Tricholemmoma
Ossifying fibromyxoid tumor of soft parts
*shell of bone present
*fibromyxoid matrix
Dermatofibroma
Blue nevus
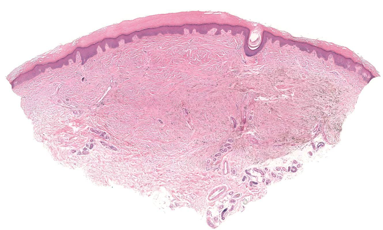
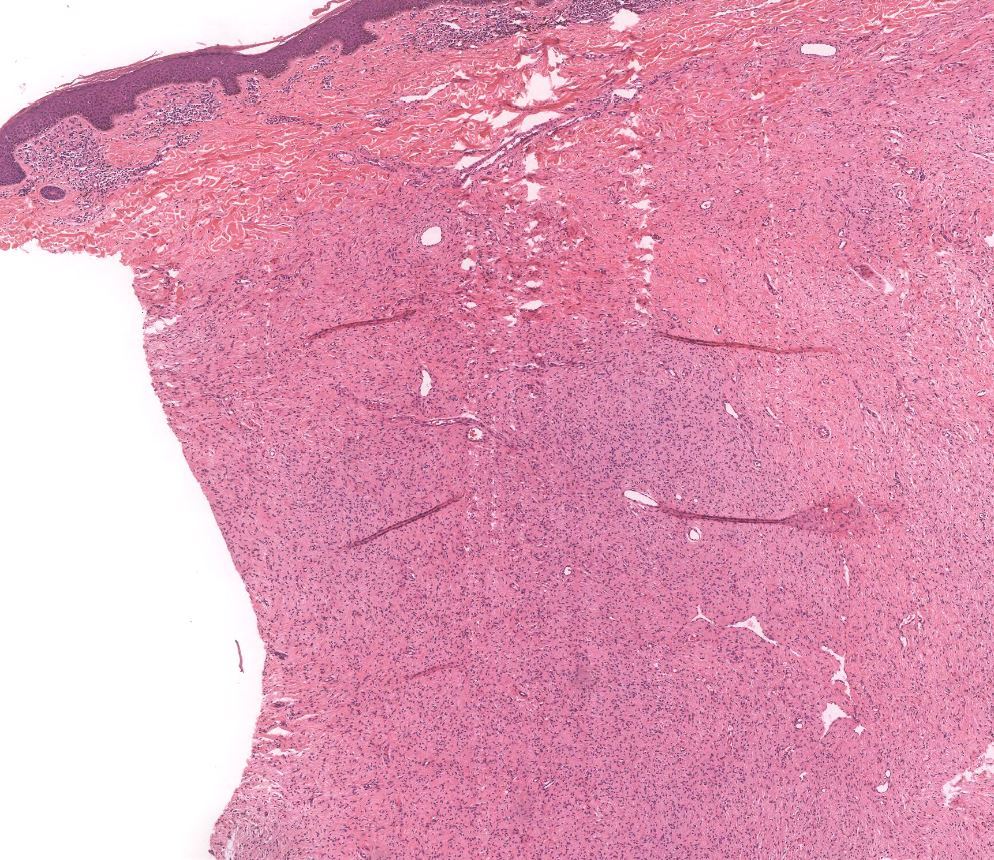
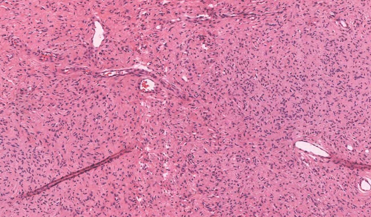
Granuloma Annulare
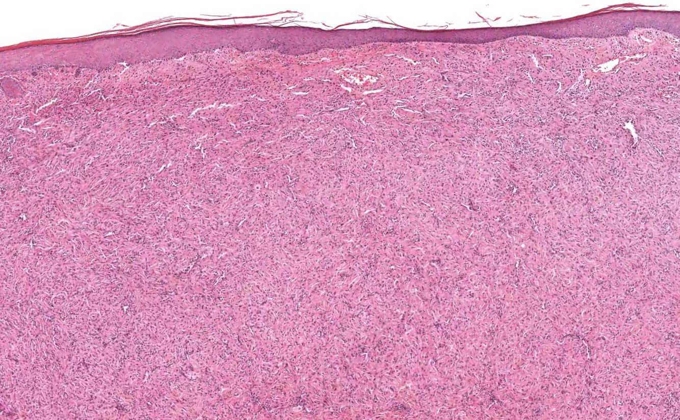
Neurofibroma
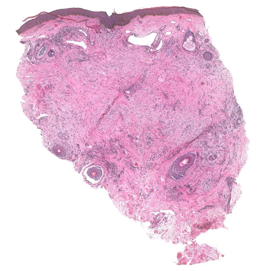
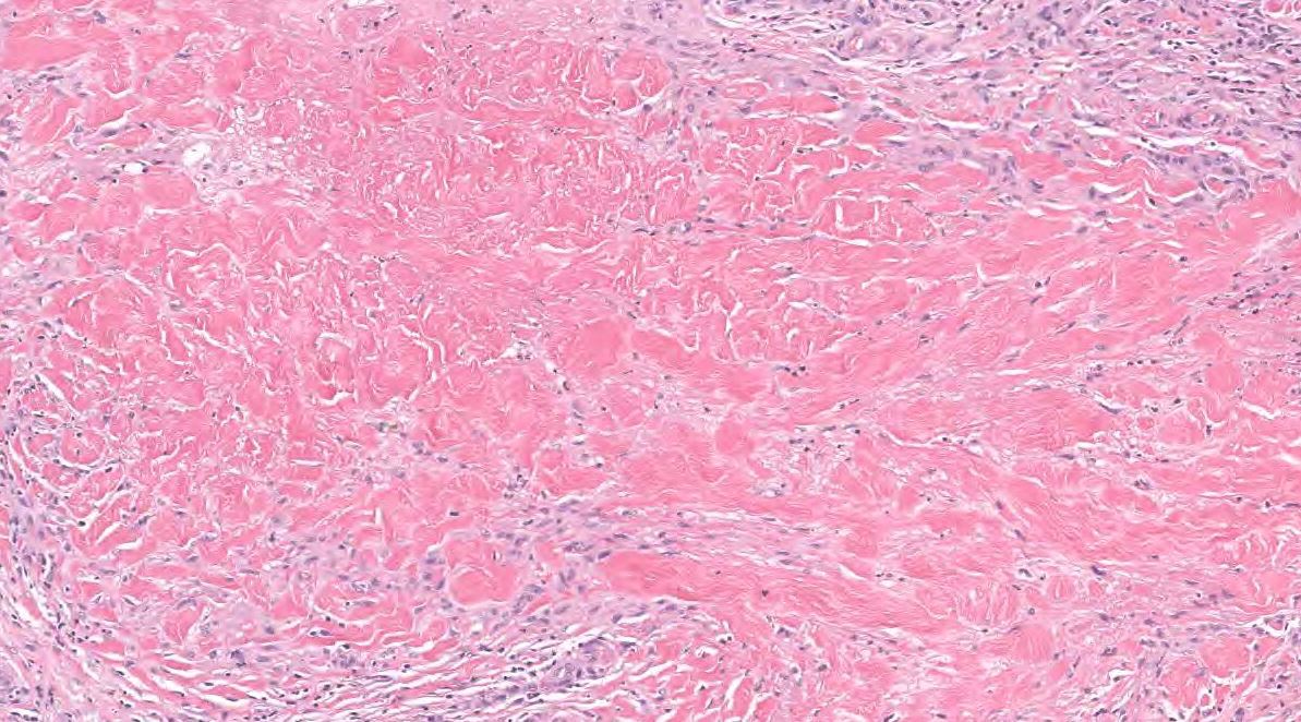
Necrobiosis lipoidica diabeticorum (NLD)
See necrobiosis in collagen
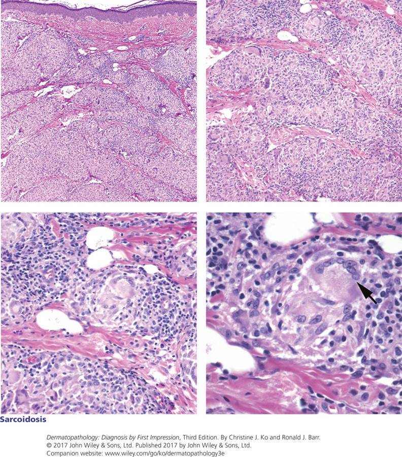
Sarcoidosis

Scleromyxedema
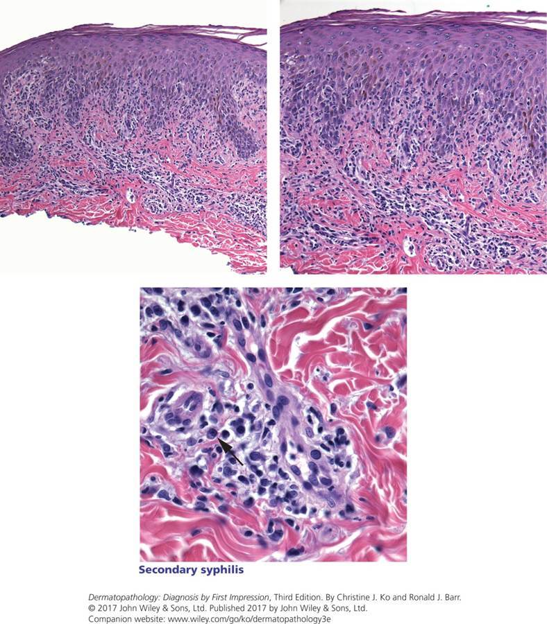
Syphilis

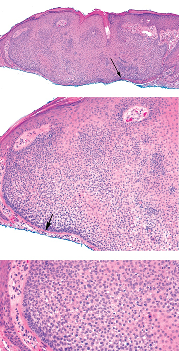
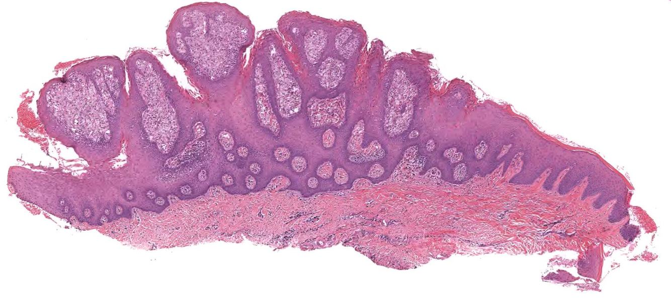
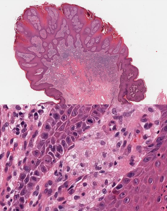
Verruciform Xanthoma
Rosai Dorfman
Fibrotic nodules showing light and dark areas
Sheets of histiocytes (light areas) with nodules of lymphoytes (dark areas)
Emperipolesis (intact cells, especially lymphocytes and plasma cells, passing through histiocytes)
S100 positive, CD1a negative, CD68 positive
Cellular Blue Nevus
MyoFibroma
Verruciform Xanthoma