés) : si on voit superposition = luxation (mais on sait pas de quel côté) * Latérale Neer (signe de mercedes) * Axillaire (parfois refusé par pt car trop dlr) ## Footnote **Careful pcq AP de l'épaule sera tjs superposée = manque des dx, c'est pourquoi faut demander AP Neer**
34
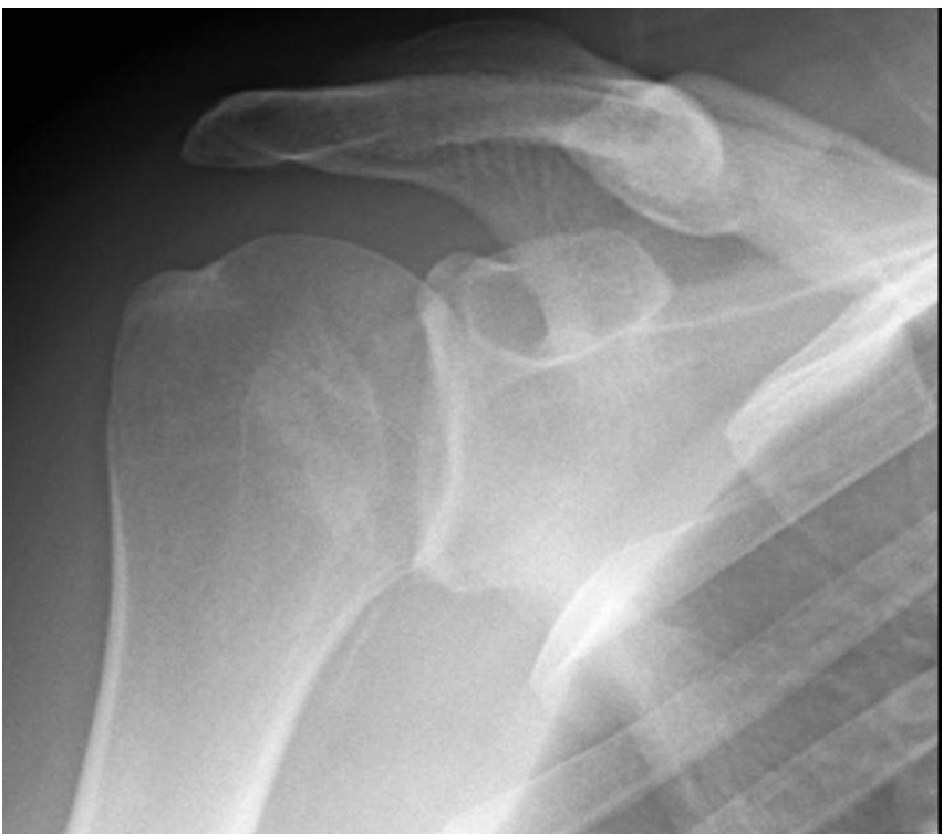
# Voyez-vous une luxation sur cette AP de Neer gléno-humérale?
oui ## Footnote superposition tete humerus et glénoide
35
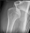
# AP latérale de NEER, votre dx?
luxation antérieure ## Footnote Boule est pas dans le centre du Y Boule dans cage thoracique/poumon = antérieure
36
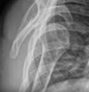
# Voici une vue axillaire, votre dx?
normale (pas de luxation) ## Footnote si déplacé vers acromion = post vers coracoide = ant
37
Que devez-vous vérifier avant de réduire votre luxation gléno-humérale antérieure?
R/O fx col anatomique ou chirurgical de l'humérus => PAS DE RÉDUCTION ## Footnote TT les autres fractures (ex. grosse tubérosité) : OK pour réduire
38
what is this
Défaut hill-sachs postéro-supérieur : trace d'une luxation antérieure qui a eu lieu
39
combien de temps immobiliser pt post luxation gléno-humerale
## Footnote jeune = gros risque de reluxer vieux = ankylose ou capsulite
40
Pt de 41 ans se présente 3M post-luxation gléno-humérale pour dlr persistante, présente des amplitudes passives diminuées. Votre dx le + probable?
capsulite
41
Pt de 41 ans se présente 3M post-luxation gléno-humérale pour dlr persistante et faiblesse, présente des amplitudes passives normales. Votre dx le + probable?
Déchirure de la coiffe
42
1-Une patiente de 56 ans se présente avec une douleur à l'épaule droite et une limitation importante de ses mouvements gléno-huméraux en passif, notamment la rotation externe qui est à 0°. Lequel, parmis les diagnostics suivants, ne peut donner un tel tableau. a) Capsulite b) Bursite sous-acromiale c) Luxation gléno-humérale postérieure d) Arthrite septique e) Arthrose de l'épaule
b