Gastritis Etiology
Erosive Gastritis
Nonatrophic Gastritis
Atrophic Gastritis
Chronic Gastritis
Acute Gastritis
Curling ulcer
Cushing ulcer
Ménétrier Disease


Hypertophic Gastropathy
(Menetrier Disease)

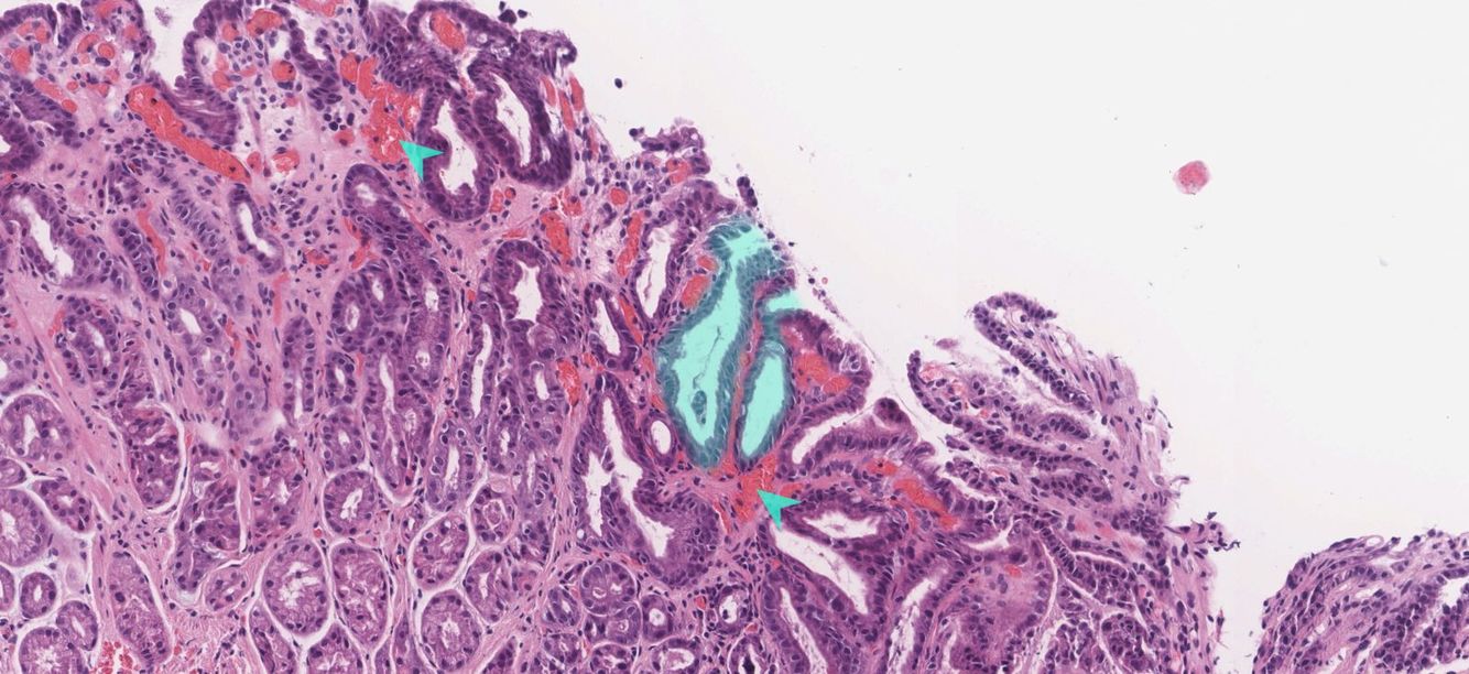
Foveolar Hyperplasia

Green overlay → foveolar hyperplasia, i.e. hyperplastic antral glands
Green arrows → hyperemia in the lamina propria
Gastric Cancer Risk Factor
Virchow Node
Sister Mary Joseph Node

Blumer Shelf

Sister Mary Joseph Nodule
A 2-cm, well-demarcated, protuberant, round, purple nodule is visible in the umbilicus. The lesion shows central ulceration and an accumulation of fluid can be seen in the umbilical crease.
This finding suggests a metastatic lesion of an intraabdominal or pelvic malignancy, referred to as a Sister Mary Joseph nodule. Blood tests, imaging, and histopathological analyses of biopsy materials are required to confirm the diagnosis

Gastric Cancer

Endoscopy view of the gastric antrum
There is a gastric mass at the level of the lesser curvature with an irregular margin (perimeter marked by green outline) and central ulceration (green overlay).
These findings are consistent with gastric cancer.

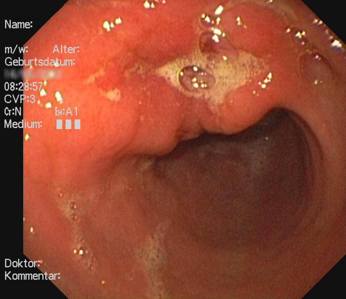
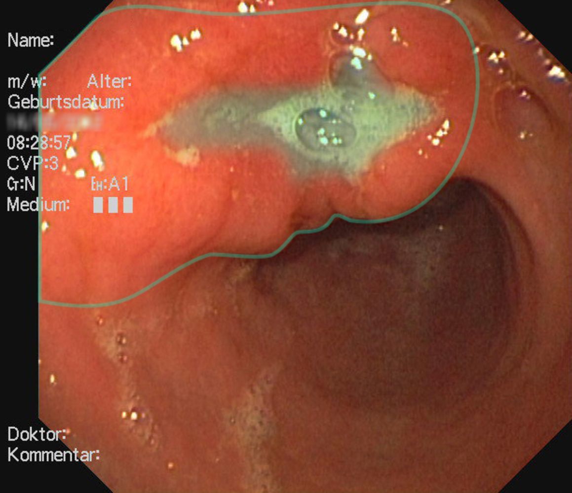
Gastric cancer

Endoscopy view of the gastric antrum
There is a gastric mass at the level of the lesser curvature with an irregular margin (perimeter marked by green outline) and central ulceration (green overlay).
These findings are consistent with gastric cancer.
Gastric Cancer Markers
Intestinal Type Gastric Carcinoma
Diffuse Type Gastric Carcinoma


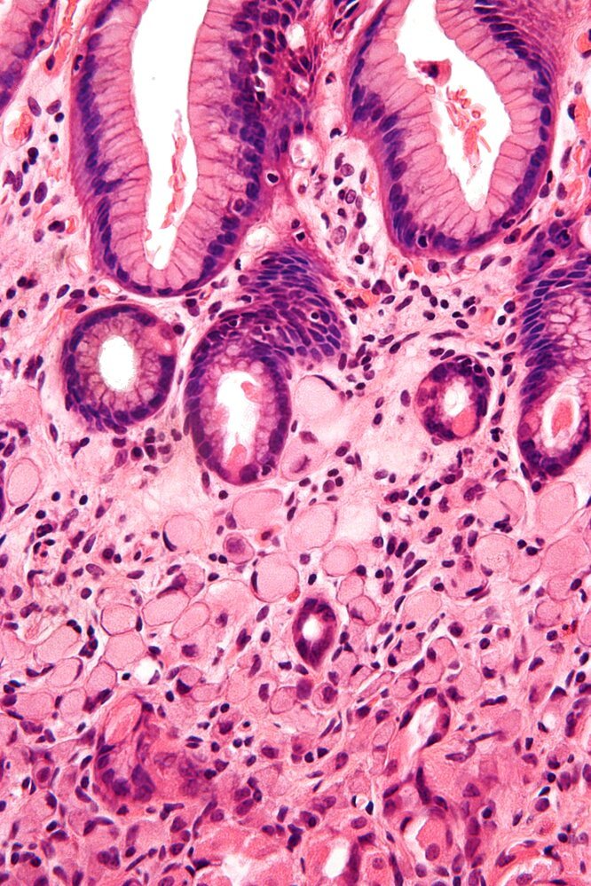
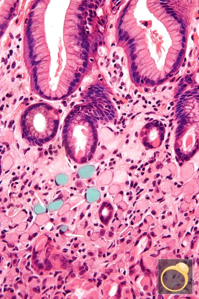
Gastric Signet Ring Cell Carcinoma

Multiple cells with peripheral nuclei (examples indicated by white arrows) and engorged cytoplasm (examples indicated by green overlay) are visible.
These morphological features are characteristic of gastric signet ring cell carcinoma.

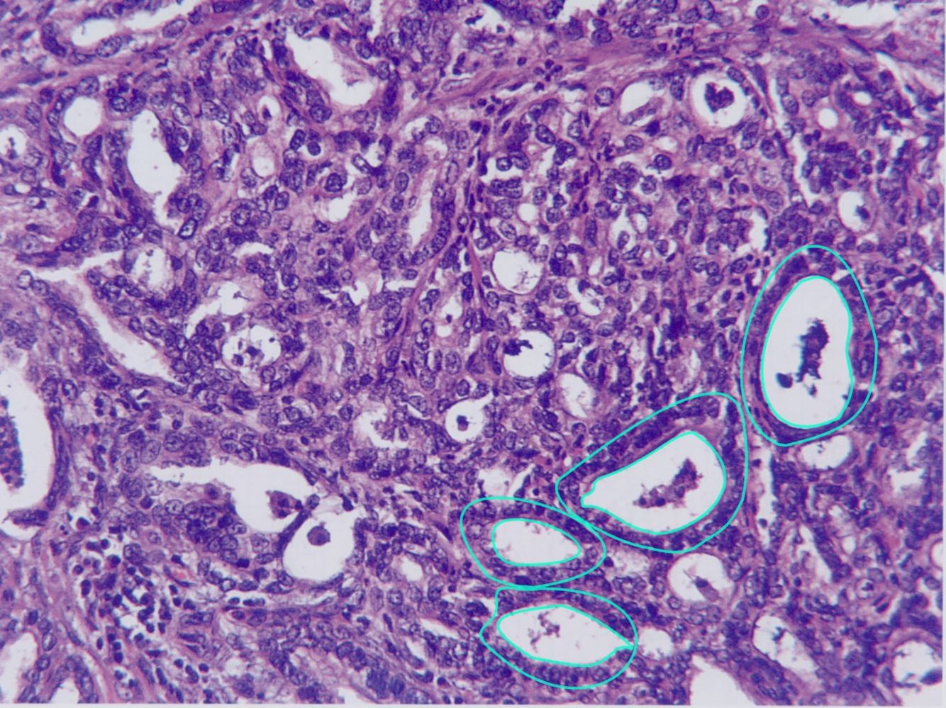
Gastric Adenocarcinoma

There are atypical cells forming glandular structures (green circles) of various sizes with intraluminal debris.
These findings are consistent with gastric adenocarcinoma.
Gastrointestinal Stromal Tumor (GIST)
