
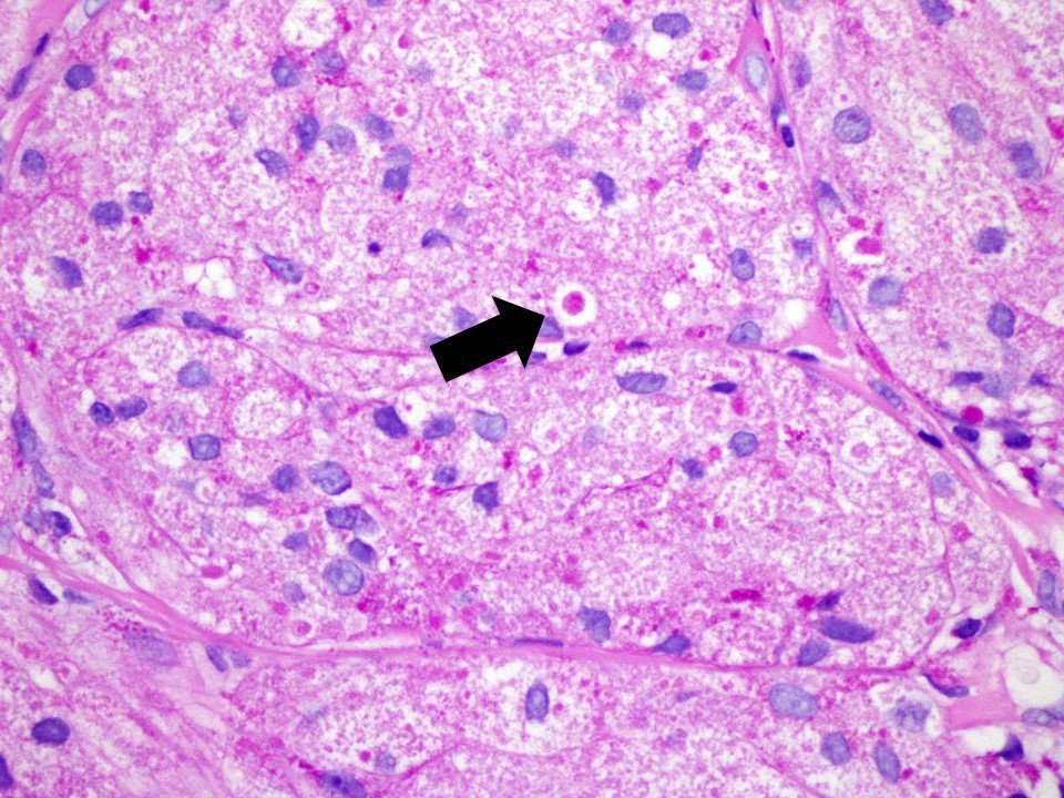
Pustulo-ovoid bodies of Milan
These are PAS positive lysosomal inclusions surrounded by a clear halo in Granular Cell Tumors
Diffuse neurofibroma
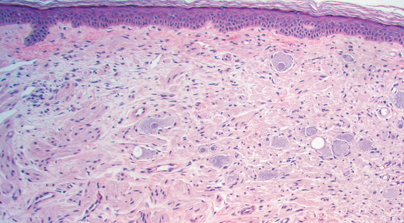
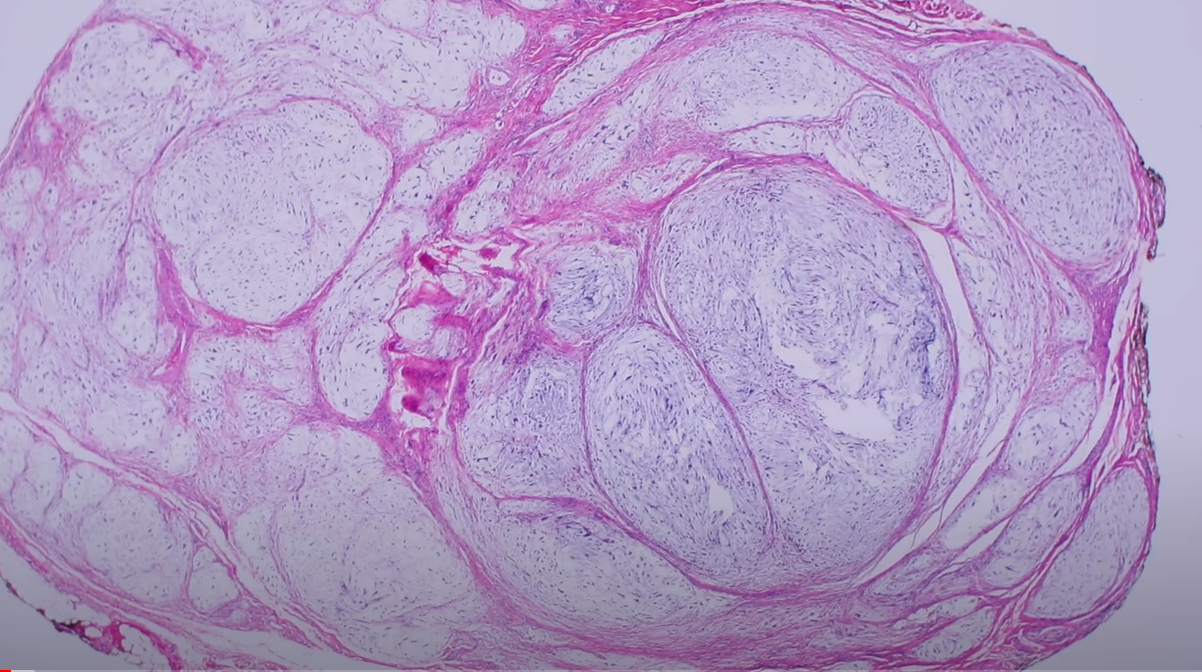
Plexiform neurofibroma
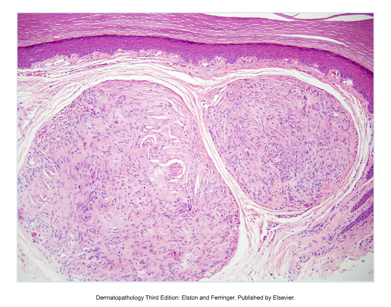
Localized neurofibroma

Neurotized nevus
Myxoid neurothekeoma
aka
Dermal nerve sheath myxoma
S100 positive, whereas cellular neurothekeoma is S100 negative
Schwannoma
Verocay Bodies are within Antoni A tissue
Soft schwannoma is primarily Antoni B tissue (more myxoid)
Hard schwannoma is primarily Antoni A tissue (more cellular)
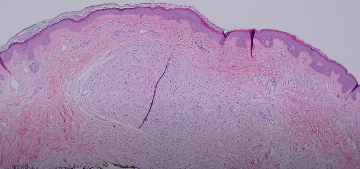
Palisaded Encapsulated Neuroma
Cracks, clefting artifact as well as bundled appearance is clue here

Perineuroma
Onion skin or storiform

Nasal Glioma
aka
Glial Heteroptopia

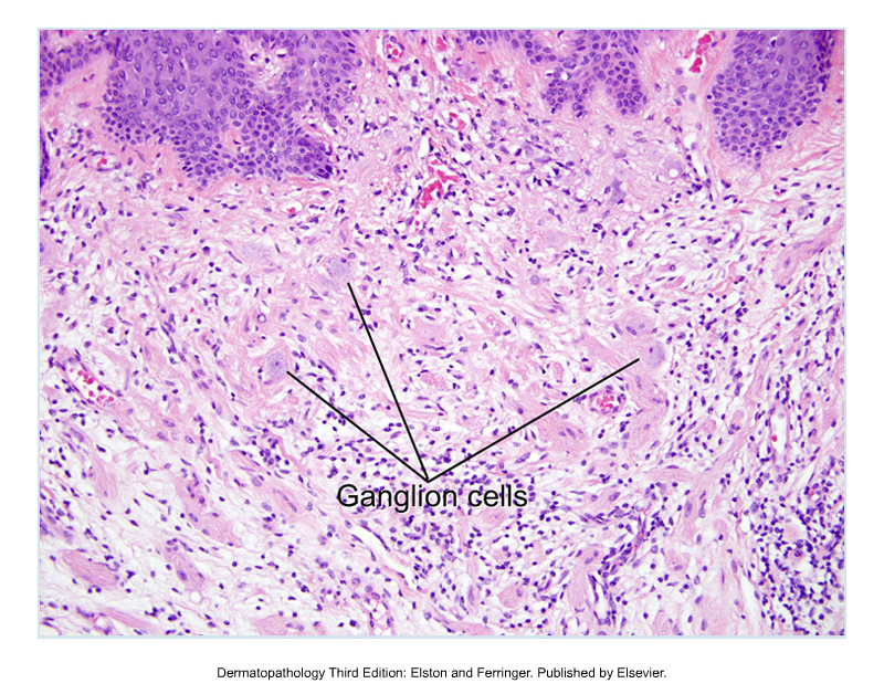
Cutaneous Ganglioneuroma
See Ganglion cells


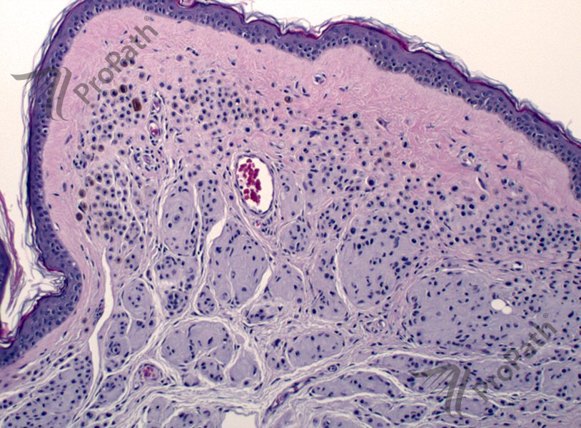
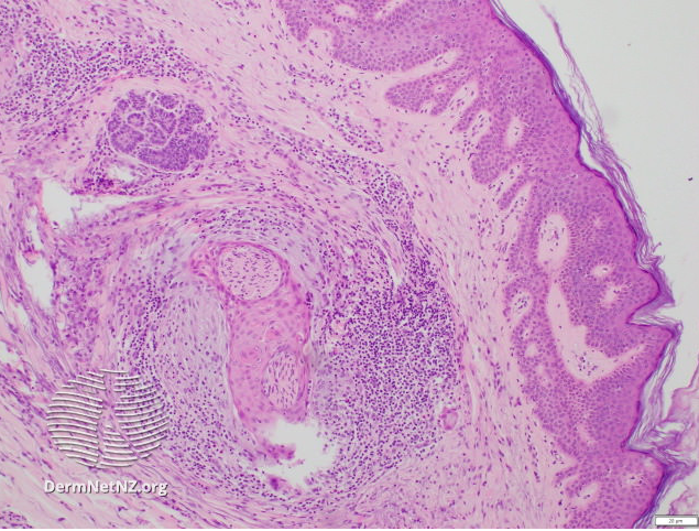
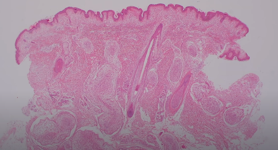
Supranumerary digit

Traumatic neuroma
Epithelial sheath neuroma