Genodermatoses Flashcards

(9 cards)

1
Q
A

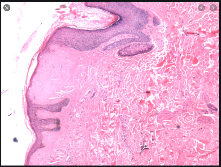
Pseudoxanthoma Elasticum

ABCC6 transporter gene mutation

Elastic tissue (Verhoeff–Van Gieson) and calcium (Von Kossa) stains highlight the distorted elastic fibers

*angioid streats and retinal hemorrhage risk

How well did you know this?
1
Not at all
2
3
4
5
Perfectly
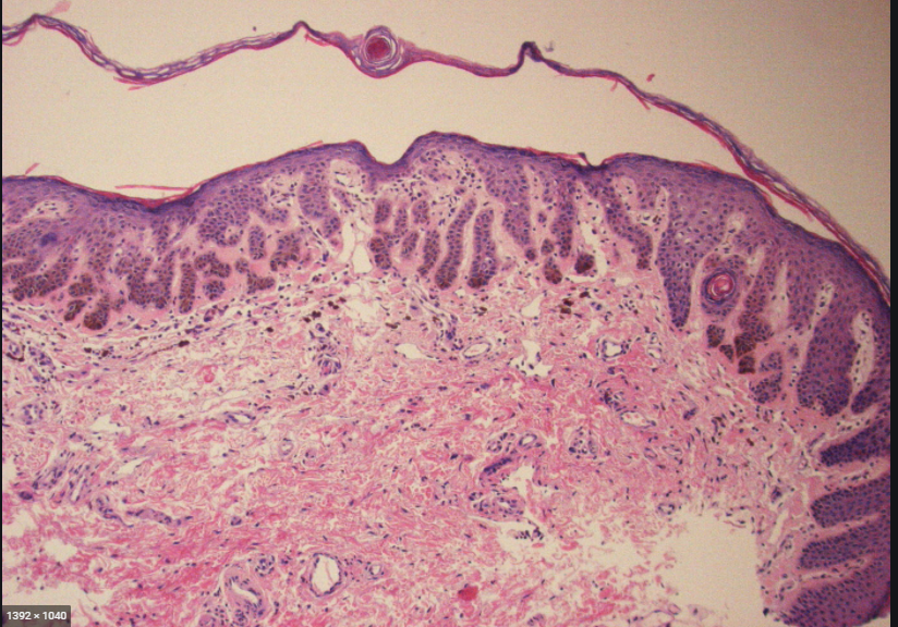
2
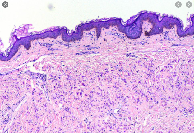
Q

Relatively normal looking biopsy but diminished granular layer and compact hyperorthokeratosis

A

Ichthyosis Vulgaris

Normally if there is hyperkeratosis the granular layer will be thick or if there is parakeratosis the granular layer will be absent. In this there will be hyperkeratosis without a granular layer which is odd.

How well did you know this?
1
Not at all
2
3
4
5
Perfectly
3
Q
A

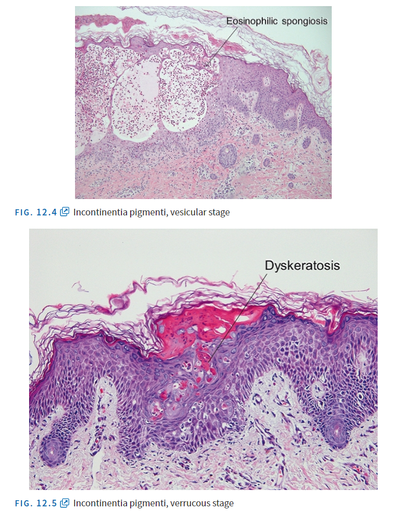
Incontinentia Pigmenti

Three histologic stages:

  1. Vesicular (Eos spong with prominent intraepidermal vesicles w/eos) 2. Verrucous (hyperkeratosis w/papillomatosis, little spong) 3. Pigmented (pigment incontinence, largely normal)
How well did you know this?
1
Not at all
2
3
4
5
Perfectly
4
Q
A

Mastocytoma

TMEP is the same but limited to a superficial perivascular infiltrate

Leder stain - red

CD117 (C-Kit)) - brown

Trptase - brown

How well did you know this?
1
Not at all
2
3
4
5
Perfectly
5
Q
A

Epidermolytic Hyperkeratosis (EHK)

Keratinocytes in the superficial epidermis are frothy with an overlying hypergranular layer

*Mutation in Keratin 1 & 10, think the pink globs around the keratinocytes in the upper epidermis are incorrectly folded keratins 1 & 10.

You can see a focal incidental EHK change in randome bx of healthy pts from time to time or in an entire lesion such as epidermolytic acanthoma or PPK or of course in pts with a germline mutation yielding Systemic Epidermolytic Ichthyosis

We sometimes bx linear epidermal nevi to look for EHK which if present may suggest their offspring are at risk for Epidermolytic Ichthyosis

How well did you know this?
1
Not at all
2
3
4
5
Perfectly
6
Q
A

Lipoid Proteinosis

Eosinophilic hyaline deposits which can be superficial or around vessels, sweat glands. material is PAS POSITIVE, DIASTASE RESISTANT

Lipoid proteinosis is an autosomal-recessive disorder resulting in hoarseness, pitted scars, beaded nodules along the eyelids, verrucous lesions, and seizures due to calcifications of the hippocampus.

How well did you know this?
1
Not at all
2
3
4
5
Perfectly
7
Q

If you see fat diffusely replacing the dermis what should you think of

A

Goltz syndrome (focal dermal hypoplasia)

How well did you know this?
1
Not at all
2
3
4
5
Perfectly
8
Q
A

Dowling Degos

Hyperpigmented basal layer, reticular-sk like appearance with horn cysts, there is also an acantholytic form (suprabasilar)

How well did you know this?
1
Not at all
2
3
4
5
Perfectly
9
Q

What is the difference between Dowling Degos and Galli Galli on histology

A

Galli Galli is similar to Dowling–Degos disease, but with foci of acantholysis

How well did you know this?
1
Not at all
2
3
4
5
Perfectly