Genetic Disorders Flashcards

(52 cards)

1
Q

Marfan Syndrome

  1. What is the mutation?
  2. What is its inheritance pattern?
  3. What structure does it affect?
  4. What is its function?
  5. What are the symptoms?
A
  1. FBN1 gene on 15q
  2. Autosomal dominant (80% genetic)
  3. Fibrillin-1 (ECM protein)
    • prevents correct microfibril elastic fiber formation
  4. Component of microfibril elastic fibers
    • aorta
    • ligaments
    • ciliary zonules (holds lens in place)
    • Excess TGFß b/c no microfibrils to sequester it
  5. Symptoms:
    • Arachnodactyly (long extremeties and long fingers)
    • Deeply depressed sternum
    • Ectopia lentis (dislocation of the lens)
    • CV disease:
      • mitral valve prolapse (most common)
      • Dilation of aortic valve ring/root of aorta –> rupture
How well did you know this?
1
Not at all
2
3
4
5
Perfectly
2
Q

Ehlers-Danlos Syndromes

  1. What is its inheritance pattern?
  2. What structure does it affect?
  3. What is its function?
  4. What are the symptoms?
A
  1. Autosomal dominant (80%) genetic
  2. fibrillar collagen (lack of tensile strength)
  3. part of ECM: holds things together
  4. Classic form syptoms: (w/Hypermobility variant)
    • hyperextensible/stretchable skin
    • vulnerable to damage
    • Joint hypermobility
    • atrophic scars
  5. Other variants:
    • diaphragmatic herniation
    • Ocular fragility (retinal detatchment/rupture cornea)
How well did you know this?
1
Not at all
2
3
4
5
Perfectly
3
Q

Classical form of Ehlers-Danlos syndrome

A
  1. Hyperextensible/stretchable skin
  2. Vulnerable to damage from minor trauma
  3. Hypermobile joints (Hypermobility variant)
  4. Atrophic scars (Hypermobility variant)
How well did you know this?
1
Not at all
2
3
4
5
Perfectly
4
Q

Characteristics of Vascular Ehlers-Danlos syndrome

  1. Type of abnormal collagen
  2. Symptoms
A
  1. Type III collagen
  2. Symptoms:
    • Rupture of uterus, colon, large arteries
How well did you know this?
1
Not at all
2
3
4
5
Perfectly
5
Q

Characteristics of Kyphoscoliosis Ehlers-Danlos syndrome

  1. Inheritance pattern
  2. Symptoms
A
  1. Autosomal recessive
  2. Symptoms:
    • Congenital Scoliosis
    • Joint laxity
How well did you know this?
1
Not at all
2
3
4
5
Perfectly
6
Q

Characteristics of Arthrochalasia EDS

  1. Inheritance pattern
  2. Specific Defect
  3. Symptoms
A
  1. Autosomal dominant
  2. Problems converting Type I procollagen to collagen
  3. Symptoms: Joint hypermobility
How well did you know this?
1
Not at all
2
3
4
5
Perfectly
7
Q

Characteristics of dermatosparaxis EDS

  1. Inheritance pattern
  2. Specific Defect
  3. Symptoms
A
  1. Autosomal dominant
  2. defective conversion of type I procollagen to collagen
  3. Symptom: severe skin fragility
How well did you know this?
1
Not at all
2
3
4
5
Perfectly
8
Q

Hypermobility variant of EDS

  1. Associated with what other form?
  2. Symptoms
A
  1. With classical form
  2. Symptoms:
    • joint hypermobility
    • joints painful, predisposed to dislocation
    • Atrophic scar
How well did you know this?
1
Not at all
2
3
4
5
Perfectly
9
Q

Familial Hypercholesterolemia

  1. What is its inheritance pattern?
  2. What structure does it affect?
  3. What is its function?
  4. What is the difference in expression between heterozygotes and homozygotes? symptoms?
  5. What is the treatment?
A
  1. Autosomal dominant
  2. Mutation in gene for LDL receptor –>
  3. Uptake of LDL (low LDL –> overproduction of cholesterol)
  4. Difference:
    • Homozygotes: 5-6x normal Cholesterol levels
      • xanthomas
      • premature atherosclerosis
      • MI before age 20
    • Heterozygotes: 2-3x normal lvls
      • premature atherosclerosis
  5. Treatment: Statins
    • Inhibit HMG CoA reductase
      • (-) cholesterol synthesis
How well did you know this?
1
Not at all
2
3
4
5
Perfectly
10
Q

What are the 5 classes of LDL receptor mutations?

A
  1. Type 1
    • no receptor synthesis
  2. Type 2
    • Folding defect in LDL receptor
    • doesn’t leave ER
  3. Type 3
    • no or poor LDL binding to receptor
  4. Type 4
    • Receptor not in clathrin-coated pit, so bound LDL is not internalized
  5. Type 5
    • LDL not released from receptor,so receptor is not recycled
How well did you know this?
1
Not at all
2
3
4
5
Perfectly
11
Q

What is pleotrophism?

A

a single gene affects a number of phenotypic traits in the same organism.

How well did you know this?
1
Not at all
2
3
4
5
Perfectly
12
Q

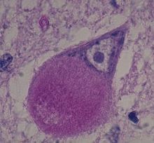
Tay-Sachs disease

  • Symptoms:
  • Defect:
  • Protein accumulated in cells
  • Cytology
A
  • Symptoms:
    • rapidly deteriorating motor and mental functioning at about 6 months of age
    • Cherry red spot in the macula
  • Defect:
    • deficiency in hexosaminidase-alpha subunit
    • gene on 15q
  • Protein:
    • GM2 Ganglioside
  • Cytology:
    • Neurons enlarged
    • whorls of membrane layers in lysosomes
How well did you know this?
1
Not at all
2
3
4
5
Perfectly
13
Q

Diagnose:

Patient is 6 months old. Presents with rapidly deteriorating motor and mental functioning. Exam finds cherry red spot in the macula.

  1. What is the disease?
  2. What is the pathology?
A

Tay-Sachs disease

  • Defect:
    • deficiency in hexosaminidase-alpha subunit
    • gene on 15q
  • Protein:
    • GM2 Ganglioside
How well did you know this?
1
Not at all
2
3
4
5
Perfectly
14
Q

Neimann-Pick Disease Type A

  • Symptoms:
  • Defect:
  • Protein accumulated in cells
  • Cytology
A
  • Symptoms: Severe infantile form
    • CNS involvement
    • Hepatosplenomegaly
  • Defect:
    • deficiency in sphingomyelinase
  • Protein accumulated in cells
    • sphingomyelin
  • Cytology
    • Foamy cells from accumulation of lipid
How well did you know this?
1
Not at all
2
3
4
5
Perfectly
15
Q

Neimann-Pick disease type B

  • Symptoms:
  • Defect:
  • Accumulation in cells
  • Cytology
A
  • Symptoms:
    • little or no CNS involvement
    • Respiratory insufficiency
    • Hepatoslenomegaly
  • Defect:
    • Deficiency in sphingomyelinase
  • Protein accumulated in cells
    • sphingomyelin
  • Cytology
    • foamy cells due to accumulation of lipid
How well did you know this?
1
Not at all
2
3
4
5
Perfectly
16
Q

Neimann-Pick Type C

  • Symptoms:
  • Defect:
  • Accumulation in cells
A
  • Symptoms:
    • Neuronal degeneration (CNS effects)
    • Hepatosplenomegaly
  • Defect:
    • NPC1 gene mutation: impaired regulation of cholesterol
    • NPC2 gene mutation: impaired release of free cholesterol from lysosomes
  • Protein accumulated in cells:
    • cholesterol and glycolipids in lysosomes
How well did you know this?
1
Not at all
2
3
4
5
Perfectly
17
Q

Gaucher Disease

  • Symptoms:
  • Defect:
  • Accumulation in cells
  • Cytology
A
  • Symptoms:
    • varies by type
    • Often CNS manifestations (type II and III)
    • hepatosplenomegaly (Type I)
    • Anemia (Type I)
    • Pathological fractures (Type I)
  • Defect:
    • Deficiency of glucocerebrosidase
  • Accumulation in cells
    • Glucocerebroside
    • Accumulates in phagocytes
  • Cytology
    • Gaucher cells (phagocyte, accumulation makes them foamy)
How well did you know this?
1
Not at all
2
3
4
5
Perfectly
18
Q

Diagnose:

Patient is a few months old. Presents with CNS dysfunction and seizures along with hepatosplenomegaly. Cytology shows foamy macrophages.

  • What is the disease? Be specific.
  • What is the defect?
  • What is the treatment?
A

Gaucher Disease Type II

  • Defect: deficiency of glucocerebrosidase (accumulation)
  • Treatment:
    • Recombinant glucocerebrosidase
    • Bone marrow transplant

(Type III onset in mid-to late childhood)

How well did you know this?
1
Not at all
2
3
4
5
Perfectly
19
Q

Diagnose:

Patient presents with hepatosplenomegaly, anemia, bone pain and pathological fractures. Cytology shows foamy macrophages.

What is the disease? Be specific.
What is the defect?
What is the treatment?

A

Gaucher Disease Type I

  • Deficiency of glucocerebrosidase
  • Treatment:
    • Recombinant glucocerebrosidase
    • Bone marrow transplant
How well did you know this?
1
Not at all
2
3
4
5
Perfectly
20
Q

Hurler’s syndrome/Mucopolysaccharidosis I

  • Symptoms:
  • Defect:
  • Accumulation in cells
  • Cytology
A
  • Symptoms:
    • organomegaly
    • Growth and mental retardation
    • Skeletal deformities
    • Corneal clouding (different from MPSII/Hunters)
  • Defect:
    • deficiency in alpha-L-iduronidase
  • Accumulation in cells
    • Dermatan sulfate
    • Heparan sulfate
    • (both are glycosaminoglycans)
  • Cytology
    • Enlarged, vacuolated nurons
How well did you know this?
1
Not at all
2
3
4
5
Perfectly
21
Q

Diagnose:

Patient presents with growth and mental retardation, skeletal deformities, and corneal clouding. Cytology shows enlarged/vacuolated neurons with dermatan and heparan sulfate accumulations

  • What is the disease?
  • What is the defect?
A

Hurler’s syndrome

  • Defect:
    • deficiency in alpha-L-iduronidase
    • Accumulation of dermatan and heparan sulfate
22
Q

Hunter’s Syndrome/Mucopolysaccharidosis II

  • Symptoms:
  • Defect:
  • Accumulation in cells
  • Cytology
A
  • Symptoms:
    • growth and mental retardation
    • Skeletal deformities
  • Defect:
    • deficiency in iduronate=2=sulfatase
  • Accumulation in cells
    • Dermatan and heparan sulfate
23
Q

Diagnose:

Patient presents with growth and mental retardation and skeletal deformities. Cytology shows an accumulation of dermatan and heparan sulfate.

  • What is the disease?
  • What is the defect?
A

Hunter syndrome (MPSII)

  • Defect:
    • iduronate-2-sulfatase
  • Corneal clouding does not occur as in MPSI
24
Q

Von Gierke Disease

  • Symptoms:
  • Defect:
  • Accumulation in cells
  • Cytology
A

Type I glycogenosis

  • Symptoms:
    • hepatomegaly (glycogen storage)
    • hypoglycemia (no glycogenolysis)
  • Defect:
    • deficiency in glucose-6-phosphatase
  • Accumulation in cells
  • Cytology
25
Diagnose: Patient presents with hepatomegaly and hypoglycemia. There is an excess of glycogen stored in the liver. * What is the disease? * What is the defect?
Von Gierke disease * Defect: * deficiency in glucose-6-phosphatase, so no gluconeogenesis
26
McArdle disease * Symptoms: * Defect: * Accumulation in cells
Type V glycogenosis * Symptoms: * painful muscle cramps and weakness following exercise * Defect: * deficiency in muscle phosphorylase * Accumulation in cells * glycogen in muscle
27
Diagnose: Patient presents with painful muscle cramps and weakness following exercise. * What is the disease? * What is the defect?
McArdle disease * Defect: * deficiency in muscle phosphorylase * accumulation of glycogen
28
Pompe disease * Symptoms: * Defect: * Accumulation in cells
* Symptoms: * Cardiomegaly * death by cardiorespiratory failure in first 2-3 years of life * Defect: * deficiency of alpha-glucosidase * Accumulation in cells * glycogen
29
Phenylketonuria * Symptoms: * Defect: * Accumulation in cells * Management
* Symptoms: * mental retardation * progressive demyelination * decreased pigment (hair/skin) * **must body odor** * Defect: * phenylalanine hydroxylase mutant * can't convert phenylalanine to tyrosine * Accumulation in cells * phenylalanine * Management: * low phenylalanine diet
30
Alkaptonuria * Symptoms: * Defect: * Accumulation in cells * Management
* Symptoms: * arthritis of large joints * ochronosis in joints (turns blue-black) * **Black urine** on standing * Defect: * deficiency of homogentistic oxidase * incomplete metabolism of phenylalanine and tyrosine * Accumulation in cells * homogentistic acid * Management * Control phenylalanine and tyrosine intake
31
Maple syrup urine disease * Symptoms: * Defect: * Accumulation in cells * Management
* Symptoms: * mental and physical retardation * **maple syrup odor to urine** * Defect: * defective branched-chain alpha-keto acid dehydrogenase complex * Accumulation in cells * branched chain amino acids * Management * control intake
32
Neurofibromatosis type I * Symptoms: * Defect:
* Symptoms: * Neurofibromas * Cafe au lait spots (cutaneous pigmentation) * **Lisch nodules** in iris * Defect: * **NF1** gene mutation * Mutant **neurofibromin** (normally downregulates RAS to inhibit cell growth) * abnormal growth
33
Neurofibromatosis type II * Symptoms: * Defect:
* Symptoms: * **Meningiomas** * **Acoustic schwannomas** * Cafe au lait spots * Defect: * **NF2** gene mutation (tumor suppressor gene) * Product is **merlin** (normally regulates contact inhibition and proliferation of schwann cells)
34
Trisomy 13/ Patau syndrome * Symptoms * Cause
* Symptoms: * Midline abnormalities * cleft lip/palate * ocular abnormalities (closeness, cyclopia) * polydactyly * Rocker bottom feet * Causes: Trisomy 13 * Meiotic nondisjunction * Unbalanced translocation * mosaic
35
Where is the Down Syndrome critical region located?
21q22
36
DiGeorge's Syndrome * Defect * Deficiency * Symptoms and Patholgy
aka: Congenital tymic aplasia/velocardiofacial syndrome * Defect: deletion of 22q11.2 * Deficiency: T cells * Symptoms and Pathology: **CATCH 22** * **C**ardiac = congenital defects * **A**bnormal facies * **T **cell deficiency (recurrent infections) * incomplete development of thymus * **C**left palate * **H**ypocalcemia * incomplete development of parathyroid * Hypoparathyroidism * **22** deletion of 22q11
37
Diagnose: Patient presents with disproportionately long legs, gynacomastia, hypogonadism, and infertility. * What is the disease? * What is the defect? * genetic * endocrine
Klinefelter syndrome * Genetic Defect: * extra X chromosomes (XXY) * nondisjunction or mosaic * Endocrine Cause: * decreased T levels * Elevated estradiole and FSH
38
Diagnose: Patient presents with short stature, webbed neck, low posterior hairline, infertility, and amenorrhea. History of lymphedema of hands and feet during infancy. * What is the disease? * What is the cause?
Turner Syndrome * Defect: 45 X female * nondisjunction, mostly paternal * structural abnormalities of X * mosaic
39
What are the causes of male pseudohermaphroditism?
1. tissue resistance to androgens (most common) * mutation in androgen receptor 2. defects in testosterone synthesis
40
What are the causes of female pseudohermaphraditism?
1. Congenital adrenal hyperplasia (most common) * increased androgen hormones * 21-hydroxylase deficiency 2. Androgen-secreting adrenal/ovarian tumor in mother 3. Hormones given to mother during pregnancy
41
Fragile X Syndrome * Symptoms * Gene involved * Repeat pattern
* Symptoms: * Mental retardation * macro-orchidism (enlarged testes) * Gene: * FMR-1 * produces **FMRP**: RNA binding protein associated with synaptic transmission * Repeat: * CGG * \>200 repeats for disease
42
Myotonic Musclular Dystrophy * Symptoms * Gene defect * Repeat pattern
* Symptoms * myotonia (inability to relax muscles after contraction) * weakness/wasting of muscles * cataracts * Gene defect * myotonin protein kinase gene * Repeat pattern * CTG * Repeats over 50
43
Huntington's Disease * Symptoms * Gene and protein involved * Repeat pattern
* Symptoms * mental impairment * chorea * Dysphagia and dysarthria * Gene and protein involved * **IT15 gene** that codes **Huntingtin protein** * repeat also inhibits **brain-derived neurotrophic factor** (needed for survival of neurons in striatum) * Repeat pattern * CAG
44
Leber's hereditary optic neuropathy * Symptoms * Inheritance pattern
* Symptoms: * bilateral progressive loss of vision * optic nerve atrophy * Inheritance pattern: mitochondrial
45
Chronic Progressive External Ophthalmoplegia * Symptoms * Inheritance Pattern
* Symptoms: * Presentation: bilateral drooping of superior eyelid * Paralysis of ocular muscles * Mitochondrial inheritance
46
Adult Polycystic Kidney Disease * Symptoms * Genetic defect
* Symptoms: * hematuria * palpable renal masses * 50% renal failure * defect in chromosome 16p * Autosomal dominant
47
Tuberous sclerosis * Symptoms
* Facial angiofibromas * Hypopigmented macules * Mental retardation Autosomal Dominant
48
Diagnose: Patient presents with Facial angiofibroma, Hypopigmented macules, and Mental retardation. * What is the disease?
Tuberous sclerosis
49
von Hippel-Lindau Disease * Symptoms:
* Hemangioblastomas * cerebellum, brain stem, retina * Adenomas and cysts * other organs
50
Galactosemia * Symptoms * Defect * Accumulation
* Symptoms: * infantile cataracts * Mental retardation * Cirrhosis * Defect: * deficiency in galactose-1-phosphate uridyl transferase * Accumulation: * galactose-1-phosphate
51
Fabry disease * Symptoms * Defect * Accumulation
* Symptoms: * skin lesions (angiokeratomas) * renal failure * Defect: * Deficiency of alpha-galactosidase A * Accumulation * ceramide trihexoside
52
Lesch-Nyhan Syndrome * Symptoms: * Defect * Accumulation
* Symptoms: * gout * mental retardation * Defect * impaired purine metabolism * Accumulation * uric acid