What is BCG also used for?
To treat bladder cancer
What are the risk factors for TB?
What are the basic TB tx regimens (chart: preferred and alternatives)?

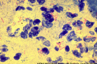
What is this?

What are the 2 main side effects for INH?
What is the MOA of Ethambutol?
What are the first-line and alternative agents for treating TB?
Why is the IGRA test important?
What is the difference between TB infection and active disease?
What are some of the new TB drugs in devo (image)?
Probably don’t need to know these

How is TB related to HIV?
What are the AE’s of Isoniazid?
Why is TB difficult to diagnose in HIV+ patients?
Briefly describe the MOA’s of the 4 first-line anti-TB drugs (image).

What is the critical cytokine for the control of TB?
What are the treatment options for latent TB infection? Which tx is more frequently completed?

What are the MOA, resistance, and spectrum of Rifampin?
What is resistant TB? What is the main risk factor?
What should you do before treating patients for latent TB?
Make sure patients do not have active disease -> get a CXR
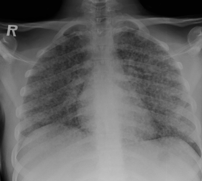
What are some of the clinical manifestations of miliary/disseminated TB? CXR?

How is Isoniazid absorbed, distributed, metabolized, and excreted?
How do you diagnose latent TB?
How are Rifabutine and RPT related to RIF?
<p>2. <u>RPT</u>: longer half-life than Rifabutine and RIF, so it can be given only once weekly (intermediate to RIF and Rifabutine as a CYP inducer) </p>
</potent>
What is the main toxicity associated with Ethambutol?
Ocular toxicity