Intercalated duct
Striated duct
Interlobular duct
Excretory duct
Intralobular duct

Interlobular duct
Interlobular ducts are found between lobules, within the connective tissue septae. They vary considerably in size. The smaller forms have a cuboidal epithelium, while a columnar epithelium lines the larger ducts. Intralobular ducts transmit secretions from intralobular ducts to the major pancreatic duct
Striated duct
Excretory duct
Intralobular duct
Intercalated duct
Interlobular duct

Striated duct
Interlobular duct
Intercalated duct
Striated duct
Intralobular duct
Excretory duct

Intercalated duct
The intercalated duct, also called intercalary duct (ducts of Boll), is the portion of an exocrine gland leading directly from the acinus to a striated duct. The intercalated duct forms part of the intralobular duct. This duct has the thinnest epithelium of any part of the duct system, and the epithelium is usually classified as “low” simple cuboidal.[1]
They are found in both the pancreas and in salivary glands.
Serous glands (e.g. exocrine pancreas) have…
Statements about ducts of glands is CORRECT?
Intercalated ducts are involved in modification of secretory products.
Majority of interlobar ducts are secretory ducts.
Striated ducts mainly have conveyance functions.
Excretory ducts convey secretory products.
Interlobular ducts are found in between gland lobules.

A) Simple columnar or cuboidal.

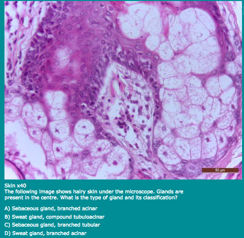
A) Sebaceous gland, branched acinar

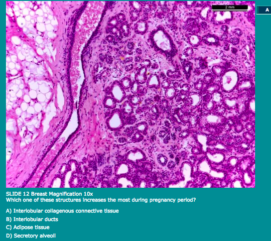
D) Secretory alveoli

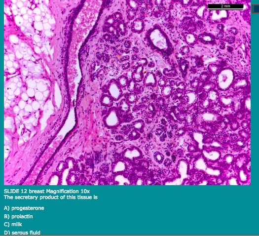
C) milk

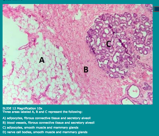
A) adipocytes, fibrous connective tissue and secretory alveoli

D) Prostate; to assist in actively expelling semen outwards during ejaculation