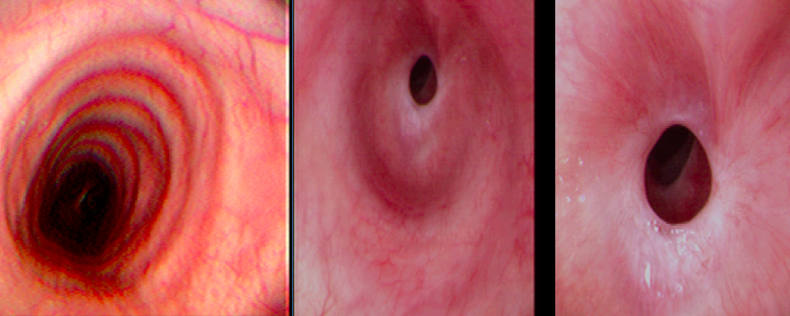
What is the difference between the airway on the left and those on the right -> how will this affect the flow-volume curves?


What are 6 important PFT’s?
How do flow-volume graphs vary by lung disease type?

What are 2 important things to evaluate when looking at a Spirometry output?
What is the difference between the normal forced expiration curve and that in restrictive disease (image)?

What does spirometry measure?
When is the TLC reduced? What about the VC?
What is going on here?


What are the clinical application and indications for diffusion PFT’s (i.e., DLCO)?
What happens to the flow-volume curve with a fixed UA obstruction?
Hamburger bun loop
What things can affect the DL?
What is the mechanism of dyspnea in pts w/COPD?

What is the lung diffusing capacity? How is it measured?
What 4 values are determined by PFT’s?
How is spirometry done?
What happens to DLCO in pulmonary vascular disease?
Isolated reduction in DLCO
What is dynamic hyperinflation?
A reduction in inspiratroy capacity during exercise (common in COPD -> dyspnea)
What are the indications for PFT’s?
How is the quality of this graph?

How do you determine the severity of a DLCO abnormality? What might cause this value to be high?
Is peak flow effort dependent?
Yes
What does the use of PEEP do?
What are the techniques for measuring DLCO?

What is a bronchoprovocation test? Why might you use it?