List the complications of nephrotic and nephritic syndrome.
NEPHROTIC
NEPHRITIC
What are the 5 main causes of generalised swelling?
Causes of haematuria in children?
Signs of nephrotic vs nephritic syndrome?
NEPHROTIC
NEPHRITIC
What is IgA nephropathy?
What is PSGN?
Post strep glomerulonephritis
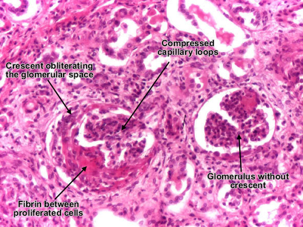
What is rapidly progressive glomerulonephritis?
crescentic glomerulonephritis

What is MPGN?
Membranoproliferative glomerulonephritis
What is membranous glomerulonephropathy?
aka. wire loop nephropathy
* nephrotic syndrome
PRIMARY
Auto-Ab to podocyte Ag (Phospholipase A2)
SECONDARY (more common)
▪ Infections = HBV, Malaria
▪ Autoimmune = SLE
▪ Drugs = NSAIDs, captopril
▪ Inorganic Salts = Gold, Mercury,
Pathogenesis:
→ Ab against podocyte Ag (or planted Ag)
→ Subepithelial Ig deposits
→ Directly activates Complement (C5b-C9 + MAC).
→ Only proteinuria, no inflammation