Urinalysis Flashcards

(67 cards)

1
Q

What is pictured? What are some causes?

A

Red blood cells (crenated due to hypertonic urine).

Causes of hematuria: Renal or lwr UT disease

Ex: Urinary calculi, polycystic kidney, etc.

How well did you know this?
1
Not at all
2
3
4
5
Perfectly
2
Q

What is pictured? Possible causes?

A

RBCs, Distorted from passage through small holes of GBM.

Causes: Renal or lwr UT disease.

Ex: Urinary calculi, Polycystic kidney disease, etc.

How well did you know this?
1
Not at all
2
3
4
5
Perfectly
3
Q

What is pictured? Possible causes?

A

Neutrophils (WBCs) in urine.

Causes:

  1. Acute Glomerulonephritis
  2. Infection
How well did you know this?
1
Not at all
2
3
4
5
Perfectly
4
Q

What is pictured? Possible causes?

A

Oval fat bodies

Causes:

  1. Nephrotic syndrome
  2. Hyperlipidemia
How well did you know this?
1
Not at all
2
3
4
5
Perfectly
5
Q

What is pictured? Possible causes?

A

“Maltese cross” formation of oval fat bodies

Causes:

  1. Nephrotic syndrome
  2. Hyperlipidemia
How well did you know this?
1
Not at all
2
3
4
5
Perfectly
6
Q

What is pictured? Composition? Site of formation? Possible causes?

A

Hyaline cast

Gelled protein (Tamm-Horsfall protein from tubule cells)

Distal convoluted tubule

Causes: Tubular or GBM necrosis

How well did you know this?
1
Not at all
2
3
4
5
Perfectly
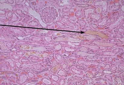
7
Q

What is pictured? Possible causes?

A

Hyaline Cast stained with bile (hyperbilirubinemia)

Causes:

  1. Hepatocellular disease
  2. Biliary obstruction
How well did you know this?
1
Not at all
2
3
4
5
Perfectly
8
Q

What is pictured? Composition? Site of formation? Possible causes?

A

RBC cast in urine

RBCs

Distal convoluted tubule

Causes: GBM or tubular damage (glomerulonephritis)

How well did you know this?
1
Not at all
2
3
4
5
Perfectly
9
Q

What is pictured? Composition? Site of formation? Possible causes?

A

RBC cast

RBCs

Distal convoluted tubule

Causes: GBM or tubular damage (glomerulonephritis)

How well did you know this?
1
Not at all
2
3
4
5
Perfectly
10
Q

What is pictured? Composition? Site of formation? Possible causes?

A

WBC cast

leukocytes

Causes:

  1. pyelonephritis
  2. interstitial nephritis
  3. acute glomerulonephritis
How well did you know this?
1
Not at all
2
3
4
5
Perfectly
11
Q

What is pictured? Composition? Site of formation? Possible causes?

A

Renal tubular epithelial cells

Severe tubular damage

Causes:

  1. Renal tubular epithelial cells
    - necrosis

-pyelonephritis
2. Transitional epithelial cells from the
renal pelvis, ureter or bladder
-Inflammation

How well did you know this?
1
Not at all
2
3
4
5
Perfectly
12
Q

What is pictured? Composition? Site of formation? Possible causes?

A

Course Granular Cast

Degenerated epithelial cells

Cause:

  1. Cellular cast that has remained in nephron for some time
  2. Associated with Proteinuria
How well did you know this?
1
Not at all
2
3
4
5
Perfectly
13
Q

What is pictured? Composition? Site of formation? Possible causes?

A

Fine Granular Cast

Degeneration from epithelial cell cast then Coarse granular cast

Causes:

  1. Prolonged time in nephron
  2. Associated with Proteinuria
How well did you know this?
1
Not at all
2
3
4
5
Perfectly
14
Q

What is pictured? Composition? Site of formation? Possible causes?

A

Waxy cast

End stage degeneration of epithelial cell cast

Causes:

  1. Chronic nephron obstruction associated with advanced renal disease
How well did you know this?
1
Not at all
2
3
4
5
Perfectly
15
Q

What is pictured? Composition? Site of formation? Possible causes?

A

Broad waxy cast

Formed in dilated tubules

Suggest acute tubular necrosis

How well did you know this?
1
Not at all
2
3
4
5
Perfectly
16
Q

What is pictured? Composition? Site of formation? Possible causes?

A

Broad cast in urine

Formed in dilated tubules

Suggest acute tubular necrosis

How well did you know this?
1
Not at all
2
3
4
5
Perfectly
17
Q

What is pictured?

A

Candida (fungal infection)

How well did you know this?
1
Not at all
2
3
4
5
Perfectly
18
Q

What is pictured?

A

Trichomonas (Parasite)

How well did you know this?
1
Not at all
2
3
4
5
Perfectly
19
Q

What is pictured?

A

HSV (Viral infection)

How well did you know this?
1
Not at all
2
3
4
5
Perfectly
20
Q

What is pictured?

A

CMV (viral infection)

How well did you know this?
1
Not at all
2
3
4
5
Perfectly
21
Q

What is pictured? Possible causes?

A

Calcium oxalate crystals

Cause: Acidic urine from metabolic or respiratory acidosis

How well did you know this?
1
Not at all
2
3
4
5
Perfectly
22
Q

What is pictured? Possible causes?

A

Ammonium magnesium phosphate crystals (“coffin lid crystals”)

Cause: Alkaline urine from:

  1. respiratory or metabolic alkylosis
  2. UTIs from bugs that produce urease
How well did you know this?
1
Not at all
2
3
4
5
Perfectly
23
Q

What is pictured? Possible causes?

A

Tyrosine crystals (can also form cystine or leucine crystals)

Cause: Severe liver disease

How well did you know this?
1
Not at all
2
3
4
5
Perfectly
24
Q

Cause of red/brown urine

A

Food dyes

Beets

Drug

Hemoglobin

How well did you know this?
1
Not at all
2
3
4
5
Perfectly
25
Cause of yellow-brown or green-brown urine
Bile pigments | (bilirubinuria)
26
Cause of Turbid urine
Recipitation of salts Cells
27
Ammonia-smelling urine
bateria
28
Musty-smelling urine
Phenylketonuria
29
Pungent and aromatic-smelling urine
cirrhosis
30
Acetone-smelling urine
ketonuria
31
Significance of high/low Specific gravity of urine
Proportion to urine osmolality High value = dehydration or diabetes (high volume + glucosuria) Low value = overhydration or renal tubular injury
32
Causes of proteinuria (\>150mg/day)
\>150mg/day = nephritic syndrome \> 3.5g/day = nephrotic syndrome Persistant protein
33
Causes of proteinuria \>3.5g/day
\> 3.5g/day = nephrotic syndrome
34
Causes of Glucosuria
diabetes Cushings syndrome Glycogen storage diseases renal tubular disease Liver disease
35
Causes of Bilirubinuria
hepatocellular disease biliary obstruction
36
Causes of urobilinogen in urine
hemolytic anemia hepatocellular disease
37
Causes of ketouria
Diabetic ketosis Severe calorie restriction (complete metabolization of FAs)
38
Positive nitrite test signifies
Bacteriuria (gram negative)
39
Positive leukocyte esterase test signifies
detects whole or lysed WBCs pyuria (infection)
40
Causes of hematuria
renal or lwr UT disease
41
Causes of hemoglobinuria
UT bleeding with hemolysis or intravascular hemolysis
42
Causes of myoglobinuria
traumatic muscle injury burns muscle disease severe exercise
43
Composition and Cause of chylous effusion
fluid rich in protien, triglycerides, and LDLs leakage of thoracic duct
44
Causes of serosanguineous pericardial exudate
TB neoplasia uremia (failure of renal excretory function) Viral infection
45
Cause of glucose lvl \<40mg/dL in CSF
Bacterial infection
46
Amylase lvl in pleural effusions \>125u/l
Pancreatitis Malignancy
47
WBC\>500uL in peritoneal effusion
bacterial peritonitis
48
Indications for lumbar pucture
Meningitis Encephalitis CNS leukemia subarachnoid hemorrage
49
How to distinguish between traumatic puncture or hemhorrage if there is blood in the CSF
Sequential collection Traumatic = less bloody in each successive tube Hemorrhage = equally bloody
50
common cause of xanthochromia in CSF
xanthochromia = colored supernatant Cause: RBC lysis
51
When does clotting occur in CSF?
traumatic puncture Elevated CSF protein TB meningitis Meningeal inflammation
52
Causes of Neutrophil pleocytosis in CSF
meningitis by pyogenic bugs
53
Causes of Lymphocyte pleocytosis in CSF
Viral or syphilitic meningitis meningoencephalitis
54
Causes of Eosinophilic pleocytosis in CSF
parasites coccidioidomycosis
55
Causes of low protein in CSF
leakage of CSF
56
Causes of elevated CSF proteins
meningitis meningoencephalitis Brain abcess degenerative CNS disease neoplasia diabetic neuropathy
57
Causes of elevated IgG in CSF
MS infection
58
Cause of increased C-reactive protein in CSF
bacterial infection
59
What is hypoglycorrhachia? Possible causes in CSF?
low glucose lvls Bacterial or fungal infections (CSF)
60
Positive VDRL serology test in CSF
syphilis
61
Causes of positive Nucleic acid amplification tests
enteroviruses herpesviruses arboviruses
62
Diagnose the patient: 200-750 mm Hg, faint xanthochromia, purulent with 500-20,000 cells/ìl, neutrophilic pleocytosis, 15–50 mg/dL protein, 0-45 mg/dL glucose
Bacterial meningitis Diagnose by microscopic examination, serology, culture
63
Diagnose the patient: 150-750 mm Hg, faint xanthochromia, opalescent with 25-500 cells/ìl, lymphocytic pleocytosis, 45-500 mg/dL protein, 0-45 mg/dL glucose
TB meningitis Diagnose by microscopic examination and culture
64
Diagnose the Patient: 130-750 mm Hg, may be xanthochromic, clear, cloudy, or turbid with 5-5000 cell/ìl, mixed or lymphocytic pleocytosis, 20-200 mg/dL protein, normal glucose
Aseptic (viral) meningitis Diagnose by culture, NAAT, serology
65
Diagnose the Patient: Normal to 300 mm Hg, colorless, clear, 10-150 cells/ul, lymphocytic pleocytosis, 45-150 mg/dL protein, normal glucose
Neurosyphilis Diagnose by microscopic examination, serology
66
Diagnose the Patient: Normal-450 mm Hg, colorless, clear, 10-150 cells/ìl, lymphocytic pleocytosis, 15-110 mg/dL protein, normal glucose
Viral meningoencephalitis Diagnose by culture, NAAT, serology
67