What are the important properties of Bacillus anthracis?
What are the epi and transmission of B. anthracis?

What are the important B. anthracis virulence factors?
What is the pathogenesis of B. anthracis?

What are the clinical findings for B. anthracis?

What are 2 ways that anthrax can cause death?

How do you diagnose and treat B. anthracis?
Why do we need to know about these diseases?
What are the important properties of Brucella spp.?
What are the epi and transmission of Brucella spp.?

What is the pathogenesis of Brucella?
What are the clinical findings with Brucellosis? Differential?

How do you diagnose and treat brucellosis?
What are the important properties, epi, and transmission of Burkhoderia pseudomallei (meliodosis or Whitmore’s disease)?

What is the pathogenesis of Burkholderia pseudomallei (Bp)?
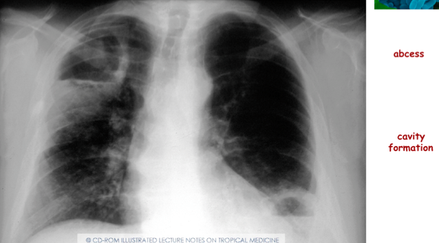
What are the clinical findings associated with Burkholderia pseudomallei (Bp)?

How do you diagnose and treat Burkholderia pseudomallei (Bp)?