Choanal Atresia
VACTERL Association
Mesodermal defects
A group of associated birth defects consisting of
Duodenal Atresia
Clinical Presentation:
X-ray of the abdomen
Preoperative management
Surgery → bypass the atresia or stenosis


Duodenal Atresia

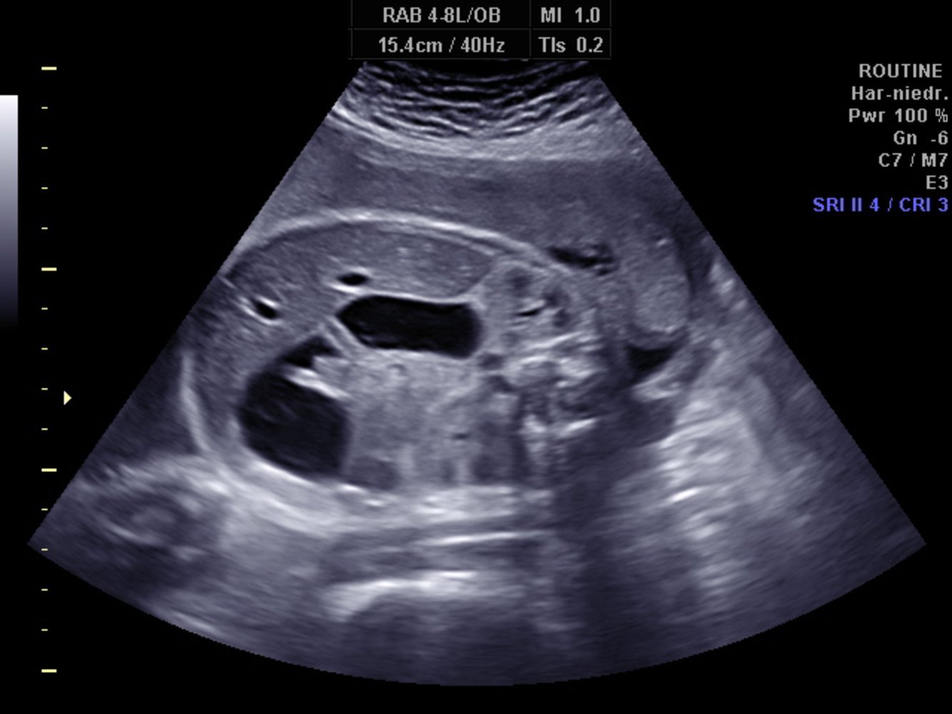
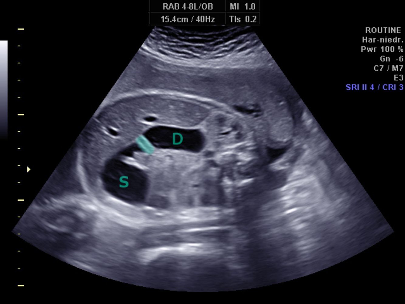
Double Bubble Sign on Ultrasound Seen in Duodenal Atresia
S → stomach
D → proximal duodenum
Shaded area → pyloric sphincter


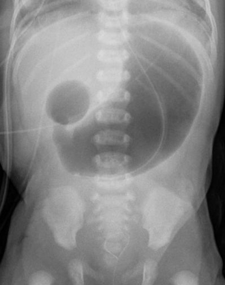
Duodenal Atresia in a Newborn
(dilation of the pre-stenotic bowel segments (duodenum (D) and stomach (S)) with an air-fluid level in each dilated segment (double bubble sign). No air is visible in the post-stenotic bowel loops)

Ileal Atresia

Jejunal Atresia


Apple Peel or Christmas Tree Seen in Jejunal Atresia
Hypertrophic Pyloric Stenosis
Etiology:
Clinical Presentation:
Findings:
Conservative measures → before surgery
Treatment of choice → pyloromyotomy (a longitudinal muscle-splitting incision of the hypertrophic sphincter)
Pancreas Location

The uncinate process is _______ to the superior mesenteric vessels. The head, body, and tail of the pancreas lie ______ to the superior mesenteric vessels.
Posterior; anterior
Tumors in the pancreatic ____ often cause bile duct obstruction and can manifest with painless jaundice (Courvoisier sign).
Head
Innervation of the Pancreas
Lymphatics of the Pancreas
Celiac, superior mesenteric, and splenic lymph nodes → paraaortic lymph nodes
Vasculature of the Pancreas
Arteries
Veins

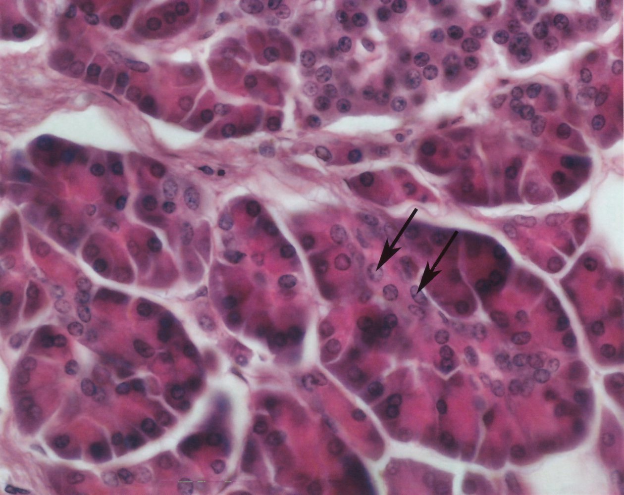
Microstructure of the exocrine pancreas
The functional unit (acinus) of the exocrine pancreas is visible:

Exocrine Pancreas

Endocrine Pancreas

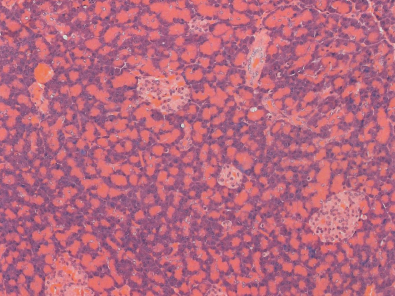
Parenchyma of pancreas
Composed predominantly of deeply staining exocrine acinar cells (example indicated by white dashed outline) and a few scattered islets of Langerhans composed of pale-staining endocrine cells (red overlay). The acinar cells are pyramidal in shape. They have a basophilic base (because of an abundance of rough endoplasmic reticulum) and an eosinophilic apex (because of an abundance of zymogen granules). Centroacinar cells (green overlay; black arrows) are the epithelial cells of the pancreatic ducts and are identifiable as pale-staining cells located centrally within the acini. Centroacinar cells secrete bicarbonate. The Islets of Langerhans are composed of clusters of pale, round endocrine cells that produce insulin, glucagon, and somatostatin.


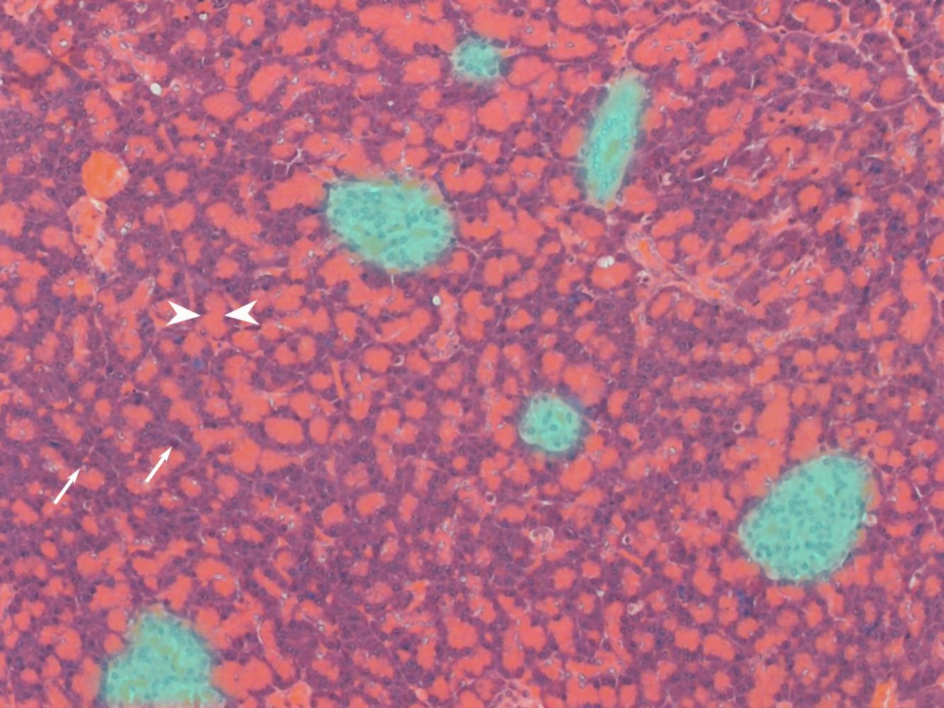
Pancreatic acini and islets of Langerhans
Pancreatic parenchyma is composed predominantly of deeply staining exocrine acinar cells among which are scattered islets of Langerhans composed of pale-staining endocrine cells. Acinar cells are pyramidal in shape. The base of acinar cells is basophilic (examples indicated by white arrows) because of an abundance of rough endoplasmic reticulum and basally located nuclei. The apex of acinar cells is brightly eosinophilic (examples indicated by white arrowheads) because these cells contain abundant zymogen granules. The endocrine cells of the islets of Langerhans (green overlay) are pale and round and produce insulin, glucagon, and somatostatin.


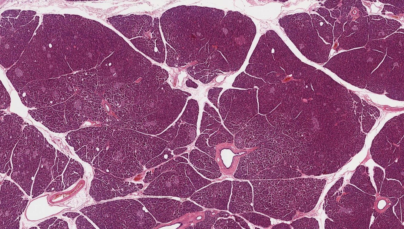
Parenchyma of the pancreas
The pancreas is encapsulated by a thin connective tissue capsule and surrounded by peripancreatic fat. The pancreatic parenchyma is divided into lobules by connective tissue septae in which lie blood vessels, nerves, and branches of the pancreatic ducts. Each lobule of the pancreas is composed of clusters of dark-staining exocrine acinar cells that contain pancreatic zymogens. Scattered amid the acinar cells are the islets of Langerhans composed of pale-staining endocrine cells that secrete pancreatic hormones. Centroacinar cells are the epithelial cells of the pancreatic ducts and are located at the center of the pancreatic acini. Centroacinar cells secrete bicarbonate.
Pancreatic Ducts
Exocrine Pancreatic Secretions
The pancreatic fluid is isotonic.
It contains the following: