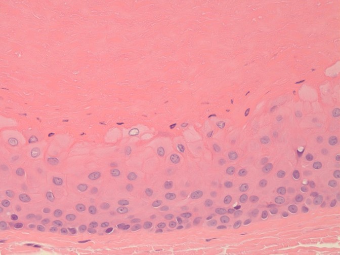
What is an Ephelis? What is the histology?
Ephelis
What are the differences between an ephelis and a cafe au lait spot?
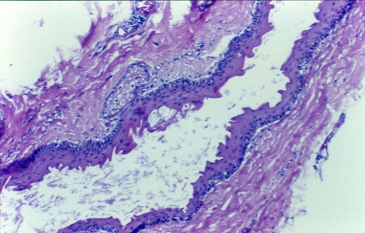
What disease process is pictured below?

Lentigo
Lentigo

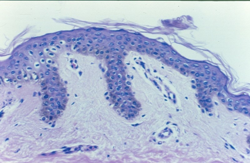
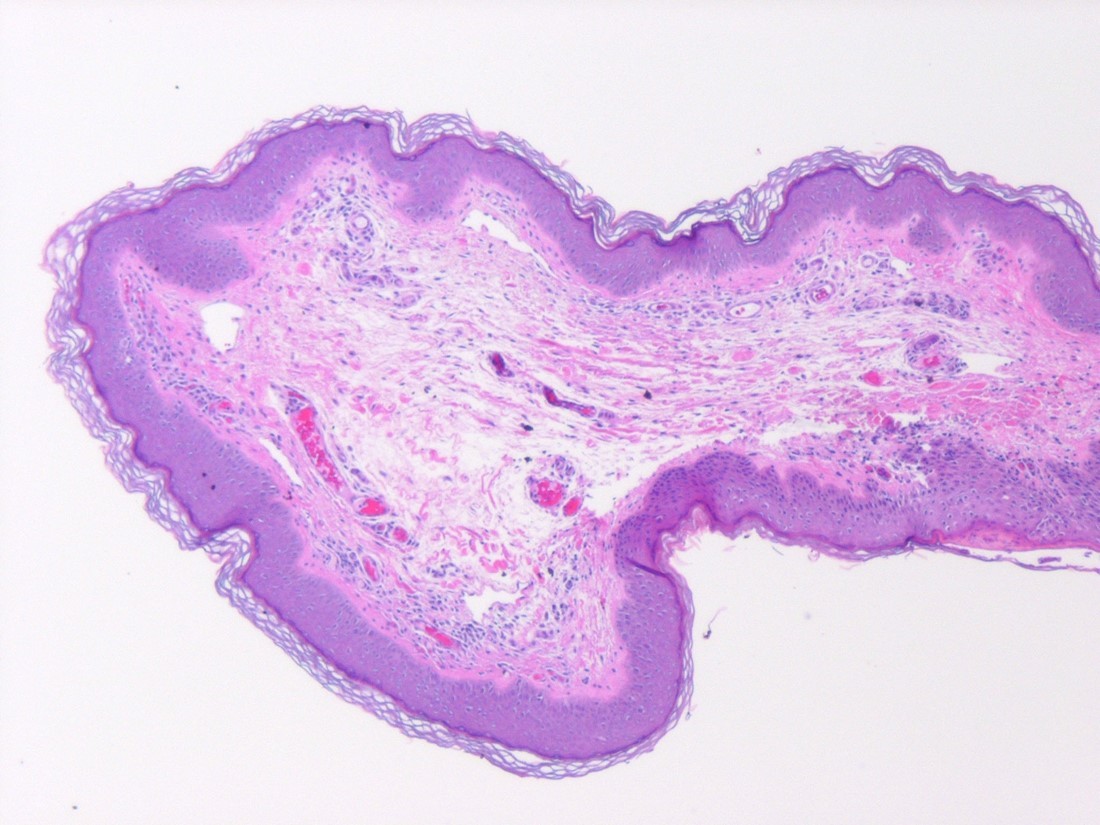
Junctional Nevus

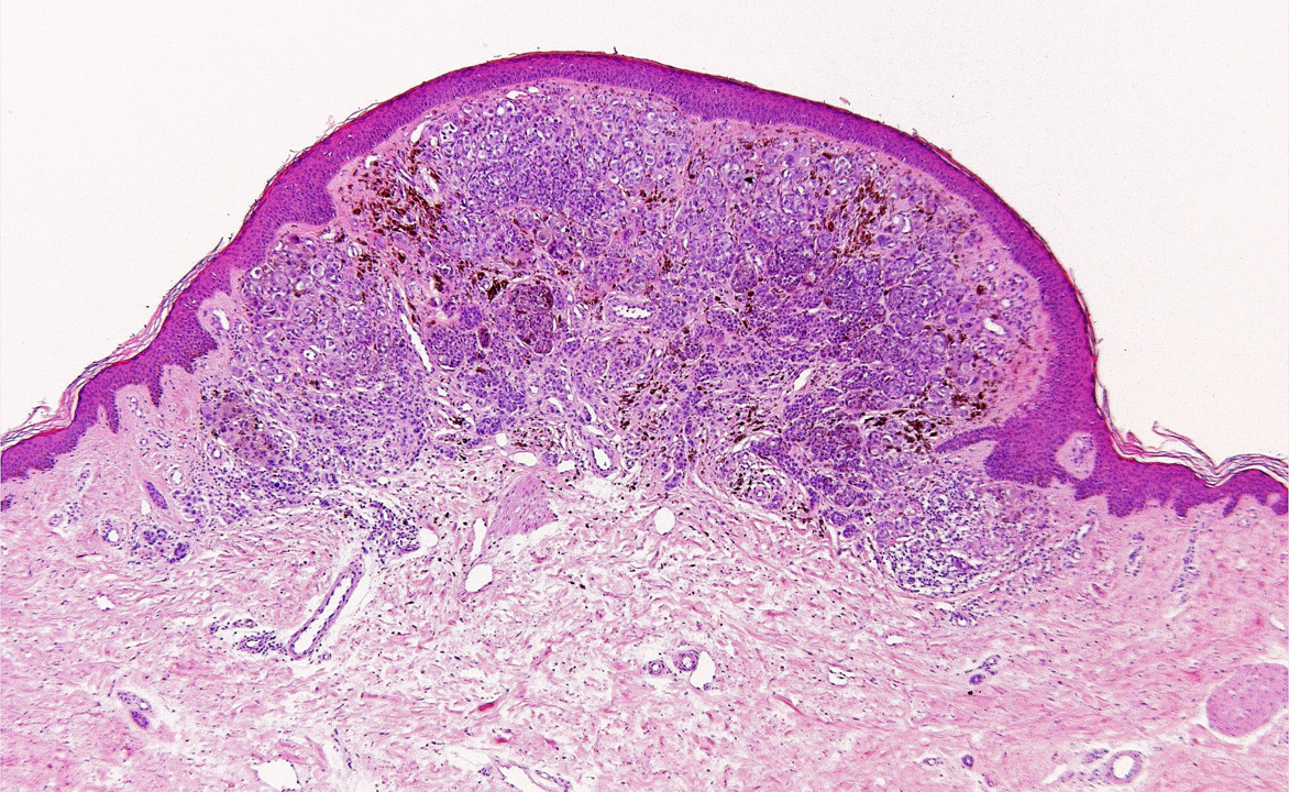
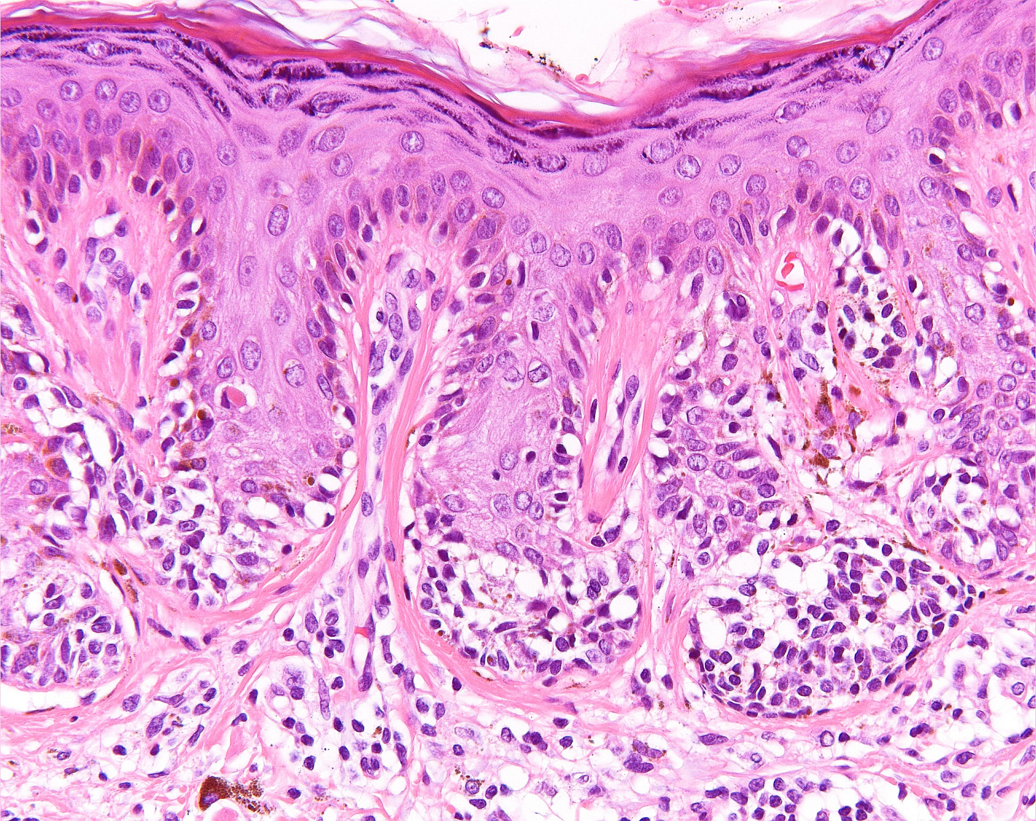
Compound Nevus

Intradermal Nevus


Mature Nevus
Maturation of nondysplastic nevi

Maturation sequence of nondysplastic melanocytic nevi.
What increases cancer risk in congenital nevi?
Size
Large = increased melanoma risk
Blue Nevus


What percent of people with Dysplastic Nevus Syndrome have melanoma by age 60?
50%
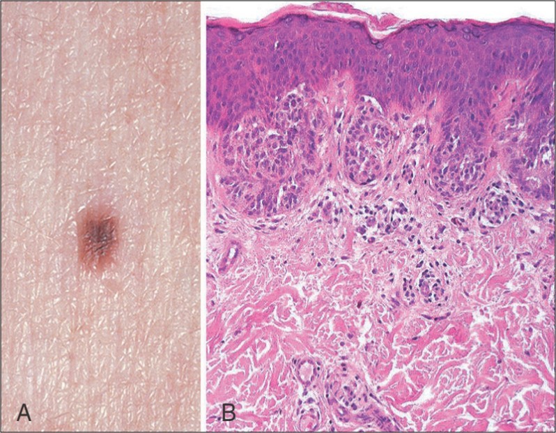
What are the microscopic characteristics of Dysplastic Nevi?


What are the first and second stages of growth in melanomas?
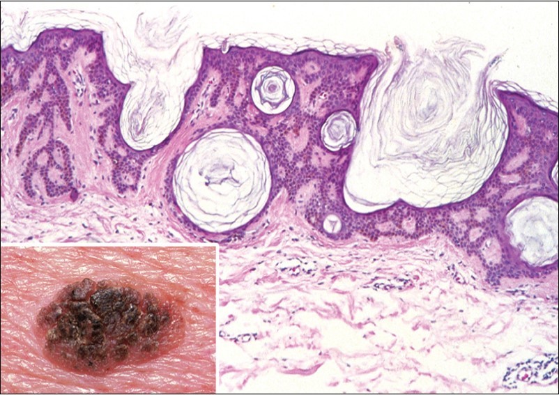
What disease process is pictured below?

Seborrheic keratosis

dark keratin-filled surface plugs (inset)
benign basaloid cells
prominent keratin-filled “horn” cysts, some of which communicate with the surface (pseudo-horn cysts).
What disease process is pictured below?

Acanthosis Nigricans

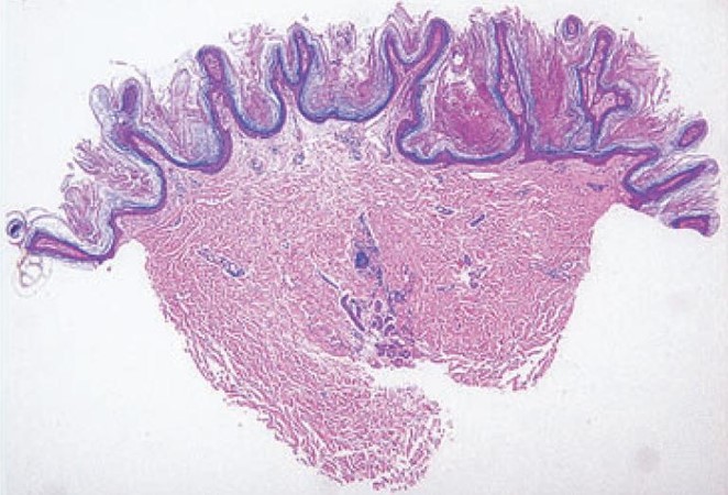
What disease process is pictured below?

Fibroepithelial polyp

What may be associated with fibroepithelial polyps?

What is the makeup of an Inclusion Epidermal Cyst?

What is the makeup of a Pilar / Tricholemmal Epidermal Cyst?

What is the makeup of a Dermoid Epidermal Cyst?
(just like inclusion but with hair follicles)

What is the makeup of a Steatoma Simplex Epidermal Cyst?
Sebeceous cyst
What is the mutation and inheritance pattern resulting in Steatocystoma multiplex Epidermal Cyst?
Mutation in keratin 17
AD

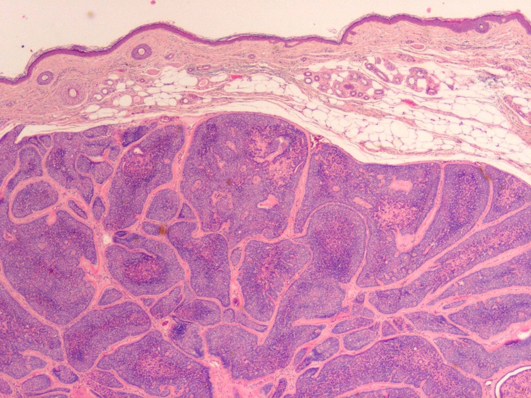
What disease process is pictured below?

Cylindroma
“Turban Tumor”
