Epithelial cells are held together by which of the following? a) Basement membrane. b) Collagen. c) Fibroblasts. d) Junctional complexes. e) Connective tissue.
Junctional complexes.
Which of the following is not a types of tissue? a) Bone. b) Cartilage. c) Connective tissue. d) Nervous tissue. e) Collagen.
Collagen
Which of the following is NOT a characteristic of epithelium? a) They all have a lateral border. b) They have a surface adjacent to a lumen or free space. c) They are anchored to underlying connective tissue by the lamina propria. They all have an apical segment (an “apex”). They are held together by junctional complexes.
they are anchored to underlying connective tissue by the lamina propria.
The type of epithelium indicated by the arrows in the image below is…?
…stratified cuboidal.
…pseudostratified columnar.
…simple squamous.
..stratified squamous.
…simple cuboidal.

…stratified cuboidal.
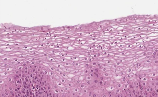
What function is the type of epithelium represented in the image below specialized for?
a) Transcellular transport
b) Both secretion and absorption
c) Secretion only
d) Absorption only
e) Resisting wear and tear

Resisting wear and tear
Explanation
Stratified squamous epithelium
NOT ANSWER:
Transcellular transport: Simple squamous epithelium
Both secretion and absorption: simple cuboidal and simple columnar
The type of epithelium indicated by the arrows in the image is

e special name given to epithelium lining the inside chamber of the heart is
Endocardium
What type of epithelium makes up the skin?
Stratified keratinized epithelium.
Which of the following is NOT a specialization of the apical surface of some epithelial cells?
Villi
Where in the human body are steriocilia found?
Hair cells in ear.
Which of the following types epithelium is found in respiratory tract?
Pseudostratified columnar epithelium.
Microvilli have a central core of which of the following type of protein?
Actin
Which of the following part of a junctional complex holding epithelial cells together is attached to the intermediate filaments of the cell cytoskeleton?
Macula adherens
Which junctional complex prevents passage of material between cells?
Tight junction.

A striated border at the base of some epithelia is indicative of
Which of the following is not the functions of basement membrane ?
Generation of epithelial cells.
Which of the following is visible only under electron microscope and not light microscope?
Basal lamina.
Reticular lamina components are secreted by which of the following?
Connective tissue.
Brain and spinal cord are deficient in which of the following?
Epithelial tissue.
Astrocytes.
Microglia.
Nervous tissue.
Connective tissue.
Connective tissue.
Where does immune response occur in the body?
Connective tissue.
The lamina propria is…?
…a thin layer that contains cells that can identify pathogens.
Which component dominates the structure of tendons?
Collagen fibers.